Liver surgery
Dr.Muayad Abass FadhelSurgery department
Medical college –Baghdad university
Al-Madena copy
1The liver is the largest organ in the body, weighing 1.5 kg in the average 70-kg man.
The liver parenchyma is entirely covered bya thin capsule and by visceral peritoneum on all but the posterior surface of the liver, termed the ‘bare area’.
The liver is divided into a large right lobe, which constitutes three-quarters of the
liver parenchyma, and a smaller left lobe. Surgical resection of these lobes would be termed a right or left lobectomy.
Anatomy
Al-Madena copy
2
Al-Madena copy
3left triangular ligament
The right triangular ligamentfalciform ligament (remnant of the umbilical
vein), which runs from the umbilicus to the liver between them right and left lobes, passing into the interlobar fissure.
Ligaments and peritoneal reflections
Al-Madena copy
4
The blood supply to the liver is unique, 80% being derived from the portal vein and 20% from the hepatic artery.
The arterial blood supply in most individuals is derived from the coeliac trunk of the aorta, where the hepatic artery arises along with the splenic artery. After supplying the gastroduodenal artery, it branches at a very variable level to produce the right and left hepatic arteries.
The blood supply to the right lobe of the liver may be partly or completely supplied by a right hepatic artery arising from the superior mesenteric artery
Similarly, the arterial blood supply to the left lobe of the liver may be derived from the coeliac trunk via its left gastric branch.
Liver blood supply
Al-Madena copy
5
The hepatic artery, portal vein and bile duct are present within the free edge of the lesser omentum or the ‘hepatoduodenal ligament’.
The usual anatomical relationship of these structures is for the bile duct to be within the free edge, the hepatic artery to be above and medial, and the portal vein to lie posteriorly.
Within this ligament, the common hepatic duct is joined by the cystic duct at a varying level to form the common bile duct.
Al-Madena copy
6The common hepatic artery branches at a variable level within the ligament to form two, or often three, main arterial branches to the liver. The right hepatic artery often crosses the bile duct either anteriorly or posteriorly before giving rise to the cystic artery.
Multiple small hepatic arterial branches provide blood to the bile duct, principally from the right hepatic artery.
The portal vein arises from the confluence of the splenic vein and the superior mesenteric vein behind the neck of thepancreas. It has some important tributaries, including the left gastric vein which joins just above the pancreas.
Al-Madena copy
7The venous drainage of the liver is via the hepatic veins into the IVC.
Venous drainage of the liverAl-Madena copy
8
The inferior hepatic veins are short vessels that pass directly between the liver parenchyma and the anterior wall of the IVC.
The major venous drainage is through three large veins that join the IVC immediately below the diaphragm. .
The right hepatic vein can be exposed fully outside the liver
Al-Madena copy
9
, but the middle and left veins usually join within the liver parenchyma.
Al-Madena copy10
■ Maintaining core body temperature
■ pH balance and correction of lactic acidosis■ Synthesis of clotting factors
■ Glucose metabolism, glycolysis and gluconeogenesis
■ Urea formation from protein catabolism
■ Bilirubin formation from haemoglobin degradation
■ Drug and hormone metabolism
■ Removal of gut endotoxins and foreign antigens
Main functions of the liver
Al-Madena copy
11
USED TO
Detect presence of liver diseaseDistinguish among different types of liver diseases
Gauge the extent of known liver damage
Follow the response of treatment
Liver function test
Al-Madena copy
12
Tests based on detoxification & excretory functions
Serum bilirubinUrine bilirubin
Blood ammonia
Serum enzymes : AST, ALT, GGT, 5’Nucleotidase,ALP
Al-Madena copy
13Tests that measure Biosynthetic function of liver
Serum AlbuminSerum Globulins
PT ,INR
Al-Madena copy
14
Bilirubin is synthesised in the liver and excreted in the bile. Increased levels may be associated with: 1-increased haemoglobin breakdown
2- hepatocellular dysfunction resulting in impaired bilirubin transport and excretion, or
3- biliary obstruction.
