Classification of Orthodontic Malocclusion
Dr. Mokhtar M. SufyanMSc in Orthodontics
Outlines:
• Definitions.• Classification of malocclusion from:
• Antero-posterior plane.
• Vertical plane.
• Transverse plane.
• Etiology of malocclusion
Occlusion: Relationship of maxillary and mandibular teeth when it is in functional contact during activating of the mandible.
Ideal occlusion: theoretical occlusion has the following characteristic(SIX KEYS OF OCCLUSION):
1-Correct crown angulation ( mesiodistal crown tip).
2-Correct crown inclination (labio_lingual / bucco_lingual crown tip)
3- No rotation, crowding, spacing.
4-Limited curve of spee.
5- Class1 canine and molar relationship.
6- Dental arches are symetrical.
Definition of malocclusion
Malaligment of teeth.Developmental problems cause irregularity of teeth beyond the accepted range of normal, and form of malrelation between maxillary and mandibular arches in any plane (anterio-posterior , vertical and transverse).
Why do we need to classify malocclusion? “Classification is the morphological description of the dental and skeletal deviations from the norm…”
A. Antero-posterior Plane
Class I normal occlusionClass I malocclusion
Class II malocclusion
Class III malocclusion
Class I normal occlusion
The mesio-buccal cusp of the maxillary (upper) first permanent molar occludes in the buccal groove of the lower first permanent molar.Class I malocclusion
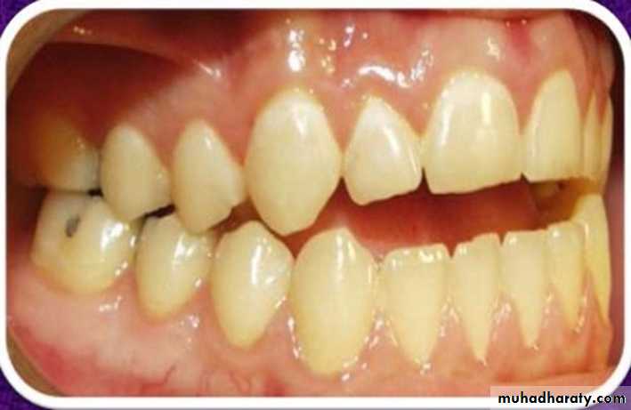
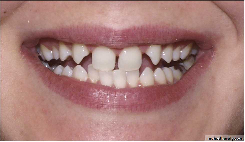
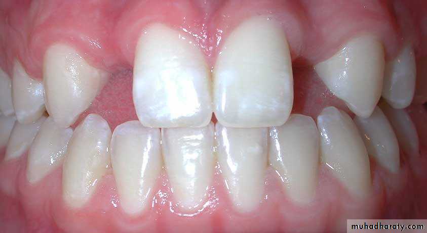
A normal molar relationship exists but there is crowding, misalignment of the teeth, cross bites, etc.adento.ru/455-nepravilnyy-prikus.html
wikisites.mcgill.ca/Dentalpedia/index.php/Class_I_Type_II
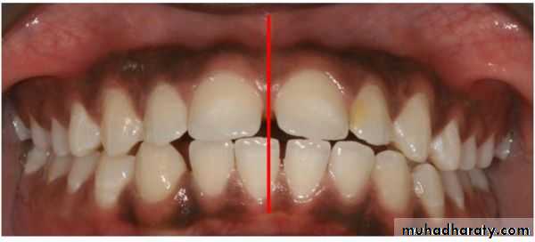
Class II MalocclusionThe mesio-buccal cusp of the maxillary (upper) first permanent molar occludes more anterior to the buccal groove of the mandibular (lower) first permanent molar.
Class III Malocclusion
The mesio-buccal cusp of the maxillary first permanent molar occludes posterior to the buccal groove of the lower first permanent molar.2. Vertical Plane
Abnormal condition in which group of teeth do not make occlusal contact because of lack of vertical extension.(Swinehart)I- Open bite
C TevezII- Over (Deep) bite
Excessive vertical overlap between upper and lower incisors when the teeth in maximum intercuspation.Suarez
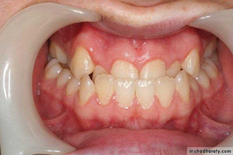
3. Transverse PlaneI- cross bite:
An abnormal relationship of a tooth or teeth to the opposing teeth, in which normal bucco-lingual or labio-lingual relationships are reversed.chchortho.co.nz/index.php?page=cases
mihanortho.com/en/page-comment-215An orthodontic malocclusion where the lower molars bite completely lingual to the upper molars.
