• Dr. Zeki Ali Mohamed
• MRCP UK ( Edinburgh & London )• FIBMS - Haematology
• Consultant Physician & Haematologist
• Azadi Teaching Hospital
• Lecturer / Departmeent of Medicine
• Duhok University – Faculty of Medical Sciences
• School of Medicine
1
Haematological Malignancies
2
3
The aetiology of haemopoietic malignancy:
• Exactly how genetic mutations accumulate in haemopoietic malignancies is largely unknown.
• As in most diseases it is the combination of genetic background and environmental influence that determines the risk of developing a malignancy.
4
• I - Inherited factors
• The incidence is greatly increased in some genetic diseases, particularly
• Down's syndrome (about 20 – 30 fold increase)
• Bloom's syndrome.Fanconi’s anaemia.
• Ataxia telangiectasia.
• Neurofibromatosis
• There is also a weak familial tendency in diseases such as acute myeloid leukaemia (AML), CLL, Hodgkin lymphoma and non-Hodgkin lymphoma (NHL)
5
• II - Environmental influences
• Chemicals
• Chronic exposure to BENZENE (MDS or AML)
• Drugs
• The alkylating agents (e.g. chlorambucil, melphalan, procarbazine) predispose to AML, especially if combined with radiotherapy.
• Etoposide is associated with a risk of the development of secondary
• Radiation
• Radiation, especially to the marrow, is leukaemogenic.
• (Increased incidence of leukaemia in survivors of the atom bomb explosions in Japan)
6
• Infection
• Viruses
• Viral infection is associated with several types of haemopoietic malignancy, especially different subtypes of lymphoma.
• Human T-lymphotropic virus type 1 is the cause of adult T-cell leukaemia/lymphoma.
• Epstein-Barr virus (EBV) With endemic (African) Burkitt lymphoma, post-transplant lymphoproliferative disease and a proportion of patients with Hodgkin lymphoma
• Human herpes virus 8 (Kaposi's sarcoma and primary effusion lymphoma)
• HIV infection increased incidence of lymphomas at unusual sites ( CNS).
7
• Bacteria
• Helicobacter pylori infection has been implicated in the pathogenesis of gastric mucosa B-cell (MALT) lymphoma.
• Protozoa
• Endemic Burkitt lymphoma occurs in the tropics, particularly in malarial areas. malaria may alter host immunity and predispose to tumour formation as a result of EBV infection.
8
• Leukaemias
• Leukaemias are a group of disorders characterized by the accumulation of malignant white cells in the bone marrow and blood.
• These abnormal cells cause symptoms because of:
• Bone marrow failure
(e.g. anaemia, neutropenia, thrombocytopenia)
• Infiltration of organs
(e.g. liver, spleen, lymph nodes, meninges, brain, skin or testes).
9
10
• Diagnosis of acute leukaemia
• Acute leukaemia is normally defined
• As the presence of over 20% of blast cells in the blood or bone marrow at clinical presentation.
• However, it can be diagnosed with less than 20% blasts if specific leukaemia-associated cytogenetic or molecular genetic abnormalities are present.
11
12
13
• AML Incidence
• Acute myeloid leukaemia (AML)
• is the most common form of acute leukaemia in adults
• and becomes increasingly common with age with a median onset of 65 years.
• It forms only a minor fraction (10–15%) of the leukaemias in childhood.
14
• Classification
AML is classified according to the World Health Organization scheme, which focuses on the genetic abnormalities within the malignant cells.
Approximately 60% of cases exhibit karyotypic abnormalities on cytogenetic analysis.
Many cases with a normal karyotype carry mutations in genes15
16
Clinical features
• Clinical features are dominated by the pattern of bone marrow failure.
• Infections are frequent and Anaemia and Thrombocytopenia are often profound.
• A bleeding tendency caused by thrombocytopenia and disseminated intravascular coagulation (DIC) is characteristic of the promyelocytic variant of AML.
• Gum hypertrophy and infiltration, skin involvement and CNS disease are characteristic of the myelomonocytic and monocytic subtypes.
17
• Orbital infection in a patient with AML and severe neutropenia.
(b) top: plaque Candida albicans on soft palate; lower: plaque Candida albicans in the mouth, with lesion of herpes simplex on the upper lip.(c) Skin infection (Pseudomonas aeruginosa).
18
• Monocytic a leukaemia: the gums are swollen and haemorrhagic with infiltration by leukaemic cells.
19
• Investigations
• Haematological investigations:
• A normochromic normocytic anaemia with thrombocytopenia in most cases.
