Radiographic Interpretation:Anatomic Landmarks, Decay, & Dental Materials
Radiopaque:refers to a light area on the film
–Structures that are absorbers of x-rays block the x-rays from reaching the film–The x-rays are attenuated (decreased in intensity) by absorbing structures
–Fewer photons reach the emulsion (less exposure)
–Dense structures are strong absorbers
•Radiolucent:
refers to a dark area on the filmStructures that are less dense are poor absorbers and allow more photons to reach the film emulsion (more exposure)
Radiopaque to Radiolucent
•Metal•Enamel
•Cementum
•Dentin
•Bone
•Muscle
•Fat
•Air
Restorative and surgical materials have various densities and abilities to absorb. Metallic materials are more dense than enamel, thus appear very white on radiographs.
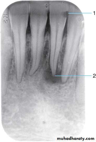
SUPPORTING STRUCTURE
Alveolar crestLamina dura
Periodontal ligament space
Cancellous bone
Teeth are composed of pulp (arrow on the secondmolar), enamel (arrow on the first molar), dentin (arrow onthe second premolar), and cementum (usually not visibleradiographically).
Developing root
Radiographic Anatomy Basics: The Tooth
Radiographic Anatomy Basics
Drawing of maxillary midline area. Shown are the (1) outline of nose, (2) incisive foramen , (3) lateral fossa, (4) nasal fossa, (5) nasal septum, (6) border of nasal fossa, (7) anterior nasal spine, and (8) median palatine suture
Radiographic Anatomy Basics
Radiograph of maxillary midline area. This radiograph shows the (1) incisive foramen, indicated by an irregularly shaped, rounded radiolucent area. Also seen are the (2) outline of the nose, (3) lateral fossa, (4) nasal fossa (radiolucent), (5) nasal septum (radiopaque), (6) border of nasal fossa, (7) anterior nasal spine, and (8) median palatine suture
Radiographic Anatomy Basics
Drawing of maxillary canine area. The drawing shows the (1) lateral fossa, (2) nasal fossa, (3) inverted Y (intersection of the borders of nasal fossa and maxillary sinus), and (4) maxillary sinus. (5) Note the dense radiopaque area caused by overlapping of the mesial surface of the first premolar over the distal surface of the canine. This overlapping is common in this region of the oral cavity because of the curvature of the arch.
Radiographic Anatomy Basics
Radiograph of maxillary canine area. Shown are the (1) lateral fossa, (2) nasal fossa, (3) inverted Y, (4) maxillary sinus, and (5) dense radiopaque area caused by overlappingRadiographic Anatomy Basics
Soft tissue of the nose in the path of the x-ray beam. Note that the soft tissue of the nose will be in the path of the x-ray beam in this exposure. The resultant radiograph will most likely show an image of the soft tissue, outlining the tip of the nose.
Radiographic Anatomy Basics
Soft tissue image of the nose (1). The resultant image of the soft tissue of the nose is often magnified to a large size. According to the rules of shadow casting , the further an object is from the film packet, the more likely that object will appear magnified. The tip of the nose is at an increased distance from the intraoral film packet, resulting in a magnification of the size of the nose.
Radiographic Anatomy Basics
Drawing of maxillary premolar area. Drawing shows the (1) border (floor) of maxillary sinus, (2) maxillary sinus, (3) septum in maxillary sinus dividing the sinus into two compartments, (4) zygomatic process of maxilla, (5) zygoma, and (6) lower border of zygomatic arch.
