Eye
The eye has three tunics :
1-The sclera and cornea form the outer fibrous tunic .2- The middle vascular layer (or uvea) consists of the choroid
, ciliary body , and iris ;3-The retina forms the inner tunic .
Fibrous Layer
This layer includes two major regions :
1)the posterior sclera
and joined at the limbus2)anterior cornea
Sclera (s) :
: Components-Dense irregular connective tissue
: -Function
Supports eye shapeProtects delicate internal structures
The transparent cornea consists of :
1- anterior stratified squamous epithelium on
Bowman’s membrane
2- a thick avascular stroma ,
3- inner endothelium on Descemet’s membrane .At the circumference of the cornea is the limbus or corneoscleral junction (CSJ), where the transparent corneal stroma merges with the opaque, vascular sclera (S). The epithelium of the limbus is slightly thicker than the corneal epithelium, containing stem cells for the latter, and is continuous with the conjunctive (C) covering the anterior sclera and lining the eyelids.
The stroma of the limbus contains
the scleral venous sinus (SVS), or canal of Schlemm, which receives aqueous humor from an adjacent trabecular meshwork at the surface of the anterior chamber (AC).
Vascular Layer
The eye’s more vascular middle layer, known as the uvea, consists of three parts, from posterior to anterior:*********************************************************
1) the choroid,2) ciliary body,
3) iris
consists of the ciliary body and its anterior extension, the iris (I). The thick ring of the ciliary body includes loose connective tissue containing melanocytes, smooth ciliary muscle (CM), numerous extensions covered by epithelium called the ciliary processes (CP), and the ciliary zonule (CZ), a system of fibrillin-rich fibers that attach to the capsule of the lens (L) in the center of the ciliary body. Pieces of one zonular fiber can be seen (arrow). Projecting into the posterior chamber (PC), the ciliary processes produce aqueous humor that then flows into the anterior chamber through the pupil. Behind the ciliary zonule and lens, a thin, transparent membrane (not shown) surrounds the vitreous body and separates the posterior chamber from the vitreous
chamber (VC). X12.5. H&E.
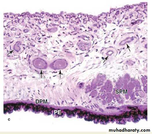
The iris regulates the amount of light to which the retina is exposed. (a) The low-power micrograph shows a section of the central iris, near the pupil (P). The anterior surface, exposed to aqueous humor in the anterior chamber (AC), has no epithelium and consists only of a matted layer of interdigitating fibroblasts and melanocytes. Cells of the external pigmented epithelium (PE) are very rich in melanin granules to protect the eye’s interior from an excess of light. Cells of the other layer are myoepithelial, less heavily pigmented, and comprise the dilator pupillae muscle (DPM) that extends along most of the iris. Near the pupil, fascicles of smooth muscle make up the sphincter pupillae muscle (SPM). X140. H&E. The underlying stroma (S) contains many melanocytes with varying amounts of melanin.
The deep stroma also is richly vascularized (arrows).
The myoepithelial dilator pupillae muscle (DPM) is more easily seen here,in relation to the sphincter pupillae muscle (SPM) and
posterior pigmented epithelium (PE). X100. PT.
The lens is a transparent, elastic tissue that focuses light on the retina. Surrounding the entire lens is a thick, homogenous external lamina called the lens capsule (LC). The anterior surface of the lens, beneath the capsule, is covered by a simple columnar lens epithelium (LE). Because of its origin as an embryonic vesicle pinching off of surface ectoderm, the basal ends of the lens epithelial cells rest on the capsule and the apical regions are directed into the lens interior. At the equator of the lens, near the ciliary zonule, the epithelial cells proliferate and give rise to cells that align parallel to the epithelium and become the lens fibers. Differentiating lens fibers (DLF) still have their nuclei but are greatly elongating and filling their cytoplasm with proteins called crystallins. The mature lens fibers (MLF) have lost their nuclei and become densely packed to produce a unique transparent structure. The lens is difficult to process histologically and sections usually have cracks or blebs among the lens fibers. X200. H&E.
Retina
The retina, the innermost tunic of the eye, develops withtwo fundamental sublayers from the inner and outer layers
of embryonic optic cup
The two distinct layers of the retina are the pigmented epithelium and the photosensitive neural layer, which are derived from the outer and inner layers of the optic cup, respectively. Shown here is the interface between the two layers. The pigmented epithelium (PE) is of simple cuboidal cells resting on Bruch’s membrane inside the choroid (C).
