Endometriosis
DR.AHMED JASIM
A. PROF
Endometriosis
Endometriosis is presence of viable endometrial tissue outside the lining of uterine cavity. It is one of the commonest benign gynecological conditions and it is a chronic and progressive disease.Prevalence:
The exact prevalence of endometriosis is not known, since many women may have the condition and have no symptoms. Endometriosis is estimated to affect from 3% to 18% of women. It is one of the leading causes of pelvic pain and reasons for laparoscopic surgery and hysterectomy. .Aetiology of endometriosis:
The cause of endometriosis is unknown. Several theories exist to explain the process through which endometriosis develops. These are:1. Retrograde menstruation with implantation.
1. Retrograde menstruation with implantation.
Retrograde menstruation
2. Coelomic epithelium transformation.
3. immunological factors.Retrograde menstruation
4. Genetic predisposition. (more commonly in the 1st degree relatives of affected women).
5. Vascular and lymphatic spread.(endometriosis in the brain and other organs distant from the pelvis).
6.direct transfer of endometrial tissues during surgery.(episiotomy or Cesarean section scars).
The most widely accepted explanation is:
Retrograde menstruation with implantation of endometrial fragments in conjunction with peritoneal factors to stimulate cell growth.
Pathology:
Endometrium outside uterine cavity responds to cyclic changes from ovarian hormones. During each menstrual cycle the endometrial deposit proliferates and then breaks down and bleeds, causing a local inflammatory reaction which may followed by a prolonged period of time by fibrosis. Chronic repition of this process disrupts and distorts the affected tissue and typically dense scar tissue and adhesion may form that can distort a woman’s internal anatomy. In advanced stages, internal organs may fuse together, causing a condition known as a "frozen pelvis."The disease varies from a few, small lesions on otherwise normal pelvic organs to solid infiltrating masses. The cells of endometriosis attach themselves to tissue outside the uterus and are called endometriosis implants.
Endometriosis typically appears as superficial ‘powder-burn’ or ‘gunshot’ lesions, black, dark-brown or bluish puckered lesions, nodules or small cysts containing old haemorrhage surrounded by a variable extent of fibrosis on the ovaries, serosal surfaces and peritoneum.
Atypical lesions are also common.
Endometriomas (chocolate cysts ):
Are retention cysts containing tary material that develop as a consequence of ovarian endometriosis. It may be multiple and very large. It responds to ovarian hormones, bleeding may occur in endometriosis forming small blood cyst, in the ovary. It become large up to 10 cm and tend to be bilateral.Upon opening a chocolate cyst, irregular brown areas are observed
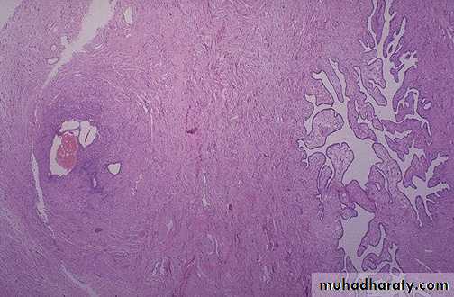
Microscopically:
Showed the typical endometrial tubular glands and stroma cells.
a small cluster of endometrial glands and stroma with hemorrhage are seen at the left near the surface of the fallopian tube. The lumen of the tube is at the right. This is a focus of endometriosis.
The squeal of endometriosis:
It include:1. chronic pelvic pain
2. severe dysmenorrhoea
3. infertility.
Sites of Endometriosis:
*Endometriosis lesions most commonly found in the pelvic cavity.on the surface of ovary, pelvic peritoneum, the fallopian tubes, on broad ligaments, the pelvic sidewall, uterosacral ligaments, the Pouch of Douglas, and in the rectal-vaginal septum.
*it can be found in caesarean-section scars, laparoscopy or laparotomy scars, But these locations are not so common.
*In even more rare cases, endometriosis has been found inside the vagina, inside the bladder, bowel, intestines, colon, appendix, rectum, on the skin, even in the lung, spine, and brain.
reddish-brown to bluish appearance.
the gross appearance of "powder burns". Small foci are seen here just under the serosa of the posterior uterus in the pouch of Douglas.
Nodular endometrial lesions in the posterior cul-de-sac.
Cystic implants adjacent to the right ovary; note bluish appearance.
Ovary with endometrioma
Hemorrhagic lesions overlying the right ureter.
Extensive endometriosis in the ovarian fossa. Lesions have a petechial appearance.
