Autoimmune Hepatobiliary Diseases
Dr. Abdulwahhab S. AbdullahCABM, FICMS-G&H
Autoimmune hepatobiliary diseases
The liver is an important target for immune-mediated injury.Three disease phenotypes are recognized:
autoimmune hepatitis (AIH)
primary biliary cirrhosis (PBC)
primary sclerosing cholangitis (PSC)
What is autoimmune hepatitis (AIH)?
AIH is a chronic inflammatory liver disorder of unknown cause that usually affects young adult females and is characterized by:serum autoantibodies and ↑IgG
interface hepatitis on biopsy
response to corticosteroid therapy
AIH is associated with HLA-DR3/DR4 which in turn are often associated with other autoimmune diseases.
What are the clinical features of AIH?
Onset is usually insidious, but acute and occasionally fulminant hepatitis may occur.Symptoms (if present) may include:
fatigue, anorexia, jaundice
fever, arthralgia, amenorrhea
Sings (if present) may include:
jaundice, acne, hirsutism, spider nevi
hepatosplenomegaly
Symptoms/signs of associated autoimmune diseases e.g. Hashimoto’s thyroiditis or rheumatoid arthritis.
How to diagnose a patient with AIH?
Diagnosis of AIH require the following:↑↑serum ALT and AST (usually 10x ULN or more)
↑gammaglobulin (particularly IgG)
Serum autoantibodies:
antinuclear & smooth muscle antibodies (ANA & SMA) or
anti-liver-kidney-microsomal antibody type 1(anti-LKM-1)
Exclusion of other causes of chronic liver disease.
Liver biopsy: interface hepatitis (plasmacytic infiltrate in the portal tracts extending into the hepatic lobules), sparing the bile ducts with varying degrees of fibrosis.
How to treat a patient with AIH?
Prednisolone ± azathioprine is the standard therapy.
Initially: oral prednisolone alone at 40 mg/day or prednisolone 20 mg/day with AZA 1-2 mg/kg/day. Steroid gradually ↓ as symptoms & LFTs improve.
Maintenance: prednisolone 5-10 mg/day with AZA 1-2 mg/kg/day. AZA alone may also be used.
Budesonide (instead of prednisolone) and mycophenolate mofetil (instead of AZA) may be used but this is not a standard practice yet.
How to follow up a patient with AIH?
Steroids induce remission in most patients but relapses are common and lifelong therapy is usually required.Monitor for acute exacerbations (symptoms, LFT, and IgG). Such episodes should be treated with corticosteroids.
Monitor for adverse effects of steroids (symptoms, bone density, blood pressure, blood glucose)
Monitor for adverse effects of AZA (symptoms, complete blood count).
What is primary biliary cirrhosis (PBC)?
PBC is a chronic progressive cholestatic liver disorder of unknown cause that predominantly affects middle-aged women.PBC is characterized by positive serum anti-mitochondrial antibody (AMA) and granulomatous destruction of small intra-hepatic bile ducts resulting in chronic cholestasis and eventually cirrhosis.
How do patients with PBC present?
Fatigue and pruritus (typical).Asymptomatic with incidental ↑ ALP (common).
Jaundice (rare initially).
Signs may include:
Jaundice, pigmentation, scratch marks,
xanthelasma, clubbing, hepatomegaly, splenomegaly (portal hypertension)
Associated diseases: Sjögren’s syndrome, scleroderma, celiac and thyroid diseases.
How to diagnose PBC?
LFTs: cholestasis (↑↑ ALP), ↑bilirubin (late).Abdominal ultrasound: normal biliary tree.
Positive AMA (if negative, MRCP and liver biopsy must be performed).
Other: ↑cholesterol (HDL)
↑gammaglobulin (IgM)
How to treat PBC?
Ursodeoxycholic acid is the only drug that may slow disease progression.Immunosuppressants are ineffective.
Fatigue: exclude depression, thyroid & celiac disease.
Pruritus: colestyramine, rifampicin, naltrexone,
plasmapheresis, liver support device.
Osteoporosis and fat-soluble vitamin deficiency:
calcium/vitamin D3 or bisphosphonates and fat- soluble vitamin supplements.
What is primary sclerosing cholangitis (PSC)?
PSC is a chronic idiopathic inflammatory disorder of the intra- and extra-hepatic bile ducts that results in biliary strictures, chronic cholestasis, and eventually cirrhosis.
PSC is primarily a disease of large bile ducts, in contrast to PBC, which is primarily a disease of the bile ductules in the portal tracts.
PSC typically affects young adult males with ulcerative colitis.
What are the clinical features of PSC?
Incidental ↑↑ ALP in a patient with IBD (UC).Fatigue, intermittent jaundice, pruritus, and weight loss (? Cholangiocarcinoma)
Jaundice with fever and RUQ pain (bacterial cholangitis): uncommon unless after ERCP.
Cirrhosis and chronic liver failure.
Signs may include:
jaundice, clubbing, hepato/splenomegaly.
Signs/symptoms of associated diseases.
