Histology of The Liver
The Liver
The largest single organ in the human body.In an adult, it weighs about three pounds.
Located in the upper right part of the abdomen, behind the lower ribs.
Liver
• Modified exocrine gland.• liver cells made up of (Hepatocytes).
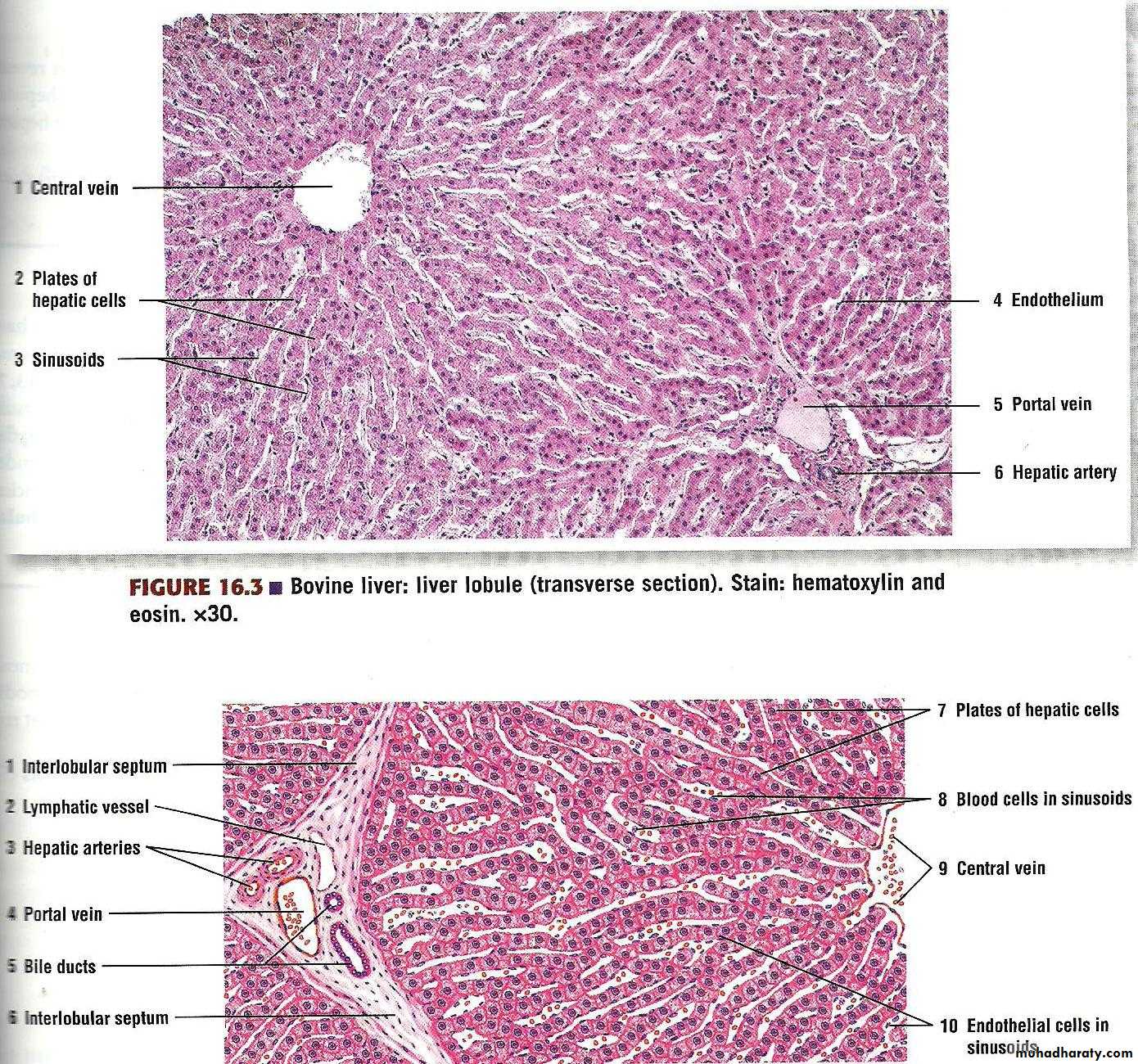
• Hepatic lobules: hexagonal areas that form the structural & functional unit of liver.
• Distribute connective tissue between lobules.
• Each lobule is separated from others by septa.
Gross Anatomy
The liver is divided into four lobes: the right (the largest lobe), left, quadrate and caudate lobes.Supplied with blood via the portal vein, hepatic artery.
Blood carried away by the hepatic vein.It is connected to the diaphragm and abdomainal walls by five ligaments.
The liver is the only human organ that has the remarkable property of self-regeneration. If a part of the liver is removed, the remaining parts can grow back to its original size and shape.
• Liver
• Portal canals contain branches of portal vein, hepatic artery & interlobular bile duct (portal triad).• Central vein: in the centre of each lobule, conduct blood from lobules into hepatic veins.
•
• Functions
• The liver has more functions, including:Storage of Nutrients :- Glucose (glycogen), Iron, Retinol (Vitamin A), Calciferol (Vitamin D)
• Breakdown of erythrocytes
• Bile Secretion
Synthesis of plasma Proteins :- Albumin
Globulin and Fibrinogen
• Synthesis of cholesterol
Nutrients released when levels are too low
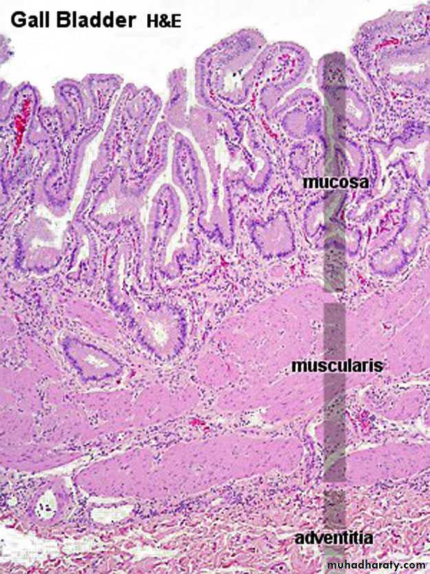
Gall BladderMuscular bag for the storage, concentration, acidification and delivery of bile to small intestine
Bile Secretion
Bile Contents
HCO3- (Bicarbonate)
Bile salts
Bile pigment
Cholesterol
ACCESSORY DIGESTIVE GLANDS
GALLBLADDER
THREE LAYERS:1) MUCOSA
- lined with tall columnar epithelium and underlying basal lamina & lamina propria
2) MUSCULARIS EXTERNA
- layers of smooth muscle
3) ADVENTITIA or SEROSA


















