الصدمة الكهربائية (الصعق الكهربائي)والصعق الجوي
المرحلة الرابعةالعام الدراسي 2016/ 2017
م.م.د.امين محمد
Dr.ameen76@yahoo.comيعتمد تأثير التيار الكهربائي على:.
المشاهدات التشريحية في حالات الصعق الكهربائيKnight’Forensic Pathology ,3rd Edition ,Chapter 12,p: 329.
مدخل نموذجي لتيار كهربائي
الاضرار الظاهرية للصعق الكهربائي
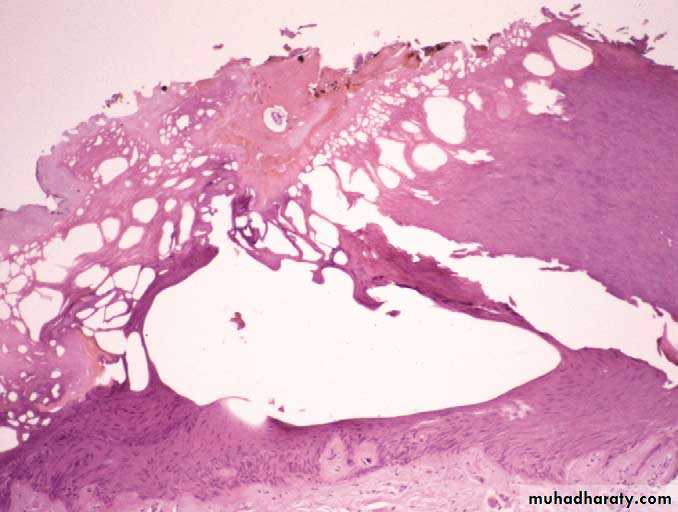
المشاهدات المجهرية عند مدخل التيار الكهربائينلاحظ فراغات نسيجية (فقاعات) استطالة في نوى الخلايا مع حدوث تنخر خثري Coagulative necrosis
اسباب الموت في الصعق الكهربائي
الصعق الجوي الصاعقة هي شحنة كهربائية مستقرة او تيار ذو جهد عالي جدا" يقدر بالملايين من الفولتات يتفرغ في الأرض ويحدث للأشخاص في الصحراء او في العراء في الأيام البارقة المرعدة وحالاته نادرة.
العلامات المشاهدة في حالة الصعق الكهربائي
الحالات غير المميتة: يشاهد احمرار في منطقة الكتفين والصدر على شكل شجرة وتسمى هذه الظاهرة (التشجر الحمامي) .يشاهد او لايشاهد حرق موضعي عند مدخل ومخرج الصاعقة.


















