By
Dr. Athal Humo
2016-2017
Respiratory CAses
Q1/ A 2-year-old boy brought to EU , because he was developed noisy breathing on inspiration. On examination there is marked retractions of the chest wall, flaring of the nostrils, and a barking cough. He has had a mild upper respiratory infection (URI) for 2 days.
• What is the diagnosis?
• Discuss the investigation needed and how can treat such case?
What is the sign on CXR?
Q2/ A 6-year-old child, is brought to the emergency room with a 3-hour history of fever to 39.5°C (103.1°F) and sore throat. The child appears alert, but anxious and toxic. He has mild inspiratory stridor and is drooling. He is sitting on the examination table leaning forward with his neck extended.
• What is the diagnosis?
• what is the management?
What is the sign on CXR?
Q3/ A 4 years old child presented with history of high fever, chills, cough & dyspnea for the last 3 days. On examination of the chest found to have diminished air entry with course crepitation mainly involve lower right lung. WBC count 30,000/mm3.
• What is the diagnosis?
• What is other investigation support your diagnosis?
• What is the treatment?
Q4/ A previously well 1-year-old infant has had a runny nose and has been sneezing and coughing for 2 days. Two other members of the family had similar symptoms. Four hours ago, his cough became much worse. On physical examination, he is in moderate respiratory distress with nasal flaring, hyperexpansion of the chest, and easily audible wheezing without rales.
• What is his chest radiographs are shown?
• What is the diagnosis?
• What is the treatment?
• What is the possible complications?
Q5/ A 2-year-old girl is playing in the garage, Her father finds her in the garage, gagging and vomiting. She smells of gasoline. In a few minutes she stops vomiting, but later after 6 hrs she develops cough, tachypnea, and subcostal retractions. She is brought to your emergency center.
• What is the management?
Q6/ A previously healthy, active, 18-month-old child presents with unilateral nasal obstruction and foul-smelling discharge. The child’s examination is otherwise unremarkable.
• What is the most likely diagnosis?
• What is treatment?
Q7/ A 13-year-old develops fever, malaise, sore throat, and a dry, hacking cough over several days. He does not appear to be particularly sick, His chest examination is reveal rales and rhonchi. The chest radiograph is shown below.
• What is the most likely diagnosis and most likely causative pathogen?
• What are others pulmonary and extrapulmonary disease caused by this pathogen?
• What are the helpful investigation?
• What is the treatment?
The radiograph shown has reticulonodular opacities in the right upper lobe and prominence of the right hilum (lymphadenopathy) consistent with M pneumoniae.
NOTE: Infections with M pneumoniae are common in older children and young adults. Although the infection typically produces an interstitial infiltrate, its effects are characteristically nonspecific, and it can produce lobar pneumonia as well. It can produce upper respiratory infection, pharyngitis, otitis media and externa, bronchiolitis, hemolytic anemia, and Guillain-Barré syndrome. Treatment of choice is a macrolide antibiotic.
Q8/ A 6-week-old infant arrives with a complaint of “breathing fast” and a cough. On examination you note the child to have no temperature elevation, a respiratory rate of 65 breaths per minute, and her oxygen saturation to be 94%. Physical examination also is significant for rales and rhonchi. The past medical history for the child is positive for an eye discharge at 3 weeks of age, which was treated with a topical antibiotic drug.
• What is the most likely diagnosis ?
chlamydia conjunctivitis in neonate
CXR chlamydia pneumoniae in infant
Chlamydia trachomatis
Chlamydiae organisms, sexually transmitted among adults, are spread to infants during birth from genitally infected mothers. The sites of infection in infants are the conjunctivae and the lungs, where chlamydiae cause inclusion conjunctivitis and afebrile pneumonia, respectively, in infants between 2 and 12 weeks of age.Diagnosis is confirmed by culture of secretions and by antibody titers.
In adolescents, chlamydial infections may be a cause of cervicitis, salpingitis, endometritis, and epididymitis and appear to be an important cause of tubal infertility.
