Accessory organhuman liver
It is both the largest internal organ and the largest gland in the human body. Located in the right upper quadrant of the abdominal cavity.(beneath the diaphragm.)The liver receives adual blood supply.
Portal vein provide about 75% of liver blood supply.
The hepatic artery offer the remainder.Microscopically:
each liver lobe is seen to be made up of hepatic lobules. The lobules are roughly hexagonal, and consist of plates of hepatocytes radiating from a central vein which joins the hepatic vein and drain blood from liver.Portal traid consist of
1-branch of hepatic artery.2-branch of hepatic portal vein.
3-bile duct.
4-lymph vessel.
5-branch of the vagus nerve.
Surfaces of hepatocyte
Sinusoidal
canalicular
Between the hepatocyte plates are liver sinusoids, which are enlarged capillaries.
Liver cells:1-hepatocyte(70-85%)=parenchymal
:2-non-parenchymal
A- The liver sinusoids are lined with two types of cell, sinusoidal endothelial cells, and phagocytic Kupffer cells.B-Hepatic stellate cells
Ito cells).are non-parenchymal cells found in the space of Disse, between a sinusoid and a hepatocyte.
FIGURE 16.2 Primate Liver (Panoramic View, Transverse Section)
portal areas containing interlobular branches of the portal veins (2, 11), hepatic arteries (3, 13), and bile ducts (1, 12) are visible around the lobule (8) peripheries in the interlobular septa (4, 10).Th is fi gure illustrates numerous hepatic lobules (8). In the center of each hepatic lobule (8)
is the central vein (6, 9). Th e hepatic sinusoids (5) appear between the plates of hepatic cells (7) that radiate from the central veins (6, 9) toward the periphery of the hepatic lobule (8)..
FIGURE 16.4 Hepatic (Liver) Lobule (Sectional View, Transverse Section)
A section of the hepatic lobule between the central vein (9) and the peripheral connective tissue interlobular septum (1, 6) of the portal area is illustrated in greater detail. In the interlobular septum (1, 6) are transverse sections of a portal vein (4), hepatic arteries (3), bile ducts (5), and a lymphatic vessel (2). Multiple cross sections of hepatic arteries (3) and bile ducts (5) are attributable either to their branching in the septum or their passage into and out of the septum.Branches of the portal vein (4) and hepatic artery (3) penetrate the interlobular septum (1, 6)
and form the sinusoids (8, 10). Th e sinusoids (8, 10) are situated between plates of hepatic cells (7) and follow their branchings and anastomoses. Discontinuous endothelial cells (10) line the sinusoids (8, 10) and the central vein (9). Blood cells (erythrocytes and leukocytes) in sinusoids (8) drain toward the central vein (9) of each lobule. Also present in the sinusoids (10) are fixed macrophages called Kupff er cel
FIGURE 16.6 Kupffer Cells in Liver Lobule (India Ink Preparation)
Th e majority of cells that line the liver sinusoids (5) are endothelial cells (2). Th ese small cells have an attenuated cytoplasm and a small nucleus. To demonstrate the phagocytic cells in the liver sinusoids (5), an animal was intravenously injected with India ink. Th e phagocytic Kupff er cells (3, 7) ingest the carbon particles from the ink, which fi ll their cytoplasm with dark deposits. As a result, Kupff er cells (3, 7) become prominent in the sinusoids (5) between the hepatic plates (6). Kupff er cells (3, 7) are large cells with several processes and an irregular or stellate outline that protrudesinto the sinusoids (5). Th e nuclei of Kupff er cells (3, 7) are obscured by the ingested carbon particles. On the periphery of the lobule is visible a section of the connective tissue interlobular septum (1) and a part of the bile duct (4) that is lined with cuboidal cells
Function of hepatocyte:
1-exocrine:A-secret bile.
B-excrete bilirubin(a toxic chemical formed in the body after
degradation of worn-out erythrocytes by liver macrophages called Kupffer cells).
C- immune function.
2-endocrine:
A-synthesis of plasma protein(example albumin,clotting factor…….)B-storage of fat,vitamin and carbohydrate as glycogen.
