PLEURAL EFFUSION
TUCOMInternal Medicine
4th year
Dr. Hasan.I.Sultan
PLEURAL EFFUSION
Define as accumulation of serous fluid within the pleural space.Accumulations of frank pus (empyema) or blood (haemothorax) represent separate conditions
pleural spaces are defined by the thin visceral pleura covering the lungs and the parietal pleura lining the chest wall, diaphragm, and mediastinum. The pleural spaces are potential spaces and normally contain only a thin film of fluid.
The pleura consists of mesothelial cells, connective and fibroelastic tissue, lymphatics, and vessels. The mesothelial cells are rich in microvilli, and their most important function is to deliver glycoproteins rich in hyaluronic acid to decrease friction between the lung and chest wall.
Mechanisms that lead to accumulation of pleural fluid
Increased hydrostatic pressure in the microvascular circulation (heart failure)Decreased oncotic pressure in the microvascular circulation (severe hypoalbuminemia)
Increased permeability of the microvascular circulation (pneumonia)
Impaired lymphatic drainage from the pleural space (malignant effusion)
Movement of fluid from the peritoneal space (ascites)
Clinical assessment
Particular attention should be paid to a recent history of respiratory infection, the presence of heart, liver or renal disease, occupation (e.g. exposure to asbestos), contact with tuberculosis, and risk factors for thromboembolism.The chest physical signs as shown in this figure.
Normaly pleural fluid in the pleural space is usually not more than 10 - 20 ml.
Even though 25 ml is enough to count as an pleural effusion.Chest X-ray on lateral decubitus position as little as 50 ml of fluid may be detectable.
