DIGESTIVE TRACTDr.Hiba S. Al-Maqdisi
Gastroesophageal Junction
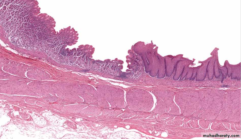
The gastroesophageal junction is the border between the esophagus and cardiac region of the stomach. Although an anatomical sphincter is not present, this junction normally prevents the reflux of acid from the stomach into the esophagus.FIGURE 14.6 Esophageal–Stomach Junction
At its terminal end, the esophagus joins the stomach and forms the esophageal–stomach junction.Th e nonkeratinized stratifi ed squamous epithelium (1) of the esophagus abruptly changes to
simple columnar, mucus-secreting gastric epithelium (10) of the cardia region of the stomach.
At the esophageal–stomach junction, the esophageal glands proper (7) may be seen in
the submucosa (8). Excretory ducts (4, 6) from these glands course through the muscularis
mucosae (5) and the lamina propria (2) of the esophagus into its lumen. In the lamina propria
(2) of the esophagus near the stomach region are the esophageal cardiac glands (3). Both the
esophageal glands proper (7) and the cardiac glands (3) secrete mucus.
Th e lamina propria of the esophagus (2) continues into the lamina propria of the stomach
(12), where it becomes fi lled with glands (16, 17) and diff use lymphatic tissue. Th e lamina
propria of the stomach (12) is penetrated by shallow gastric pits (11) into which empty the gastric
glands (16, 17).
Th e upper region of the stomach contains two types of glands. Th e simple tubular cardiac
glands (17) are limited to the transition region, the cardia of the stomach. Th ese glands are lined
with pale-staining, mucus-secreting columnar cells. Below the cardiac region of the stomach are
the simple tubular gastric glands (16), some of which exhibit basal branching.
In contrast to the cardiac glands (17), the gastric glands (16) contain four diff erent cell types:
the pale-staining mucous neck cells (13); large, eosinophilic parietal cells (14); basophilic chief
or zymogenic cells (15); and several diff erent types of endocrine cells (not illustrated), collectively
called the enteroendocrine cells.
Th e muscularis mucosae of the stomach (18) also continue with the muscularis mucosae
of the esophagus (5). In the esophagus, the muscularis mucosae (5) are usually a single layer of
longitudinal smooth muscle fi bers, whereas in the stomach, a second layer of smooth muscle is
added, called the inner circular layer.
Th e submucosa (8, 19) and the muscularis externa (9, 21) of the esophagus are continuous
with those of the stomach. Blood vessels (20) are found in the subm
FIGURE 14.7 Esophageal–Stomach Junction (Transverse Section)
Th is low-magnifi cation photomicrograph illustrates the esophagus–stomach junction. Th e esophagusis characterized by a thick, protective, nonkeratinized stratifi ed squamous epithelium (1).
Inferior to the epithelium (1) is the lamina propria (2), below which is the smooth muscle muscularis
mucosae (3). Th e lamina propria (2) indents the undersurface of the esophageal epithelium
to form the connective tissue papillae. Th e esophageal–stomach junction is characterized by
an abrupt transition from the stratifi ed epithelium (1) of the esophagus to the simple columnar
epithelium (4) of the stomach. Th e surface of the stomach also exhibits numerous gastric pits (5)
into which open the gastric glands (6). Th e lamina propria (7) of the stomach, in contrast to
that of the esophagus, is seen as thin strips of connective tissue between the tightly packed gastric
glands (6).
The stomach
the stomach has only three distinct histologic regions: cardia, fundus/body, and pylorus.Histology
The inner surface of the stomach has millions of invaginations that form gastric pits and glands. Based on histological variations in the glands, histologists divide the stomach into three regions:Cardiac Stomach- the cardia which contains coiled tubular cardiac glands of mostly mucous cells (~10% of the stomach).
Fundic Stomach - includes both the fundus and body which contain straight tubular fundic glands composed of multiple cell types (~75% of the stomach).
Pyloric Stomach - the pyloric antrum which contains coiled tubular pyloric glands of mostly mucous cells (~15% of the stomach).
Layers of the stomach
1- The stomach mucosa consists of diff erent cell types and deep gastric glands that produce most of the gastric secretions or juices for digestionTh e tubular gastric glands are located below the luminal surface epithelium and open directly into the gastric pits to deliver their secretions into the stomach lumen. Th e gastric glands descend through the lamina propria to the muscularis mucosae (inner circular & outer longtudinal).
2- the submucosa:- Below the mucosa of the stomach is the dense connective tissue submucosa containing large blood vessels and nerves.