• The total white cell count is usually increased and blood film examination typically shows a variable numbers of blast cells. The bone marrow is hypercellular and typically contains many leukaemic blasts
• Tests for DIC are often positive in patients with the promyelocytic variant of AML.
• Biochemical tests:
• Are performed as a baseline before treatment begins and may reveal raised uric acid or lactate dehydrogenase.
20
21
• (a) Blast cells without differentiation show few granules may show Auer rods (b) cells in differentiation show multiple cytoplasmic granules (c) M3 blast cells contain prominent granules or multiple Auer rods;
• (d) myelomonocytic blasts have some monocytoid differentiation; (e) monoblastic leukaemia in which >80% of blasts are monoblasts; (f) monocytic with <80% of blasts monoblasts. (g) Erythroid showing preponderance of erythroblasts; (h) Megakaryoblastic showing cytoplasmic blebs on blasts.
22
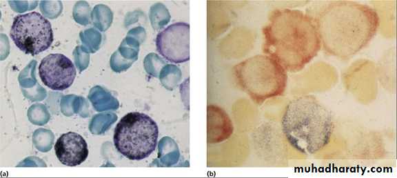
Cytochemical staining in acute myeloid leukaemia. (a) Sudan black B shows black staining in the cytoplasm. (b) Myelomonocytic: non-specific esterase/chloracetate staining shows orange-staining monoblast cytoplasm and blue-staining (myeloblast) cytoplasm.
23
• FACS analysis of AML - tumour cells are initially gated on forward scatter (FSC) versus side scatter (SSC). Further analysis reveals (i) lack of expression of lymphocyte markers (CD3 and CD19), (ii) expression of CD33 and (iii) CD117 as well as HLA-DR on a subset of cells.
24
• Cytogenetics and molecular genetics
•
25
Treatment
• Management is both supportive and specific.
• 1 - General supportive therapy for bone marrow failure includes the insertion of a central venous cannula, blood product support and prevention of tumour lysis syndrome.
• The platelet count is generally maintained above 10 × 109/L and the haemoglobin above 8 g/dL. Any episode of fever must be treated promptly.
• Acute promyelocytic leukaemia ( APL ) needs special support
• 2 - The aim of treatment in acute leukaemia is to induce Complete Remission ( CR ) (<5% blasts in the bone marrow, normal blood counts and clinical status) and then to consolidate this with intensive therapy, hopefully eliminating the disease.
• Allogeneic stem cell transplantation is considered in poor prognosis cases or patients who have relapsed.
26
• 3 - Specific therapy of AML is determined by
• The age and performance status of the patient
• The genetic lesions within the tumour.
• In younger patients treatment is primarily with the use of intensive chemotherapy.
• This is usually given in four blocks each of approximately 1 week and the most commonly used drugs are cytosine arabinoside and daunorubicin (both in conventional or high doses).
• Idarubicin, mitoxantrone and etoposide are also used in various regimens).
27
• Drugs are myelotoxic with limited selectivity between leukaemic and normal marrow cells Marrow failure resulting from the chemotherapy is severe, and prolonged and intensive supportive care is required
• Problems unique to promyelocytic variant APL include the haemorrhagic syndrome ( a bleeding problem associated with catastrophic haemorrhage).
• It is treated as for DIC with multiple platelet transfusions and replacement of clotting factors with fresh frozen plasma
• In addition, all-trans retinoic acid (ATRA) therapy is given in conjunction with chemotherapy for this disease subtype.
28
• Promyelocytic leukaemia with the t(15; 17) translocation responds to treatment with ATRA which causes differentiation of the abnormal promyelocytes and improved prognosis.
• The differentiation ( ATRA ) syndrome:
• A specific problem arise after ATRA treatment. The Neutrophilia that follows differentiation of promyelocytes , result in fever, hypoxia with pulmonary infiltrates and fluid overload.
• Treatment is with 10mg dexamethasone intravenously twice daily.
• In Severe cases ATRA should be discontinued.
29
Acute myeloid leukaemia: flow chart illustrating typical treatment regimen
30Typical flow chart for the management with chemotherapy of acute myeloid leukaemia. WBC, white blood cells.
31
• Stem cell transplantation
• Allogeneic stem cell transplantation (SCT) reduces the rate of AML relapse but carries risk of morbidity and mortality. It is therefore not used for patients in the favourable risk group unless they have disease relapse. SCT is used for some patients with standard or poor risk AML in first remission. Clinical trials are continuing to establish firm indications.










