Integumentary system
Dr. EMAN GHANIMIntegumentIntegument: this term consist of the skin which covers the body with the accessory organs which are derivatives of the skin such as hair, nail sweat and sebaceous glands
skin
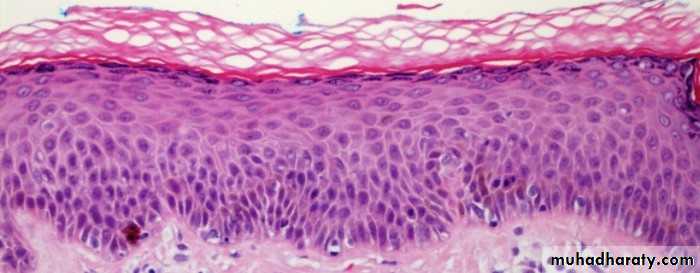
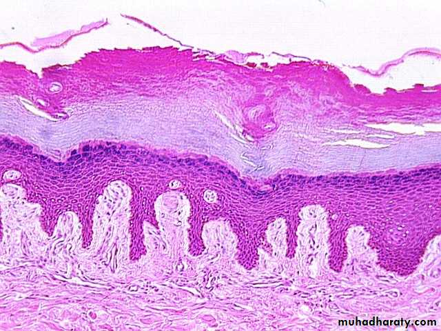
A). Epidermis: keratinized stratified squamous epith. Layer derived from the ectoderm. It’s a vascular and contains many nerve endingB). Dermis: is a connective tissue layer derived from the mesoderm . contain blood vessels and N. also contain hair follicles,sebaceous and sweat glands .
Stratum germinativium
a-Stratum basale: (Stratum germinativum) The deepest layer of the epidermis, it is supported by a basement membrane.The stratum basale consists of a single layer of mitotically active, cuboidal to low columnar cells containing basophilic cytoplasm b-Stratum Spinosum:
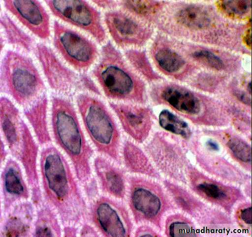
It consists of several layers(5-10) of polygonal cells (or polyhedral) with rounded nucleus,less basophilic cytoplasm and multiple spinous processes
Stratum SpinosumE.M. show that the cells are firmly held together by cytoplasmic processes called "intercellular bridges", this cytoplasmic process are filled with bundles of fibrils called "tonofibrils", they end with desmosomes, this will give a "prickle studded.
Stratum Granulosum:
Consist of 3-9layers of flattened polygonal cells containing central nuclei & cytoplasm filled with coarse basophilic granules called "Keratohyaline granules ".Stratum Lucidum
it forms clear, bright homogeneous, thin layer of cells immediately superficial to the stratum granulosum ,Stratum Corneum
Consist of many layers of flat, cornified cells with acidophilic cytoplasm which is filled with keratin.2- Melanocyte
-:
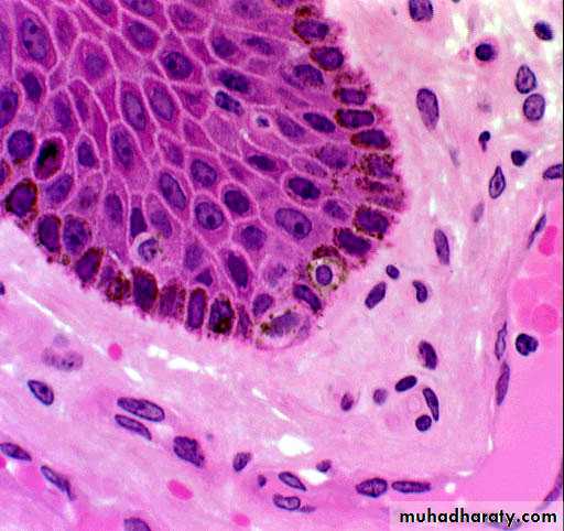
Origin- from neural crest
Site- in between basal cell layer cells in epiderm and in hair follicles
Function – melanin formation which protect against UV rays. Melanin accumulate in the cytoplasm within membrane bounded granules called melanosomes
Langerhan's cells:
-They are star- shaped cells found in between the stratum spinosum cells . they stain with gold chloride., their function is immunity .itis antigen-presenting cells
Merkel cells
Merkel cells, which are interspersed among the keratinocytes of the stratum basale of the epidermis,may function as mechanoreceptors
. Dermis:
a. Papillary or superficial layer :loose conn. T.
b. Reticular layer : dense conn. T.
pacinian corpuscle (sensory receptor ):consists of central core which contains a terminal myelinated nerve fiber. This core is surrounded by concentric lamellae of compact collagen fibers
Difference between thick & thin skin:
Thin skinThick skin
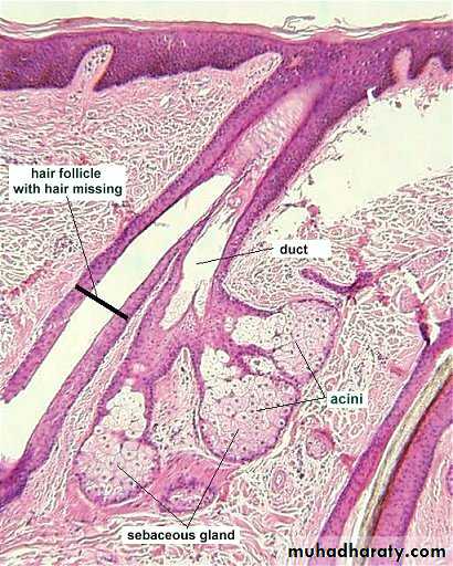
Sebaceous glands :
- are simple or branched alveolar gland ,the sebaceous gland are found embedded in the dermis almost all over the skin of the bodytypical example of "Holocrine gland
The secretion is oily called "Sebum"
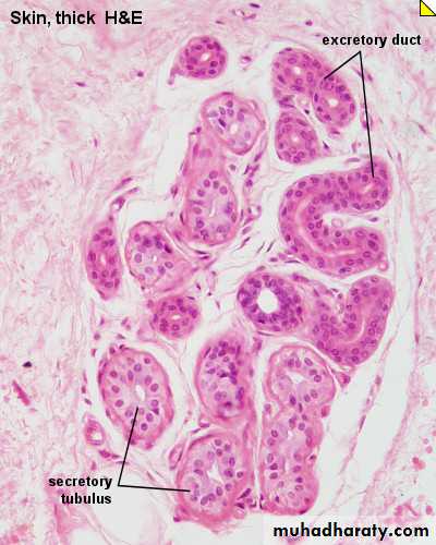
. Sweat gland: are simple , coiled , tubular gland consist of secretary parts + ducts , .
Merocrine sweat glandApocrine sweat gland
.These glands are considered as modified sweat gl. Located in certain areas like, axilla, areola of the mammary gl. & labia majora &anal region.
they are branched tubular wider & larger than the Merocrine sweat gland.
Myoepitheleal cells are more prominent.
Hair
hair follicle:arises from invaginations of the epidermis that invade the dermis, It has a terminal dilatation called a hair bulb. At the base of the hair bulb, a dermal papilla


