Note/kupffer cell perform a phagocytic action.The pancreas
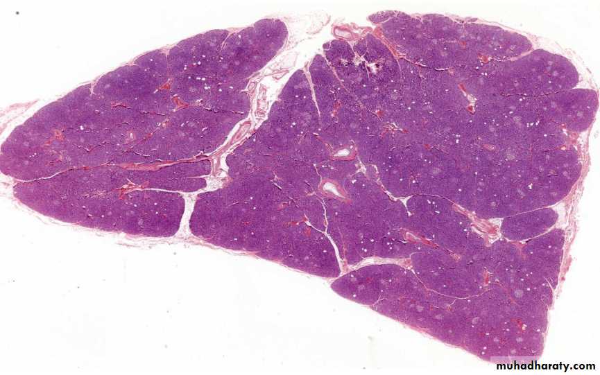
It is an elongated, soft, retroperitoneal organ, with a large head near the duodenum and more narrow body and tail regions that extend to the left.Functionally The pancreas is a mixed exocrine-endocrine gland that produces both digestive enzymes and hormones.
Anatomically ( head, neck, body & tail with the main pancreatic duct embeded along the gland).
Histologically
The pancreas has a thin capsule of connective tissue, from which septa extend to cover the larger vessels and ducts and to separate the parenchyma into lobulesHistologically the pancreas consists of stroma & paranchyma,
StromaCapsule - connective tissue covers the exterior surface.
thin layers of connective tissue that divides the pancreas into lobes & lobules .
Blood Vessels and Nerves (and ganglion cells).
Paranchyma:- conaining multiple cell types (secretory system) arranged in an exocrine & endocrine unites & (ductal system) to deliver the secreted material.
Exocrine pancreas
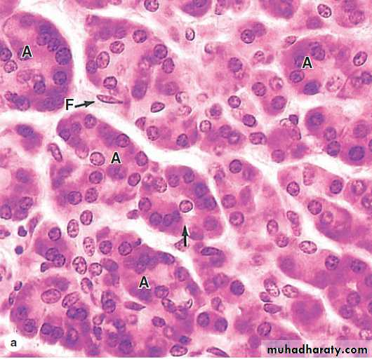
*secretory part:-The exocrine secretory units or acini contain pyramid-shaped serous acinar cells, whose apices are filled with secretory granules.
These acinar cells are polarized cells having RER at their base (basophilic) and secreting granules (eosinophilic) at their apex.
These granules contain the precursors of several pancreatic digestive enzymes that are secreted into the intestinal lumen via the excretory duct in an inactive form.
The secretory acini are surrounded by a basal lamina that is supported only by a delicate sheath of reticular fibers with a rich capillary network.
(a) Micrograph of exocrine pancreas shows the serous, enzyme-producing cells arranged in small acini (A) with very small lumens. Acini are surrounded by only small amounts of connective tissue with fibroblasts (F). Each acinus is drained
by an intercalated duct with its initial cells, the centroacinar cells (arrow), inserted into the acinar lumen. X200. H&E.
*ductal part:-
The excretory ducts in the exocrine pancreas start from within the center of individual acini as pale-staining centroacinar cells, which continue with the lining cells of the short intercalated ducts that are located outside of the acini (low cuboidal epithelium)
Function------ secrete HCO3.
Intercalated ducts from different acini merge to form intralobular ducts in the connective tissue(simple columnar epith.), which, in turn, join to form larger interlobular ducts (simple cuboidal epithelium that becomes taller and stratified as the ducts increase in size) that empty into the main pancreatic duct.
Excretory ducts of the pancreas do not exhibit striations in their cells, and there are no striated ducts.
Endocrine pancreas
Th e endocrine units of the pancreas are scattered among the exocrine acini the cells are primarily smaller, similar to enteroendocrine cells & located in variously sized clusters as isolated, pale-staining, and highly vascularized units called pancreatic islets (of Langerhans).Each islet is surrounded by fine fi bers of the reticular connective tissue.
