Large Intestine
The large intestine,starts from the iliocaecal valve & ends at the anal opening,It absorbs water and electrolytes and forms indigestible material into feces
It has the following regions:
1- short cecum, with the ileocecal valve and the appendix;
2-colon (ascending, transverse, descending, and sigmoid colon );
3-and the rectum with the anal canal that opens into the anus.
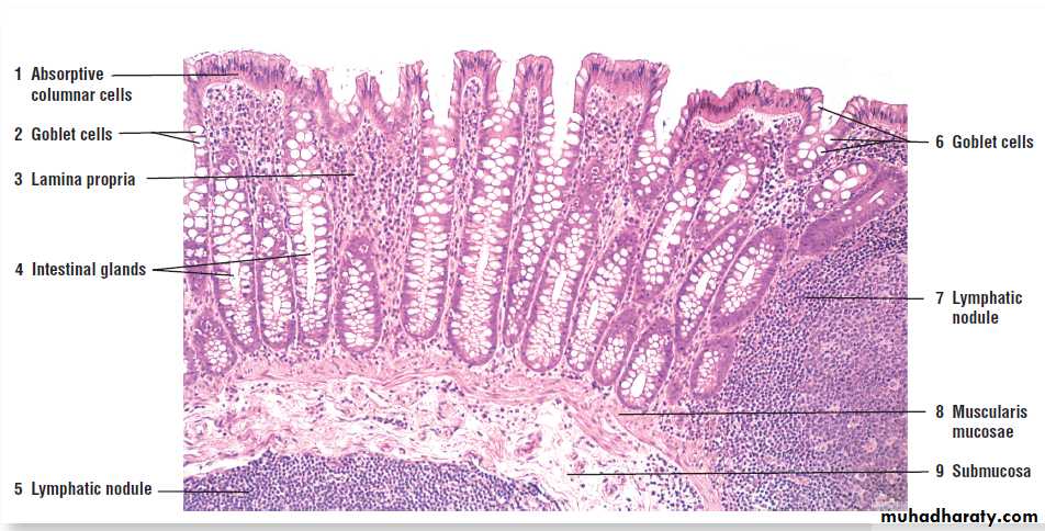
Both the caecum & the colon with all its part has the same histology, except for the no of goblet cells that are progressively increased.
Caecum & colon
Macroscopically The wall of the colon is puckered into a series of large sacs called haustra..
Microscopically the wall of the caecum &colon composed of the four typical layers.
mucosa
The mucosa of the large bowel is penetrated throughout its length by tubular intestinal glands. the intestinal glands and the intestinal lumen are lined by goblet cells and absorptive cells (colonocyte), with a small number of enteroendocrine cells .Villi are not present in the colon as well as the plica circularis.
The connective tissue lamina propria contains the long intestinal glands (crypts of Lieberkühn) that continue through its lenghth to the smooth muscle layer muscularis mucosa.so they are deeper (longer) than those of the S.I. and lack the Paneth cell in their bases.Sub mucosa
The submucosa is well vascularized & along with the overlying lamina properia contains lymphatic nodules.FIGURE 15.10 ■ Large intestine: colon wall (transverse section). Stain: hematoxylin and
eosin. ×30.muscularis
The muscularis externa has a typical inner circular layer, but the outer longitudinal muscle is only present in three equally spaced bands, the teniae coli .As in the circular layer, the taeniae coli are supplied by blood vessels, & by The parasympathetic ganglia of the myenteric nerve plexus.
The wall of an undistended colon normally exhibits temporary folds that consist of both the mucosa and submucosa layers.
serosa
The outermost layer, it covers the connective tissue and adipose (fat) cells However,the serosa covers only the transverse and sigmoid colon. The ascending and descending colon are retroperitoneal, and their posterior surface is lined with the connective tissue adventitia.
15-9
Rectum
The histology of the upper rectum is similar to that of the colon.The intestinal glands are longer,closer together, and filled with goblet cells
The longitudinal folds in the upper rectum and colon are temporary. These folds contain a core of submucosa covered by the mucosa.
permanent longitudinal folds (rectal columns) are found in the lower rectum and the anal canal.
15-13
Taeniae coli of the colon continue into the rectum, where the muscularis externa acquires the typical inner circular and outer longitudinal smooth muscle layers.Between these two smooth muscle layers are the parasympathetic ganglia of the myenteric (Auerbach) plexus .
Adventitia covers a portion of the rectum, and serosa covers the remainder.
Numerous blood vessels are found in both the submucosa and the adventitia.
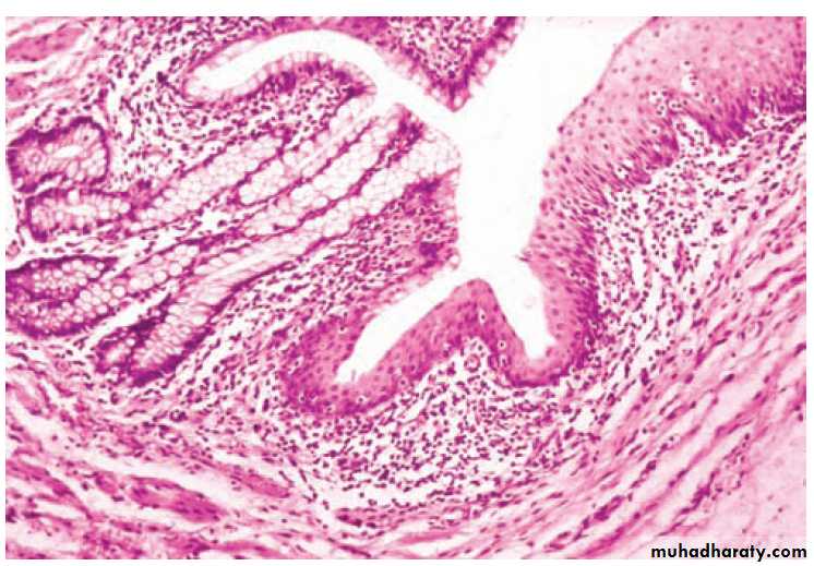
■ Anorectal junction (longitudinal section).
Anorectal junction
the anorectal junction shows the transition from the simple columnar epithelium to the stratified squamous epithelium of the skin.mucosa
The rectal mucosa is similar to the mucosa of the colon. The intestinal glands are somewhat shorter and spaced farther apart. As a result, the lamina propria is more prominent, diffuse lymphatic tissue is more abundant, and solitary lymphatic nodules are more numerousTh e muscularis mucosae and the intestinal glands of the digestive tract terminate in the vicinity of the anorectal junction .
The lamina propria of the rectum is replaced by the dense irregular connective tissue of the lamina propria of the anal canal
submucosa
Th e submucosa of the rectum merges with the connective tissue in the lamina propria of the anal canal, a region that is highly vascular. The internal hemorrhoidal plexus of veins lies in the mucosa of the anal canal.
Blood vessels from this region continue into the submucosa of the rectum.
Muscle layer
Th e circular smooth muscle layer of the muscularis externa increases in thickness in the upper region of the anal canal and forms the internal anal sphincter.Lower in the anal canal, the internal anal sphincter is replaced by skeletal muscles of the external anal sphincter.
External to the external anal sphincter is the skeletal levator ani muscle.

















