مواضيع المحاضرة: ECG
قراءة
عرض

Pediatric E.C.G

The electrocardiogram should be read systematically
Heart rate (300/no.of large squares between R-R)OR(1500/NO.of small squares between R-R)
P wave axis (the P wave should be upright in leads I and aVF and inverted in lead Avr)-Normally less than 2-3 small squares (0.08-0.12 sec) wide and tall
Rhythm
QRS axis (In a newborn, the mean QRS frontal-plane axis normally lies in the range of +110 to +180 degrees. The right-sided chest leads reveal a larger positive (R) than negative (S) wave and may do so for months or years because the right ventricle remains relatively thick throughout infancy-Over the years, the QRS axis gradually shifts leftward, and the right ventricular forces slowly regress. Leads V1, V3R, and V4R display a prominent R wave until 6 mo to 8 yr of age)
Intervals PR, QRS, QT/QTc (PR 3-5 SMALL SEQUARES)(QRS If longer than 2-3 square (0.08-0.12 sec), that's bundle branch block (BBB).
P wave amplitude and duration (RA and LA enlargement)
QRS amplitude, R/S ratio, Q waves (RVH – LVH)
ST segments and T wave

T wave inversion: Infants older than 48 hours of age should have inverted T waves in the right praecordial leads. These findings persist throughout childhood with inversion to V4 being accepted as normal. There is a progressive change to an upright T wave across the praecordial leads from left to right as the child grows older. Until 8 years of age an upright T wave in V1 is considered a sign of right ventricular hypertrophy. Many children will show persistence of an inverted T wave in V1 until their late teens


سمنارات

PR interval if > 5 small sequares is prolonged


Normal tracings Examples of normal tracings for the different age groups follow, preceded by a general description of the characteristics of that age group.
سمنارات




سمنارات




سمنارات




سمنارات




سمنارات





سمنارات




سمنارات




سمنارات




سمنارات




سمنارات

Sinus arrythmia : occur during inspiration by increased heart beats


سمنارات




سمنارات




سمنارات




سمنارات




سمنارات




سمنارات





سمنارات

Complete heart blick

سمنارات




سمنارات




سمنارات




سمنارات



Bronchoilitis


سمنارات




سمنارات

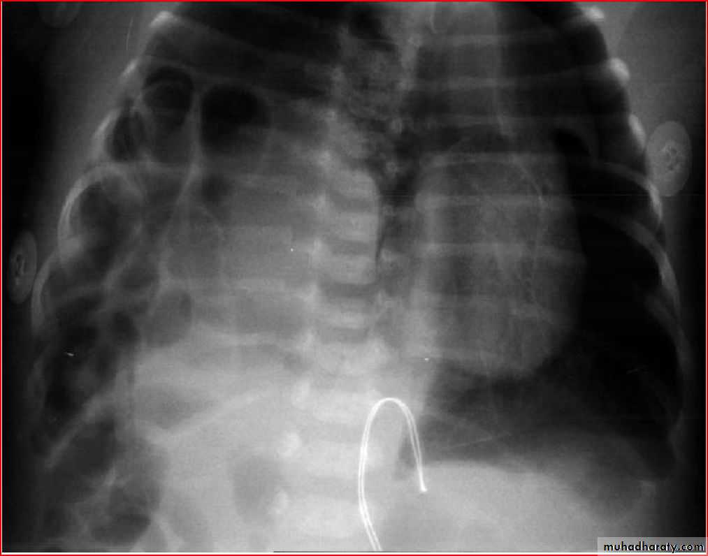
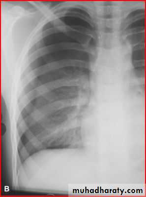
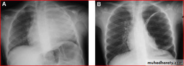
Middle lobe pneumonia

سمنارات




سمنارات




سمنارات



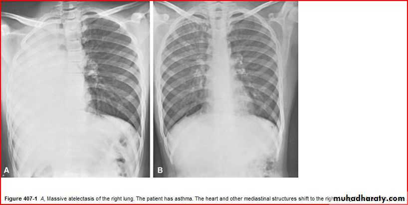
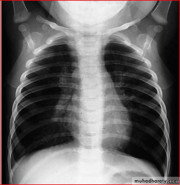
Whole right lung pneumonia
Normal after the tratment


