Root Canal Preparation
Dr. Ahmed JawadRoot Canal Preparation involves two phases:
Cleaningthe pulp system from its organic remnants ( pulp tissue, bacteria, toxins) by irrigation (chemical)
Shaping
the canals to receive a three dimensional filling of the entire system by instrumentation (mechanical)So it is a chemico-mechanical procedure aimed to clean the root canal system from organic debris and to shape the canals to receive an optimum obturation.
The primary objectives in cleaning and shaping the root canal system are to:
• Remove infected soft and hard tissueBasic Objectives in Cleaning and Shaping
Give disinfecting irrigants access to the apical canal space
Create space for the delivery of medicaments and subsequent
obturationRetain the integrity of canal and radicular structures
Continous tapering
Techniques of Root Canal Preparation
Initial apical prep:Standarized tech.
Stepback tech.
Initial coronal prep:
Stepdown tech.
This technique use the ISO hand instrument in an ascending manner (15, 20, 25, 30…. etc.) sequentially, all inserted to full working length.
It result in a canal shape similar to the shape of the last instrument used.
Canal enlarged until clean dentin shavings are seen on the apical few mm of the instrument.
Obturation with single point of gutta-percha is acceptable.
Standardized Technique
Standardized tech. Illustration
RecapitulationMAF
Recapitulation:
Is the re-insertion of small files during canal preparation to full working length in order to keep the apical area clean and patent, this should be done along with irrigation.
Patency:
Means the maintenance of the apical portion of the canal free of debris (dentin chips) by recapitulation with a small file (size 10 0r 15) through the apical foramen.Master Apical File ( MAF):
Is the largest file used to the full working length of a completely prepared root canal.disadvantages
In small curved canals it could lead to many procedural errors due to compaction of dentin debrisChances of pushing debris into peri-radicular tissues
In oval shaped canals a large areas of the canal could be left uninstrumentedThe step-back technique reduces procedural errors and improves debridement.
After determining the master apical file, the succeeding larger files are shortened by 0.5 or 1.0 mm increments from the previous file length.This step-back process creates a flared, tapering preparation while reducing procedural errors.
The step-back preparation is superior to standardized technique in debridement and maintaining the canal shape.
Step-back technique
MAF
WL – 0.5 mm
WL=21
SIZE=25WL=20.5
SIZE=30
WL=20
SIZE=35
WL=19.5
SIZE=40
WL=19
SIZE=45
WL=18.5
SIZE=50
WL=18
SIZE=55
WL=17.5
SIZE=60
WL=17
SIZE=70
Better tactile awareness
Keeps apical prep small in its original position
Greater taper coronaly compared to standard prep so more dentin removal and cleaner walls
Avoids zipping
Advantages of step-back tech
Chances of pushing debris into peri-radicular tissues
Working length likely to change as canal curvatures are eliminated.Disadvantages of step-back tech
The step-down technique is advocated for cleaning and shaping procedures as it removes coronal interferences and provides coronal taper.
With the pulp chamber filled with irrigant or lubricant, the canal is explored with a small instrument to assess patency and morphology (curvature). The working length can be established at this time.
The coronal one third of the canal is then flared with Gates-Glidden drills or rotary files of greater taper (.06, .08, or .10).
Step-Down Technique
A large file (such as No. 70) is then placed in the canal, and a watch-winding motion is used until resistance is encountered.
The process is repeated with sequentially smaller files until the apical portion of the canal is reached. The working length is checked again.
The apical portion of the canal can now be prepared by enlarging the canal at the corrected working length.
It permits straighter access to the apical region of the root canal.
It eliminates dentinal interferences found in the coronal two-thirds of the canal, allowing apical instrumentation to be accomplished quickly and efficiently.The bulk of the pulp tissue debris and micro-organisms are removed before apical instrumentation is commenced, which greatly reduces the risk of extruding material through the apical foramen and causing periapical inflammation.
Advantages of initial coronal prep.
It reduces the incidence of after-pain following preparation of the root canal.
It allows better penetration of the irrigating solution to the entire root canal system and forms a reservoir of irrigant which is more readily distributed in the canal system.Easy smear layer removal because of better contact of chelating agents with canal walls
It also reduces the risk of compacting debris apically which may block the canal.
