Oral Surgery
ExodontiaEXTRACTION OF TEETH ( EXODONTIA ) :
Extraction of teeth is the most important part of minor oral surgery and the most common procedures to general dental practitioner ( dentist ) .Definition :
Exodontia is a painless removal of teeth from their bony alveolar socket with relatively minimal amount of trauma to the investing or surrounding tissues , so that the wound heals without postoperative problems .
Basically , we have two methods of extraction :
1. Intra – alveolar extraction ( forceps extraction) .2. Trans – alveolar extraction ( surgical extraction ) .
In forceps extraction which is enough for extraction in most of cases consist of removing the teeth or root by the use of forceps or elevators or both . While in trans – alveolar extraction we dissect the tooth from its bony attachment by rising a flap and by removal of some of the bone surrounding the roots , which are then removed by the use of elevators and / or forceps .
INDICATIONS OF EXTRACTION :
There are many indications for tooth extraction , if conservative treatment has either failed or is not indicated , a tooth May have to be extracted . The reasons for extraction of teeth are based on , the presence , function of the dentition as a whole and the patient`s attitude and education . Although the modern dentistry tries and takes all measures to preserve and maintain teeth in the oral cavity , but there are a variety of general indications for removing teeth :1- Severe caries :
This is the most common reason to remove a tooth. Badly carious teeth that are beyond restoration should be removed . Badly carious teeth result in deterioration of the oral hygiene resulted in bad oral hygiene and bad smell in addition to that sharp edges of the carious teeth leads to repeated ulceration to mucosa in addition to pain during eating and drinking . Untreated teeth with caries may end with pulpitis , periapical pathology etc…2- Server periodontal disease :
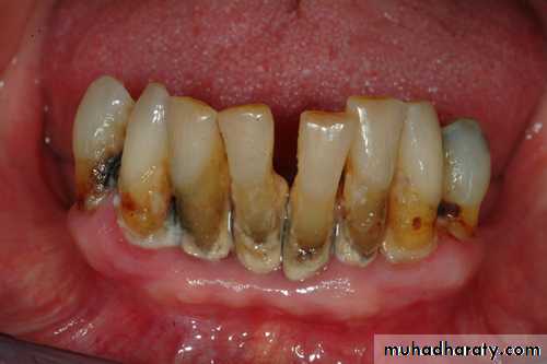
Sever and extensive periodontal disease is a common reason for tooth removal , in chronic periodontitis there is excessive bone loss and mobility in the tooth . As a rough guide loss of about half of the normal alveolar bone or extension of pockets to the bifurcation of the roots of posterior teeth and hypermobility of the teeth means that extraction of the involved tooth is necessary . Patient with advanced periodontitis may complains of mild to server throbbing pain in case of development of periodontal abscess .3- Pulp pathology :
(e.g. pulpitis an inflammation of pulp ). Pulpitis may be due to physical or chemical causes .For example acute pulpitis or chronic pulpitis , non treatable pulpal lesion . If endodontic therapy wasn't possible or if the tooth isn`t amenable for endodontic treatment , extraction is indicated .
4- Apical pathology :
Periapical lesions like periapical abscess , granuloma , cyst. If the teeth fail to respond to all conservative treatment to resolve apical pathology due to technical reasons or other causes such teeth are indicated for extraction .
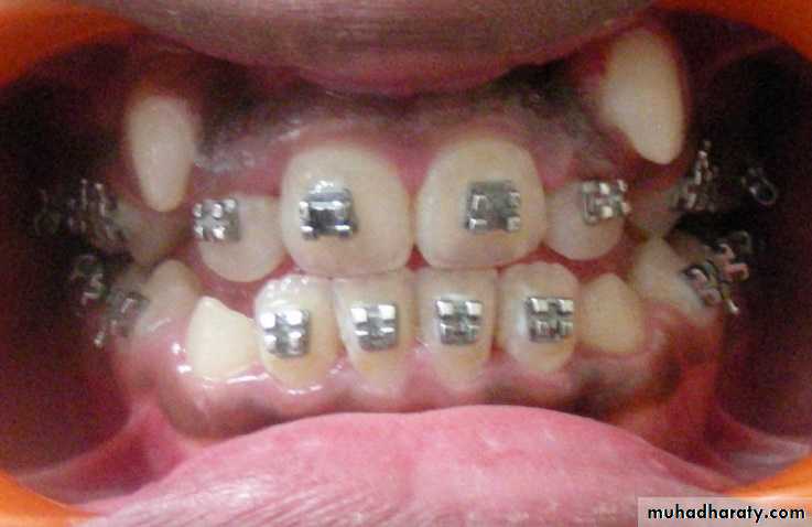
5- Orthodontic reasons :
During the course of orthodontic treatment , tooth or teeth maybe extracted for :a) Therapeutic extraction e.g. extraction of upper 4 . for treatment of malposed upper 3. Extraction of teeth to provide space for tooth alignment .
