مواضيع المحاضرة: canine review
قراءة
عرض



impaction

السلام عليكم

impaction


impaction

Position of canine root apex anteroposteriorly

impaction

Vertical canine crown height

impaction





impaction


impaction




impaction




impaction




impaction




impaction





impaction




impaction




impaction




impaction




impaction


impaction





impaction


impaction


impaction


impaction




impaction


impaction




impaction


impaction



impaction


impaction




impaction


impaction


impaction




impaction




impaction





impaction




impaction




impaction

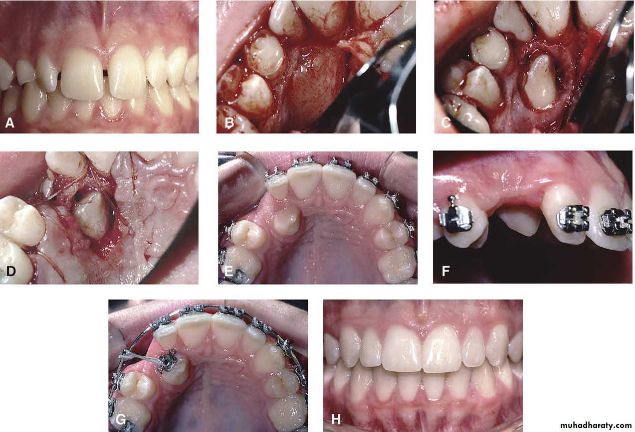
Surgical exposure :the path of eruption is not obstructed

impaction

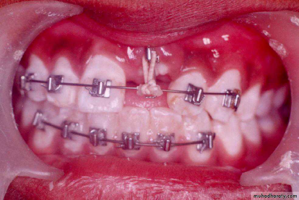
Surgical exposure with orthodontic traction: the path of eruption is obstructed

impaction

Surgical exposure with orthodontic treatment (palatal approach )

impaction





impaction




impaction




impaction




impaction




impaction





impaction




impaction




impaction




impaction




impaction





impaction




impaction




impaction

Thank you




رفعت المحاضرة من قبل: Sayf Asaad Saeed
المشاهدات: لقد قام 35 عضواً و 187 زائراً بقراءة هذه المحاضرة








تسجيل دخول

أو
عبر الحساب الاعتيادي
الرجاء كتابة البريد الالكتروني بشكل صحيح
الرجاء كتابة كلمة المرور
لست عضواً في موقع محاضراتي؟
اضغط هنا للتسجيل