VARNISH
It is a natural gum like copal resin or synthetic resin dissolved in organic solvents such as ether, chloroform or alcohol
Composition:
Copal and nitrated cellulose are typical examples of natural gum and the solvents used to dissolve these materials can be ether, acetone benzene, ether acetate, ethyl alcohol, chloroform, amylacetate and medicaments such as chlorobutanol, thymol and eugenol are also added. Recently fluoride are included in its composition.Flouride varnishes are used to prevent/arrest decay on smooth surfaces in young children as 2 applications/year.
Manipulation:
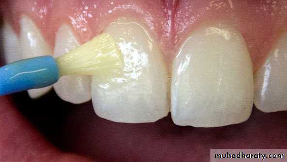
On a patient, Cavity varnish is applied with the help of small cotton pellet with the help of wire or R.C. Reamer or a brush applicator. Thin layers of varnish are applied on the floor, walls including cavosurface margins. Gentle stream of air can be used to remove the excess.Apply a second coat and the bottle should be tightly capped after use to minimize loss of solvent.Contraindication:
Composite – free monomer layer dissolves the varnishCa(OH)2/ ZOE beneficial affects are lost
Polycarboxylate – interferes with adhesion
GIC – blocks fluoride penetration.
• Properties:
• It is not a physical or mechanical insulator, provides chemical barrier.• Thickness: 2-40mm
• Always applied in 3 layers to be more effective
• Uses:
• 1.Prevents marginal Leakage / Microleakage• Prevents penetration of acids from ZnP cement i.e prevents chemical penetration.
• Prevents penetration of corrosion products from amalgam therefore prevents discoloration of tooth.
• Decreases post operative sensitivity and pain.
• It may be used as a surface coating over certain restorations to protect them from dehydration or from contact with oral fluids until they harden. E.g. silicate and GI cements
• Liners:
• Definition: It is liquid in which CaOH and zinc oxide (occasionally)are suspended in a solution of natural or synthetic resins.
• Composition:
• Ca(OH) / ZnO – Therapeutic agent• Ethyl alcohol – Solvent
• Ethyl cellulose – Thickening agent
• Barium sulfate – Radiopacifier
• Fluorides – Anticariogenic
Manipulation:
Trade names:Dycal and LifeIt is available as 2 paste systems both of which contain Ca(OH) and one consists of accelerator
Equal amounts of material from each tube is collected over a glass slab or mixing pad with help of PD probe both are mixed till homogeneous colour is got and with same instrument it is carried -
- to deepest portion of the cavity and since it is fluid in consistency it readily flows or gets painted over the cavity over which the thermal insulating base or temporary restoration is provided.
• Properties:
• Acts as a thin barrier between the restoration and the remaining dentine and protects the pulpal tissue from irritation caused by physical,mechanical,biological, or chemical agents .• Like cavity varnish it neither possesses mechanical properties nor provides thermal insulation.
• Should not be applied on cavity margins.
• Uses:
• As pulp capping agent due to its sealing ability.• As anticariogenic cement because it stimulates the production of secondary or reparative dentin.
• Prevents post operative sensitivity or pain.
• It is compatible with all types of restorative materials.
BASES
BASES
:Cements
Bases :
ChemicalThermal
Mechanical Insulation
Cements:
General applicationsClassification
Individual Cements - Composition
- Manipulation
- Properties
- Uses
• General Applications:
• Thermal and chemical insulation
• Temporary restorations – Zn OE
• Intermediate restorations – IRM
• Permanent restorations – GIC
• Temporary Luting – Type I ZOE
• Permanent Luting – GIC, ZnP, Zn Poly Carb
• Cementation of orthodontic appliances
• As sedative dressing for the pulp of freshly prepared tooth• As pulp capping agents
• Pit and fissure sealants – Composites, GIC
• Core build-up
• Root canal sealants Gutta-percha
• Periodontal dressings
Clinical Considerations:
Clinical Judgements about the need for specific liners and bases are linked to the amount of remaining dentin thickness (RDT), considerations of adhesive materials, and the type of restorative material being used.In a shallow tooth excavation, which includes 1.5 to 2mm or more of RDT, there is no need for pulpal protection other than in terms of chemical protection. For an amalgam restoration, the preparation is coated with two thin coats of a varnish, or a dentin bonding system, and then restored.
For a composite restoration, the preparation is treated with a bonding system (etched, primed, coated bonding agent) and then restored.
In a moderately deep tooth excavation for amalgam that includes some extension of the preparation toward the pulp so that a region includes less – than – ideal dentin protection, it may be judicious to apply a liner only at that site using ZOE or calcium hydroxide.
Either one may provide pulpal medication, but the effects will be different. ZOE cement will release minor quantities of eugenol to act as an obtundent to the pulp.
How ever, in a composite tooth preparation, eugenol has the potential to inhibit polymerization of layers of bonding agent or composite in contact with it.
Therefore calcium hydroxide is normally used, if a liner is indicated. If the RDT is very small or if pulp exposure is a potential problem, then calcium hydroxide is used to stimulate reparative dentin for any restorative material.
Cements Used In operative Dentistry:
Silicate CementZinc Phosphate Cements
Zn Silicophosphate Cements
Zn Polycarboxylate Cements
Zinc Oxide Eugenol Cements
Glass Ionomer Cements
Resin Cements
Calcium hydroxide cements
Zinc Phosphate Cement:
Available as Powder and Liquid
Powder.
Zn Oxide – 90%
Mg Oxide – 8-9%
SiO2, Bismuth trioxide, Barium oxide – traces
Liquid.
Phosphoric acid (85%) and water (33+ 5%)
Chemistry of Setting:
When the alkaline powder comes in contact with acidic liquid it partially dissolves in liquid. It is an exothermic reaction. The set cement consists of hydrated amorphous network of ZnP that surrounds partially dissolved ZnO2 particles.• Mixing time – 60-90secs
• Setting time – 5-9mins• Compressive strength (24hrs) – 13000psi : 103.5Mpa
• Tensile strength (24hrs) – 800psi 5.5Mpa
5. Film Thickness – 25-40mm
6. Solubility/Disintegration – 0.2%7. Pulp response – Moderate / Severe
8. pH – 3Mins – 3.5
24hrs – 6.6
Because of pulp irritation, cannot be used deep carious lesions.
• Uses:
• Primary Uses
• As luting agent for restorations and orthodontic appliances.
• Secondary Uses:
• Thermal insulating agent
• Intermediate restoration
