Liver function test
Al-Madena copy
15
Serum Bilirubin
A break down product of porphyrin ring of heme – containing proteins ,found in blood in 2 fractions – conj/unconj
Conjugated : water soluble , so excreted by kidneys
Unconjugated : insoluble in water , bound to albumin in blood
About 300 mg of bilirubin is formed per day
Al-Madena copy
16
Serum Bilirubin
Normal total serum bilirubin: 0.3 – 1.3 mg/dlDirect/conjugated bilirubin: 0.1 – 0.4 mg/dl
Indirect/unconjugated bilirubin: 0.2 – 0.9mg/dl
Al-Madena copy
17Urine Bilirubin
Unconj bilirubin – binds to albumin in serum & not filtered by kidneys
Any bilirubin in urine is conj.bilirubin, the presence of bilirubinuria – liver ds.
In acute viral hepatitis – bilirubin appears in urine before urobilinogen and jaundice.
Undiagnosed febrile illness with bilirubinuria - hepatitis
Al-Madena copy
18
Blood Ammonia
Produced by normal protein metabolism by intestinal bacteria in colonLiver – detoxification – converting into urea which is excreted by kidneys.
Pts with advanced liver diseases contributes to hyperammonemia.
.
Al-Madena copy
19
The transaminase levels [aspartate transaminase (AST) and alanine transaminase (ALT)] reflect acute hepatocellular damage, as does the gamma-glutamyl transpeptidase (GGT) level, which may be used to detect the liver injury associated with acute alcohol ingestion.
The synthetic functions of the liver are reflected in the ability to synthesise proteins (albumin level) and clotting factors (prothrombin time).
The standard method of monitoring liver function in patients with chronic liver disease is serial measurement of bilirubin, albumin and prothrombin time.
Al-Madena copy
20Alanine transaminase(SGPT)
Normal : 7 – 41 U/L
ALT found primarily in liver.
Al-Madena copy
21
Aspartate transaminase (SGOT)
Normal – 12 – 38U/LAST – liver , cardiac muscles, skeletal muscle, kidneys, brain, pancreas, lungs, leucocytes, RBC in decreasing order.
Al-Madena copy
22Serum Enzymes – that reflect cholestasis
2 enzymesAlkaline Phosphatase
5’Nucleotidase
Al-Madena copy
23Alkaline Phosphatase
< 3 fold rise can be seen in many types of liver ds ( infective, alcoholic hepatitis, HCC )
>4 times – cholestatic liver ds, infiltrative liver ds, bone ds with rapid bone turnover .
In absence of jaundice/elevated aminotransferases – elevated ALP of liver – often early cholestasis and less often infiltrative hepatic ds.
Al-Madena copy
24
Isolated rise of ALP – hodgkins lymphoma,
diabeteshyperthyroidism
CHF
amyloidosis
inf.bowel ds
Not helpful in diff b/w intrahep & extrahep cholestasis
Al-Madena copy
25
5’Nucleotidase
Normal :2 – 10 U/LModerate elevated – hepatitis
Highly elevated – biliary obs
Unlike ALP , the level is unrelated with osteoblastic activity ie.. Unaffected by bone ds.
Al-Madena copy
26
Test Normal range
Bilirubin 5–17 μmol l–1
Alkaline phosphatase (ALP) 35–130 IU l–1
Aspartate transaminase (AST) 5–40 IU l–1
Alanine transaminase (ALT) 5–40 IU l–1
Gamma-glutamyl transpeptidase (GGT) 10–48 IU l–1
Albumin 35–50 g l–1
Prothrombin time (PT) 12–16 s
Al-Madena copy
27Imaging of the liver
Al-Madena copy28
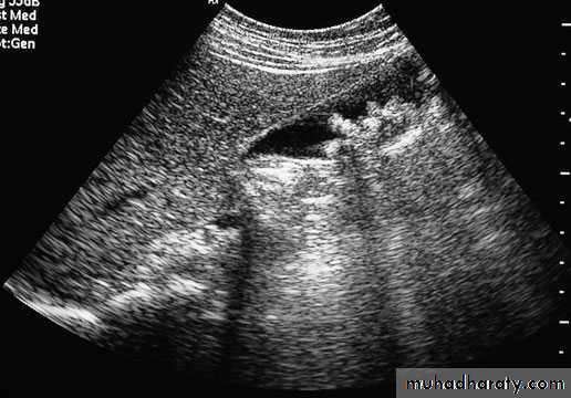
This is the first-line test owing to its safety and availability.
