Lymphatic system
Dr. EMAN GHANIMlymphatic vessels: resemble the venule but differ in 1- its larger 2- contain more valve
lymphatic vessels
valve
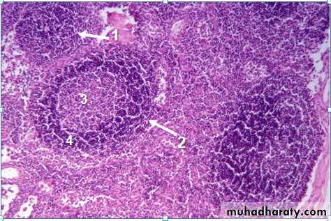
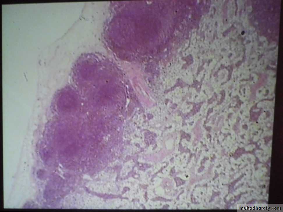
Histological structure of lymph node :consist of cortex and medullaCortical zone: A-The outer cortex, situated under the capsule, consists of : 1. A diffuse population of cells composed mainly of T lymphocytes , Macrophages ,APCs reticular cells and reticular fibers and ground substance produced by the reticular cells. 2. Lymphoid nodules
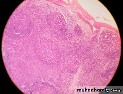
Primary nodules & secondary nodules
Primary nodule
Secondary noduleL.N
SPLEEN: consist of white and red pulps
SPLEEN
THYMUS: divided into many lobule
THYMUS :each lobule consist of outer deep zone( cortex) and inner pale zone ( medulla)
Hassal's corpuscles ( thymic corpuscles ): It is spherical lamellated structures about 30-150 µm in diameter formed of central acidophilic hyalanized area surrounded concentrically arranged, flattened epithelial reticular cells that become filled with keratin filaments,
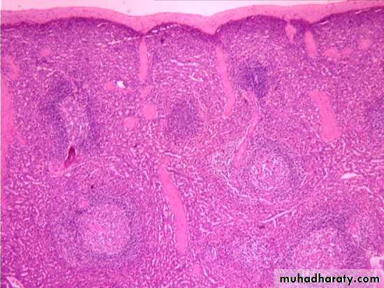
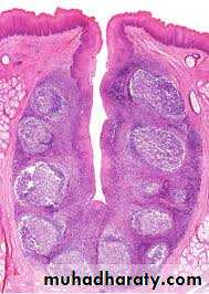
palatine tonsile:1 covered by stratified sequamous epithelium -2-Each tonsil has about 10-20 crypts3- composed of dense lymphoid tissue in a form of lymphatic nodules,


















