Oral histologyDevelopment of teeth(odontogenesis)
bydr. Suhair Majeed
Background :
The development of the tooth involves many complex biological processes, including epithelial mesenchymal interactions, morphogenesis and mineralization.In human beings, 20 deciduous and 32 permanent teeth develop from the interaction between the oral epithelium cells and the underlying mesenchymal cells. The basic developmental process is similar for all teeth but
Cont.
each developing tooth develops as an anatomically distinct unit. Mammalian teeth develop from oral epithelium (ectoderm) and neural crest cells derived mesenchyme (mesoderm).Neural crest cells are migrate (at 3rd weeks of the embryo) from lateral parts of neural tube and enter in the underlying mesenchyme ,now it’s termed as ectomesenchyme.
Vitamins, minerals and hormones affect tooth
development.
Cont.
Vitamin A is important for epithelial growth,Vitamin C = = for connective tissue development ,
Vitamin D is essential for calcification
Developmental phases of tooth :
Tooth development is divided into three overlapping developmental phases ,these are:
1- Initiation :
in this phase,the sites of future teeth are established with the appearance of tooth germs along an invagination of oral epithelium called dental lamina .
2- morphogenesis :
in this phase,the shape of the teeth are determined by a combination of cell proliferation and cell movement.3- Histogenesis :
differentiation of cell begun during (morphogenesis) proceed to give rise to the fully formed dental tissues,both mineralized (as enamel ,dentin and cementum) and unminaralized (as pulp and periodental ligament ).
Development of tooth germ
Primary epithelial band :
after 37 days of development,a continuous band of thickened epithelium forms around the mouth in the presumptive upper and lower jaws. These bands are horse shoe-shaped and correspond in position to the future dental arches of the upper and lower jaws. Each band of epithelium, called the primary epithelial band, quickly gives rise to two subdivisions .
Cont.
. These are:1- the dental lamina, which forms first,
2- the vestibular lamina, which forms shortly afterward and is positioned just in front of the dental lamina.
Dental lamina
Dental Lamina :
The dental lamina is a band of epithelium thathas invaded the underlying ectomesenchyme along both the horse shoe-shaped future dental arches .
Deciduous dentition develops directly from the dental lamina at the eighth week of fetal life, while the permanent molars develop from a distal extension of the dental lamina.
Cont.
Along the lamina 20 areas of enlargement next appear,which are the forming buds of 20 primary teeth ,and the lamina continues to develop the 32 permenant tooth buds.The lingual extension of dental lamina is called successional lamina ,it is responsible for the development of permanent incisors, canine and premolars.
Cont.
The successional lamina is active from the fifth month in utero (for the permanent central incisor) to ten months of age (second premolar).Bud stage . (1) enamel organ (2) the dental lamina, (3) Successional dental lamina, (4) Primary epithelial Band,
Vestibular Lamina :
The vestibule forms as a result of the proliferation of the vestibular lamina into the ectomesenchyme soon after formation of the dental lamina. The cells of the vestibular lamina rapidly enlarge and then degenerate to form a cleft that becomes the vestibule between the cheek and the tooth-bearing area.DEVELOPMENTAL STAGES OF TOOTH
Tooth formation is a continuous process. It ischaracterized by a series of stages. Each tooth develops through successive bud, cap and bell stages. continues to change. During these the dental lamina breaks up and the tooth bud loses its connection with the epithelium of the primitive oral cavity . Interaction of the first arch epithelium and neural crest cell results in the development of tooth.
CONT.
all teeth pass through similar stages of toothdevelopment. These stages:
A. Bud stage - Initiation
B. Cap stage - Proliferation
C. Bell stage –
a. Early - Histodifferentiation
b. Advanced - Morphodifferentiation
Cont.
The name of the stages is based on the shape of the epithelial part of the tooth germ that is epithelial enamel organ .1- Bud Stage (Initiation) :
Bud stage is the initial stage of tooth development. The basement membrane separates the epithelium of dental lamina from the ectomesenchyme.Ten small, round or ovoid swellings develop superficial to the basement membrane called as tooth buds. Tooth buds are the precursors of enamel organs.
The epithelium of the tooth bud forms the enamel.
Tooth development – bud stage
Cont.
The supporting ectomesenchymal cells aredensely packed under the lining epithelium and around the epithelial bud.
The enamel organ of bud stage contains two types of cells :
1. Polygonal cells, which are centrally situated
2. Low columnar cells, which are peripherally situated
Cont.
The centrally situated cells rapidly divide and grow and condensed and formed the dental papilla.Tooth pulp and dentin are formed from dental papilla.
The ectomesenchyme that surrounds the tooth bud and dental papilla forms the dental sac. Cementum and periodontal ligament are formed from the dental sac.