It is entirely operator dependent.It is useful for determining bile duct dilatation, the presence of gallstones and the presence of liver tumours.
Doppler ultrasound allows flow in the hepatic
artery, portal vein and hepatic veins to be assessed.
In some countries, it is used as a screening test for the development of primary liver cancers in a high-risk population.
Ultrasound is useful in guiding the percutaneous biopsy of a liver lesion
Ultrasound
Al-Madena copy
29
Al-Madena copy
30The current ‘gold standard’ for liver imaging is triple-phase, multislice, spiral computerised tomography (CT).
This provides fine detail of liver lesions down to less than 1 cm in diameter and gives information on their nature .
Oral contrast enhancement allows visualisation of the stomach and duodenum in relation to the liver hilum.
The early arterial phase of the intravenous contrast vascular enhancement is particularly useful for detecting small liver cancers, owing to their preferential arterial blood supply.
Computerised tomography
Al-Madena copy
31
The venous phase maps the branches of the portal vein within the liver and the drainage via the hepatic veins.
Inflammatory liver lesions often exhibit rim enhancement with intravenous contrast, whereas the common haemangioma characteristically shows late venous enhancement.
The density of any liver lesion can be measured, which can be useful in establishing the presence of a cystic lesion.
Al-Madena copy
32Magnetic resonance imaging (MRI) would appear to be as effective an imaging modality as CT in the majority of patients with liver disease.
It does, however, offer several advantages.
First, the use of iodine-containing intravenous contrast agents is precluded in many patients because of a history of allergy.Those patients should be offered MRI rather than contrast CT.
Second, magnetic resonance cholangiopancreatography (MRCP) provides excellent quality, non-invasive imaging of the biliary tract.
Magnetic resonance imaging
Al-Madena copy
33
It is useful for diagnostic questions when ERCP has failed or is impossible due to previous surgery.
Magnetic resonance angiography (MRA) similarly provides high-quality images of the hepatic artery and portal vein, without the need for arterial cannulation.
It is used as an alternative to selective hepatic angiography for diagnosis.
Al-Madena copy
34It is particularly useful in patients with chronic liver disease and a coagulopathy in whom the patency of the portal vein and its branches is in question.
Al-Madena copy
35Al-Madena copy
36ERCP is required in patients with obstructive jaundice who cannot undergo MRCP because of claustrophobia
or where an endoscopic intervention is anticipated based on previous imaging [endoscopic removal of common bile duct (CBD) stones or insertion of a palliative biliary tract stent].
Endoscopic retrogradecholangiopancreatography
Al-Madena copy37
Al-Madena copy
38A preoperative check of coagulation is essential, along with prophylactic antibiotics and an explanation of the main complications, which include pancreatitis, cholangitis and bleeding or perforation of the duodenum related to sphincterotomy.
Al-Madena copy
39
PTC is indicated where endoscopic cholangiography has failed or is impossible, e.g. in patients with previous pancreatoduodenectomy or Pólya gastrectomy.
It is often required in patients with hilar bile duct tumours to guide external drainage of the bile ducts to relieve jaundice and to direct stent insertion.
Percutaneous transhepatic cholangiography
Al-Madena copy
40
Selective visceral angiography may be required for diagnostic purposes but, with improving cross-sectional imaging (CT and MR angiography), is usually employed for therapeutic intervention.
Prior to liver resection, it may be used to visualise the anatomy of the hepatic artery to the right and left sides of the liver and to confirm patency or tumour involvement of the portal vein.
Angiography
Al-Madena copy
41
It can also provide additional information on the nature of a liver nodule, as primary liver tumours have a well developed arterial blood supply.
Therapeutic interventions include the occlusion of arteriovenous malformations, the embolisation of bleeding sites in the liver and the treatment of liver tumours (transarterial embolisation, TAE).
Al-Madena copy
42Radioisotope scanning can provide diagnostic information that cannot be obtained by other imaging modalities.
