قراءة
عرض

General examination

New version (25-12-2014)

Examination of the Face

Facial expression
General Examination

• Sad

• Depressed
• Anxious
• Angry
• ….

Special faces

1-Cushing syndrome
General Examination



General Examination

Special faces

2- Acromegaly
General Examination

Special faces

3- thyrotoxicosis
General Examination


General Examination

Special faces

4- Myxoedema
General Examination


General Examination


Special faces

5- facial nerve palsy
General Examination


General Examination

Special faces

6- parotid swelling ( mumps )
General Examination

Special faces

7- SLE
General Examination


General Examination

Facial Skin color

1- pallor
General Examination



General Examination

Facial Skin color

2- jaundice
General Examination

Facial Skin color

3- plethoric face
General Examination


General Examination

Facial Skin color

4- Earthy pale complexion
General Examination

Facial Skin color

5- pigmentations
General Examination


Facial Skin color

6- malar flush
General Examination

Eye examination

1- Anemia
General Examination


General Examination

Eye examination

2- polycythemia
General Examination


General Examination

Eye examination

3- jaundice
General Examination



General Examination

Eye examination

4- Puffiness
General Examination

Eye examination

5- Xanthelasma
General Examination

Eye examination

6- Corneal arcus
General Examination


General Examination


General Examination


Eye examination

7- subconjuctival hemorrhage
General Examination


General Examination

Eye examination

8- periorbital edema
General Examination

Eye examination

9- Digital photographs of the conjunctiva
General Examination

Hair examination

1- Coarse dry lusterless ( in hypothyroidism )
General Examination


Hair examination

2- alopecia
General Examination

lips examination

1- cyanotic lip
General Examination


General Examination

lips examination

2- herpes labialis
General Examination

lips examination

3- angular stomatitis
General Examination



General Examination

lips examination

4- ulcer
General Examination


General Examination

lips examination

5- tattooing
General Examination

Gums examination

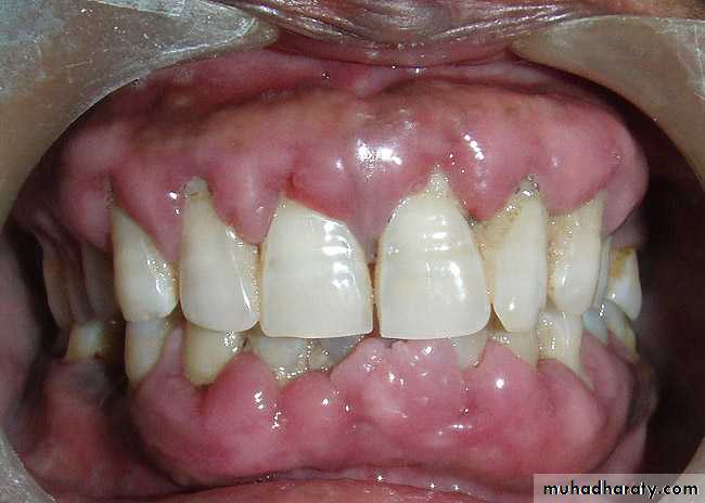
1- Gingivitis
General Examination


General Examination


Gums examination

2- Gingival hypertrophy
General Examination

Teeth examination

1- Dental caries
General Examination

Teeth examination

2- teeth loss
General Examination

Teeth examination

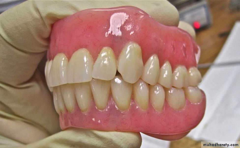
3- dentures
General Examination


General Examination


Tongue examination

1- Glossitis
General Examination

Tongue examination

2- pale ( in anemia )
General Examination

Tongue examination

3- yellow ( in jaundice )
General Examination


General Examination

Tongue examination

4- central cyanosis
General Examination



General Examination

Tongue examination

5- dry tongue
General Examination


General Examination

Tongue examination

6- Furred tongue
General Examination


General Examination

Tongue examination

7- smooth tongue
General Examination


Tongue examination

8- Geographical tongue
General Examination


General Examination

Tongue examination

9- Tumor Nodule
General Examination

Buccal mucosa examination

1- Thrush
General Examination

Buccal mucosa examination

2- aphthus ulcer
General Examination


Buccal mucosa examination

3- Petechial hemorrhage
General Examination

Buccal mucosa examination

4- pigmentations
General Examination

Buccal mucosa examination

5- Pallor
General Examination

Tonsil and pharynx examination

1- Tonsillitis
General Examination