Radiographic Anatomy Basics
Radiograph of maxillary premolar area. This radiograph shows the (1) border (floor) of maxillary sinus, (2) maxillary sinus, (3) zygomatic process of maxilla, (4) septum in maxillary sinus dividing the sinus into two compartments, (5) zygoma, and (6) inferior border of the zygomatic arch
Radiographic Anatomy Basics
Drawing of maxillary molar area. Illustrated in the drawing are the (1) border (floor) of maxillary sinus, (2) maxillary sinus, (3) zygomatic process of maxilla, (4) zygoma, (5) septum in maxillary sinus, (6) lower border of zygomatic arch, (7) hamulus (hamular process), (8) maxillary tuberosity, and (9) coronoid process (mandible)
Radiographic Anatomy Basics
Radiograph of maxillary molar area. This radiograph shows (1) border (floor) of maxillary sinus, (2) maxillary sinus, (3) zygomatic process of maxilla, (4) zygoma, (5) lateral pterygoid plate, (6) lower border of zygomatic arch, (7) maxillary tuberosity, and (8) coronoid process of the mandible
Radiographic Anatomy Basics
Radiograph of maxillary molar area. This radiograph shows (1) hamulus (hamular process), which is a downward projection of the medial pterygoid plate, (2) lateral pterygoid plate, (3) coronoid process of the mandible, (4) maxillary tuberosity, and (5) maxillary sinus
Radiographic Anatomy Basics
Coronoid process of the mandible may be imaged on intraoral radiographs of the maxillary posterior region. Note the position of the film holder when exposing a maxillary posterior periapical radiograph. The coronoid process of the mandible will most likely be imaged on this radiograph.
Radiographic Anatomy Basics
Drawing of mandibular midline area. The illustration shows (1) mental ridge, (2) nutrient canal, (3) nutrient foramen, (4) genial tubercles, (5) lingual foramen, and (6) inferior border of mandible
Radiographic Anatomy Basics
Radiograph of the mandibular midline area. This radiograph shows the (1) mental ridge, (2) nutrient canal, (3) nutrient foramen, (4) genial tubercles surrounding the (5) lingual foramen, and (6) inferior (lower) border of the mandible (radiopaque band of dense cortical bone).
*Often times when the vertical angulation is too excessive- you see the cortical bone
Radiographic Anatomy Basics
Drawing of mandibular canine area. Illustrated in the drawing are a (1) nutrient canal, and (2) torus mandibularis (lingual torus)
Radiographic Anatomy Basics
Radiograph of mandibular canine area. A (1) nutrient canal, and (2) torus mandibularis (lingual torus) are seen in this radiograph
Radiographic Anatomy Basics
Drawing of mandibular premolar area. This drawing shows a (1) torus mandibularis, (2) ext oblique ridge, (3) mylohyoid or internal ridge, (4) submandibular fossa, (5) mandibular canal, and (6) mental foramen
Radiographic Anatomy Basics
Radiograph of mandibular premolar area. Radiograph shows the (1) submandibular fossa, (2) a thin radiolucent line indicating the periodontal ligament space, (3) thin radiopaque line representing the lamina dura, and (4) the mental foramen
Radiographic Anatomy Basics
Drawing of mandibular molar area. Drawing illustrates the (1) ext oblique ridge, (2) mylohyoid or internal ridge, (3) submandibular fossa, and (4) mandibular canal
Radiographic Anatomy Basics
Radiograph of mandibular molar area. Shown are the (1) oblique ridge (buccal), (2) mylohyoid ridge (lingual) (3) mandibular canal, and (4) submandibular fossa
Radiographic Anatomy Basics
Radiograph of mandibular molar area. Shown are the
(1) Ext oblique ridge,(2) mylohyoid or internal oblique ridge,(3) mandibular canal and
(4) submandibular fossa
Radiographic Anatomy Basics
Dental Caries
Vertical angulation
(A) Improper vertical angulation (excessive) obliterates viewing this proximal surface carious lesion. (B) Proper vertical angulation shows interproximal cariesDental Caries
Horizontal angulation. (1) Improper horizontal angulation prevents viewing interproximal caries. (2) Improved horizontal angulation, but caries difficult to view. (3) Proper horizontal angulation shows interproximal caries
• Dental Caries
Interpreting Dental CariesDiagram of classification of dental caries (1) Enamel caries less than halfway through the enamel (incipient caries) (2) Enamel caries penetrated over halfway through the enamel (moderate caries)
(3) Caries definitely at or through the dentino-enamel junction (DEJ), but less than halfway through the dentin toward the pulp (advanced caries).(4) Caries that has penetrated over halfway through the dentin toward the pulp (severe caries)
• Dental Caries
RAMPANT
• Dental CariesInterpreting Dental Caries
Drawing indicating the area to examine for interproximal caries. To best detect proximal surface caries, view the area where two adjacent teeth contact, apical down to the area where the gingival margin would most likely be (boxed area). Cervical burnout is most likely to be imaged apical to the gingival margin.