Iodoida is a technetium-99m (99mTc)-labelled radionuclide that is administered
intravenously, removed from the circulation by the liver,
processed by hepatocytes and excreted in the bile.
Imaging under a gamma camera allows its uptake and excretion to be monitored in real time.
Nuclear medicine scanning
Al-Madena copy43
These data are particularly useful when a bile leak or biliary obstruction is suspected and a non-invasive screening test is required.
A sulphur colloid liver scan allows Kupffer cell activity in the liver to be determined.
This may be particularly useful to confirm the nature of a liver lesion;
adenomas and haemangiomas lack Kupffer cells and hence show no uptake of sulphur colloid.
Al-Madena copy
44Laparoscopy is useful for the staging of hepatopancreatobiliary cancers.
Lesions overlooked by conventional imaging are mainly peritoneal metastases and superficial liver tumours.Laparoscopic ultrasound provides additional information for liver tumours on their proximity to the major vessels and bile duct branches.
Laparoscopy and laparoscopic ultrasound
Al-Madena copy
45
Ultrasound :Standard first-line investigation
Spiral CT :Anatomical planning for liver surgeryMRI :Alternative to spiral CT
MRCP: First-line, non-invasive cholangiography
ERCP :Imaging the biliary tract when endoscopic
intervention is anticipated (e.g. ductalstones)
PTC :Biliary tract imaging when ERCP impossible or failed
Angiography :To detect vascular involvement by tumour
Nuclear medicine :To quantify biliary excretion and tumour
spread
Laparoscopy/Laparoscopic US: To detect peritoneal tumour spread and superficial liver metastases
Imaging modality Principal indication
Al-Madena copy46
Liver trauma can be divided into blunt and penetrating injuries.
Blunt injury produces contusion, laceration and avulsion injuries to the liver, often in association with splenic, mesenteric or renal injury.Penetrating injuries, such as stab and gunshot wounds, are often associated
with chest or pericardial involvement .
LIVER TRAUMA
Al-Madena copy
47
Clinical diagnosis
suspicion of a possible liver injury is essential.
All lower chest and upper abdominal stab wounds should be suspect, especially if considerable blood volume replacement has been required.
Similarly, severe crushing injuries to the lower chest or upper abdomen often combine rib fractures, haemothorax and damage to the spleen and/or liver.
Diagnosis of liver injury
Al-Madena copy
48
Patients who are haemodynamically stable should have an oral and intravenous contrast-enhanced CT scan of the chest and abdomen.
This will demonstrate evidence of parenchymal damage to the liver or spleen as well as associated traumatic injuries to their
feeding vessels.
Al-Madena copy
49Additional investigations that may be of value include peritoneal lavage, which can confirm the presence of haemoperitoneum, and laparoscopy, which can demonstrate an associated diaphragmatic rupture.
Al-Madena copy
50Penetrating
The initial management of a patient with an upper abdominal penetrating injury is the basis of resuscitation.
The initial survey assesses the patient’s airway patency, breathing pattern and circulation.
Peripheral venous access is gained with two large-bore cannulae and blood sent for cross-match of 10 units of blood,
Full blood count, urea and electrolytes, liver function tests, clotting screen, glucose and amylase.
Initial management of liver injuries
Al-Madena copy
51
Initial volume replacement should be with colloid or O-negative blood if necessary.
Arterial blood gases should be obtained and the patient intubated and ventilated if the gas exchange is inadequate.Intercostal chest drains should be inserted if associated pneumothorax or haemothorax is suspected
Al-Madena copy
52. Once initial resuscitation has commenced, the patient should be transferred to the operating theatre, with further resuscitation performed on the operating table.
The necessity for fresh frozen plasma and cryoprecipitate should be discussed with the blood transfusion service immediately the patient arrives, as these patients rapidly develop irreversible coagulopathies due to a lack of fibrinogen and clotting factors.
Al-Madena copy
53Blunt trauma
With severe blunt injuries, the plan for resuscitation and management is as outlined above for penetrating injuries.
For the patient who is haemodynamically stable, imaging by CT should be performed to further evaluate the nature of the injury.