b) Malposed teeth : teeth which erupted out of line of arch difficult to clean and not amenable for orthodontic treatment are indicated for extraction .
c) Preventive extraction , means that during mixed dentition (permanent and deciduous teeth ) period dental surgeon may extract few deciduous teeth to prevent malocclusion and all these extraction should be done after proper evaluation by specialist expert orthodontic treatment .
6- Prosthetic considerations :
Extraction of teeth are indicated for :1) Providing efficient dental prosthesis .
2) To provide better design and success of partial denture , few teeth maybe extracted .
3) To enable the patient to have complete denture e.g. full mouth clearance .
7- Impacted teeth :
Retention of unerupted teeth beyond the normal time of eruption may sometimes be responsible for :
a) Vague facial pain .
b) Periodontal problem of the adjoining teeth .
c) Temporomandibular joint problems .
d) Bony pathology e.g. cyst (dentisgerous cyst ) , tumor pathologically fracture .
e) May predispose to anterior teeth crowdening .
f) Significant infection (pericornoitis) e.g. partially erupted third molar .
8- Supernumerary teeth :
The teeth maybe impacted or malposed and such teeth may predispose to malocclusion , periodontal disturbances, facial pain , bony pathology (cyst), esthetic problems and preventing the erupting on of teeth .9- Tooth in the fracture line of the jaws :
This tooth maybe extracted if :a) It is a source of inflection at the site of the fracture .
b) The tooth itself is fracture .
c) Interfere with fracture reduction .
d) Interfere with healing of fracture .
10- Teeth in relation to bony pathology :
They are indicated for extraction e.g. if they are involved in :a) Cyst formation .
b) Neoplasm (tumor).
c) Osteomyelitis ( Infection of bone ).
And the tooth interfere with complete surgical removal of the lesion the teeth should be extracted .
11- Root fragment (Retained Root ) :
Retained Root may remain embedded in the bone without problem for a long period , but some time removal of such roots maybe necessary , for example , root maybe at the submucosal level producing recurrent ulceration under the denture , sometimes root fragments may be involved in the initiation of bony pathology like osteomyelitis , cystic lesion or neoplasm , if such fragments are in close relation to the neurovascular bundle (e.g. inferior dental nerve of the mandible ) the patient may complain of facial pain or numbness in the area supplied by that nerve . As a general rule , vary small fragment maybe left alone and that patient should be kept under periodic observation , and all other root fragment are indicated for removal .12- Teeth prior irradiation : (before radiotherapy )
Irradiation is one of the methods of treating oral carcinomas and teeth which cannot be kept in a sound condition should be removed before irradiation , trauma (extraction ) with superadded infection will lead to development of osteoradionecrosis of the jaw bone which is unpleasant complication and difficult to be treated .13- Focal sepsis :
Sometimes teeth or tooth may appear sound clinically but on radiographic examination the tooth may appear to be considered as a foci of infection (teeth associated with periapical pathology or periodontal problems ) , these teeth should be extracted in certain condition e.g. heart surgery , to avoid the failure of such operations .14- Aesthetic :
Poor aesthetic , severely stained (tetracycline , fluorosis ) attrition or hypo plastic (hypoplasia) of enamel or dentine and they cannot be restored may be indicated for extraction .Thank
Youfor
Listening

