Root caries?? Can be deceiving …..
Radiograph of occlusal caries. This radiograph shows (1) severe occlusal caries, which appears as a large radiolucent lesion in the first molar
• Dental Caries
• Dental Caries
Radiograph of buccal or lingual caries. Buccal or lingual caries on this mandibular second premolar appears as a round radiolucency (superimposed over the pulp chamber)
Dental Caries
Radiograph of cemental (root) caries. The large radiolucency on the distal surface of the distal root of the first mandibular molar
Dental Root Caries
Dental Root Caries
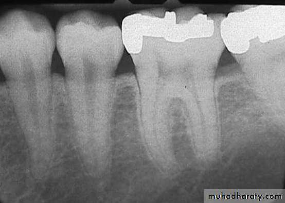
Radiograph of recurrent caries. This radiograph shows (1) radiolucent caries under the metallic restoration
Dental Recurrent Caries
Conditions Resembling Caries
Bitewing radiograph. This radiograph shows (1) large occlusal caries, (2) radiolucent lines or mach band effect (an optical illusion caused by overlapped enamel), (3) interproximal caries, and
(4) cervical burnout
Radiographic Appearance of Dental Restorative Material
Radiographic Appearance of Dental Restorative Material
Dental materials. This radiograph shows several metallic and non-metallic dental materials. Since all of the metal restorations are equally radiopaque, their size and shape is observed to determine the type of material. The materials present in this radiograph are: (1) amalgam;(2) porcelain-fused-to-metal crown; (3) post and core; (4) gutta percha; (5) base material; (6) full metal crown, which is the posterior abutment of a three-unit bridge; (7) retention pin; and (8) metal pontic (part of the three-unit bridge).
Restorative Materials
Restorative Materials
Restorative Materials
Restorative Materials
This radiograph shows (1) radiolucent restorations (composites) on the mesial surface of the lateral incisor and distal surface of the central incisor. Note that under both restorations is a base of radiopaque material. (2) The radiolucencies on the mesial surfaces of both central incisors are carious lesions.
Restorative Materials & Decay
Retention pins. (1) Radiopaque pins help retain the radiolucent composite restorations. (2) Small radiopaque amalgam restorations.
70
Restorative Materials
Restorative Materials
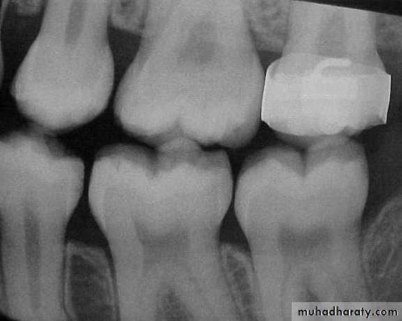
On buccal or lingual?
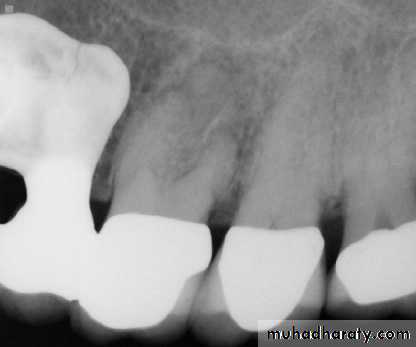
What kind of crowns?What is this?!?
























































































