Renal artery stenosis
TUCOMInternal Medicine 4th class1-12-2016Dr. Hasan I. Sultan
Renal artery stenosis
Renal artery stenosis is a relatively uncommon disorder, which presents clinically with hypertension. It has been estimated to occur in about 2% of unselected patients with hypertensionMost cases of renal artery stenosis are caused by atherosclerosis but fibromuscular dysplasia involving the vessel wall may be responsible in younger patients.
Pathophysiology;
Renal artery stenosis results in a reduction in renal perfusion pressure, which activates the renin–angiotensin system, leading to increased circulating levels of angiotensin II. This provokes vasoconstriction and increases aldosterone production by the adrenal, causing sodium retention by the renal tubules.Significant reduction of renal blood flow occurs when there is greater than 70% narrowing of the artery
Atherosclerosis is the most common cause (90% of patients). Associated with atherosclerosis of the aorta and other major branches. Associated with coronary, cerebral or other vascular disease. Untreated patients, it can be progress to complete arterial occlusion in about 15% of cases.
Fibromuscular dysplasia type (10% of patients); is characterised by hypertrophy of the media (medial fibroplasia), which narrows the artery, but rarely leads to total occlusion. It most commonly presents with hypertension in young patients, and women are affected more frequently than men.
Presentation and clinical features of renal artery stenosis
Renal artery stenosis is more likely if:• Hypertension is severe, of recent onset or difficult to control
• Kidneys are asymmetrical in size
• Flash pulmonary oedema occurs repeatedly*
• There is peripheral vascular disease of the lower limbs
• There is renal impairment*
• Renal function has deteriorated on ACE inhibitors or angiotensin II receptor blockers
• * Particularly with bilateral disease.
Investigations;
Imaging of the renal vasculature with either CT angiography or MR angiography should be performed to confirm the diagnosis
Biochemical testing may reveal impaired renal function and an elevated plasma renin activity, sometimes with hypokalaemia due to hyperaldosteronism.
Ultrasound may also reveal a discrepancy in size between the two kidneys.
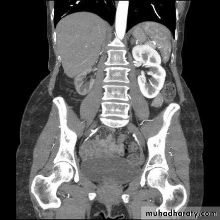
Renal artery stenosis “Multiphase CT of the renal tract demonstrates an atrophic right kidney with a delayed nephrogram, with only the tip of the upper pole enhancing
MRA showed a high-grade stenosis of the proximal right renal artery. The right kidney was markedly smaller but smoothly marginated. Parenchymal enhancement of the right kidney was delayed.
Management;
The first-line management in patients with renal artery stenosis is medical therapy with antihypertensive drugs, supplemented with statins and low-dose aspirin in those with atherosclerotic disease.Interventions to correct the vessel narrowing should be considered in young patients (age below 40). The most commonly used technique is angioplasty in non-atheromatous fibromuscular dysplasia.
Angioplasty and stenting can sometimes be successful in atherosclerotic disease.



