Lung tumor
Lecture VIlung is the most common site for metastatic tumor . most of the primary lung tumor arise from bronchial epithelium
Benign tumor
the most common benign lesion is hamartomasappear radiographically as coin lesion ( 3-4 cm ) histologically consist of mature cartilage admixed with fat, fibrous tissue , blood vessels in varying proportion .
Neoplastic disease of the lungs
carcinoma of the lungs is the mostly common cause of death in industrialized nation ,mainly a disease of male ( Number one cause of cancer death in male ) , it is now increasingly common in female . the peak incidence is between the ages of 40 to 70 years , reflective cumulative exposure to several potential causative carcinogens .
Histological classification of the bronchogenic
• 1-Non small cell lung carcinoma ( NSCLC ) 70-75 %• a- Squamous cells ( epidermoid carcinoma ) 25-
• 30%
• b- Adenocarcinoma including bronchioloalveolar
• carcinoma ) 30-35%
• c- Large cell carcinoma 10-15 %
• 2-small cell lung carcinoma ( SCLC ) 20 -25
• 3-combined pattern 5-10%
• the most frequent ( mixed squamous and adenocarcinoma , or mixed squamous cell carcinoma and SCLC
70 % of all tumor arises in relation to the main brochi ( central or hilar tumor )
30 % of cancers arise from peripheral airways or alveoli ( Peripheral tumor ) .
Etiology of lung cancer
The incidence of lung cancer is related to main causative factors of cigarette smoking and industrial carcinogens .cigarette smoking increase the risk of development of lung cancer with precursor lesion of metaplasia and dysplasia occurring in the respiratory tract .
after exposure to cigarette smoke the risk of cancer increase with number of cigarette smoked and the age at which smoking was started
occupational and environmental factors are known to predispose to development of lung cancer especial exposure to radioactive material , asbestos , nickel chromium , iron oxides .
Squamous cell carcinoma
• Are believed to be derived from metaplastic squamous epithelium which developed to line of the main bronchi as the result of exposure to agent such as cigarette smoke .• Tumors which are most common in males are usually appear as central white firm mass gritty in sensation within or infiltrating the bronchi and lung tissue , frequently presented with feature related to bronchial obstruction . in compared to other type they are relatively slow growing and may be resectable .
Histologically :- shows a range of differentiation from well differentiated lesion producing lots of keratin ( keratin pearls ) or diffuse lesion with only few keratin producining cells .
Lung carcinoma. The gray-white tumor tissue is seen infiltrating the lung substance. Histologically, this large tumor mass was identified as a squamous cell carcinoma.
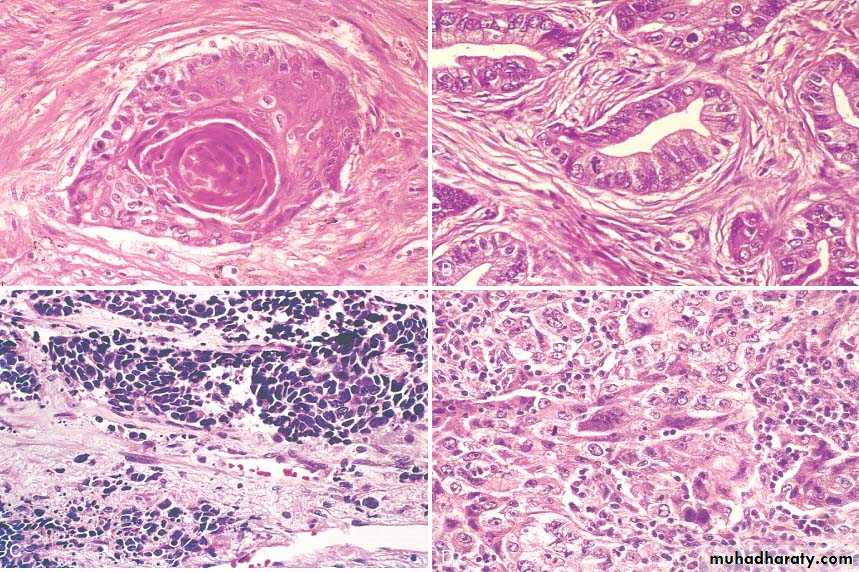
Histologic appearance of lung carcinoma. A, Well-differentiated squamous cell carcinoma showing keratinization. B, Gland-forming adenocarcinoma. C, Small cell carcinoma with islands of small deeply basophilic cells and areas of necrosis. D, Large cell carcinoma, featuring pleomorphic, anaplastic tumor cells and absence of squamous or glandular differentiation.
Adenocarcinoma of the lung
Is usually a peripheral tumor .have an equal sex incidence and are not as closely linked with cigarette smoking as other types .
they characteristically developed as peripheral tumor although may also occur as central lesion arising fro main bronchus . A proportion of adenocarcinoam are thought to originate in areas of per-existing scarring ( Scar cancer ) .
Main histological pattern .
-Aciner ( gland like spaces ).-Papillary ( fronds of tumor on thin septa )
-Solid carcinoma with mucin production ( poorly differentiated lesion )
-.