Chest X-ray on erect position the first sign of a pleural effusion - blunting of the costophrenic angle - occurs once 200 ml of pleural fluid has accumulated.
Chest percussion can only detect pleural effusion of greater than 500 ml.
It is believed that at least a litre of fluid must be present for the fluid to push aside other chest structures, a phenomenon known as 'mediastinal shift'.
Investigations
1- Chest X-ray:
Around 200 ml of fluid is required to be detectable on a PA chest X-ray, but smaller effusions can be identified by ultrasound or CT scanning.
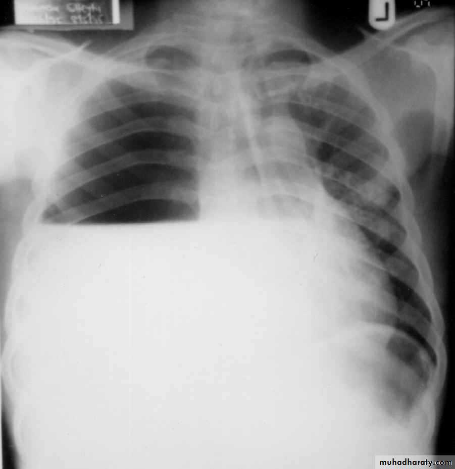
The classical appearance of pleural fluid on the erect PA chest film is homogenous opacity starting from the lung base with blunting the costophrenic angle and ascending towards the axilla (meniscus sign).
Previous scarring or adhesions in the pleural space can cause localised effusions
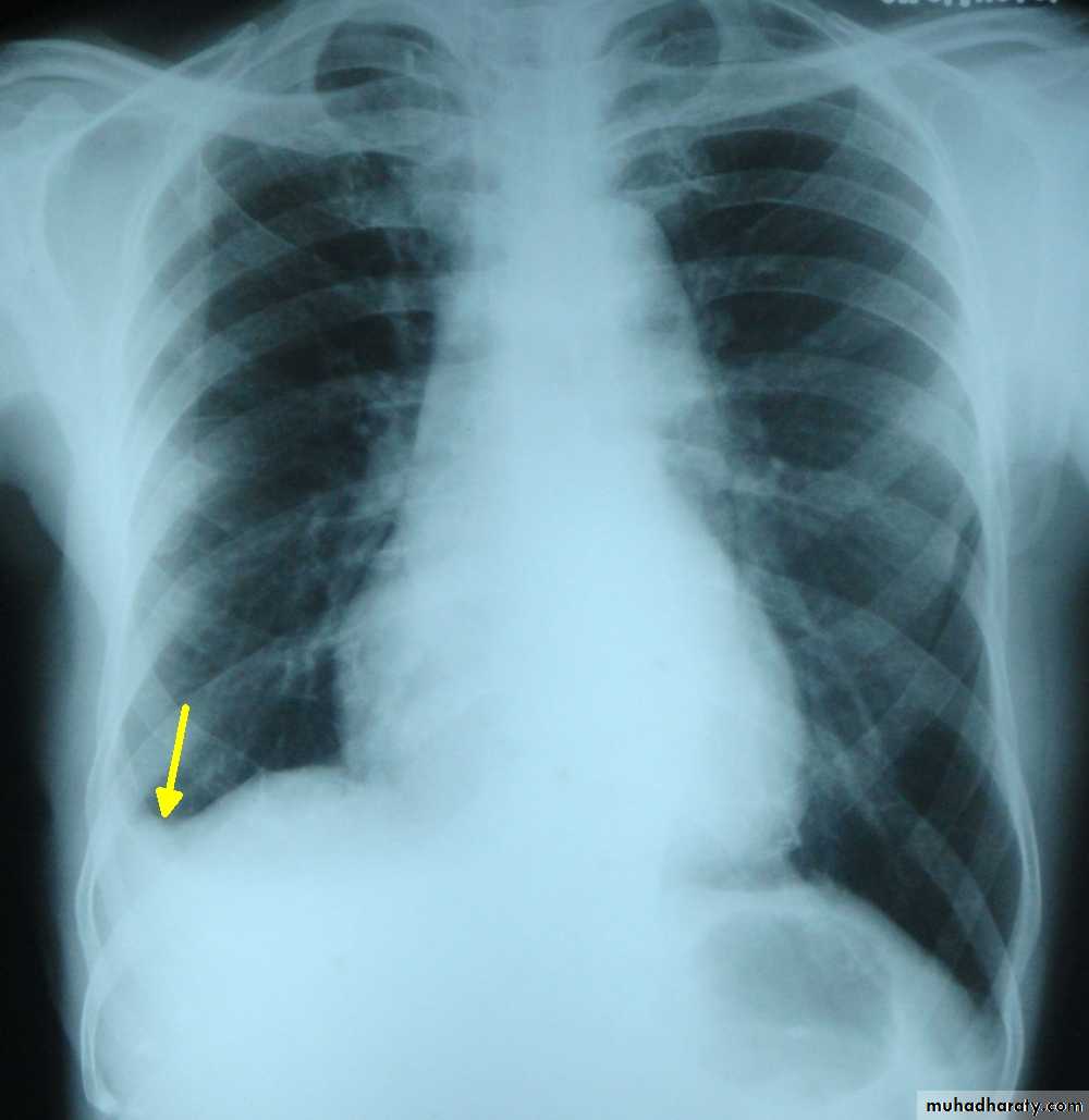
Chest x ray erect position, P-A view: blunting of the costophrenic angle on the right side, occurs once 200 ml of pleural fluid has accumulated.
A homogenous opacification is noted in the right lower zone with the opacity seen to track along the lateral chest wall. The right costophrenic angle is obliterated with a meniscus noted. Findings of a right sided pleural effusion.
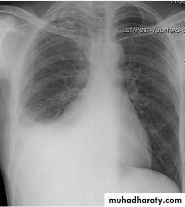
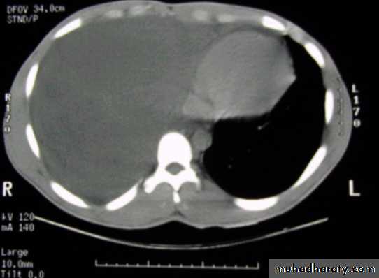
Left side massive pleural effusion with mediastinal
shift2-Ultrasonography is more accurate than plain chest radiography at determining the volume of pleural fluid. facilitates safe needle aspiration and guides pleural biopsy. may also distinguish pleural fluid from pleural thickening.
3-CT scanning displays pleural abnormalities more readily than either plain radiography or ultrasound, and may distinguish benign from malignant pleural disease.