General Examination


Tonsil and pharynx examination

2- enlargement of tonsils
General Examination

Tonsil and pharynx examination

3- post nasal discharge
General Examination


General Examination

Tonsil and pharynx examination

4- pharyngitis
General Examination

Examination of the Neck

L.N examination
General Examination


L.N examination

General Examination

Thyroid examination ( Goiter )

General Examination


General Examination


General Examination


General Examination

Examination of the Hand

Joints examination
General Examination


General Examination



1- deformity

Joints examination

2- swelling
General Examination

Muscle examination

1- atrophy
General Examination

Muscle examination

2- carpal tunnel syndrome
General Examination

Muscle examination

3- claw hands
General Examination


Color examination

1- cyanosis
General Examination

Color examination

2- anemia
General Examination

Skin lesions

1- petechiae
General Examination

Skin lesions

2- purpura
General Examination




Skin lesions
3- Ecchymosis
General Examination

Skin lesions

4- hematoma
General Examination

Skin lesions

5- spider nevi
General Examination

Skin lesions

6- Palmer erythema
General Examination

Skin turgor

General Examination



Causes:

• Decreased fluid intake

• Dehydration
• Diarrhea
• Diabetes
• Extreme weight loss
• Heat stroke
• Vomiting

Nails examination

1- Clubbing of fingers
General Examination


General Examination


General Examination

Nails examination

2- leukonychia
General Examination



General Examination

Nails examination

3- Koilonychias
General Examination

Nails examination

4- Onycholysis
General Examination

Tremor examination

General Examination

• Rest tremor

• Intention tremor
• Flapping tremor
• Tremor of outstretched hand


Examination of the Leg

Deformities and amputation

General Examination


General Examination

Edema examination

General Examination


General Examination

Ischemia examination

General Examination

• Pallor

• Cyanosis
• Ulcerations
• Gangrene
• Loss of pulses
• Hairless shiny skin


Diabetic foot
General Examination


General Examination

Blood spots of the foot

General Examination

Vital Signs

1-Temperature
oral temperature  33.2-38.2 C

rectal temperature  34.4-37.8 C

Tympanic temperature  35.4- 37.8 C

Axillary temperature  35.5-37.0 C


General Examination


General Examination


General Examination


General Examination

2-Pulse

General Examination


General Examination

A normal resting heart rate for adults ranges from 60 to 100 beats a minute.

When you feel the pulse, count the number of beats in 15 seconds. Multiply this number by 4 to calculate the pulse ( beats per minute ).

3- Blood Pressure

Blood PressureCategory
Systolicmm Hg (upper #)

Diastolicmm Hg (lower #)
Normal
less than 120
and
less than 80
Prehypertension
120 – 139
or
80 – 89
High Blood Pressure(Hypertension) Stage 1
140 – 159
or
90 – 99
High Blood Pressure(Hypertension) Stage 2
160 or higher
or
100 or higher
Hypertensive Crisis(Emergency care needed)
Higher than 180
or
Higher than 110
General Examination


4- Respiratory rate

Recorded as breaths per minute. They should be counted for 30 seconds multiplied by 2 or 15 seconds multiplied by 4

Normal is between 12 and 20 breaths per minute.

General Examination

Done…..

By : Mosul medical college students



رفعت المحاضرة من قبل: Abdalmalik Abdullateef
المشاهدات: لقد قام 134 عضواً و 660 زائراً بقراءة هذه المحاضرة








تسجيل دخول

أو
عبر الحساب الاعتيادي
الرجاء كتابة البريد الالكتروني بشكل صحيح
الرجاء كتابة كلمة المرور
لست عضواً في موقع محاضراتي؟
اضغط هنا للتسجيل