Epidemiology of Periodontal Diseases (46 SLİDES)
Dr. Bassam ELGHARABLY1
Epidemiology
• The term epidemiology is of Hellenic origin; it consists of the preposition "epi", which means "among" or “against" and the noun "demos" which means "people". As denoted by its etymology, epidemiology is defined as "the study of the distribution of disease or a physiological condition in human populations and of the factors that influence this distribution.2
four types of epidemiology
• (descriptive epidemiology)• (etiologic epidemiology)
• (analytical epidemiology)
• (experimental/ interventive epidemiology)
3
Epidemiology of Periodontal Diseases
Epidemiology: the study of the distribution and determinants of health-related states or events in specified populations, and the application of this study to control health problems.It is considered a basic science of public health.
4
Epidemiology Has Three Purposes (+)
1) To determine the amount and distribution of a disease in a population.2) To investigate causes for the disease.
3) To apply this knowledge to the control of the disease.5
Aims of epidemiology
Epidemiology of periodontal diseases that will help students and clinicians analyze a disease and base their diagnostic and therapeutic decisions on its prevalence, incidence, and distribution in large populations or groups.Knowledge of the epidemiology of a disease improves our understanding and sharpens our decisions in individual cases.
6
Epidemiologic Measures of Disease (+)
Prevalence: The proportion of persons in a population who have the disease at a given point or period of time.Prevalence is a measure of the amount of disease existing in a population, usually expressed as a percentage.
7
Epidemiologic Measures of Disease (+)
Incidence: The average percentage of unaffected persons who will develop the disease during a given period of time.Incidence is a measure of the occurrence of new disease.
8Whereas prevalence is a measure of the amount of disease existing in a population. incidence is a measure of the occurrence of new disease.
9
Epidemiologic Study Designs
Most epidemiologic studies are observational, the researchers observe natural occurrences in the population to determine prevalence and incidence of disease.The most common observational studies are cross-sectional studies, cohort studies, and case-control studies.
10
Cross-Sectional Studies
In a cross-sectional study , the presence or absence of disease and characteristics of the members of a population are measured at a point in time.
These studies are useful for providing prevalence data on a disease, comparing the characteristics of persons with or without disease.
Limitation: Does not provide information on incidence (does not follow risk over time).
11
Cohort Studies
In a cohort study, subjects are followed over time.Incidence can be calculated because new cases of disease are assessed.
The purpose of a cohort study is to determine whether an exposure is associated with the development of disease.At the beginning, all subjects are free of the disease. Subjects are then classified as exposed or unexposed and are monitored for disease development.
12
Cohort Studies
13Case-Control Studies
Case-control studies investigate the association between an exposure and a disease.
Both persons with the disease and persons without the disease are recruited into the study and are assessed for the exposure of interest.
If an association exists between the exposure and the disease, then the proportion of exposed persons would be expected to be greater among the diseased cases than the non-diseased controls.
Case-controlled studies do not follow subjects over time.
1415
16
Examination methods
(index systems)17
(Plaque Index)(Silness & Loe 1964)
absence of plaque deposits is scored as 0
plaque disclosed after running the periodontal probe along the gingival margin as 1visible plaque as 2
abundant plaque as 318
How is Gingivitis Measured?
Gingivitis is measured by gingival indices. Indices are methods for quantifying the amount and severity of disease or conditions in individuals or populations.All gingival indices measure one or more of the following: gingival color, gingival contour, gingival bleeding, extent of gingival involvement, and gingival crevicular flow.
The gingival index (GI) is the most commonly used index.
19Criteria for the Gingival Index
SCORE CRITERIA0 Normal gingiva
1 Mild inflammation with out bleeding on prbing (BOP)
2 Mod. Inflammation, BOP
3 Severe inflammation, ulceration,
tendency toward spontaneous
bleeding
20
(Gingival Sulcus Bleeding Index) (GBI)
no bleeding after probing 0 (-)
bleeding emerges within 15 seconds after probing 1 (+)
21How is Periodontitis Measured?
In clinical practice, periodontal disease is assessed by a full mouth clinical examination that includes:6 point probing depths per tooth on all teeth
Recording of recession, furcation involvement, mobility, bleeding upon probing, and calculation of Clincal Atachment Loss (CAL) (probing depths or/and recession)22
How is Periodontitis Measured?