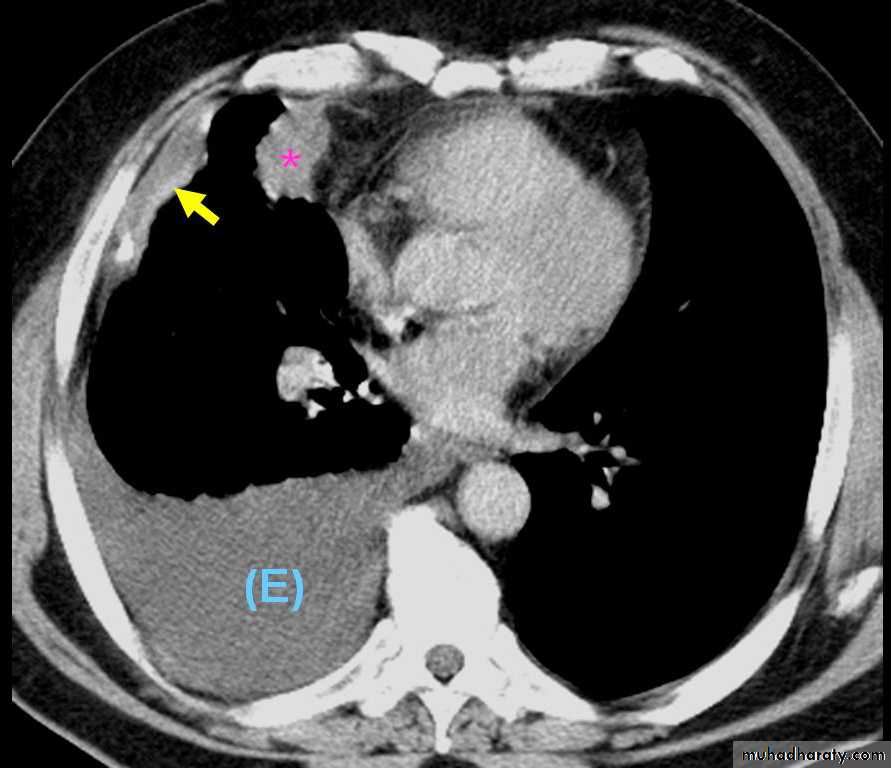
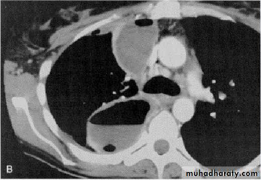
Computed tomography scan of the chest demonstrates a mass in the right upper lobe adjacent the pleura (*). Irregular soft-tissue thickening of the pleural surface (arrow) and pleural effusion (E) are present. The findings are most consistent with primary lung neoplasm with pleural metastasis and malignant pleural effusion. Results of thoracentesis were positive for malignant cells (adenocarcinoma).
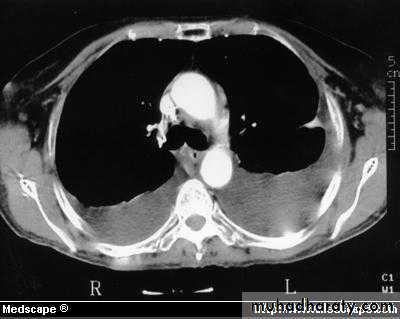
Computed tomography of chest shows bilateral pleural effusions
CT scan of chest showing that essentially the entire right lung volume is occupied by low attenuation fluid.
4-Pleural aspiration:
DiagnosticTherapeutic: removing larger amounts of fluid ( but no more than 1000 to 1500 mL at one time because edema may occur in the re-expanded underlying lung, especially in cases of tension effusion).
Diagnostic: simple aspiration provides information on the;
Colour may suggest an empyema or chylothorax. The presence of blood is consistent with pulmonary infarction or malignancy, but may represent a traumatic tap.
Biochemical analysis (e.g. protein and LDH) allows classification into transudate and exudates
Pleural effusion. A, Blood-stained pleural aspirate. This patient had pleural metastases from carcinoma of the breast. B, Chylous pleural effusion. This patient had bronchial carcinoma that had invaded and obstructed the thoracic duct. C, Pleural transudate. This pale effusion is typically found in patients with heart failure or other causes of generalized edema
Gram stain; may suggest parapneumonic effusion. Tuberculosis (positive acid-fast bacilli by Z-N stain or culture).
The predominant cell type provides useful information; polymorphonuclear leukocytes (PMNs) suggest bacterial infection, whereas lymphocytes suggest tuberculosis, lymphoma and leukemic effusions
Cytological examination is essential.
A low pH suggests infection but may also be seen in rheumatoid arthritis, ruptured oesophagus or advanced malignancy.
Complications of thoracentesis include pain, bleeding (local, pleural, or abdominal), pneumothorax, infection, and spleen or liver puncture.
5- Percutaneous Pleural Biopsy;
Biopsy is indicated to evaluate patients with an undiagnosed exudative effusion (particularly those with lymphocytic predominance) because the most frequently diagnosed disease is malignancy or tuberculosis.The procedure is performed under local anesthesia with a hook-type needle (Abrams needle).
The overall diagnostic yield is about 40 - 60% for malignancy and 75 - 80% for tuberculosis.
Abrams needle
After making a small skin incision, the needle is inserted at 90° to the ribs, through an intercostal space into the pleural cavity. In order to avoid damage to the neurovascular bundle, the needle should be inserted just above the lower rib of the intercostal space chosen.