Diffuse endometriosis is seen in the cul-de-sac,
Puckered black lesions are typical of endometriosis
Classification systems:
The 4 stages (classification) of endometriosis (minimal, mild, moderate or severe) are used to describe the anatomic location and the severity of the disorder.This system was designed to assist in the prognosis and management of patients undergoing surgery for infertility.Risk Factors for Endometriosis:
A. Greater exposure to menstruation as in:1. Increasing age (up to menopause).
2. Shorter menstrual cycle length (less than 27 days).
3. Longer duration of menstrual flow (greater than 7 days).
4. Heavy menstrual flow.
5. Delaying pregnancy until an older age.
5. Low or no parity.
B. First-degree relative (mother, sister, daughter) with endometriosis.
c. Increased peripheral body fat.
Factors which may be protective from developing endometriosis:
Oral contraceptive use (current and recent) may be protective.
Smoking.
Exercise.
Clinical feature:
The typical patient with endometriosis is in her reproductive years, (commonly in her 30s) and characteristically are nulliparous, and infertile or delayed their child bearing. Endometriosis never appears before puberty and it regresses after menopause.Endometriosis is more commonly found in white women, tall, thin women with a low body mass index (BMI).
Endometriosis is a common condition with many diverse manifestations and a clinical course that is highly variable and unpredictable depending upon site and activity of the disease.
Endometriosis should be suspected in any woman with the triad of dysmenorrhoea, dysparunia and infertility.
Symptoms:
The symptoms of pelvic endometriosis depend on the site and the activity of the disease.a. Asymptomatic:
many affected women are asymptomatic in which case the diagnosis is only made when the pelvis is inspected for an unrelated reason, for example sterilization. One-third of women with endometriosis are asymptomatic.
b. symptomatic:
1.Pain is the most common symptom, and many types of pain are found:a. Severe secondary dysmenorrhoea.
b. severe deep dyspareunia.
c. ovulation pain is sometimes sever in mid cycle.
d. Pelvic discomfort, lower abdominal pain, backache.
e. acute abdominal pain in rupture ovarian endometriomas which leads to
reactive peritonitis which is acute abdominal emergency requiring
laprotomy.
For many women, the pain of endometriosis is so severe and debilitating that it impacts their lives in significant ways. The pain intensity can change from month to month, and vary greatly among women. Some women experience progressive worsening of symptoms, while others can have resolution of pain without treatment.
There is little correlation between disease stage and the type, nature and severity of pain symptoms.
2. infertility may be the main complaint.
The reasons for a decrease in fertility are not completely understood, but might be due to both:a. The presence of endometriosis may distort normal anatomical structures, such as fallopian tubes and may interfere with oocyte pick up.
b. production of hormones and substances that have a negative effect on ovulation, fertilization and/or implantation of the embryo.
Whether endometriosis causes subfertility or not is controversial. A causal relationship with minimal–mild disease is much less certain.
3. Menstrual disturbance:
It can cause abnormal uterine bleeding:Menorrhagia in case of :
adenomyosis
ovarian function is altered by bilateral endometriomas.
b. Irregular uterine bleeding.
c. Polymenorrohea. (short cycles)
d. Prolonged bleeding.
4. Other symptoms related to endometriosis include:
lower abdominal pain.diarrhea and/or constipation.
low back pain.
blood in the urine (hematuria at time of menstruation).
5. Rare symptoms of endometriosis include chest pain or coughing blood (haemoptisis) ?due to endometriosis in the lungs and headache and/or seizures due to endometriosis in the brain.
Examination:
Physical examination should be performed during early menses, when implants are likely to be largest and most tender.A. most women with endometriosis have normal pelvic findings
B. The examination may reveal one or more of these which is suggestive of endometriosis:
*visible lesions (Bluish nodule) are seen in vagina or on cervix. Such nodules are reliably detected when the examination is performed during menstruation. It confirm the diagnosis.
*adnexal and uterine tenderness.
*pelvic masses as Enlarged ovaries due to endometriomas.
*a fixed retroverted uterus (In advanced and destructive disease).
*nodularity and tenderness along the uterosacral ligaments.
*A rectovaginal examination is required to identify uterosacral, cul-de-sac or septal nodules.
Differential diagnosis:
Adenomyosis.Pelvic Inflammatory Disease (PID).
Uterine fibroid .
Carcinoma of ovary.
Carcinoma of colon or rectum.
Pelvic congestion syndrome.