3- muscularis externa:- It’s the thick muscular wall of the stomach, the muscularis externa, exhibits three muscle layers instead of the two that are normally seen in the esophagus and the small intestine. ( Inner obligue, middle circular & outer longtudinal).
4- serosa:- the outer layer of the stomach is covered by the serosa, or visceral peritoneum which is the outer most layer of the stomach
1-Cardiac stomach
Gastric pits are invaginations lined with surface mucous cells.Cardiac glands are coiled tubes of mostly mucous secreting cells that empty into the bottom of gastric pits. (Parietal cells are sometimes present as shown in the next slide).
Cardiac stomach
2- Fundic stomach
In the fundus and body the gastric glands themselves fill most of the mucosa, with several such glands formed by branching at the isthmus or neck of each gastric pit. Secretory epithelial cells of the gastric glands are distributed unevenly and release products that are key to the stomach’s functions.These cells are of four major types & properties these are as follows:The three histologic regions of the stomach are the cardia, the fundus and body, and the pylorus.
Th e fundus and body constitute the most extensive region in the stomach. Th e stomach wall exhibits
four general regions: mucosa (1, 2, 3), submucosa (4), muscularis externa (5, 6, 7), and serosa (8).
Th e mucosa consists of the surface epithelium (1), lamina propria (2), and muscularis
mucosae (3). Th e surface of the stomach is lined with a simple columnar epithelium (1, 11) that
extends into and lines the gastric pits (10), which are tubular infoldings of the surface epithelium
(11). In the fundus, the gastric pits (10) are not deep and extend into the mucosa about one fourth
of its thickness. Beneath the epithelium is the loose connective tissue lamina propria (2, 12) that
fi lls the spaces between the gastric glands. A thin, smooth muscle muscularis mucosae (3, 15),
consisting of an inner circular and an outer longitudinal layer, forms the outer boundary of the
mucosa. Th in strands of smooth muscle from the muscularis mucosae (3, 15) extend into lamina
propria (2, 12) between the gastric glands (13, 14) toward the surface epithelium (1, 11), which
are illustrated at a higher magnifi cation in Figure 14.9, label 8.
Th e gastric glands (13, 14) are packed in the lamina propria (2, 12) and occupy the entire
mucosa (1, 2, 3). Th e gastric glands open into the bottom of the gastric pits (10). Th e surface
epithelium of the gastric mucosa, from the cardiac to the pyloric region, consists of the same
cell type. However, the cells that constitute the gastric glands distinguish the regional diff erences
of the stomach. Two distinct cell types can be identifi ed in the gastric glands. Th e acidophilic
parietal cells (13) are located in the upper portions of the glands, whereas the basophilic chief
(zymogenic) (14) cells occupy the lower regions. Th e subglandular regions of the lamina propria
(2, 12) may contain either lymphatic tissue or small lymphatic nodules (16).
Th e mucosa of the empty stomach exhibits temporary folds called rugae (9). Rugae (9) are
formed during the contractions of the smooth muscle layer, the muscularis mucosae (3, 15). As
the stomach fi lls, the rugae disappear and form a smooth mucosa.
Mucous neck cells
are present in clusters or as single cells among the other cells in the necks of gastric glands and include many progenitor and immature surface mucous cells .they are Less columnar than the surface mucous cells lining the gastric pits..
mucous neck cells are often distorted by neighboring cells, but they have round nuclei and apical secretory granules. Their mucus secretion is less alkaline than that of the surface epithelial mucous cells.
Parietal (oxyntic) cells
produce hydrochloric acid (HCl) and are present among the mucous neck cells and throughout deeper parts of the gland. They are large cells, usually appearing rounded or pyramidal, each with one (sometimes two) central round nucleus.The cytoplasm is intensely eosinophilic due to the high density of mitochondria
Chief (zymogenic) cells
predominate in the lower regions of the gastric glands.. chief cells show abundant RER and numerous apical secretory granules..The granules contain inactive enzyme pepsinogens, (precursors which are converted in the acid environment of the stomach into active pepsins).Enteroendocrine cells
are scattered epithelial cells in the gastric mucosa.In the fundus small enteroendocrine cells secreting serotonin (5-hydroxytryptamine) are found at the basal lamina of the gastric glands.
