Histology
Second stage ( 2016-2017 )Lab. 3
The Circulatory System
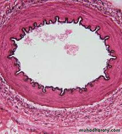
Large artary (aorta)
characterize by :1-TM. Thick and consist mainly from many layer of elastic lamelea2-TA.not well developed and contain vasa vasorumMuscular artary
characterize by:1- present of internal elastic lamina and external elastic lamena2-TM thich and consist of many layer of smooth m.Arterioles:
characterize by :1- small 2- TM consist of 1-2 layer of SM
Capillaries
characterize by:1-TM replaced by pericytic cell2- no TA.Type of capillary
vein medium size:
characterize by:1- NO Internal nor external elastic lamina2- TA thick consist of collagen f. + longtudinal bundle of SMMEDIAN SIZE VEIN
MEDIAN SIZE ART.
VEIN AND ARTARY
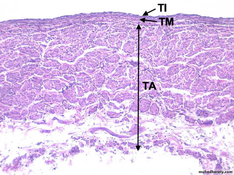
VENA CAVA (LARGE VEIN)
characterize by:1- TA well developed contain bundle of SM AND vasa vasorum2- TM not well developed . No elastic fiber .LARGE VEIN and LARGE ARTARY
Heart
its wall consist of three tunics: internal: endocardium, middle: myocardium, external: epicardiumPurkinje fibers
resemble ordinary cardiac m. in that:they have central nuclei. they have cross striation.However they differ from them in thatRBC
1-These are rounded biconcave disks, bright red in color due to the presence of hemoglobin2- RBCs have no nuclei.
NEUTROPHIL : 1- nucl. is 3- lobes. 2- cytopl. Final granullymphocyte : 1- nucl. Oval – kidney shape 2- narrow rim cytopmonocyte : 1-kidney shape nucl. 2- clear large cytopl.
Eosinophil : 1- bilobed nucl.2- esonophil cytopl. Granulebasophil :1-basophil corse granule






















