Gall bladder and biliary tree
Dr .Muayad Abass Fadhelalmadena copy
1
Gall bladder is a pear-shaped structure
7.5–12 cm long,with a normal capacity of about 35–50 ml
anatomy
almadena copy2
The anatomical divisions are a fundus, a
body and a neck that terminates in a narrow infundibulumThe cystic duct is about 3 cm in length.
Its lumen is usually 1–3 mm in diameter.
almadena copy
3
the cystic duct joins the common hepatic duct in 80% of cases,in supradudenal portion
it may extend down into the retroduodenal or even retropancreatic part of the bile duct before joining.(low insertion)the cystic duct may join the right hepatic duct or even a right hepatic sectorial duct
almadena copy
4The common hepatic duct is usually less than 2.5 cm long and is formed by the union of the right and left hepatic ducts.
The common bile duct is about 7.5 cm long and is formed by the junction of the cystic and common hepatic ducts.
almadena copy
5CBD is divided into four parts:
the supraduodenal portion, about 2.5 cm long, running in thefree edge of the lesser omentum;
• the retroduodenal portion;
• the infraduodenal portion, which lies in a groove on the posterior surface of the pancreas;
• the intraduodenal portion, which passes obliquely through the
wall of the second part of the duodenum, where it is surrounded
by the sphincter of Oddi, and terminates by opening
on the summit of the ampulla of Vater.
almadena copy
6
The cystic artery, a branch of the right hepatic artery.
almadena copy7
The most dangerous anomalies are where the hepatic artery takes a tortuous course on the front of the origin of the cystic duct, or the right hepatic artery is tortuous and the cystic artery short. The tortuosity is known as the ‘caterpillar turn’ or ‘Moynihan’s hump’
almadena copy
8Lymphatics
The lymphatic vessels of the gall bladder (subserosal and submucosal) drain into the cystic lymph node of Lund (the sentinellymph node)
almadena copy
9Bile, is composed of 97% water, 1–2% bile salts and 1% pigments, cholesterol and fatty acids.
The liver excretes bile at a rate estimated to be approximately 40 ml h–1.
Surgical physiology
almadena copy
10
1-Reservoir for bile.
During fasting, resistance to flow through the sphincter is high, and bile excreted by the liver is diverted to the gall bladder. After feeding, the resistance to flow through the sphincter of Oddi is reduced, the gall bladder contracts, and the bile enters the duodenum.These motor responses
of the biliary tract are in part effected by the hormone CCK.
FUNCTIONS OF THE GALL BLADDER
almadena copy11
2- concentration of bile by active absorption of water, sodium chloride and bicarbonate 5–10 times.
3- secretion of mucus
approximately 20 ml is produced per day. With total obstruction of the cystic duct in a healthy gall bladder, a mucocele developson account of this function of the mucosa of the gall bladder.
almadena copy
12Plain radiograph
1- radio-opaque gallstones in 10% of patientsthe centre of a stone may contain radiolucent gas in a triradiate or biradiate fissure, and this gives rise to characteristic dark shapes on a radiograph – the ‘Mercedes-Benz’ or ‘seagull’ sign.
RADIOLOGICAL INVESTIGATION OF THE BILIARY TRACT
almadena copy
13
2- calcification of the gall bladder, a so called ‘porcelain’ gall bladder ,PREMALIGNANT in up to 25% of patients. SO indication for cholecystectomy.
3-Gas may be seen in the wall of the gall bladder
(emphysematous cholecystitis).
4-Gas in the biliary tree may be seen after endoscopic sphincterotomy or surgical anastomosis
almadena copy
14■ Ultrasound: stones and biliary dilatation
■ Plain radiograph: calcification■ Magnetic resonance cholangiopancreatography: anatomy
and stones
■ Multidetector row computerised tomography scan:
anatomy, liver, gall bladder and pancreas cancer
■ Radioisotope scanning: function
■ Endoscopic retrograde cholangiopancreatography:
anatomy, stones and biliary strictures
■ Percutaneous transhepatic cholangiography: anatomy and
biliary strictures
■ Endoscopic ultrasound: anatomy and stones
Investigation of the biliary tree
almadena copy
15
Ultrasonography
biliary calculi,the size of the gall bladder,
the thickness of the gall bladder wall,
the presence of inflammation around the gall bladder,
the size of the common bile duct and, occasionally, the presence of stones within the biliary tree.
show a carcinoma of the pancreas occluding the common bile duct.