سمنارات

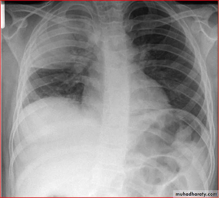
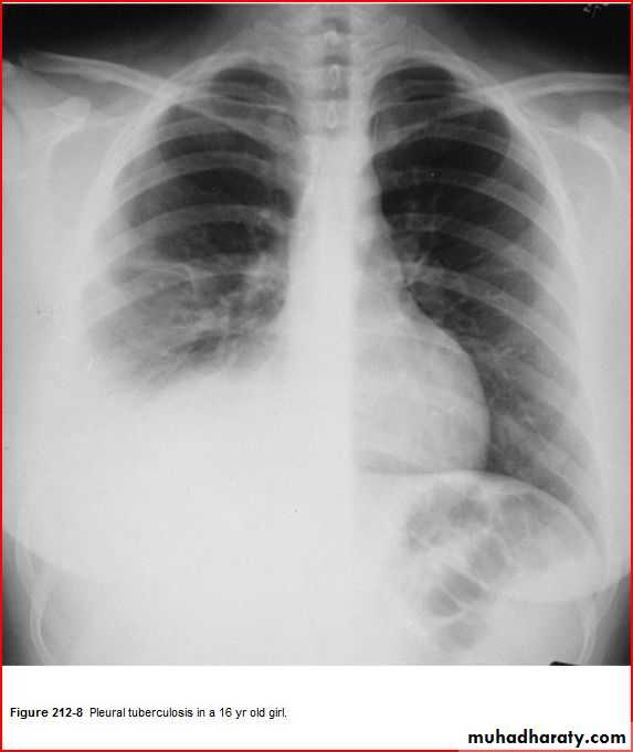
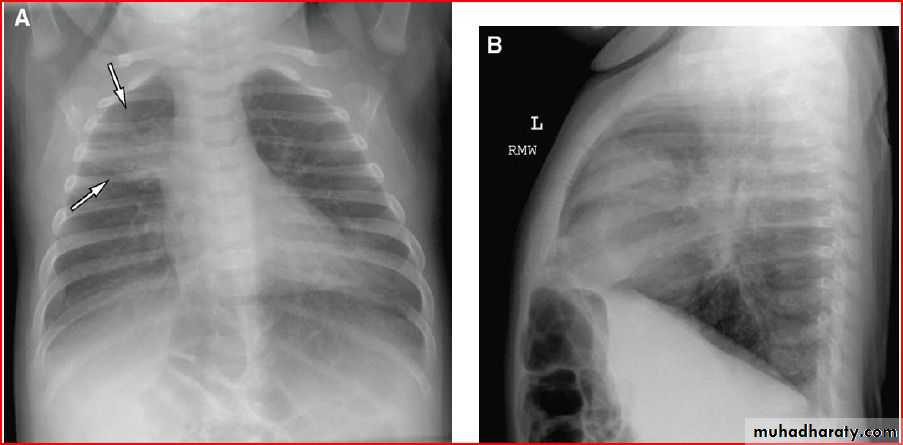
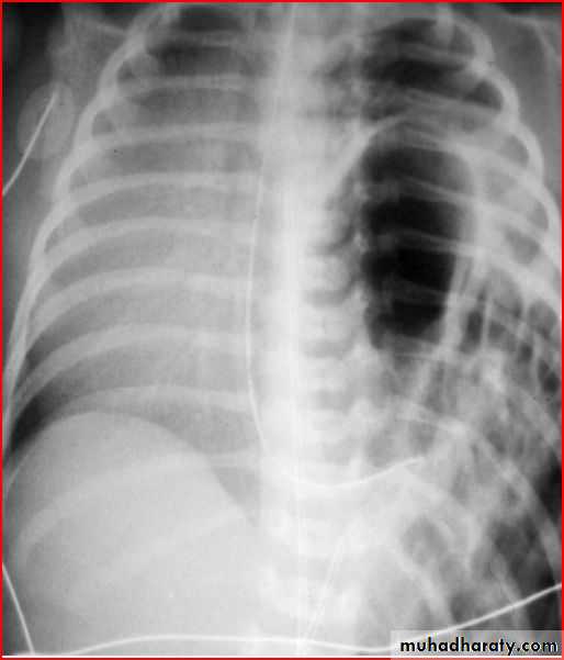
Basal left lobe pneumonia