II- Scissor bite
www.uniondentalsurgery.com/
SummaryMalocclusion may be dental or skeletal or dentoalveolar malocclusion.
Malocclusion may be corrected by fixed orthodontic appliance, myofuctional or removable appliances depending on the age of the patient and the severity of the case.
Severe skeletal malocclusion cases may be corrected by extra-oral appliances in young patients, myofunctional appliances in adolescences or by fixed orthodontic appliances with orthognathic surgery in adults.
Etiology of malocclusion
Local factors (Dental developmental disturbance)
A. Anomalies in the number of teeth :
• Supernumerary teeth.
• Missing teeth.
• Loss of permanent teeth.
• Early loss of deciduous teeth .
• Retained deciduous teeth.
• Abnormal path of eruption .
• Abnormal labial frenum .
• Ankylosis.
B. Anomalies in the form of teeth :
• Peg shaped lateral incisors.
• B-Excessive large or small teeth ( macrodontia or microdontia).• Anadontia .
• Hypodontia
• Anomalies in the number of teeth
1. Supernumerary teeth (crowding)
The supernumerary teeth have no definite time to develop either prior to as late as 10 to 12 years of age and they may erupt in any area of mouth.
The most common supernumerary teeth are seen is mesiodense and it may cause deflection of maxillary central incisors if its eruption between two centrals or preventing one of them or both from eruption.
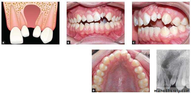
2. Missing teeth
Congenital missing of the teeth are more frequently than that of supernumerary teeth. The patient with missing teeth have deformities in tooth size and shapes such as peg lateral are more frequent.3. Loss of permanent teeth spacing, drifting, shifting in midline
4. Early loss of deciduous teeth In anterior region, the early loss of maxillary or mandibular anterior teeth is seldom necessary the space maintainer because mesial drift of anterior teeth is less in comparison with posterior teeth. In posterior segment, early loss of 1st or 2nd of deciduous molar mesial drift of 1st permanent molar and blocking the way for eruption and premolar may be occurs and sometimes even of 2nd premolar will erupt, it may be drift buccally or lingually in maxillary molar in addition to mesial drift it may be also rotated.
5. Retained deciduous teeth.
It may be lead to:• Deflection of permanent teeth from its path. b. Prevent closure of contact of permanent teeth.
6. Abnormal path of eruption .
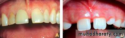
Because of presence of a supernumery tooth, retained deciduous tooth or root fragment, bony barrier, physical barrier after influence the direction of eruption set up an abnormal path of eruption.7. Abnormal labial frenum .
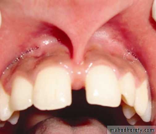
At birth frenum is attached to alveolar ridge and the fibrous actually running into lingual interdental papling. So when teeth erupt, this frenum attachment is migrates superiority sometimes this frenum persist between two central incisors and produce diastema such as microdentia, Macrognathia, supernumerary teeth, habits, missing lateral incisors, heavy occlusion.8. Ankylosis
Ankylosis is probably due to an injury of some periodontal ligament, as or result of which a part of the periodontal membrane is perforated and a bony bridge forms joining the laminae dura Clinically in appear as sub merge tooth, surgical removal of anakylosis tooth is require of this done only through the buccal plate.b- Anomalies in the form of teeth :
• Peg shaped lateral incisorsThe most common anomalies is peg shape lateral incisors. So excessive spacing will be occur in maxillary anterior teeth and also central incisors vary liking certain cases associated with congenital sdefect like cleft lip
2. Excessive large or small teeth ( macrodontia or microdontia)The size of teeth is largely determined by hereditary. So their will be great variation from individual to another. So it may affect the dental arch by possibility to produce crowding in cases of largely teeth than with small one, and also producing some spaces in case of small teeth and several observation are made by several authors on tooth size and their correlation between tooth size and dental arch (Moores study).
3. Anadontia: ( completely absence of teeth due to aplasia of dental lamina)4. Hypodontia:hypodontia is the condition at which the patient has missing teeth as a result of the failure of those teeth to develop (also called tooth agenesis). ( rare in deciduous but common in permanent dentitions)Include lateral incisos , second premolars, and third molar (in Iraq 5%)Rx; close space or open space and use P.D.
Gurkeerat Singh (2007). Textbook Of Orthodontics. 2nd ed. JAYPEE BROTHERS. P. 159-173.
William R. Proffit (2012). 5th ed. Contemporary Orthodontics, Mosby, Elsevier. P.203-219.
References














