Is there a ‘secondary’ sclerosing cholangitis? What might cause it? What is its prognosis?
Obstruction: choledocholithiasis, iatrogenic biliary strictures, chronic pancreatitis, biliary neoplasms.
Infection: cryptosporidia or CMV (AIDS cholangiopathy), clonorchis.
Toxic: accidental alcohol or formaldehyde instillation into the biliary tree during hydatid cyst surgery.
Immunologic: IgG4-associated pancreatitis/cholangitis
Ischemic: post-transplant hepatic artery thrombosis, hepatic allograft rejection, chemoembolization for HCC.
Critical illness: sclerosing cholangitis of critically ill patients.
How to diagnose PSC?
LFTs: cholestasis (↑↑ALP ± ↑ bilirubin)
Abdominal US: often “normal”
Cholangiogram: typical “beading” or “pruning” of extra- and/or intra-hepatic bile ducts (strictures).
MRCP (of choice)
ERCP (only if intervention is planned)
Other (not necessary for diagnosis):
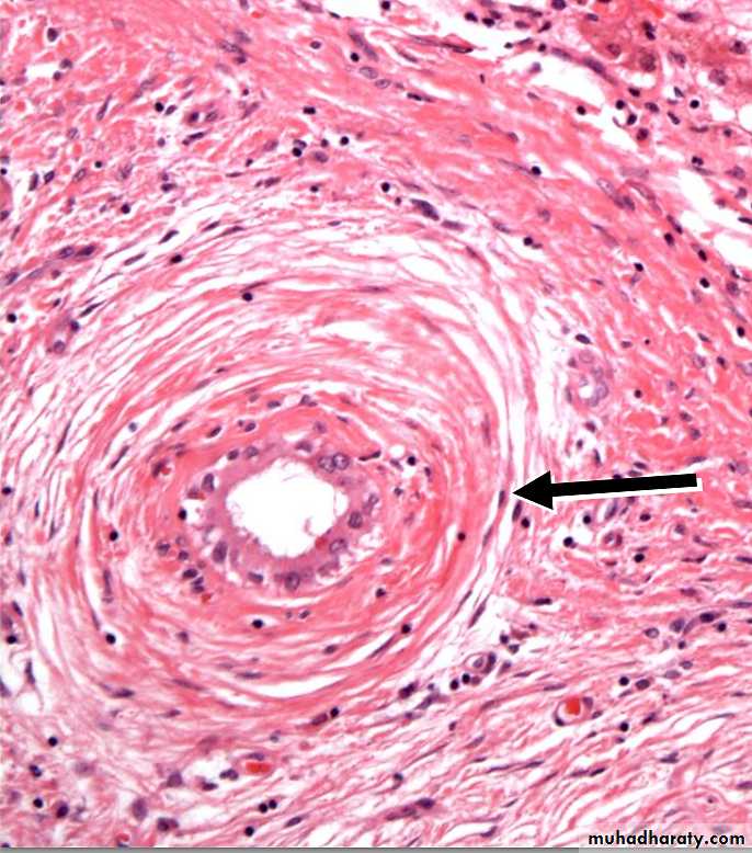
anti-neutrophil cytoplasmic antibody (ANCA) liver biopsy (periductal “onion-skin” fibrosis)
How to treat PSC?
No effective medical therapy exists for PSC yet.
Urso is widely used but without proof for efficacy.
Consequences of cholestasis are managed as in PBC.
Episodes of cholangitis are treated by antibiotics.
ERCP: to treat a “dominant stricture” and to exclude cholangiocarcinoma.
Liver transplantation: for advanced liver failure but PSC can recur in the graft.
What’s the prognosis of PSC?
The course of PSC is variable.In symptomatic patients, median survival from first presentation to death or liver transplantation is about 12 years.
Most asymptomatic patients survive for ≥15 years.
Most die of liver failure or cholangiocarcinoma, others die from colon cancer or complications of colitis.
Question
A 31-year-old woman has a 1 month history of fatigue, jaundice, and low-grade fever. The patient has hypothyroidism for which she has taken levothyroxine for the past 10 years. She has no other medical problems, does not drink alcohol, takes no other medications, and had no risk factors for viral hepatitis. Family history reveals that her sister has systemic lupus erythematosus and her mother has rheumatoid arthritis.Physical examination discloses normal vital signs, mild jaundice, and nontender hepatomegaly.
Question
Laboratory StudiesAspartate aminotransferase
310 U/L
Alanine aminotransferase
455 U/L
Alkaline phosphatase
180 U/L
Total bilirubin
2.3 mg/dL
γ-Globulin
5.0 g/dL
Anti-nuclear antibodies
1:160
Anti–smooth muscle antibodies
1:160
Anti-mitochondrial antibodies
negative
Anti-HAV IgM, HBsAg, Anti-HCV
negative
Question
What is the most likely diagnosis?• Acute hepatitis B (window period)
• Primary biliary cirrhosis
• Primary sclerosing cholangitis
• Autoimmune hepatitis
• Acetaminophen hepatotoxicity