This full mouth examination and recording is very time consuming.In epidemiologic studies, various partial mouth recording methods have been used due to time/manpower/economic limitations.
The disadvantages of the various partial mouth recordings include an underestimation of disease prevalence and the inability to compare results from survey to survey.
23
Periodontal Index (PI)
a tooth with healthy periodontium scores (0)a tooth with gingivitis around only part of the
tooth circumference (1)a tooth with gingivitis encircling the tooth (2)
pocket formation (6)loss of function due to excessive tooth mobility (8).
24Periodontal Disease Index (PDI)
The unique aspect of the PDI was the examination of six preselected teeth in the mouth, #03, 09, 12, 19, 25, & 28 (referred to as the Ramfjord teeth)Another unique aspect of the PDI was the use of the CEJ as a fixed landmark for measuring attachment loss.
It consists of a gingival assessment, PD, and CAL on four sites per tooth (M,D,F,L)
25Periodontal Disease Index (PDI)
The scores, ranging from 0-6denote periodontal health or gingivitis (scores 0-3)
and various levels of attachment loss (scores 4-6).26
The number of probing assessments per tooth has varied in epidemiological studies from two to six.
while the examination may either include all present teeth (full-mouth) or a subset of index teeth (partial-mouth examination).
27
Extent & Severity Index (ESI)
(1) the Extent, describing the proportion of tooth sites of a subject examined showing signs of destructive periodontitis.(2) the Severity, describing the amount of attachment loss at the diseased sites, expressed as a mean value.
28
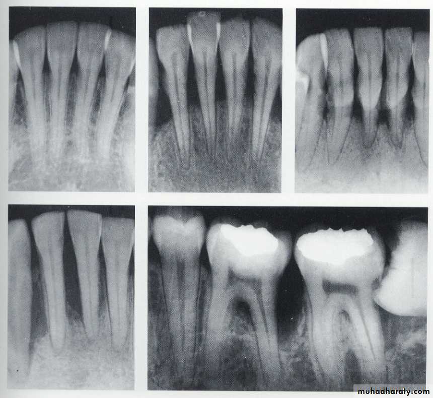
Radiographic assessment of alveolar bone loss
Aims of using Radiographic(1) presence of an intact lamina dura.
(2) the width of the periodontal ligament space.(3) the morphology of the bone crest ("even" or "angular" appearance).
(4) the distance between the cemento-enamel junction (CEJ) and the most coronal level at which the periodontal ligament space is considered to retain a normal width.29
Periodontitis and tooth loss
Important questions that were analyzed included.(1) the relative contribution of periodontitis as a reason underlying tooth extractions in subjects retaining a natural dentition.
(2) its role in cases of full-mouth extractions, the so called total tooth clearance.
(3) risk factors for tooth loss.
30
The results indicate that the reason underlying the vast majority of extractions in ages up to 40 to 45 years is dental caries.
However, in older age cohorts, periodontal disease becomes about equally responsible for tooth loss.
Overall, periodontitis is thought to account for 30-35% of all tooth extractions while caries and its sequel account for up to 50%.
In addition, caries appears to be the principal reason for extractions in cases of total tooth clearance.
Finally, identified risk factors for tooth loss include smoking, perceived poor dental health, socio-behavioral traits, and periodontitis scores.
31
LEVEL OF THE GINGIVAL MARGIN
The level of the gingival margin can change over time in response to trauma, medications, or disease.1. Gingival margin is at the CEJ.
2. Gingival margin significantly covers the CEJ
3. Gingival margin is significantly apical to the CEJ
Gingival Margin Significantly Apical to the Cemento-Enamel Junction. Known as recession, thisrelationship leads to exposure of the root surface. A, Gingival recession on the facial aspect ofthree teeth. B, Area of gingival recession on the lingual aspect of a mandibular incisor.
CALCULATING CLINICAL ATTACHMENT LEVEL
CALCULATING CLINICAL ATTACHMENT LEVEL
CALCULATING CLINICAL ATTACHMENT LEVEL
40
41
42
43
44
45



