The most common treatment for this condition includes macrolide antibiotics orally, which clears both the nasopharyngeal secretions when conjunctivitis is present and prevents the pneumonia that can occur later. Topical treatment for chlamydia conjunctivitis is not effective in clearing the nasopharynx. Early treatment with oral macrolides is, however, associated with an increased incidence in the development of idiopathic hypertrophic pyloric stenosis; their use in a neonate is with caution.
Q9/ One of your asthmatic patients arrives for a checkup. The mother reports that the child seems to need albuterol daily, especially when exercising, and she has coughing fits that awaken her from sleep about twice a week. Appropriate treatment measures would include which of the following?
a. Short-acting, inhaled β-agonists, as needed
b. Daily leukotriene modifier with short-acting β-agonist
c. Inhaled nedocromil with short-acting β-agonists
d. Medium-dose, inhaled corticosteroids with short-acting β-agonists
e. High-dose, inhaled corticosteroids with theophylline and short acting β-agonists
The answer is D.
This patient has moderate persistent asthma; she has daily symptoms and difficulty at night more than once a week. Her treatment should consist of medium-dose corticosteroids, or a combination of low-dose corticosteroids and a long-acting β-agonist; alternatives include a leukotriene modifier or sustained release theophylline.
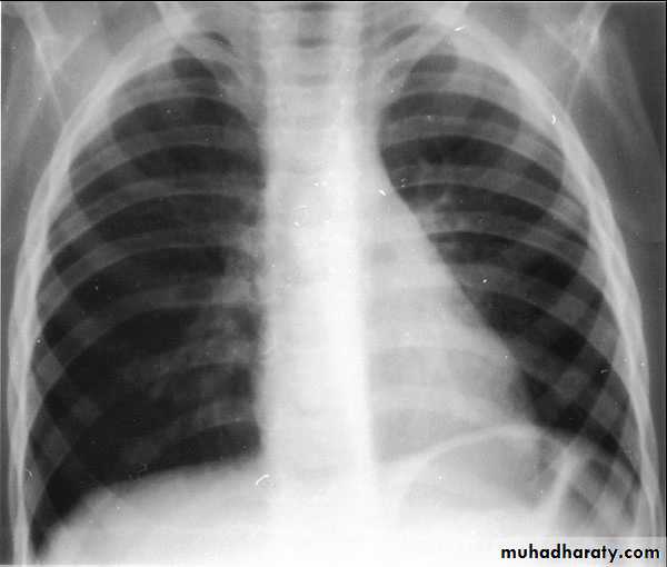
Q 10/ A previously healthy 2-year-old black child has developed a chronic cough during the previous 6 weeks. He has been seen in different emergency rooms on two occasions during this period and has been placed on antibiotics for pneumonia. Upon auscultation, you hear normal breath sounds on the left. On the right side, you hear decreased air movement during inspiration but none upon expiration. Inspiratory (A) and expiratory (B) radiographs of the chest are shown below. Which of the following is the most appropriate next step in making the diagnosis in this patient?
A
B
a. Measure the patient’s sweat chloride.
b. Consult pediatric surgery for bronchoscopy.c. Prescribe broad-spectrum oral antibiotics.
d. Initiate a trial of inhaled β-agonists.
e. Prescribe appropriate doses of oral prednisone.
The answer is B.
Recurrent pneumonias in an otherwise healthy child should suggest the potential for anatomic blockage of an airway. In the patient in this question, the findings on clinical examination suggest a foreign body in the airway. Inspiratory and expiratory films can be helpful. Routine inspiratory films are likely to appear normal or near normal (as outlined in the question and noted in the first radiograph). Expiratory films will identify air trapping behind the foreign body (as noted on the second radiograph). It is uncommon for the foreign body to be visible on the plain radiograph; a high index of suspicion is necessary to make the diagnosis. Suspected foreign bodies in the airway are potentially diagnosed with fluoroscopy, but rigid bronchoscopy is not only diagnostic but also the treatment of choice for removal of the foreign body.
Q11/ A 4 months old infant have history of runy nose and low fever for 1 week, now presented to EU because he complain of paroxysm of cough with cyanosis since yesterday and this morning start to loose his breath. His CXR shown bellow.
• What is the diagnosis?
• What are the helpful laboratory investigations?
• What are the complications?
• What is the treatment?
• How you can prevent this disease?