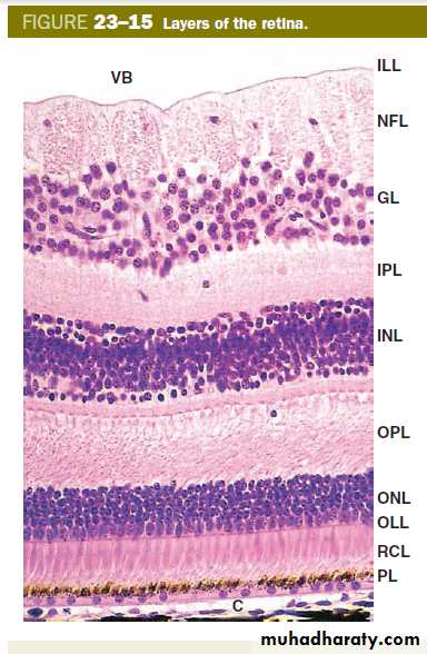
Rod cells and cone cells are neurons with their nuclei collected in the outer nuclear layer (ONL) and with axons of one end forming synapses in an area called the outer plexiform layer (OPL) and modified dendrites at the other end serving as photosensitive structures. These structures have mitochondria-rich inner segments (IS) and photosensitive outer segments (OS) with stacks of folded membranes where the visual pigments are located.
The inner segments of the rod and cone cells are attached to elongated glial cells called Müller cells, which are modified astrocytes of the retina. The junctional complexes
of these attachments can be seen in light micrographsas the outer limiting layer (OLL). X500. H&E.
■■ The inner nuclear layer (INL), with the cell bodies of several types of bipolar neurons which begin to integrate signals from the rod and cone cells.
■■ The outer plexiform layer (OPL), containing fibers and synapses of the bipolar neurons and rod and cone cells.
■■ The outer nuclear layer (ONL), with the cell bodies and nuclei of the photosensitive rod and cone cells.
■■ The outer limiting layer (OLL), a line formed by junctional complexes holding the rod and cone cells to the intervening Müller cells.
■■ The rod and cone layer (RCL), which contains the outer segments of these cells where the photoreceptors are located.
■■ The non-neural pigmented layer (PL), which has several supportive functions important for the function and maintenance of the neural retina. X150. H&E
اطلاع فقط
(a) The eyelid is a pliable tissue with skin (S) covering its external surface and smooth conjunctiva (C) lining its inner surface. At the outer rim of the eyelid are a series of large
hair follicles (F) for the eyelashes. Associated with these hair follicles are small sebaceous glands and modified apocrine sweat glands. Internally eyelids contain fascicles of striated
muscle (M) comprising the orbicularis oculi muscle and closer to the conjunctiva a thick plate of fibroelastic connective tissue called the tarsus (T). This tarsal plate provides structural support for the eyelid and surrounds a series of large sebaceous glands, the tarsal glands (TG) (aka Meibomian glands), with acini secreting into long central ducts (D) that empty at the free edge of the eyelids. X12.5. H&E.
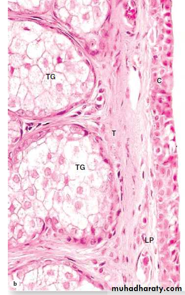
At higher magnification, only the inner aspect of the eyelid is seen, and it shows that the conjunctiva (C) is a mucous membrane consisting of a stratified columnar epithelium
with small cells resembling goblet cells and resting on a thin lamina propria (LP). Large cells undergoing typical holocrine secretion are shown in the tarsal gland acini (TG), and the
fibrous connective tissue in the tarsus (T) surrounding the acini. Sebum from these glands is added to the tear film and helps lubricate the ocular surface. X200. H&E.
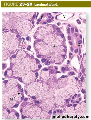
Lacrimal glands secrete most components of the tear film that moisturizes, lubricates, and helps protect the eyes.
The glands have acini (A) composed of secretory cells filled with small, light-staining granules and myoepithelial cells (M).
Connective tissue surrounding the acini contains blood vessels (V) of the microvasculature and intra- and interlobular
ducts (D) converging as excretory ducts that empty into the superior conjunctival fornix between the upper eyelid
and the eye. X400. H&E.

