In OBSTRUCTIVE JAUNDICE identify intra- and
almadena copy
16extrahepatic biliary dilatation and the level of obstruction.
the cause of the obstruction may also be identified,almadena copy
17Endoscopic ultrasonography :
It provides accurate imaging of the common bile duct and is particularly useful in detecting
stones within the bile ducts,choledocholithiasis.
In addition, it has been shown to be highly accurate in diagnosing and stataging both pancreatic and periampullary cancers.
almadena copy
18Technetium-99m (99mTc)-labelled derivatives of iminodiacetic acid (HIDA, IODIDA)
Radioisotope scanningalmadena copy
19
Oral cholecystography and intravenous
cholangiographyhistorical interest
discarded
replaced by more accurate imaging modalities
Percutaneous transhepatic cholangiography
Endoscopicretrogradecholangiopancreatography
TYPES OF CHOLANGIOGRAPH
almadena copy
20
Peroperative cholangiography
Operative biliary endoscopy(choledochoscopy)Postoperative T-tube cholangiography
almadena copy
21Gallstones are the most common biliary pathology.
10–15% of the adult population in the USA.asymptomatic in the majority (> 80%).
Approximately 1–2% of asymptomatic patients will develop symptoms requiring cholecystectomy per year,
cholecystectomy one of the most common operations performed by general surgeons.
GALLSTONES (CHOLELITHIASIS)
almadena copy
22
three main types:
cholesterol,pigment (brown/black)
mixed stones. ,
Aetiology and typesof gallstones
almadena copy
23
Cholesterol or mixed stones contain 51–99% pure cholesterol plus an admixture of calcium salts, bile acids, bile pigments and phospholipids.
almadena copy
24The process of gallstone formation is complex
Obesity,high-calorie diets and
Certain medications can increase the secretion of cholesterol and supersaturate the bile, increasing the lithogenicity of bile.
. Abnormal emptying of the gall bladder may promote the aggregation of nucleated cholesterol crystals; hence, removing gallstones without removing the gall bladder inevitably leads to gallstone recurrence.
almadena copy
25Pigment stone Less than 30% cholesterol.
There are two types – black and brown.Black stones are largely composed of an insoluble bilirubin pigment polymer mixed with calcium phosphate and calcium bicarbonate.
Overall, 20–30% of stones are black.
Black stones accompany haemolysis, usually hereditary spherocytosis or sickle cell disease.
For unclear reasons, patients with cirrhosis have a higher instance of pigmented stones.
almadena copy
26
Brown pigment stones contain calcium bilirubinate, calcium palmitate and calcium stearate, as well as cholesterol.
Brown stones are rare in the gall bladder.
They form in the bile duct and are related to bile stasis and infected bile.
almadena copy
27Brown pigment stones are also associated with the presence of foreign bodies within the bile ducts such as endoprosthesis stents) or parasites such as Clonorchis sinensis and Ascaris lumbricoides
almadena copy
2880% asymptomatic
Right upper quadrant or epigastric pain,may radiate to the back.
colicky,
more often is dull and constant.
dyspepsia,
flatulence, food intolerance, particularly to fats,
some alteration in bowel frequency.
Clinical presentation
almadena copy
29
Biliary colic is typically present in 10–25% of patients. This is described as a severe right upper quadrant pain that ebbs and flows for minutes to hours associated with nausea and vomiting
Biliary colic
almadena copy
30
Jaundice may result if a stone migrates from the gall bladder and obstructs the common bile duct.
Rarely, a gallstone can lead to bowel obstruction (gallstone ileus).
almadena copy
31acute cholecystitis :
When symptoms do not resolve, but progress to continued painwith fever and leucocytosis,
acute cholecystitis
almadena copy
32
In the gallbladder
■ Biliary colic■ Acute cholecystitis
■ Chronic cholecystitis
■ Empyema of the gall bladder
■ Mucocele
■ Perforation
In the bile ducts
■ Biliary obstruction
■ Acute cholangitis
■ Acute pancreatitis
In the intestine
■ Intestinal obstruction (gallstone ileus)
Effects and complications of gallstones
almadena copy
33
Common
■ Appendicitis
■ Perforated peptic ulcer
■ Acute pancreatitis
Uncommon
■ Acute pyelonephritis
■ Myocardial infarction
■ Pneumonia – right lower lobe
Ultrasound scan aids diagnosis
Uncertain diagnosis – do CT scan
Differential diagnosis of cholecystitis
almadena copy
34
history
physical examination withconfirmatory radiological studies
In the acute phase,
the patient may have right upper quadrant tenderness that is exacerbated during inspiration by theexaminer’s right subcostal palpation (Murphy’s sign).
