Neck Masses
Dr. Abdullah AlkhalilMRCS-ENT(UK), DOHNS(UK)
FJMC, Higher Speciality
1
Anatomy
Contained within the neck are several triangles, defined anatomically. Familiarity with these specific areas assists in generating a differential diagnosis of neck masses by the exact anatomic location.2
Anatomy
Anterior NeckThe structures that make up the anterior neck include the larynx, trachea, esophagus, thyroid and parathyroid glands, carotid sheath, and suprahyoid and infrahyoid strap muscles.
3
Anatomy
Triangular regions also define the anterior neck anatomically.The submandibular triangle is a region contained in the anterior neck bordered by the inferior margin of the mandible and the digastric, stylohyoid, and mylohyoid muscles. This region contains the submandibular gland and the marginal mandibular branch of the facial nerve. The submental triangle defines a region bordered by the hyoid bone, the paired anterior bellies of the digastric muscles, and the mylohyoid muscle. The upper belly of the omohyoid muscle in the anterior neck further divides the anterior neck into an upper carotid triangle and a lower muscular triangle.
4
Anatomy
Lateral NeckThe lateral neck, also referred to as the posterior triangle, is defined by the posterior aspects of the sternocleidomastoid muscle medially, the trapezius muscle laterally, and the middle third of the clavicle inferiorly. The lateral neck contains lymph node, the spinal accessory nerve, and the cervical plexus. The inferior belly of the omohyoid muscle further defines a lower subclavian triangle in the lateral neck that contains the brachial plexus and subclavian vessels.
5
Introduction
Common clinical findingAll age groups
Very complex differential diagnosis
Systematic approach essential
6
General Considerations
Patient age
Pediatric (0 – 15 years): 90% benign
Young adult (16 – 40 years): similar to pediatric
Late adult (>40 years): “rule of 80s”
Location
Congenital masses: consistent in location
Metastatic masses: key to primary lesion
7
Metastasis Location according to Various Primary Lesions
8
Diagnostic Steps
HistoryDevelopmental time course
Associated symptoms (dysphagia, otalgia, voice)
Personal habits (tobacco, alcohol)
Previous irradiation or surgery
Physical Examination
Complete head and neck exam (visualize & palpate)
Emphasis on location, mobility and consistency
9
Empirical Antibiotics
Inflammatory mass suspected
Two week trial of antibiotics
Follow-up for further investigation
10
Diagnostic Tests
Fine needle aspiration biopsy (FNAB)Computed tomography (CT)
Magnetic resonance imaging (MRI)
Ultrasonography
PET- Scan
11
Fine Needle Aspiration Biopsy
Standard of diagnosisIndications
Any neck mass that is not an obvious abscess
Persistence after a 2 week course of antibiotics
Small gauge needle
Reduces bleeding
Seeding of tumor – not a concern
No contraindications (vascular ?)
