Parts of the Digestive System
Teeth: Grinds your food.Salivary Glands: Produce the saliva in your mouth.
Tongue: Helps to push food into your esophagus.Parts of the Digestive System
Esophagus: The tube that carries food from the mouth to the stomach.Epiglottis: The flap of skin that covers the trachea.
Parts of the Digestive System
Esophagus: The tube that carries food from the mouth to the stomach.Epiglottis: The flap of skin that covers the trachea
Parts of the Digestive System
Definition: Changes food you eat into nutrients that your cells can use.Alimentary Canal: The complete digestive system (mouth to rectum).
Digestion: Food is chemically changed so that it can be absorbed into the bloodstream.
How food moves through the Digestive System !!
Peristalsis Waves: A ring of muscle that moves food through the digestive system.Absorption: The process where digested food gets into the blood stream
Peristalsis Waves
Parts of the Digestive System
• Stomach: Stores all the food. (warehouse for food)• Sphincter muscles: The muscles found at each end of the stomach.
• Chyme: Liquid lumpy material that is made by the stomach.
• .
.
The main layers of the GIT
.
.
.
.
.
.
Wall of Stomach
Histology of stomach
.
Parts of the Digestive System
.
.
.
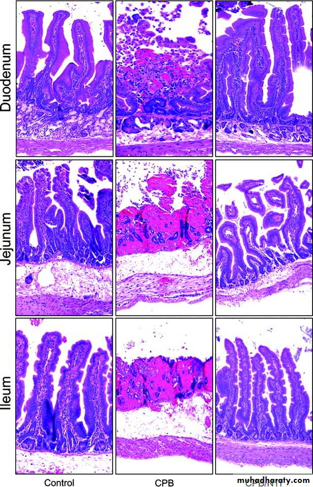
Absorption in the Small Intestine
Villi: Tiny projections on the inner walls of the small intestine where absorption takes place.Parts of the Digestive System
Duodenum: The tube that runs from the stomach to the small intestine.Small Intestine: Where digestion first takes place.
Parts of the Digestive System
• Colon• Three Parts:
• Ascending Colon
• Traverse Colon
• Descending Colon
Appendix: Attached to the beginning of the Ascending Colon
Other Parts of the Digestive System
Liver: Makes bile and sends it to the gall bladder.Bile: A substance produced by the liver and stored in the gall bladder.
Gall Bladder: Receives bile from the liver and stores the bileOther Parts of the Digestive System
Pancreas: Breaks down sugars and starches.The Process of Removing Waste
Kidneys: Filter the water and dissolved wastes in the body.Ureters: Narrow tubes that carry urine from your kidneys to the bladder.
Bladder: Urine is stored in the bladder
Urethra: A narrow tube that carries urine from the body
Problems of the Digestive System
Indigestion: Stomach too acidic, may be caused by eating too fast or too much or by spicy or acidic foods.Diarrhea: Watery feces; caused by bacteria, virus, food poisoning, nutritional deficiencies.
Ulcers: Sores on the inner walls of the stomach or small Intestines.
Problems of the Digestive System
Cirrhosis: Destruction on liver tissue; caused by drinking too much alcohol.Gallstones: Crystals in gallbladder; may block passage of bile to small intestines.
Problems of the Digestive System
Kidney Stones: Crystals in the kidney; may block passage of urine to the bladder.
.
Problems of the Digestive System
Appendicitis: Inflammation of the appendixProblems of the Digestive .System
Colon Cancer: Uncontrolled growth of abnormal cells in large intestine.Care of the Digestive System
- The best way to take care of the digestive is to practice healthful eating habits- Eat a variety of food from different food groups, low in fat high in fiber.
- Do not hurry through your meals. Enjoy your food
- Eat enough food to satisfy your hunger.
- Drink plenty of water.
- Have regular dental checkups




























