A positive Murphy’s sign suggests acute inflammation and may be associated with a leucocytosis and moderately elevated liver function test
Diagnosis
almadena copy
35
A mass may be palpable as the omentum walls off an inflamed gall bladder.
Fortunately, in the majority of cases, this process is limited by the stone slipping back into the body of the gall bladder and the contents of the gall bladder escaping by way of the cystic duct. This achieves adequate drainage of the gall bladder and enables the inflammation to resolve.
almadena copy
36If resolution does not occur, an empyema of the gall bladder may result. The wall may become necrotic and perforate, with the development of localised peritonitis. The abscess may then perforate into the peritoneal cavity with a septic peritonitis – however, this is uncommon, because the gall bladder is usually localised by omentum around the perforation.
almadena copy
37A palpable, non-tender gall bladder (Courvoisier’s sign)
. This usually results from a distal common duct obstruction secondary to a peripancreatic malignancy.Rarely, a non-tender, palpable gall bladder results from complete obstruction of the cystic duct with reabsorption of the intraluminal bile salts and secretion of uninfected mucus secreted by the gall bladder epithelium, leading to a mucocele
almadena copy
38Most authors would suggest that it is safe to observe patients with asymptomatic gallstones, with cholecystectomy only being performed for those patients who develop symptoms or complications of their gallstones.
Treatment
almadena copy
39
in diabetic patients,
congenital haemolytic anaemia
those due to undergo bariatric surgery for morbid obesity,
Because increased risk of complications from gallstones.
.
prophylactic cholecystectomy
almadena copy
40
For patients with biliary colic or cholecystitis, cholecystectomy is the treatment of choice in the absence of medical contraindications.
almadena copy
41The timing of surgery in acute cholecystitis remains controversial.
early intervention,others suggest that a delayed approach is preferable
almadena copy
42Conservative treatment followed by cholecystectomy
more than 90% of cases, the symptoms of acute cholecystitis subside with conservative measures.
Nonoperative treatment is based on four principles:
1 Nil per mouth (NPO) and intravenous fluid administration.
2 Administration of analgesics.
3 Administration of antibiotics.
As the cystic duct is blocked in most instances, the concentration of antibiotic in the serum is more important than its concentration in bile. A broadspectrum antibiotic effective against Gram-negative aerobes is most appropriate (e.g. cefazolin, cefuroxime or gentamicin).
almadena copy
434 -Subsequent management. When the temperature, pulse and other physical signs show that the inflammation is subsiding, oral fluids are reinstated followed by regular diet.
almadena copy
44Ultrasonography is performed to ensure
no local complications have developedthe bile duct is of a normal size and
no stones are contained in the bile duct.
Cholecystectomy may be performed on the next available list, or the patient may be allowed home to return later when the inflammation has completely resolved.
.
almadena copy
45
Conservative treatment must be abandoned if the pain and tenderness increase; depending on the status of the patient, operative intervention and cholecystectomy should be performed
If the patient has serious comorbid conditions, a percutaneous cholecystostomy can be performed under ultrasound control, which will rapidly relieve symptoms.
A subsequent cholecystectomy is usually required
almadena copy
46Routine early operation
some surgeons advocate urgent operation as a routine measure in cases of acute cholecystitis. Provided that :The operation is undertaken within 5–7 days of the onset of the attack,
the surgeon is experienced and excellent operating facilities are available,
almadena copy
47BUT conversion rate in laparoscopic cholecystectomy is five times higher in acute than in elective surgery.
If an early operation is not indicated, one should wait approximately 6 weeks for the inflammation to subside before proceeding to operate.(INTERVAL CHOLECYSTECTOMY)
almadena copy
48
The gall bladder filled with pus.
it may be a sequel of acute cholecystitis or the result of a mucocele becoming infected.The treatment is drainage and, later, cholecystectomy.
EMPYEMA OF THE GALL BLADDER
almadena copy
49
Acute and chronic inflammation of the gall bladder can occur in the absence of stones and give rise to a clinical picture similar to calculous cholecystitis.
Acute acalculous cholecystitis is seen particularly in
patients recovering from major surgery (e.g. coronary artery bypass),
trauma and burns.
Acalculous cholecystitis
almadena copy50
In these patients, the diagnosis is often missed, and the mortality rate is high.
almadena copy
51
Preparation for operation
■ Full blood count■ Renal profile and liver function tests
■ Prothrombin time
■ Chest X-ray and electrocardiogram (if over 45 years or medically indicated)
■ Antibiotic prophylaxis
■ Deep vein thrombosis prophylaxis
Informed consent
CHOLECYSTECTOMY
almadena copy
52
Laparoscopic cholecystectomy
almadena copy53
Serious complications of laparoscopic cholecystectomy fall into two major areas:
access complicationsbile duct injuries.