Most of tumor do not produce sign of air way obstruction because of there peripheral location it is not unusual for extremely extensive systemic metastatic tumor to have originated from a very small peripheral adenocarcinaoma of the lung .
Histologic appearance of lung carcinoma. A, Well-differentiated squamous cell carcinoma showing keratinization. B, Gland-forming adenocarcinoma. C, Small cell carcinoma with islands of small deeply basophilic cells and areas of necrosis. D, Large cell carcinoma, featuring pleomorphic, anaplastic tumor cells and absence of squamous or glandular differentiation.
large cell carcinoma
Tumor cells that lake to differentiate to specific histological type by using light microscope , may be either central or peripheral in location and composed of large cells type with nuclear pleomorphism and frequent tumor giant cells , that have a poor prognosis and frequently widely disseminated at the time of diagnosis .Histologic appearance of lung carcinoma. A, Well-differentiated squamous cell carcinoma showing keratinization. B, Gland-forming adenocarcinoma. C, Small cell carcinoma with islands of small deeply basophilic cells and areas of necrosis. D, Large cell carcinoma, featuring pleomorphic, anaplastic tumor cells and absence of squamous or glandular differentiation.
Small cell carcinoma
• Is highly malignant lung cancer , also called oat cell carcinoma (because the cell nuclei resemble oat grain ) is highly malignant condition arise from bronchial epithelium but exhibit differentiation into neuroendocrine cells containing neurosecretory granules .• tumor are usually centrally located and are associated with a rapid rate of growth , it usually metastases at the time of diagnosis and because of neuroendocrne differentiation this type of tumor have ectopic hormones production
Histologic appearance of lung carcinoma. A, Well-differentiated squamous cell carcinoma showing keratinization. B, Gland-forming adenocarcinoma. C, Small cell carcinoma with islands of small deeply basophilic cells and areas of necrosis. D, Large cell carcinoma, featuring pleomorphic, anaplastic tumor cells and absence of squamous or glandular differentiation.
paraneopalstic syndroma (non metastatic extrapulmonary syndomae).
• Special feature of lung tumor to produce manifestation faraway from primary lesion due to secretion of deferent endocrine substance in ectopic manner special in case of small cell carcinoma due to neuroendocine differentiation seen in 12% of patient with lung cancer .• ex . inappropriate ADH ( Antidurietic hormone ) , ectopic ACTH . associated with Cushing syndrome . several nerological manifestation , and hypertrophic pulmonaty osteroarthropahy ( finger clubbing swelling of the wrist and ankle with periosteal new bone formation is seen in 2-3 % with squamous cell cacinoma and adenocarcinoma .
Metastatic tumor of lung
• local sprea• lymphatic spread
• Transcoelomic spread
• Heamatological spread
Staging of lung cancer
It depend on type of tumor ex squamous cell carcinoma is slow growing tumor and broncchioloalveolar carcinoma have better prognosis than others while the small cells carcinoma have the worse prognois
Staging of lung tumor depend on TNM staging system .
which depend on tumor size lymph node involvement and presence or absence of distant metastasis .
The pleura
Pleural effusionRefer to the presence of fluid in the pleural space .
The fluid can be either exudate ( mostly occurs in inflammator condition )or tansudate ( mostly seen in CHF )
Pleural exudate
Mostly seen in the following1- Bacterial infection
2- cancer
3-Pulmonary infarction
4- viral infection of the pleural
Pneumothorax
Refer to the air in the pleural spaceDivided in to
spontaneous pneumothorax
secondary pneumothorax
Spontanous pneumothorax
Occurs in young healthy adult usually men with out any pulmonary disease
Secondary pneumothorax
Usually occurs as result to the underlying chest wall and pulmonary disease( fracture rib , or pulmonary disease close to the pleura ex emphysema , lung abscess , tuberculosis . Carcinoma . )
Complication
1-Tension pneumothorax -Occurs as serious and fatal complication by formation of ball valve leak that form tension and shift of meditational which may be follow by impairment of pulmonary circulation2- with prolong collapse the lung and pleural become vulnerable for infection lead to formation of empyema and called ( pyopneumothorax )
Hemothorax
Collection of the blood in side the pleural cavityUsually occurs as complication of rupture intra thoracic aneurysm
Usually its fatal
Chylothorax
Mean collection of milky lymphatic fluid within the pleural cavityMostly occurs due to obstruction of the major lymphatic duct due to intra- thoracic or mediastinal neoplasm
Primary pleural tumor
Malignant mesotheliumIts rare malignancy arise form both pleura
50 % of patient give history of asbestosis exposure ( for long period 25 – 40 years )
The combination of cigarette smoking and asbestosis increase the risk of lung carcinoma but not the risk of mesotheliuma
Gross feature
Tumor begin in localized area but with course have widely spreadAt autopsy the affected lung is typically ensheathed by yellow white firm layers of tumor the obliterated the pleura spaces
The tumor may invade the thoracic wall or sub-pleural lung tissue
Microscopical feature
It take one of three pattern1- Epithelial – in which cuboid cells lined tubules and microcystic spaces in to which small papillary buds projection
2- Sarcomatoid :- in which spindle cells grow in sheets
3- Biphasic :- having both sarcomoid and epithelial area


