قراءة
عرض

Histology

Second stage ( 2016-2017 )
Lab. 4
Lymphatic system

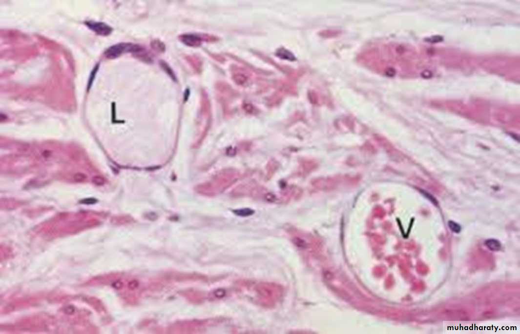
lymphatic vessels

resemble the venule but differ in 1- its larger 2- contain more valve
Lymphatic system


Lymphatic system

lymphatic vessels

Lymphatic system


Lymphatic system




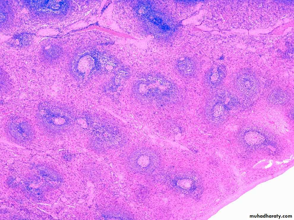
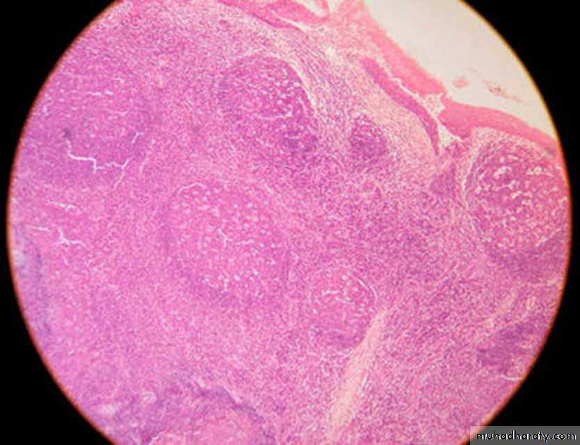
lymph node :
consist of cortex and medulla
Lymphatic system


Lymphatic system


Lymphatic system

Cortical zone:

Lymphatic system


A-The outer cortex, situated under the capsule, consists of : 1. A diffuse population of cells composed mainly of T lymphocytes , Macrophages ,APCs reticular cells and reticular fibers and ground substance produced by the reticular cells. 2. Lymphoid nodules

Lymphatic system

Primary nodules & secondary nodules

Lymphatic system


Lymphatic system




L.N
Lymphatic system


Lymphatic system


Lymphatic system

SPLEEN

consist of white and red pulps
Lymphatic system


Lymphatic system


Lymphatic system

SPLEEN

Lymphatic system



Lymphatic system

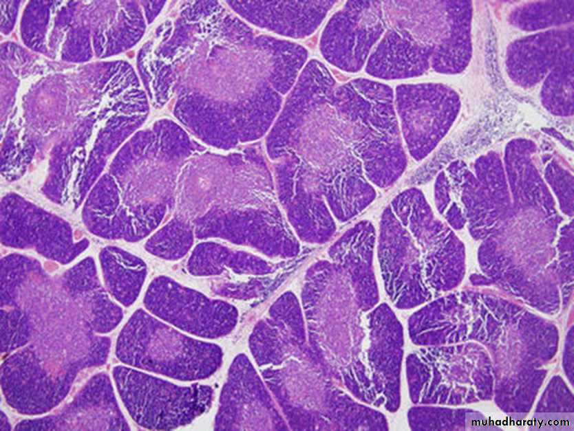
THYMUS:

divided into many lobule
Lymphatic system


Lymphatic system

THYMUS :

each lobule consist of outer deep zone( cortex) and inner pale zone ( medulla)
Lymphatic system


Lymphatic system

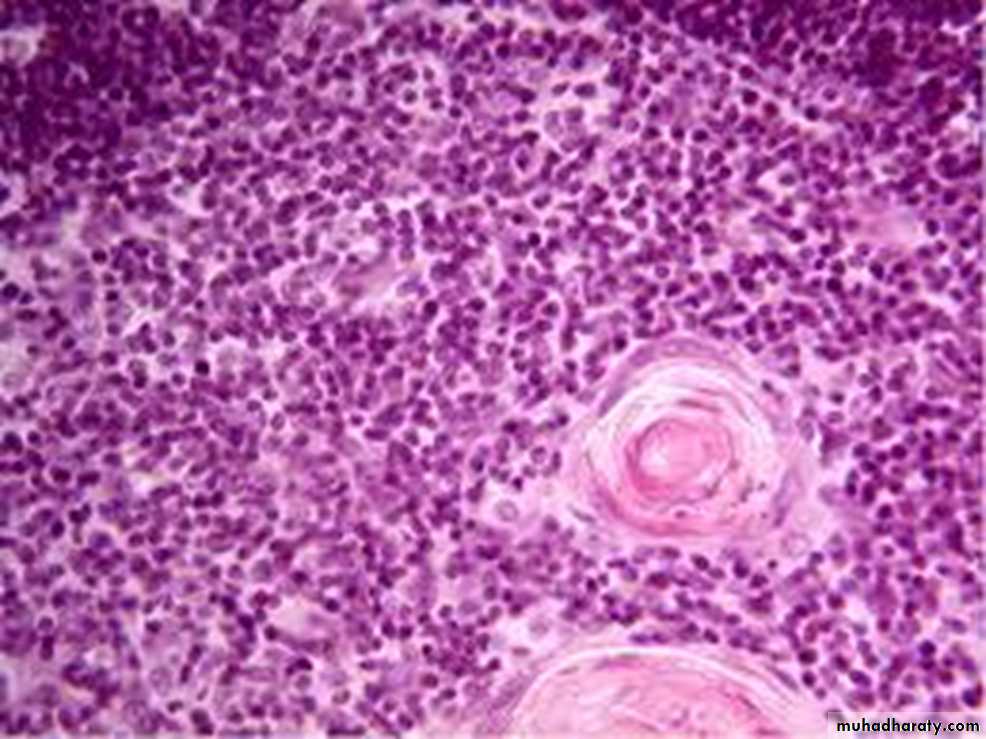
Hassal's corpuscles ( thymic corpuscles ):