In the pylorus other enteroendocrine cells are located in contact with the glandular lumens, including G cells producing the peptide gastrin
G g
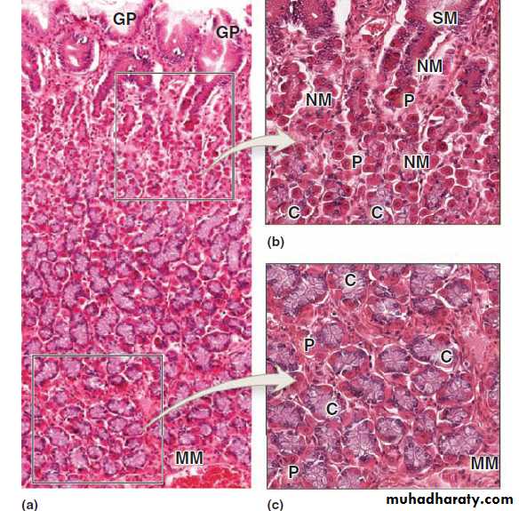
Throughout the fundus and body regions of the stomach, the gastric pits lead to gastric glands with various cell types.
(a) The long, coiled gastric glands penetrate the complete thickness of the mucosa, from the gastric pits (GP) to the
muscularis mucosae (MM).
(b) In the neck of a gastric gland, below the surface mucous cells (SM) lining the gastric pit, are small mucous neck cells
(MN), scattered individually or clustered among parietal cells (P) and stem cells that give rise to all epithelial cells of the
glands. The numerous parietal cells (P) are large distinctive cells often bulging from the tubules, with central nuclei
surrounded by intensely eosinophilic cytoplasm with unusual ultrastructure. These cells produce HCl, and the numerous
mitochondria required for this process cause the eosinophilia.
Chief cells (C) begin to appear in the neck region. Around these tubular glands are various cells and microvasculature in
connective tissue.
(c) Near the muscularis mucosae (MM), the bases of these glands contain fewer parietal cells (P) but many more
Zymogenic chief cells (C). Chief cells are found in clusters, with basal nuclei and basophilic cytoplasm.
From their apical ends chief cells secrete pepsinogen, the zymogen precursor for the
major protease pepsin. Zymogen granules are often removed or stain poorly in routine preparations.
Both X200. H&E.
(d) Diagram showing general morphology and functions of
major gastric gland cells.
FIGURE 14.9 Stomach: Mucosa of the Fundus and Body (Transverse Section)
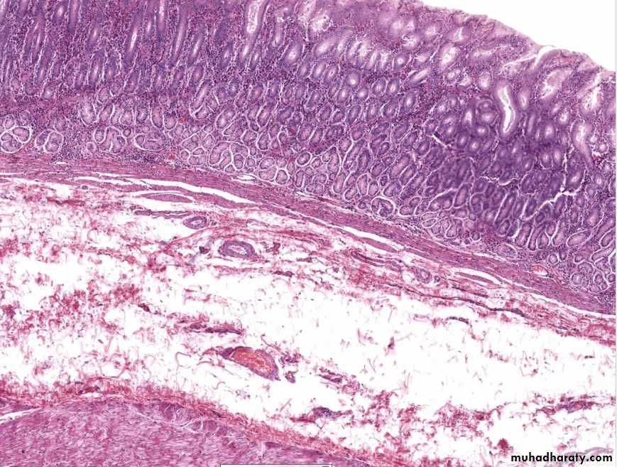
Th e mucosa and submucosa of the fundic region of the stomach are illustrated at a higher magnifi cation.Th e simple columnar surface epithelium (1, 13) extends into the gastric pits (11) into which
open the tubular gastric glands (5). Th e lamina propria (6) fi lls the spaces between the packed
gastric glands (5) and extends from the surface epithelium (1) to the muscularis mucosae (9).
Th e lamina propria (6), which consists of fi ne reticular and collagen fi bers, is better seen in
the mucosal ridges (2). Scattered throughout the lamina propria (6) are the fi broblast nuclei,
accumulations of lymphoid tissue in the form of a lymphatic nodule (17), lymphocytes, and
other loose connective tissue cells.
Th e gastric glands (5) extend the length of the mucosa. In the deeper regions of the mucosa,
the gastric glands may branch. As a result, the gastric glands appear as transverse and oblique sections.
Each gastric gland consists of three regions. At the junction of the gastric pit with the gastric
gland is the isthmus (14), lined with surface epithelial cells (1, 13) and parietal cells (4). Lower
in the gland is the neck (15), containing mainly mucous neck cells (3) and some parietal cells
(4). Th e base or fundus (16) is the deep portion of the gland, composed predominantly of chief
(zymogenic) cells (7) and a few parietal cells (4). Th e fundic glands also contain undiff erentiated
cells and enteroendocrine cells (not illustrated) that secrete diff erent hormones to regulate the
digestive system.