May be presented as abdomial pain


سمنارات




سمنارات




سمنارات

Pneumatocele ( air lined wall

Cause : staph aureus infection



سمنارات

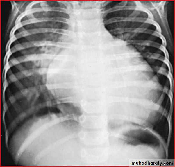
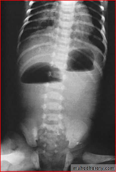
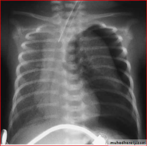
pneumothorax

سمنارات

Tension pneumothorax

سمنارات




سمنارات

Respiratory distress syndrome ( hyaline membrane disease )

Radiological features : glasss ground appearance



سمنارات




سمنارات




سمنارات

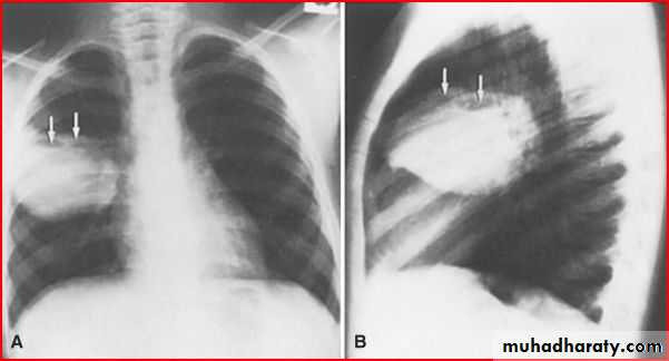
Lung abcess

سمنارات

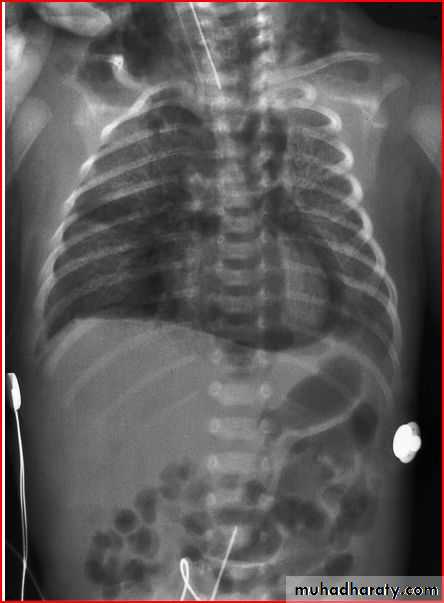
Diaphgramtic hernia

سمنارات



Lung abcess


سمنارات




سمنارات




سمنارات




سمنارات




سمنارات





سمنارات




سمنارات




سمنارات

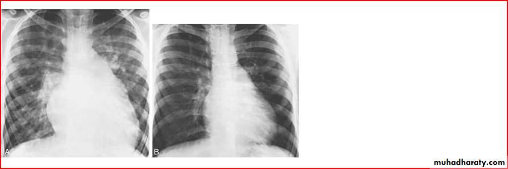
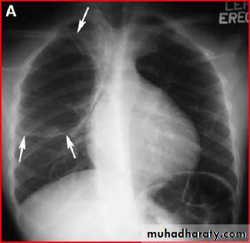
cardiomegaly

سمنارات




سمنارات





سمنارات




سمنارات




سمنارات




سمنارات




سمنارات





سمنارات




سمنارات




سمنارات




سمنارات




سمنارات





سمنارات




سمنارات




سمنارات




سمنارات




سمنارات





رفعت المحاضرة من قبل: Abdalmalik Abdullateef
المشاهدات: لقد قام 56 عضواً و 582 زائراً بقراءة هذه المحاضرة








تسجيل دخول

أو
عبر الحساب الاعتيادي
الرجاء كتابة البريد الالكتروني بشكل صحيح
الرجاء كتابة كلمة المرور
لست عضواً في موقع محاضراتي؟
اضغط هنا للتسجيل