Histology of the Nervous system
• Oligodendrocytes
• Astrocytes• ependymal Cells
• Microglia
• Schwann Cells
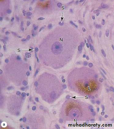
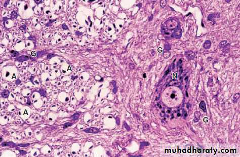
• Satellite Cells of ganglia
GLIAL CELLS
Glial cells
Astrocytes
Ependymal Cell
Microglia
Satellite cells
CENTRAL NERVOUS SYSTEM
Brain and spinal cord
Grey Matter and White matter
Cerebral Cortex
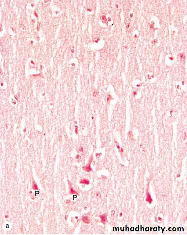
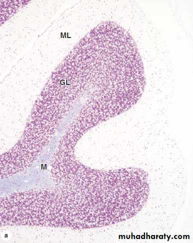
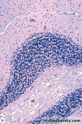
Cerebellum
Purkinje Cells
Spinal cord
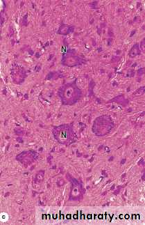
Spinal cord grey matter
Spinal cords tracts in Anterior median commissure
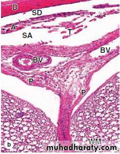
Meninges
Choroid plexus
Nerve Fibers
Nerve Organizationganglia
PERIPHERAL NERVOUS SYSTEM
Node of Ranvier
Peripheral nerve
Small nerves
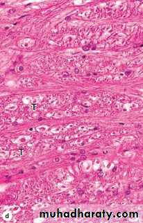
Ganglia
Ganglia

























































