Th ree types of cells can be identifi ed in the fundic gastric glands. Th e mucous neck cells
(3) are located just below the gastric pits (11) and are interspersed between the parietal cells (4) in
the neck region of the glands. Th e parietal cells (4) stain uniformly acidophilic (pink), which
distinguishes them from other cells in the fundic glands. In contrast, the chief cells (zymogenic)
(7) are basophilic and are distinguishable from the acidophilic parietal cells (4).
Th e muscularis mucosae (9) in the stomach is composed of two thin strips of smooth muscle:
the inner circular layer (9a) and outer longitudinal layer (9b). In this illustration, the inner
circular layer (9a) is sectioned longitudinally, and the outer layer (9b) is sectioned transversely.
Extending upward from the muscularis mucosae (9) to the surface epithelium (1, 13) are strands
of smooth muscle (8, 12).
Below the muscularis mucosa (9) is the submucosa (10) with denser connective tissue.
Collagen fi bers (18) and the nuclei of fi broblasts (19) are seen in the submucosa (10). Th e submucosa
(10) also contains arterioles (20), venules (21), lymphatics, and capillaries in addition
to adipose cells.
3- pyloric stomach
The pyloric stomach forms the distal region of the stomach that opens into the small intestine:-
Same 4 layers….
FIGURE 14.13 Pyloric Region of the Stomach
In the mucosa of the pyloric region of the stomach, the gastric pits (3, 8) are deeper than thosein the body or fundus regions. Th e gastric pits (3, 8) extend into the mucosa to about one half or
more of its thickness. Th e surface of the stomach is lined with a simple columnar mucous epithelium
(1) that also extends into and lines all the gastric pits (3, 8).
Th e pyloric glands (5, 9) open into the bottom of the gastric pits (3, 8). Th e pyloric glands
(5, 9) are either branched or coiled tubular glands containing mucous secretions, illustrated in
both transverse (5) and longitudinal (9) sections. Similar to the cardia region of the stomach, only
one type of cell is found in the epithelium of these glands. Th e tall columnar cell stains lightly
because of its mucigen content. As seen in other mucous cells, the fl attened or oval nuclei are
located at the base. Enteroendocrine cells are also present in this region and can be demonstrated
with a special stain.
Th e remaining structures in the pyloric region of the stomach are similar to those of
other regions. Th e lamina propria (4) contains diff use lymphatic tissue and an occasional
lymphatic nodule (11). Located below the lymphatic nodule (11) is the smooth muscle
muscularis mucosae (6). Individual smooth muscle fi bers (2, 10) from the circular layer of
the muscularis mucosae (6) pass upward between the pyloric glands (5, 9) into the lamina
propria (4) and the upper region of the mucosa. Located below the muscularis mucosae (6)
is the dense irregular connective tissue submucosa (7), in which are found blood vessels—
arteriole (13) and venule (12)—of diff erent sizes. FIGURE 14.13 Pyloric Region of the Stomach
In the mucosa of the pyloric region of the stomach, the gastric pits (3, 8) are deeper than those
in the body or fundus regions. Th e gastric pits (3, 8) extend into the mucosa to about one half or
more of its thickness. Th e surface of the stomach is lined with a simple columnar mucous epithelium
(1) that also extends into and lines all the gastric pits (3, 8).
Th e pyloric glands (5, 9) open into the bottom of the gastric pits (3, 8). Th e pyloric glands
(5, 9) are either branched or coiled tubular glands containing mucous secretions, illustrated in
both transverse (5) and longitudinal (9) sections. Similar to the cardia region of the stomach, only
one type of cell is found in the epithelium of these glands. Th e tall columnar cell stains lightly
because of its mucigen content. As seen in other mucous cells, the fl attened or oval nuclei are
located at the base. Enteroendocrine cells are also present in this region and can be demonstrated
with a special stain.
Th e remaining structures in the pyloric region of the stomach are similar to those of
other regions. Th e lamina propria (4) contains diff use lymphatic tissue and an occasional
lymphatic nodule (11). Located below the lymphatic nodule (11) is the smooth muscle
muscularis mucosae (6). Individual smooth muscle fi bers (2, 10) from the circular layer of
the muscularis mucosae (6) pass upward between the pyloric glands (5, 9) into the lamina
propria (4) and the upper region of the mucosa. Located below the muscularis mucosae (6)
is the dense irregular connective tissue submucosa (7), in which are found blood vessels—
arteriole (13) and venule (12)—of diff erent sizes.
The gastroduodenal junction
is the boundary between the pyloric stomach(left) and the duodenum (right) of the small intestine. The pyloric sphincter controls the passage of chyme from the stomach into the duodenum.