LIGHT'S CRITERIA FOR DISTINGUISHING PLEURAL TRANSUDATE FROM EXUDATE
Pleural fluid is an exudate if one or more of the following criteria are met:Pleural fluid protein: serum protein ratio > 0.5
Pleural fluid LDH: serum LDH ratio > 0.6
Pleural fluid LDH > two-thirds of the upper limit of normal serum LDH
Transudative Pleural Effusions
• Congestive heart failure• Liver cirrhosis
• Nephrotic syndrome: hydrothorax
• Peritoneal dialysis
• Superior vena cava obstruction
• Myxedema
• Urinothorax; occurs with obstruction of the urinary system the characteristic odor of urine.
Differential Diagnoses of Pleural Effusions
Exudative Pleural Effusions
6. Post-coronary artery bypass surgery
7. Asbestos exposure
8. Sarcoidosis
9. Uremia; causes a polyserositis and generally a bloody pleural exudate that resolves with treatment of the uremia.
10. Meigs' syndrome
11. Yellow nail syndrome
12. Radiation therapy
13. Hemothorax
14. Chylothorax
• Infectious diseases; bacterial infections or tuberculosis
• Neoplastic diseases; metastatic disease or mesothelioma• 3. Pulmonary embolism
4. Gastrointestinal disease
a. Esophageal perforation
b. Pancreatic disease
c. Intraabdominal abscesses
5. Collagen-vascular diseases
a. Rheumatoid pleuritis
b. Systemic lupus erythematosus
Cause
Appearance of fluid
Type of fluid
Predominant cells in fluid
Other diagnostic features
Tuberculosis
Serous, amber coloured
Exudate
Lymphocytes
M. tuberculosis in pleural fluid (20%). Positive pleural biopsy (80%)
Malignant disease
Serous, blood- stained
Exudate
Serosal cells, lymphocytes, clumps of malignant cells
Positive pleural biopsy (40%)Evidence of malignant disease elsewhere
Cardiac failure*
Serous, straw coloured
Transudate
Few serosal cells
Features of left ventricular failure
Pulmonary infarction*
Serous , blood-stained
Exudate (rarely transudate)
Red blood cells, Eosinophils
Evidence of pulmonary infarction, DVT, predisposing factors
Rheumatoid disease*
Serous Turbid if chronic
Exudate
Lymphocytes
Rheumatoid arthritis; rheumatoid factor in serum
Systemic lupus erythematosus (SLE)*
Serous
Exudate
Lymphocytes, serosal cells
Other manifestations of SLEAntinuclear factor or anti-DNA in serum
Acute pancreatitis
Serous or blood-stained
Exudate
No cells predominate
High amylase in pleural fluid (greater than in serum)
Obstruction of thoracic duct
Milky
Chyle
None
Chylomicrons
Pleural effusion: main causes and features
Tests
Diseases
pH <7.2
Empyema, malignancy, esophageal rupture, rheumatoid, lupus, and tuberculous pleuritis
Glucose (<60 mg/dL)
Infection, rheumatoid pleurisy, tuberculous and lupus effusions, esophageal rupture
Amylase (>200 μg/dL)
Pancreatic disease, esophageal rupture, malignancy, ruptured ectopic pregnancy
Rheumatoid factor or antinuclear antibody
Collagen vascular disease
Complement (decreased)
Lupus erythematosus, rheumatoid arthritis
Red blood cells (>5000/μL)
Trauma, malignancy, pulmonary embolus
Chylous effusion (triglycerides >110 mg/dL)
Tuberculosis, injury to thoracic duct (trauma, malignancy)
Biopsy (+)
Malignancy
Adenosine deaminase (>40 μg/L)
Tuberculosis
Correlation of pleural fluid exudate findings and causative disease
Management
Therapeutic aspiration: may be required to palliate breathlessness but removing more than 1.5 liters in one episode is inadvisable as there is a small risk of re-expansion pulmonary oedema.
Treatment of the underlying causes: for example, heart failure, pneumonia, pulmonary embolism or subphrenic abscess will often be followed by resolution of the effusion.
Chemical pleurodesis: used for patients with recurrent pleural effusion specially those with underlying malignancies. This technique requires that the pleural space be drained by a chest tube until a minimal amount of liquid remains. In patients with multiloculated malignant effusions, use of an intrapleural fibrinolytic agent may help achieve adequate drainage.
Once sufficient liquid is removed, a sclerosing agent (e.g., doxycycline, talc, bleomycin, or iodopovidone) is introduced into the pleural space through the chest tube; during healing of the resultant inflammatory process, a fibrous bond forms between the two pleural surfaces.
This procedure done only on patients who are considered good surgical candidates with a reasonably long expected rate of survival.