The basic surgical management differs between penetrating and blunt injuries thought to involve the liver;
penetrating injuries should be explored, whereas blunt injuries can be treated conservatively.
Al-Madena copy
54The indication for discontinuing conservative treatment for blunt trauma would be evidence of on-going blood loss despite correction of any underlying coagulopathy and the development of signs of generalised peritonitis.
Al-Madena copy
55A rooftop incision gives excellent visualisation of the liver and spleen and, if necessary, can be extended upwards for a median sternotomy.
A stab incision in the liver can be sutured with a fine absorbable monofilament suture.
If necessary, this may be facilitated by producing vascular inflow occlusion by placing an atraumatic clamp across the foramen of Winslow (the Pringle manoeuvre).
The surgical approach to liver trauma
Al-Madena copy
56
Lacerations to the hepatic artery should be identified by placing an atraumatic bulldog clamp on the proximal vessel prior to repair with 5/0 or 6/0 Prolene suture.
If unavoidable, the hepatic artery may be ligated, although parenchymal necrosis and abscess formation will result in some individuals.
Portal vein injuries should be repaired with 5/0 Prolene, again with exposure of the vessel being facilitated by the placement of an atraumatic vascular clamp.
Al-Madena copy
57Diffuse parenchymal injuries should be treated by packing the liver to produce haemostasis.
This is effective for the majority of liver injuries if the liver is packed against the
natural contour of the diaphragm by packing from below.
Large abdominal packs should be used to ease their removal, and the
abdomen closed to facilitate compression of the parenchyma.
Al-Madena copy
58Necrotic tissue should be removed, but poorly perfused, though viable, liver left in situ.
If packing is necessary, the patient should have the packs removed after 48 hours, and usually no further surgical intervention is required. Antibiotic cover is advisable, and full reversal of any coagulopathy is essential.
Al-Madena copy
59A subcapsular or intrahepatic haematoma requires no specific intervention and should be allowed to resolve spontaneously.
Abscesses may form as a result of secondary infection of an area of parenchymal ischaemia, especially after penetrating trauma.
Treatment is with systemic antibiotics and aspiration under ultrasound guidance once the necrotic tissue has liquefied.
Bile collections require aspiration under ultrasound guidance or
percutaneous insertion of a pigtail drain.
The site of origin of a biliary fistula should be determined by endoscopic or percutaneous
cholangiography, and biliary decompression achieved by
nasobiliary or percutaneous transhepatic drainage or stent insertion.
Other complications of liver trauma
Al-Madena copy
60
Late vascular complications include hepatic artery aneurysm and arteriovenous or arteriobiliary fistulae
. These are best treated nonsurgically by a specialist hepatobiliary interventional radiologist.
The feeding vessel can be embolised transarterially.
Hepatic failure may occur following extensive liver trauma.
This will usually reverse with conservative supportive treatment if the blood supply and biliary drainage of the liver are intact
Al-Madena copy
61■ Remember associated injuries
■ At-risk groups
Stabbing/gunshot in lower chest or upper abdomen
Crush injury with multiple rib fractures
■ Resuscitate
Airway
Breathing
Circulation
■ Assessment of injury
Spiral CT with contrast
Laparotomy if haemodynamically unstable
■ Treatment
Correct coagulopathy
Suture lacerations
Resect if major vascular injury
Packing if diffuse parenchymal injury
Management of liver trauma
Al-Madena copy
62
Other complications of liver trauma
■ Intrahepatic haematoma■ Liver abscess
■ Bile collection
■ Biliary fistula
■ Hepatic artery aneurysm
■ Arteriovenous fistula
■ Arteriobiliary fistula
■ Liver failure
Other complications of liver trauma
Al-Madena copy
63
The aetiology of a pyogenic liver abscess is unexplained in the majority of patients.
It has an increased incidence in the elderly, diabetics and the immunosuppressed, who usually present with anorexia, fevers and malaise, accompanied by right upper quadrant discomfort.
The diagnosis is suggested by the finding of a multiloculated cystic mass on ultrasound or CT scan.
And is confirmed by aspiration for culture and sensitivity.
Pyogenic liver abscess
Al-Madena copy64