Differential diagnosis to Rupture of endometriotic cyst which presents as an acute abdominal emergency are:
Rupture ectopic pregnancy.
Ovarian cyst torsion.
Ovarian cyst haemorrhage.
Acute salpingitis.
Other causes of acute abdomen.
Investigations:
Making a diagnosis on the basis of symptoms alone is difficult as the presentation is so variable and mimic other disease. Consequently, there is often a delay of several years between symptom onset and a definitive diagnosis at laparoscopy.Non invasive test:
None of these tests can definitively confirm or dismiss the presence of endometriosis lesions. These are:
*Ultrasound examination:
trans-vaginal ultrasound is a useful tool to diagnose and exclude ovarian endometriomas but it has no value for peritoneal disease.
*Serum cancer antigen 125 test (CA-125):
*Serum cancer antigen 125 test (CA-125):CA-125 measurement has no value as a diagnostic tool for minimal–mild endometriosis.
Serial measurements are useful as prognosticators of treatment outcome. However, normal post-treatment values do not mean that endometriosis is absent.
*MRI scans:
Beneficial in imaging ovarian cyst or invasion of surrounding organ.Invasive investigation:Laparoscopy
Laparoscopy is the gold standard for diagnostic purposes, unless disease is visible in the vagina or elsewhere. Laparoscopy is considered the primary diagnostic modality for endometriosis. The classic lesions are blue-black or have a powder-burned appearance or atypical lesion.Visual inspection is usually adequate but histological confirmation of at least one lesion is ideal, and mandatory if disseminated peritoneal endometriosis (DIE) or a >3 cm diameter endometrioma is present.
The entire pelvis should be inspected systematically, and good practice is to document in detail.
Treatment:
Treatment must be individualized, taking into account these factors which influence choice of treatment and these are :1. Woman’s age.
2. Fertility status.
3. Nature of symptoms.
4. Severity of disease.
5. Previous treatments.
1.expectant management:
which is essentially a "wait-and-see" approach. It is recommended for:1.asymptomatic women.
2. infertile patients with superficial disease and mild symptoms.
3. older women approaching menopause.
Expectant management consists of a period of observation with no treatment except the use of antiprostaglandin medications to relieve pain.
2. medical treatment:
*Non-steroidal anti inflammatory agents:Are potent analgesic and are helpful in reducing severity of dysmenorrhoea and pelvic pain but have no specific impact on disease and its progression.
*hormonal therapies:
Hormonal treatments have traditionally attempted to mimic pregnancy or the menopause. It temporarily shrink endometrial lesions and relieve symptoms. Peritoneal lesions decrease in size during therapy but reappear rapidly following therapy; Endometriomas rarely decrease in size and adhesions will be unaffected.
It may include:
a. combined oral contraceptive pill (COC):continuous use or extended cycle use (every 3 months).
2. Progestogens:
2. Progestogens:It produce pseudo decidualization of endometrium. Oral treatment start on the fifth day of menstruation and continuo for six months and may need to increase dose. These are: Norethisterone (primolut-N), medroxy progesterone acetate (Provera), dydrogestrone. Or can use Mirena (IUD).
3. GnRH-analogues (agonists and antagnosists) induce pseudo-menopause.
. It used with Add-back therapy which involves taking one of the following medications at the same time as a GnRH agonist: a low-dose oestrogen, a low-dose progestin, or tibolone alone. Add-back therapy can reduce the menopausal-type side effects of GnRH agonist therapy and preventing or minimizing the thinning of the bones associated with treatment with a GnRH agonist alone.4. Danazol 400-800 mg daily course 3-6 months. Androgenic side effect
5. Gestrinone 2.5mg twice weekly- course 3-6 months. Androgenic side effect6. Aromatase inhibitors.
Hormonal treatment for subfertility caused by endometriosis:Hormonal treatment for subfertility associated with minimal–mild endometriosis does not improve the chances of natural conception. Clearly treatment can do more harm than good because of the lost opportunity to conceive.
In more advanced disease, there is no evidence of an effect on natural conception, but there may be a role for hormonal treatment as an adjunct to assisted conception.
3.surgery:
Conservative surgery
The laparoscopic approach is the method of choice for treating endometriosis conservatively. The aim is to destroy visible endometriotic implants, endometriomas, and lyse peritubal and periovarian adhesions and to restore normal anatomy. excision or coagulation is preferable for typical lesions. Excision is the preferred method for endometriomas.oophorectomy if large one and patient not need fertillity.
