• METHODS OF SPACE GAINING by Dr.Zaid AL-Dewachi
Why space gaining??The correcction of many malocclusions require space in order to move the teeth into more ideal locations.
Such as for correction of :
Crowding
Proclination
Rotated anteriors
Deep bite
Constricted arches
INTRODUCTION:
Methods to gain space include:
Proximal strippingExpansion
Extraction
Distalisation
Uprighting of molars
Derotation of posterior teeth
Proclination of anteriors
Methods to gain space include:
Proximal stripping
ExpansionExtraction
Distalisation
Uprighting of molars
Derotation of posterior teeth
Proclination of anteriors
Also known as SLENDERIZATION / REPROXIMATION / DISKING
Method by which proximal surfaces of teeth are sliced to reduce mesio-distal width of teeth.This procedure provides a maximum of 2.5 mm space
PROXIMAL STRIPPING:Indications:
Carey’s analysis showing a TTM excess of 0-2.5mmBolton’s analysis showing mild tooth material excess
For correction of minimal interarch tooth material discrepancy
In lower anteriors to aid retention
In cases where individual tooth size prevents class I molar relation
To obtain favourable overjet or overbite
Contraindications:
Young patients
Patients with high caries index
Patients with enamel hypoplasia
Advantages
Minimizes potential consequences of extraction such as:Difficulty in completing space closure
Need for greater anchorage
Possibility of space re-opening
Difficulty in paralleling roots next to extraction sites
Disadvantages
Drawbacks include:
Roughened proximal surfaces that atrract plaqueIncreased caries susceptibility
Sensitivity of teeth
EXPANSION
Non-invasive method of space gainingUndertaken in patients having constricted arch
Indications:
CrossbiteCrowding
Skeletal class III malocclusion
surgical orthodontics
RAPID MAXILLARY EXPANSION
Indications:• Posterior cross bite
• Class II malocclusion
• Class III malocclusion
• Constricted arch
• SARPE
• Cleft palate
• TS-ALD
Contraindications
• Existing openbite
• Single tooth cross bite
• Skeletal assymmetry
• Patent mid palatal suture
• Periodontally weak molars
SLOW EXPANSION DEVICES
Coffin spring:Designed by Walter Coffin
Removable applianceDento-alveolar expansion
Made up of 1.25mm thick omega shaped wire placed in mid palatal region
Free ends of omega embedded in acrylic
Activated 1 to 2 mm per week
Quad helix:
Described by RickettsConstructed using a 0.038 inch wire
Incorporates 4 helices, therefore flexibility and range of application is more
Ni-Ti expanders:
Developed by ArndtFixed-removable tandem loop maxillary expanders
Has the capacity to rotate,upright,distalize and expand the anterior and posterior arch
Dual temp sensitive components
Anteriorly, finger spring of 0.032 inch diameter wire
0.5mm per week tooth movement
Advantages:
Self activatedAutomatically expands to pre-determined shape
Requires little manipulation by clinician
Light continuous forces
Easy adaptability in inactive state
First tried by Kingsley using headgear
Aimed at moving the molars distally to gain spoaceIdeal timimg mixed denition period prior to eruption of second permanent molars
Indications:
Straight profileFunctional :
Normal, healthy T.M.J
Correct Maxillo-Mandibular relationship
Distalization:
Skeletal
class I skeletal relationship
skeletal closed bite
brachycephalic growth pattern
Dental
Class II or end on relationshipDiscrepancy of (2 - 3 mm)
Contraindications :
Class I or III malocclusionOpen bite
Posterior crowding
Types:
Extra oral: (Using headgears)Components:
• Force delivering unit : face bow/ J hook
• Force generating unit :elastic strap
• Anchoring unit: head cap/ neck strap
It brings about bodily movement or distal tipping of the molars in a posterior direction
Tipping movement is recommended in case of horizontal growth pattern and deep bites. In such cases it helps in opening the bite and also increases lower anterior facial height.Headgears allow bilateral as well as unilateral distalization. Also, amount of distalization can be controlled individually
Intra oral:
• Sagittal appliance
Removable appliance incorporating jackscrews
Consists of a split acrylic plate joined by jackscres
Acrylic plate is sectioned in such a way that the tooth to be distalised is isolated and the rest of the arch is used for anchorage
Retained using adams clasps
Jackscrews are parallel to surface of molars
Used for individual tooth distalization
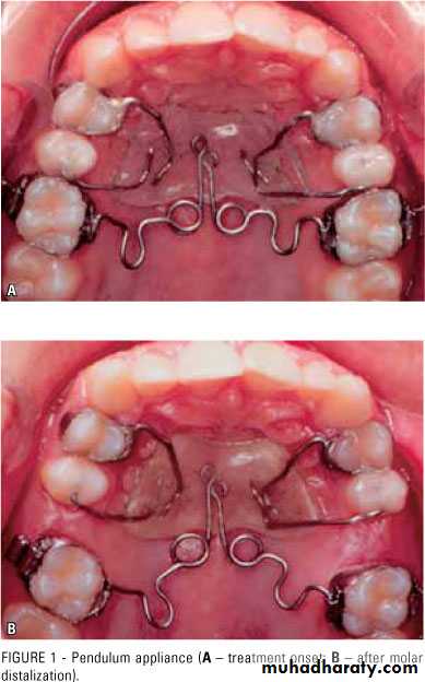
Pendulum appliance:
Intra-oral distalization appliance introduced by HilgersIncorporates a modified Nance button for anchorage and a stainless steel wire
The wire has a helix the distal end of which is inserted into a sleeve at the palatal aspect of the molar to be distalised
Activated by opening the helices and engaging the distal ends into the sleeves
Types
• Heliger’s pendex
• Heliger’s PhD appliance
• T-rex appliance
Jasper jumper
Fixed appliance for correction of class II skeletal malocclusionDelivers light continuous forces
Takes anchorage from lower canine region to distalise maxillary molars
Used for single tooth or entire arch
Distal jet appliance:
Lingual distalization applianceActive components are placed palatally which provide more bodily movements
Consists of bilateral piston and tube arrangement
Tube is embedded in modified acrylic
Anchorage by Nance palatal button that are bonded to bands attached to 1 or 2 premolars
A Ni-Ti spring and activation collar are placed near each tube
Activation collar is retracted distally, causing compression and thereby activation
Advg: less distal tipping
• Skeletal jaw mal-relations
Uprighting of molars
Premature loss of teeth may result in tipping of the adjacent teethA tipped teeth occupies more space
Therefore uprighting of teeth allows for recovery of some space
It can be achieved by space regainers
Rotated teeth occupy more space
De-rotation provides some amount of spaceCan be brought about by space regainers and springs
De-rotation of teeth








