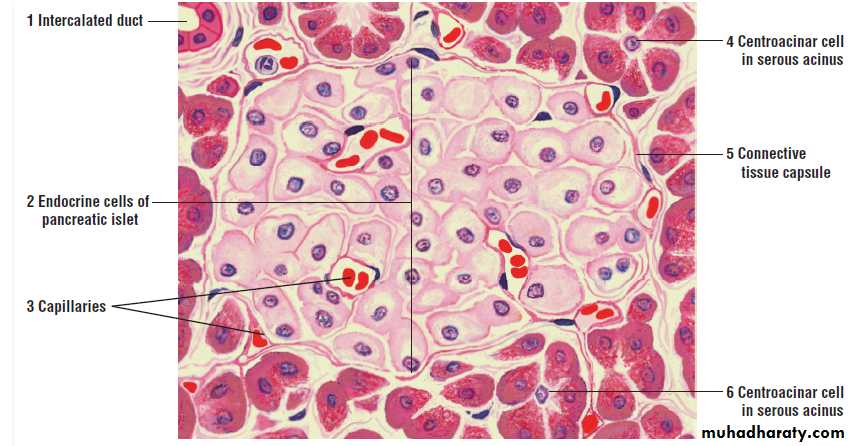
FIGURE 16.11 Pancreatic Islet
A pale-staining, pancreatic islet (of Langerhans) (2) is illustrated at a higher magnifi cation. The endocrine cells of the islet (2) are arranged in cords and clumps, between which are found fi ne connectivetissue fi bers and an extensive capillary (3) network. A thin connective tissue capsule (5)
separates the endocrine pancreas from the surrounding exocrine serous acini (4, 6). Some of the serous acini (4, 6) exhibit a centrally located cell, the centroacinar cells (4, 6), which form the initial part of the duct system that leads to the excretory intercalated duct. In contrast to secretory acini
in other glands, there are no myoepithelial cells that surround the secretory acini in the pancreas.
In routine histologic preparations, the cells that secrete diff erent hormones from the pancreatic islet (2) cannot be identifi ed. However, using diff erent staining techniques, the hormonesecreting cells can be identifi ed. Th ese cells are illustrated in Figures 16.12 and 16.14
With special immunocytochemical staining processes, four cell types can be identified in each pancreatic islet: alpha, beta, delta, and pancreatic polypeptide (PP) cells.
The principal cells are the alpha, beta, and delta. Other cells in the pancreatic islets, including the PP cells, are considered minor cells.
Alpha cells constitute about 20% of the islets and are located primarily around the islet periphery .
The beta cells are most numerous, constituting about 70% of the islet cells, and are primarily concentrated in the center of the islet.
The remaining cell types are few in number and are located in various places throughout the islets.
Pancreatic Islet (Special Preparation)
Th is pancreas has been prepared with a special stain to distinguish the glucagon-secreting alpha (A) cells (1) from the insulin-secreting beta (B) cells (3). Th e cytoplasm of alpha cells (1) stains pink, whereas the cytoplasm of beta cells (3) stains blue. Th e alpha cells (1) are situated more peripherally in the islet, and the beta cells (3) more in the center. Also, beta cells (3) predominate, constitutingabout 70% of the islet. Delta (D) cells (not illustrated) are also present in the islets. Th ese cells are least abundant, have a variable cell shape, and may occur anywhere in the pancreatic islet.
Capillaries (2) around the endocrine cells demonstrate the rich vascularity of the pancreatic islets. Th e thin connective tissue capsule (4) separates the islet cells from the serous acini (6). Centroacinar cells (5) are visible in some of the acini.