It is spherical lamellated structures about 30-150 µm in diameter formed of central acidophilic hyalanized area surrounded concentrically arranged, flattened epithelial reticular cells that become filled with keratin filaments
Lymphatic system



Lymphatic system

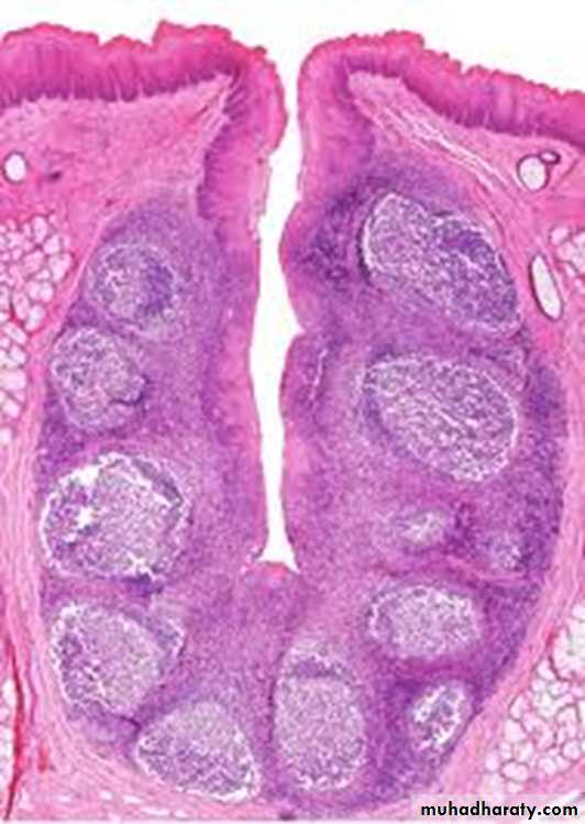
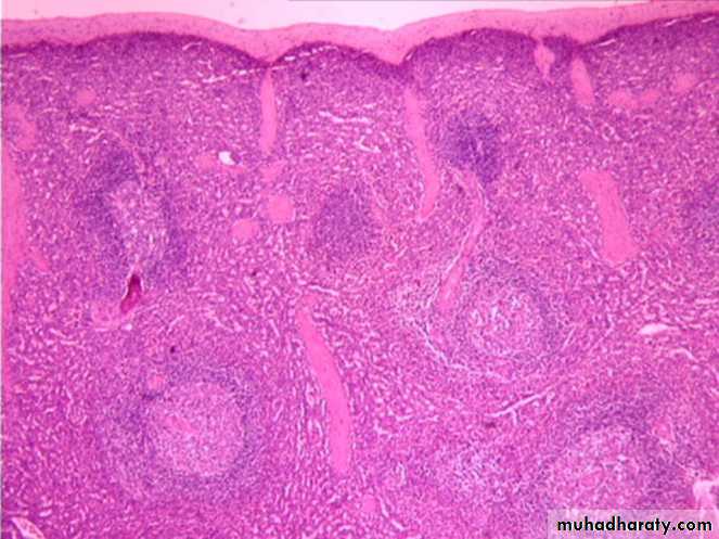
palatine tonsile:

1- covered by stratified sequamous epithelium -2-Each tonsil has about 10-20 crypts3-composed of dense lymphoid tissue in a form of lymphatic nodules
Lymphatic system


Lymphatic system


Lymphatic system

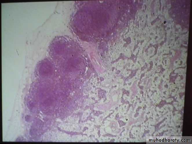
Pharyngeal Tonsil:

1 covered by ciliated pseudostratified columnar 2- no crypte-
Lymphatic system


Lymphatic system

Pharyngeal Tonsil:

Lymphatic system



Lymphatic system





رفعت المحاضرة من قبل: Abdalmalik Abdullateef
المشاهدات: لقد قام 16 عضواً و 317 زائراً بقراءة هذه المحاضرة








تسجيل دخول

أو
عبر الحساب الاعتيادي
الرجاء كتابة البريد الالكتروني بشكل صحيح
الرجاء كتابة كلمة المرور
لست عضواً في موقع محاضراتي؟
اضغط هنا للتسجيل