EMPYEMA
The presence of pus in the pleural space.The pus may be as thin as serous fluid or so thick that it is impossible to aspirate even through a wide-bore needle.
An empyema may involve the whole pleural space or only part of it ('loculated' or 'encysted' empyema) and is almost invariably unilateral.
Aetiology
Empyema is always secondary to infection in a neighboring structure, usually the lung. Over 40% of patients with community-acquired pneumonia develop an associated pleural effusion ('para-pneumonic' effusion) and about 15% of these become secondarily infected (empyema).The principal infections liable to produce empyema are the bacterial pneumonias and TB.
Other causes are infection of a haemothorax and rupture of a subphrenic abscess through the diaphragm.
Typical parapneumonic pleural effusion
• Free fluid separates the lung from the chest wall not more >10 mm thickness on lateral decubitus chest X ray.• Glucose level and PH are normal.
• Gram stain and culture are negative
If the free fluid separates the lung from the chest wall by >10 mm, a therapeutic thoracentesis should be performed
Complicated parapneumonic pleural effusion or an empyema
• Loculated pleural fluid
• Pleural fluid pH <7.20
• Pleural fluid glucose <3.3 mmol/L (<60 mg/dL)
• Positive Gram stain or culture of the pleural fluid
• Presence of gross pus in the pleural space
Pathology
Both layers of pleura are covered with a thick, shaggy inflammatory exudate. The pus if not adequately treated:
• May rupture into a bronchus causing a bronchopleural fistula and pyopneumothorax
• Or track through the chest wall with the formation of a subcutaneous abscess or sinus (empyema necessitans).
Tuberculous empyema. A and B. Posteroanterior and lateral chest x ray of a tuberculous empyema with calcified margins and an air fluid level. Aerated pulmonary parenchyma is visualized inferior to the empyema cavity. C. A midthoracic computed tomographic section demonstrates the calcified empyema cavity with an air fluid level. Although significant volume loss has occurred, a compressed aerated right lung without parenchymal destruction is seen.
•
Clinical features
Empyema should be suspected in patients with pulmonary infection if there is persistence or recurrence of pyrexia despite the administration of a suitable antibiotic.Systemic features
Pyrexia, usually high and remittent
Rigors, sweating, malaise and weight loss
Polymorphonuclear leucocytosis and high CRP
Local features;
Pleural pain; breathlessness; cough and sputum usually because of underlying lung disease; copious purulent sputum if empyema ruptures into a bronchus (bronchopleural fistula)
Clinical signs of fluid in the pleural space
• CT image shows empyema and draining chest wall abscess.
• Empyema necessitans : is a rare complication of empyma occurs when the infected fluid discharge spontaneously into the chest wall from the pleural space result from inadequate treatment of an empyemaInvestigations
Radiological examination: The appearances are often indistinguishable from those of pleural effusion. When air is present in addition to pus (pyopneumothorax), a horizontal ‘Air- fluid level' marks the interface between the liquid and air.Ultrasound: shows the position of the fluid, the extent of pleural thickening and whether fluid is in a single collection or multiloculated by fibrin and debris.
CT of chest: can be useful in assessing the underlying lung parenchyma and patency of the major bronchi.
Aspiration of pus: confirms the presence of an empyema by using a wide-bore needle. The distinction between tuberculous and non-tuberculous disease can be difficult and often requires pleural histology and culture.
CXR shows right side in tuberculosis with air- fluid level sign
Ultrasound image of heavily septated empyema
• CXR shows a loculated pleural effusion. The enhanced axial CT scan for another patient shows a characteristic enhancement of both the visceral and parietal pleura, a sign of pleural inflammation that occurs with an empyema.
Management
Treatment of non-tuberculous empyema:Intercostal tube should be inserted under ultrasound or CT guidance into the most dependent part of the empyema space and connected to a water-seal drain system.
Turbid fluid or frank pus, or if loculations are seen on ultrasound, the tube should be put on suction (-5 to -10 cm H2O) and flushed regularly with 20 ml normal saline.
Although intrapleural fibrinolytic therapy is widely used in such situations, trial evidence of its benefit is conflicting.
Finally, an antibiotic directed against the organism causing the empyema should be given for 2-4 weeks.
Surgical 'decortication' of the lung may also be required if gross thickening of the visceral pleura has developed and is preventing re-expansion of the lung.
Treatment of tuberculous empyema:
Antituberculosis chemotherapy
Pus in the pleural space aspirated through Intercostal tube drainage
Surgery is occasionally required in many patients to ablate a residual empyema space.
THANKS