The stomach and the duodenum are composed of the four layers characteristic of the gastrointestinal tract. However, pyloric glands are located in the mucosa whereas the duodenal glands are located in the submucosa. This can easily be seen by following the muscularis mucosa across the gastroduodenal junction.
FIGURE 14.14 Pyloric–Duodenal Junction (Longitudinal Section)
Th e pylorus (1) of the stomach is separated from the duodenum (11) of the small intestine bya thick smooth muscle layer called the pyloric sphincter (8) that is formed by the thickened
circular layer of the muscularis externa of the stomach (9).
At the junction with the duodenum (11), the mucosal ridges (4) of the stomach around
gastric pits (3) become broader and more irregular and their shape more variable. Coiled
tubular pyloric (mucous) glands (6), located in the lamina propria (5), open at the bottom
of the gastric pits (3). Lymphatic nodules (16) are seen between the stomach (1) and the
duodenum (11).
Th e mucus-secreting stomach epithelium (2) changes to the intestinal epithelium (12) in
the duodenum. Th e intestinal epithelium (12) consists of goblet cells and columnar cells with
striated borders (microvilli) that are present throughout the length of the small intestine. Th e
duodenum (11) contains villi (13), a specialized surface modifi cation. Each villus (singular) (13)
is a leaf-shaped surface projection. Between individual villi are intervillous spaces (14) of the
intestinal lumen.
Short, simple tubular intestinal glands (crypts of Lieberkühn) (15) are present in the lamina
propria of the duodenum. Th ese glands consist primarily of goblet cells and cells with striated
borders (microvilli) of the surface epithelium.
Duodenal glands (Brunner glands) (18) occupy most of the submucosa (19) in the upper
duodenum (11) and are the characteristic features of the duodenum. Th e ducts of the duodenal
glands (18) penetrate the muscularis mucosae (17) of the duodenum and enter the base
of the intestinal glands (15), disrupting the muscularis mucosae (17) in this region. Except
for the esophageal (submucosal) glands proper, the duodenal glands (18) are the only submucosal
glands in the digestive tract. In the muscularis externa of the stomach (9) and in the
muscularis externa of the duodenum (20) are neurons and axons of the myenteric nerve
plexuses (10, 21).
Mucosa
*Epithelium: - structure abruptly changes:-Pyloric Stomach - long pits and short, coiled glands.
Duodenum - broad projections (or villi) and crypts.
*Lamina Propria: - loose connective tissue
- Pyloric Stomach - found between gastric pits and glands.-Duodenum - forms the core of intestinal villi.
* Muscularis Mucosa - continuous between the pyloric stomach and the duodenum.
Submucosacontains Brunner's glands in the duodenum
Muscularis Externa
- expands in the stomach to form the pyloric sphincter.Adventitia
summery
Stomach• Transition from esophagus to stomach is abrupt; stratifi ed squamous to simple columnar
• Consists of cardia, fundus, body, and pyloric regions
• When contracted or empty, temporary rugae are seen in the wall
• Fundus and body form the major regions and are histologically identical
• Receives, stores, mixes, digests, and absorbs some food products to form liquid chyme
• Converts bolus of ingested food into semiliquid mass called chyme
• Surface is pitted by gastric pits, which are connected to gastric glands in the lamina propria
• Surface is lined with mucus-secreting, simple columnar epithelium for protection
• Gastric glands produce gastric juices rich in hydrochloric acid and protein-digesting enzymes
• Muscularis externa shows internal oblique, middle circular,and outer longitudinal muscle layers
• Submucosal and myenteric nerve plexuses regulate peristalticactivity
• Serosa or visceral peritoneum covers the outer layer of the stomach
Gastric Pits and Cells of Gastric Glands
• In cardia, gastric pits are shallow; in pylorus, gastric pits are deep; both produce mucus • In body and fundus, parietal cells are large, acidophilic, and are in the upper gland region
• Deeper regions of the gastric glands contain chief or zymogen cells
• In cardia and pylorus, epithelium and simple tubular gastric glands produce mucus
• Glands in the pylorus also produce mucus and the bacteria-destroying enzyme lysozyme
• Parietal cells in fundus and body produce hydrochloric acid and gastric intrinsic factor
• Gastric intrinsic factor is essential for absorption of vitamin B12 and erythropoiesis
• Chief, or zymogen,cells produce pepsinogen that is converted to pepsin in acid environment
• Enteroendocrine cells secrete a variety of polypeptides and proteins for digestive
functions
• Mucus-secreting stomach cells change to intestinal epithelium in the duodenum

