12
Fine Needle Aspiration Biopsy
13
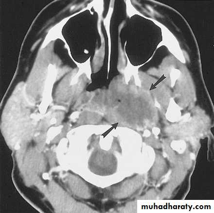
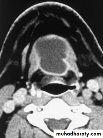
Computed Tomography
Distinguish cystic from solidExtent of lesion
Vascularity (with contrast)
Detection of unknown primary (metastatic)
Pathologic node (lucent, >1.5cm, loss of shape)
Avoid contrast in thyroid lesions
14
Computed Tomography
15
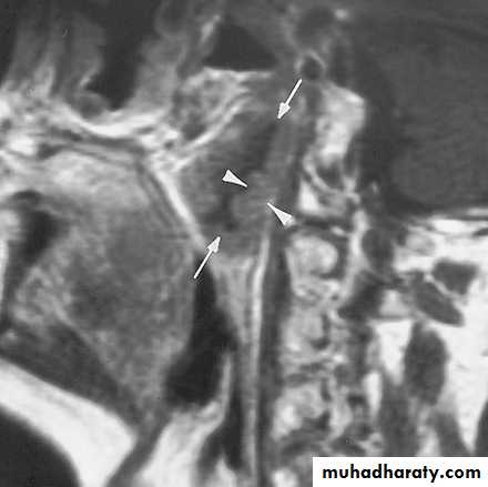
Magnetic Resonance Imaging
Similar information as CT
Better for upper neck and skull base
Vascular delineation with infusion
16
Magnetic Resonance Imaging
17
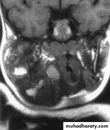
Ultrasonography
Less important now with FNABSolid versus cystic masses
Congenital cysts from solid nodes/tumors
Noninvasive (pediatric)
18
Ultrasonography
YROID
ASS
19
Nodal Mass Workup in the Adult
Any solid asymmetric mass must be considered a metastatic neoplastic lesion until proven otherwiseAsymptomatic cervical mass – 12% of cancer
~ 80% of these are SCCa
20
Nodal Mass Workup in the Adult
Ipsilateral otalgia with normal otoscopy – direct attention to tonsil, tongue base, supraglottis and hypopharynxUnilateral serous otitis – direct examination of nasopharynx
21
Nodal Mass Workup in the Adult
PanendoscopyFNAB positive with no primary on repeat exam
FNAB equivocal/negative in high risk patient
Directed Biopsy
All suspicious mucosal lesions
Areas of concern on CT/MRI
None observed – nasopharynx, tonsil (ipsilateral tonsillectomy for jugulodigastric nodes), base of tongue and piriforms
Synchronous primaries (10 to 20%)
22
Nodal Mass Workup in the Adult
Open excisional biopsyOnly if complete workup negative
Occurs in ~5% of patients
Be prepared for a complete neck dissection
Frozen section results (complete node excision)
Inflammatory or granulomatous – culture
Lymphoma or adenocarcinoma – close wound
23
Differential Diagnosis
24
Primary Tumors
Thyroid massLymphoma
Salivary tumors
Lipoma
Carotid body and glomus tumors
Neurogenic tumors
25
Thyroid Masses
Leading cause of anterior neck massesChildren
Most common neoplastic condition
Male predominance
Higher incidence of malignancy
Adults
Female predominance
Mostly benign
26
Thyroid Masses
Lymph node metastasisInitial symptom in 15% of papillary carcinomas
40% with malignant nodules
Histologically (microscopic) in >90%
FNAB has replaced USG and radionucleotide scanning
Decreases # of patients with surgery
Increased # of malignant tumors found at surgery
Doubled the # of cases followed up
Unsatisfactory aspirate – repeat in 1 month
27
Thyroid Masses
28
Lymphoma
More common in children and young adultsUp to 80% of children with Hodgkin’s have a neck mass
Signs and symptoms
Lateral neck mass only (discrete, rubbery, nontender)
Fever
Hepatosplenomegaly
Diffuse adenopathy
29
Lymphoma
FNAB – first line diagnostic testIf suggestive of lymphoma – open biopsy
Full workup – CT scans of chest, abdomen, head and neck; bone marrow biopsy
30
Lymphoma
31
Salivary Gland Tumors
Enlarging mass anterior/inferior to ear or at the mandible angle is suspectBenign
Asymptomatic except for mass
Malignant
Rapid growth, skin fixation, cranial nerve palsies
32
Salivary Gland Tumors
Diagnostic testsOpen excisional biopsy (submandibulectomy or parotidectomy) preferred
FNAB
Shown to reduce surgery by 1/3 in some studies
Delineates intra-glandular lymph node, localized sialadenitis or benign lymphoepithelial cysts
May facilitate surgical planning and patient counseling
Accuracy >90% (sensitivity: ~90%; specificity: ~80%)
CT/MRI – deep lobe tumors, intra vs. extra-parotid
Be prepared for total parotidectomy with possible facial nerve sacrifice
33
Salivary Gland Tumors
34
Carotid Body Tumor
Rare in childrenPulsatile, compressible mass
