Viscera of neck
ByDr. Adel Sahib Al-Mayaly
جبتلكم معي
Submandibular gland
Submandibular gland
Is one of three paired salivary glands:-
parotid, submandibular & sublingual.
Each gland is walnut in appearance.
About 10 - 20 gms in weight.
It is a mixed gland with predominantly serous in type.
It lies beneath the lower border of the body of the mandible (submandibular fossa)
Major Salivary Glands
submandibular fossa
is an impression on the medial side of the body of the mandible below the mylohyoid line. It is the location for the submandibular gland.Submandibular Glandstructure
Each gland is divided into superficial and deep lobes separated by mylohyoid muscle.1- Superficial lobe comprises most of the gland .
2- Deep lobe is the smaller part.
Secretions are delivered into the Wharton duct (submandibular duct ) from the anterior end of the deep lobe
Superficial lobe
It presents two ends:-1-two ends:- anterior & posterior
Anterior end extends to the anterior belly of digastric muscle.
Posterior end:- extends to the stylomandibular ligament.
This end presents a groove for the lodgment of the cervical loop of facial artery.
Superficial lobe
3 surfaces:- inferior, lateral and medial.
Among the three surfaces:-
the investing layer of deep cervical fascia splits into two layers to cover the inferior and medial surfaces of the gland
3 surfaces
1-Lateral surface:-It lies against the submandibular fossa of the mandible.
2-The inferior or superficial surface:-
is covered by skin, platysma and the investing fascia
crossed by the facial vein and the cervical branch of the facial nerve.
surfaces
The medial surface:-It lies against the mylohyoid, and behind it on the hyoglossus , lingual nerve, hypoglossal nerve and its accompanying veins.
The deep part
It extends forwards for a variable distance, between mylohyoid and hyoglossus, below the lingual nerve and above the hypoglossal nerve.Submandibular duct ((Wharton duct
Excretory duct that is about 5 cm. long.begins from the medial surface of the superficial part little behind the posterior border of the mylohyoid
It passes at first; between the mylohyoid and hyoglossus
Thereafter; between the sublingual gland and genioglossus.
Wharton duct
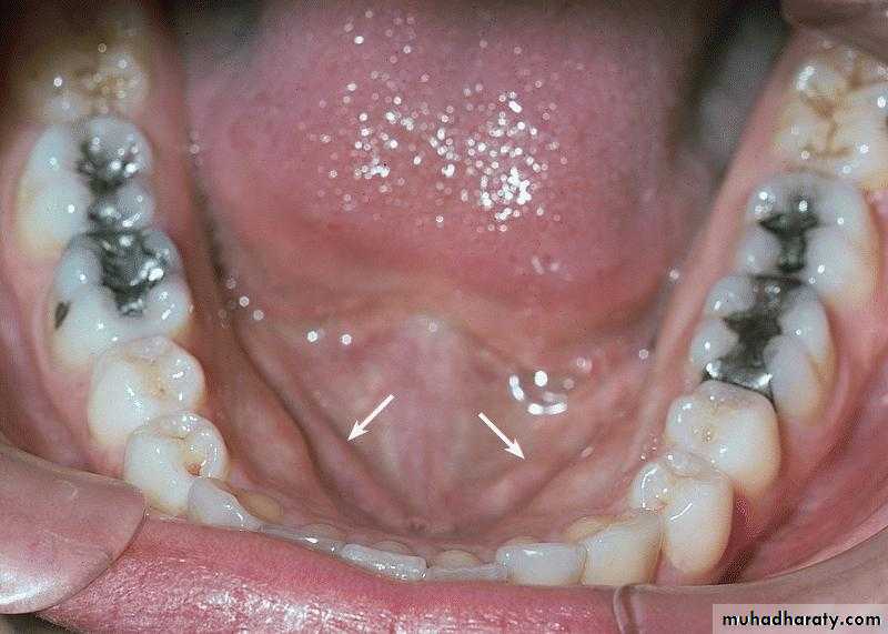
Finally opens in the floor of mouth on a sublingual papilla on each side of frenulum linguae.The duct shows intimate relation to lingual nerve
first the nerve lies above the duct, then crosses its lateral side and finally ascends medially winding round the lower border of the duct.
Blood supply
From the facial artery, with veins draining into the facial vein.Lymph drainage
To the submandibular lymph nodes.
Nerve supply
Secretomotor fibres to the gland have their cell bodies in the submandibular ganglion.which hangs suspended from the lingual nerve on the surface of hyoglossus.
Sympathetic (vasoconstrictor) fibres come from the plexus around the facial artery.
Excretory salivary unit
Thyroid Gland
• Thyroid gland.Location and Description
The thyroid gland is situated low down at the front of the neckIt consists of right and left lobes connected by a narrow isthmus.
The lobes lie on either side of the larynx and trachea, extending from the oblique line of the thyroid cartilage to the sixth tracheal ring.
Its weight is 25 gram
Thyroid Gland
Each Lateral lobe
is pyramidal - shaped structure.Each lobe has narrow apex & broad base
Its base lies below at the level of the 4th-5th tracheal ring.
Each lobe
has:- superficial(lateral), medial & posterior surfaces.
Lateral surface is under cover of sternothyroid and sternohyoid muscles.
The posterior surface overlaps the carotid sheath
The parathyroid glands usually lie in contact with this surface, between it and the fascial sheath.
The medial surface
is related to1- larynx & trachea.
2- pharynx & esophagus.
3- cricothyroid & inferior constrictor muscle of pharynx.
4- superior laryngeal & recurrent laryngeal nerves.
The isthmus
Extends across the midline in front of the second , third, and fourth tracheal ringsA pyramidal lobe is often present, and it projects upward from the isthmus, usually to the left of the midline.
A fibrous or muscular band frequently connects the pyramidal lobe to the hyoid bone.
If it is a muscular is called levator glandulae thyroideae.
Thyroid gland
The relation of the recurrent laryngeal nerves to the thyroid lobes
they approach the medial surface of the gland from below.The left nerve:- recurves around the arch of the aorta in the superior mediastinum.
entered the groove and lies posterior to inf. Thyroid artery.
Right nerve:- recurves around the right subclavian
artery at the root of the neck may be more lateral to the trachea, .
passing anterior or posterior to the inferior thyroid
artery or in between its branches
(accessory thyroid glands)
are not uncommonly found near the hyoid bone, in the tongue, superior mediastinum , or anywhere along the path of descent of the thyroglossal duct,Blood supply
The superior thyroid artery:-the first branch from the anterior aspect of the external carotid.
pierces the pretracheal fascia as a single vessel to reach the summit of the upper pole.
The external laryngeal nerve is immediately behind the artery.
The inferior thyroid artery,
from the thyrocervical trunk.arches upwards and medially behind the carotid sheath.
then loops downwards to the lower pole
Relation of RLN to inferior thyroid A
Venous drainage
1-Superior thyroid vein:- follows the superior thyroid artery and enters either the internal jugular.2- Middle thyroid vein:-
Crosses anterior to the common carotid artery to drain into the internal jugular vein.
The inferior thyroid vein:-
Drain into brachiocephalic vein.




