Fertility patients should be counseled about the risks of reduced ovarian function after endometrioma excision and the loss of an ovary.
Laparoscopic excision of nodular endometrial lesions overlying the rectum
Definitive surgery:
Endometriosis surgery can be complex and difficult, and surgeons often need specialized skills and expertise to perform such surgery.It is indicated when there is:
Severe symptomatology.
Progressive disease.
Women complete their families.
Treated by hysterectomy and bilateral salpingo-oopherectomy.
Patients can receive HRT subsequent to surgery after 6 months or more from surgery.
the gross appearance of "powder burns". Small foci are seen here just under the serosa of the posterior uterus in the pouch of Douglas.
4. Combined Medical-Surgical Therapy
*Preoperative medical treatment by GnRH agonists or Danazol use in women with advanced endometriosis as it can:decrease the extent of endometriosis, making it easier to achieve complete resection of endometriotic implants by laparascopy is facilatated.
decreases the size of endometriomas, which can facilitate surgery.
*Postoperative after conservative surgery giving GnRH agonists or Danazol to improve patient outcomes.
Three outcomes are generally used to assess treatment efficacy:
1. the anatomic manifestation of the disease, can be assessedlaparoscopically before and after therapy to determine treatment
efficacy.
2. pain symptomatology.
3. infertility status.
Endometriosis and pregnancy
Pregnancy generally leads to an improvement in endometriosis symptoms, particularly during the latter months of pregnancy (due to the high levels of progesterone and due to lack of menstruation during pregnancy). However, some women experience a worsening of symptoms, particularly during the first three months ( may be due to rapid growth of the uterus lead to stretching and pulling of adhesions, may be due to high levels of oestrogen).Endometriosis and pregnancy
For most women, the beneficial effects of pregnancy are only temporary. Many women will experience a recurrence of their disease and its symptoms within a few years, and some will experience a recurrence soon after resuming their periods.
Endometriosis and breastfeeding
Regular breastfeeding inhibits the release of oestrogen by the ovaries, which suppresses ovulation and the growth and development of the endometriosis and lead to remission of symptomsAdenomyosis
It is disorder in which benign invasion of endometrium into the myometrium. These endometrium is responsive to steroid hormones and bleeding will occur each month.Aetiolgy:
Its cause is not known.It may be triggered by weakness in smooth muscle of myometrium by increased intrauterine pressure or by surgical trauma as in repeated pregnancies, history of miscarriage, induced abortion and caesarean section.
Pathology:
Uterus uniformly enlarged (symmetrical enlargement).
It causes localized thickening of part of uterine wall but this is not encapsulated and can not be shelled out of the surrounding normal muscles (differ from uterine fibroid).
Microscopically:glandular tissue and stroma in myometrium.
Adenomyosis occurs when endometrial glands and stroma are found in the myometrium,
The thickened and spongy appearing myometrial wall of this sectioned uterus is typical of adenomyosis. There is also a small white leiomyoma at the lower left.
Clinical feature:
Patients are usually multiparous and the age of 45 being the commonest age of presentation and is very rare in nulliparous women.Many women are asymptomatic.
Symptomatic:
The commonest presentation is that of menorrhagia associated with worsening dysmenorrhoea (increasingly severe secondary dysmenorrhea). Patient may complain from deep dysparunia especially pre-menstrually.
Pelvic Examination:
Pelvic Examination:
bulky uterus , symmetrically enlarged.
Some time tender if peri-menstrually examined.
Investigations:
*Ultrasound:transvaginal ultrasound which is primary modality as it shows Localized area in endometrium.
*Magnetic resonance imaging (MRI):
It is more accurate in diagnosing adenomyosis and can distinguish adenomyosis from uterine fibroid.
*Histopathogy of hysterectomy specimen.
Treatment:
Medical treatment:(non-steroidal anti-inflammatory drugs, combined oral contraceptives, high dose progestrogens and the levonorgestrel-releasing intra-uterine system(LNG-IUS) are helpful in relieve pain and excessive bleeding.
* surgical treatment
Hysterectomy is the only method of curing the problem (without oopherectomy, unless there are specific indications for removal of ovary).Endometrial ablation is relatively contraindicated since it will fail to remove deeply infiltrating glands and is unlikely to be successful.


























