Mobile medial/lateral not superior/inferior
Clinical diagnosis, confirmed by angiogram or CT
Treatment
Irradiation or close observation in the elderly
Surgical resection for small tumors in young patients
Hypotensive anesthesia
Preoperative measurement of catecholamines
35
Carotid Body Tumor
36
Lipoma
Soft, ill-defined massUsually >35 years of age
Asymptomatic
Clinical diagnosis – confirmed by excision
37
Lipoma
38
Congenital and Developmental Mass
Epidermal and sebaceous cystsBranchial cleft cysts
Thyroglossal duct cyst
Vascular tumors
39
Epidermal and Sebaceous Cysts
Most common congenital/developmental mass
Older age groups
Clinical diagnosis
Elevation and movement of overlying skin
Skin dimple or pore
Excisional biopsy confirms
40
Epidermal and Sebaceous Cysts
41
Branchial Cleft Cysts
Branchial cleft anomalies2nd cleft most common (95%) – tract medial to cnXII between internal and external carotids
1st cleft less common – close association with facial nerve possible
3rd and 4th clefts rarely reported
Present in older children or young adults often following URI
42
Branchial Cleft Cysts
43
Thyroglossal Duct Cyst
Most common congenital neck mass (70%)50% present before age 20
Midline (75%) or near midline (25%)
Usually just inferior to hyoid bone (65%)
Elevates on swallowing/protrusion of tongue
Treatment is surgical removal (Sis trunk) after resolution of any infection
44
Thyroglossal Duct Cyst
45
Vascular Tumors
Lymphangiomas and hemangiomasUsually within 1st year of life
Hemangiomas often resolve spontaneously, while lymphangiomas remain unchanged
CT/MRI may help define extent of disease
46
Vascular Tumors
TreatmentLymphangioma – surgical excision for easily accessible or lesions affecting vital functions; recurrence is common
Hemangiomas – surgical excision reserved for those with rapid growth involving vital structures or associated thrombocytopenia that fails medical therapy (steroids, interferon)
47
Vascular Tumors (lymphangioma)
48
Vascular Tumors (hemangioma)
49
Inflammatory Disorders
LymphadenitisGranulomatous lymphadenitis
50
Lymphadenitis
Very common, especially within 1st decadeTender node with signs of systemic infection
Directed antibiotic therapy with follow-up
FNAB indications (pediatric)
Actively infectious condition with no response
Progressively enlarging
Solitary and asymmetric nodal mass
Supraclavicular mass (60% malignancy)
Persistent nodal mass without active infection
51
Lymphadenopathy
Equivocal or suspicious FNAB in the pediatric nodal mass requires open excisional biopsy to rule out malignant or granulomatous disease
52
Granulomatous lymphadenitis
Infection develops over weeks to monthsMinimal systemic complaints or findings
Common etiologies
TB, atypical TB, cat-scratch fever, actinomycosis, sarcoidosis
Firm, relatively fixed node with injection of skin
53
Granulomatous lymphadenitis
Typical M. tuberculosismore common in adults
Posterior triangle nodes
Rarely seen in our population
Usually responds to anti-TB medications
May require excisional biopsy for further workup
54
Granulomatous lymphadenitis
Atypical M. tuberculosis
Pediatric age groups
Anterior triangle nodes
Brawny skin, induration and pain
Usually responds to complete surgical excision or curettage
55
Granulomatous lymphadenitis
Cat-scratch fever (Bartonella)Pediatric group
Preauricular and submandibular nodes
Spontaneous resolution with or without antibiotics
56
Granulomatous lymphadenitis
57
Summary
Extensive differential diagnosisAge of patient is important
Accurate history and complete exam essential
FNAB – invaluable diagnostic tool
Possibility for malignancy in any age group
Close follow-up and aggressive approach is best for favorable outcomes
58






