FUNCTIONAL CORRELATIONS 16.3 Endocrine Pancreas
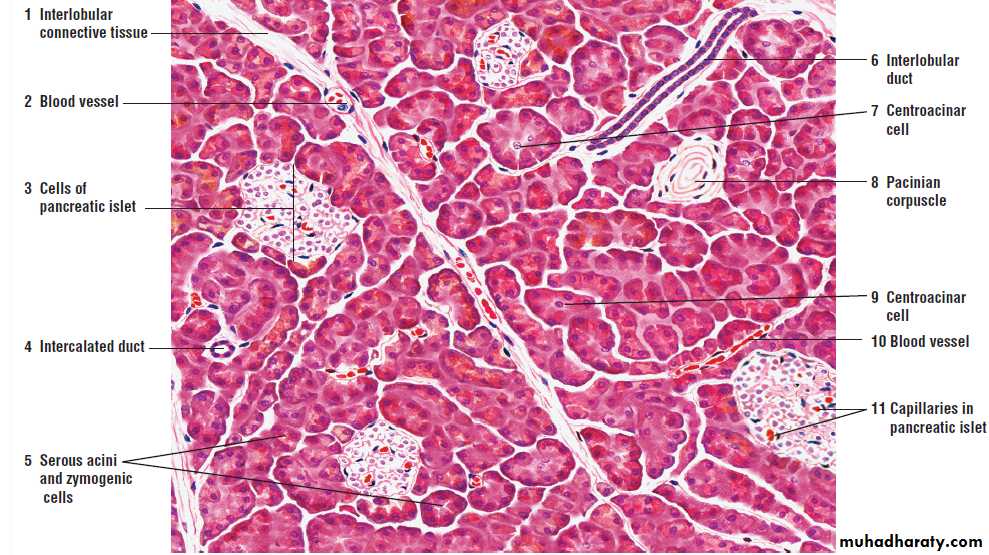
Th e pancreas is a mixed organ; it contains both endocrine and exocrine components. Th e exocrine
component forms the majority of the pancreas and consists of closely packed secretory
serous acini and zymogenic cells (5) arranged in small lobules. Th e lobules are surrounded by
thin intralobular and interlobular connective tissue septa (1) that contain numerous blood vessels
(2, 10); interlobular ducts (6); nerves; and, occasionally, a sensory receptor called a Pacinian
corpuscle (8). Within the mass of serous acini (5) are the isolated cells of pancreatic islets (of
Langerhans) (3, 11). Th e pancreatic islets (3, 11) represent the endocrine portion of the organs
and are the characteristic features of the pancreas.
Each pancreatic acinus (5) consists of pyramid-shaped, protein-secreting zymogenic cells
(5) that surround a small central lumen. Th e initial parts of the excretory ducts of the individual
acinus (5) are visible as pale-staining centroacinar cells (7, 9) in the middle of the acinus.
Th e secretory products leave the acini via intercalated (intralobular) ducts (4) that have small
lumina lined with a low cuboidal epithelium. Th e centroacinar cells (7, 9) are continuous with the
epithelium that lines the intercalated ducts (4).
Th e intercalated ducts (4) drain into interlobular ducts (6) located in the interlobular connective
tissue septa (4). Th e interlobular ducts (6) are lined with a simple cuboidal epithelium that
becomes taller and stratifi ed as the ducts increase in size.
Pancreatic islets (3, 11) are demarcated from the surrounding exocrine acini (5) tissue by a
thin layer of reticular fi bers. Th e islets (3, 11) are larger than the acini and are compact clusters of
epithelial cells permeated by numerous fenestrated capillaries (11). Th e cells of a pancreatic islet
(3, 7) are illustrated at a higher magnifi cation in Figures 16.11 and 16.1
Gall bladder
Th e gallbladder is a small, hollow organ attached to the inferior surface of the liver.Bile that produced by liver hepatocytes leaves the liver and flows to, stored, and concentrated in the gallbladder.
Upon hormonal stimulation, bile leaves the gallbladder via the cystic duct and enters the duodenum via the common bile duct through the major duodenal papilla, a fingerlike protrusion of the duodenal wall into the lumen.
Th e gallbladder is not a gland, because its main function is to store and concentrate bile by absorbing its water its only a muscular sac.
The wall consists of the mucosa, the muscularis externa, and the adventitia or serosa. It does NOT contain a muscularis mucosae or submucosa
mucosa
The mucosa consists of a simple columnar epithelium and the underlying connective tissue lamina propria contains loose connective tissue, some diffuse lymphatic tissue, and blood vessels—venule and arteriole.In the nondistended state, the gallbladder wall shows temporary mucosal folds that disappear when the gallbladder becomes distended with bile. The mucosal folds resemble the villi in the small intestine; however, they vary in size and shape and display an irregular arrangement. Between the mucosal folds are found diverticula, or crypts that often form deep indentations in the mucosa.
Muscularis externa
External to the lamina propria is the muscularis of the gallbladder with bundles of randomly oriented smooth muscle fibers that do not show distinct layers and interlacing elastic fibers.Surrounding the bundles of smooth muscle fibers is a thick layer of dense connective tissue that contains large blood vessels—artery and vein, lymphatics, and nerves.



