Advantages of initial coronal prep.
FilingReaming
Watchwinding
Circumferential filing
Balanced force technique
Hand instruments manipulation
Filing:
Is the push and pull movement of a file within the canal. K-files and H-files can be used for this movement, the later has better cutting efficiency.
Reaming:
Is the quarter turn and pull movement, it could be used by reamer or file, the quarter turn is rotated clockwise to engage the canal dentin and the pull movement is to cut this dentin off the wall. H-file is contra indicated for reaming due to possibility of fracture.
Watchwinding
or a continuous back and forth rotation with slight apical pressure, with this movement a fine file rapidly advances down a root canal. Only fine files should be advanced to the apex in this way as there is a danger of compacting pulpal debris ahead of the file.
Circumfrential filing:
a push-pull filing movement circumferentially around the canal walls. K-files and H-files are used with an attempt to file on the outstroke only, to reduce the apical compaction of debris.Blanced force technique (Roane Tech):
Uses Flex-R (modification of K-files with non cutting tip) files in sequential order in a clockwise-counterclockwise-clockwise manner.Step 1: After pressureless insertion of a Flex-R or NiTiFlex K-file, the instrument is rotated clockwise 90 degrees using only light apical pressure.
Step 2: The instrument is rotated counterclockwise 180 to 270 degrees; sufficient apical pressure is used to keep the file at the same insertion depth during this step. Dentin shavings are removed with a characteristic clicking sound.
Step 3: This step is similar to step 1 and advances the instrument more apically.
Step 4: After two or three cycles, the file is loaded with dentin shavings and is removed from the canal with a prolonged clockwise rotation.
•
Advantages of Balanced Force Tech:
• Preparation is centered better around original canal outline.• Allows for larger apical preparation.
• Less need to precurve the file.
Disadvantages:
• Instrument breakage
• Canal stripping
• Canal blokage and Loss of working length.
• Ledge formation.• Zipping
• Elbow formation
• Perforation
• Canal transportation (e)
• Separated instrument
• Over-instrumentation
Procedural Errors during instrumentation
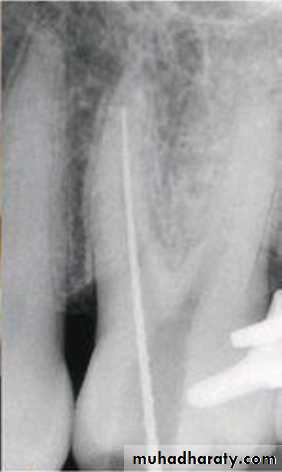
It is a very common and frustrating error usually noted on a master cone radiograph
It is actually secondary to other procedural error.
This error could be overcomed by good recapitulation and irrigation
Loss of working length
Causes
• Not extending the access sufficiently• Incorrect assessment of root canal direction
• Incorrect working length determination
• Forcing a large instrument in the canal
• Using non curved stainless steel instrument in a curved canal
• Failure to use the instruments in sequential order
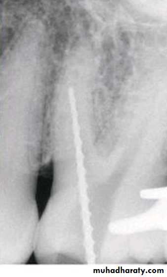
Ledge formation
Careful instrumentation
Appropriate preoperative and working length radiographsCopious irrigation
The use of pre-curved S/S files or NiTi files in curved canals
Sequential instrumentation
Carful attempting to remove blockage
Prevention of ledge formation
When a curved foramen is filed with pressure against the outer side of the curvature.
Repeated filing Zips and transport the foramen.
zipping
An artificial opening in a tooth or its root created by boring, piercing, cutting or pathologic resorption, which results in communication between the pulp space and the periodontal tissues.
Causes:
• Caries
• Resorptive defects
• Iatrogenic events
perforation
Separated instrument
This occurs due to wrong working length estimation, it can be treated by re establishing the apical constriction by enlarging the canal on a shorter length and maintaining the funnel shape, then very carefully obturate the canal on the corrected working length preventing any extrusion.
Apical barrier with Mineral Trioxide Aggregate (MTA) is another option to solve overinstrumentation
Over instrumentation






