If either a visceral or a bile duct injury is suspected, conversion to an open technique isrecommended by most surgeons.
almadena copy
54
For patients in whom a laparoscopic approach is not indicated or in whom conversion from a laparoscopic approach is required, an open cholecystectomy is performed.
Open cholecystectomy
almadena copy
55
:
• When the anatomy of the triangle of Calot is unclear, blind dissection should stop.
• Bleeding adjacent to the triangle of Calot should be controlled by pressure and not by blind clipping or clamping.
• When there is doubt about the anatomy, a ‘fundus-first’ or ‘retrograde’ cholecystectomy dissecting on the gall bladder wall down to the cystic duct can be helpful.
golden rules in case of difficulty
almadena copy
56
• If the cystic duct is densely adherent to the common bile duct and there is the possibility of a Mirizzi syndrome (a gallstone ulcerating through into the common duct), the infundibulum of the gall bladder should be opened, the stone removed and the infundibulum oversewn.
•
almadena copy
57A cholecystostomy is rarely indicated but, if necessary,
stones should be extracted, and a large Foley catheter (14F) placed in the fundus of the gall bladder with a direct track externally.
By so doing, should stones be left behind in the gallbladder, these can be extracted with a choledochoscope.
almadena copy
58In a situation in which sophisticated preoperative imaging or peroperative cholangiography is not available,
the traditional indications for choledochotomy, which are:
1 palpable stones in the common bile duct;
2 jaundice, a history of jaundice or cholangitis;
3 a dilated common bile duct;
4 abnormal liver function tests, in particular a raised alkaline phosphatase.
Indications for choledochotomy
almadena copy59
In 15% of patients, cholecystectomy fails to relieve the symptoms for which the operation was performed. ‘post-cholecystectomy’ syndrome.
problems are usually related to the preoperative symptoms and are continuation of those symptoms. Full investigation should be undertaken to confirm the diagnosis
presence of a stone in the common bile duct,
a stone in the cystic duct stump
or operative damage to the biliary tree.
Late symptoms after cholecystectomy
almadena copy
60
best DIAGNOSED by
MRCP or ERCP.
The latter has the added advantage that, if a stone is found in the common bile duct, it can be removed.
almadena copy
61almadena copy
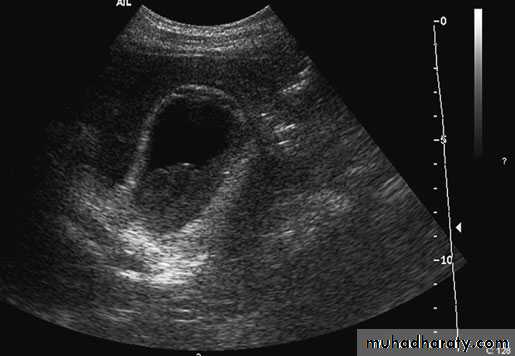
62Cholecystitis. Ultrasound demonstrates pericholecysticfluid (thin arrow), gall bladder wall (thick arrow) and biliary sludge
almadena copy
63almadena copy
64
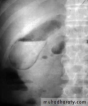
NORMAL ERCP
almadena copy
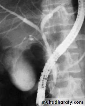
65Endoscopic retrograde cholangiopancreatographydemonstrating stone obstructing the common bile duct (arrow
almadena copy
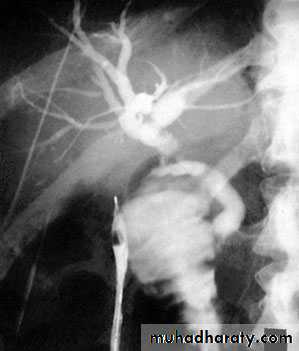
66Transhepatic cholangiogram showing a stricture of thecommon hepatic duct
almadena copy
67Gas in the gall bladder and gall bladder wall(Clostridium perfringens). Emergency surgery is indicated.
almadena copy
68Endoscopic retrograde cholangiopancreatography: thepatient presented with jaundice 4 days after laparoscopic cholecystectomy.The bile duct contained multiple stones
almadena copy
69Extraction of a stone from the common bile duct by theBurhenne technique. (a) A T-tube in situ with a stone in the duct. (b) Asteerable catheter has been manipulated into the duct and a basketplaced around the stone. (c) The stone being extracted from the bile ductalong the T-tube track.











