GENITOURINARY TUBERCULOSIS
accounts for 30% to 40% of all extrapulmonary TB.In developed countries, urogenital tuberculosis occurs in 2% to 10% of cases of pulmonary tuberculosis, while in developing countries it occurs in as many as 15% to 20% of cases.
WORK UP
Urinalysis and Culture.Mantoux Test.
PCR.
Radiography and Endoscopy:
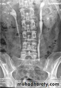
Plain Radiograph
Intravenous Urography (IVU)
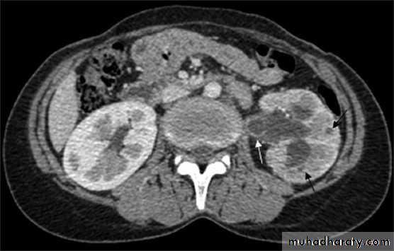
Computed Tomography
Ultrasonography
WORK UP
Retrograde Pyelogram and Antegrade Pyelogram.
Cystoscopy and Ureteroscopy
Treatment
Antituberculous Drugs.Surgical Therapy:
Nephrectomy
Ureteropelvic and Ureteral Surgery
Bladder Surgery
epididymectomy
INDICATIONS OF NEPHRECTOMY
1-dest kid.despite Rx.
2- coexist malig.
3-HTN.
4-calcified non funct. Kid.
URINARY BILHAR.
S. mansoniS. japonicum
S. haematobiumn Southwest Asia, the disease is found
in Southern Yemen, Yemen, Saudi Arabia, Lebanon, Syria, Turkey,
Iraq, and Iran
Clinical Manifestations
fever, lymphadenopathy, splenomegaly, eosinophilia, urticaria, and othemanifestations of a serum sickness–like disease.3 to 9 weeks after infection.
Chronic Schistosomiasis
Hematuria
Pain
Irritative voiding symptoms
Incontinence
anemia
DIAGNOSIS
Eggs in urineSerological tests AB
IVU
CT
cystoscope
TREATMENT
Medical Management.Praziquantel is the drug of choice for all schistosoma species
Surgical Management.
COMPLICATIONS
Infection
Malignancy
stones
Hydatid Disease
renal hydatids occur in only about 2% of casesThe hydatid is the larval form of Echinococcus granulosus,whose definitive host is the dog, and whose principal intermediate host is the sheep.
presentation
Asymp.Flankpain
Backache
Palpable loin mass
diagnosis
SerologyPlain X-ray
U/S
CT
Rx
Nephrectomy
Albendazol pre-op.






