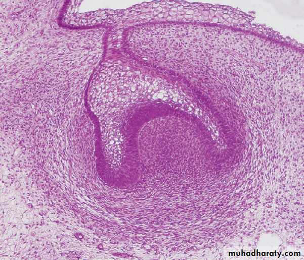
Cap Stage (Proliferation) :
The epithelial bud continues to proliferate into the ectomesenchyme. Immediately adjacent to the epithelial ingrowth, the cellular density increases. This process is known as the condensation of the ectomesenchyme.When the embryo is 20 weeks old ,deciduous dentition is at various stages of development.
After continuous division and differentiation, the size and shape of the enamel organ changes from knob-like to cap like.
early cap stage of tooth development
Cont.
This developmental stage is called as the cap stage. Invagination on the inner surface oftooth bud results from unequal division leading to cap stage. Cap stage is characterized by
- the outer and inner enamel epithelium
- the stellate reticulum.
Outer and Inner Enamel Epithelium
The cells of the outer enamel epithelium are cuboidal and cover the convexity of the cap whereas the cells of the inner enamel epithelium are tall, columnar and cover the concavity of the cap.Basement membrane separates the inner enamel epithelium from the dental papilla and outer enamel epithelium from the dental sac or dental follicle.
Stellate Reticulum (Enamel Pulp)
Polygonal cells present in the center of the enamel organ between the inner and the outer enamel epithelium . The proteinaceous fluid-containing albumin gives a cushion-like consistency to the stellate reticulum that supports and protects the delicate enamel-forming cells . Although it is not fully developed untill the late bell stage.The center of e.organ showing stellate reticulum.1-periphral enamel epithelium2- ectomesenchyme condensed around e.organ
Cap stage of tooth development
Enamel organ
Dental papillaDental follicle
Dental Papilla
The proliferating epithelium of the enamel organ exerts influence on the ectomesenchyme (neural crest cells) to proliferate. The ectomesenchymal cells are partly covered by the invaginated portion of the inner enamel epithelium. On condensation, it is called as the dental papilla. It is the primordium of the pulp and is responsible for the formation of dentin and pulp.Cont.
In dental papilla, mitotic cell division takes place along with proliferation of new blood capillaries. The peripheral cells near the innerenamel epithelium increase in size and differentiate to form the odontoblasts.
Dental Sac (Dental Follicle)
Along with the development of enamel organ and dental papilla, their surrounding areas at the margins,showed cell division resulting into condensation and fibrous development in this zone. This results in the formation of the dental sac.The cells of dental sac are responsible for the formation of the cementum and the periodontal ligament. The entire tooth and its supporting structures are formed by epithelial enamel organ, the dental papilla and the dental sac.
Cont.
Dental sac is the capsular structure consisting of circular arrangement of fibers . These fibers with root development are differentiated into various types of periodontal fibers, which on one end are embedded in the alveolar bone and the other end in the developing cementum.Transitory structures :
During the early stages of tooth development ,three transitory structures may be seen , they are:
1- enamel knot :
it’s a localized mass of cells in the center of inner E. epith., E. Knot thought to play a role in the formation of crown pattern by outlying the enamel fissure.
E.Knot soon disappears and seems to contribute cells to the E.cord , although it’s transitory, recent studies of E.Knot suggest
Enamel knot
Cont.
it may represent an important signaling center during tooth development. unlike adjacent cells, those within E.Knot are non proliferative and produce molecules associated with signaling in other sites .2- Enamel cord :
it’s a strand of early bell stage of development. it arises in the increasingly high enamel organ as a vertical extension of the E.Knot ,it’s termed E. septum when E. Cord extend from E. knot to outer E. epith.
3- enamel niche :(corner.slit)
it’s an apparent structure in the histologic section, created because the dental lamina is a sheet rather than a single strand and often contains a concavity filled with C.T., a section through this arrangement creates the impression that tooth germ has a double attachment to the oral epithelium by two separate strands.Enamel niche
early bell stage of tooth development
Bell Stage
is known for histodifferentiation and morphodifferentiation that takes place.During this stage , tooth crown assumes it’s final shape (morphodifferentiation ),and the cells that will be making the hard tissues of crown (Ameloblasts and odontoblasts ) acquire their distinctive phenotype (histodifferentiation ).the dental organ is bell – shaped during this stage,majority of it’s cells are called stellate reticulum because they have star –shaped appearance.
Cont.
bell stage is divided into:1- early bell stage
2- late bell stage
Cells on the periphery of enamel organ separate into four important layers :
a. Inner enamel epithelium
b. Stratum intermedium
c. Stellate reticulum
d. Outer enamel epithelium
Bell stage
1- early bell stage :A- Inner Enamel Epithelium :
consists of a single layer of tall columnar cells, which differentiate into specialized cells called ameloblasts, before amelogenesis . These are characterized by high glycogen content. Ameloblasts are attached by junctional complexes laterally and to stratum intermedium by desmosomes. Ameloblasts exert an organizing influence on the underlying ectomesenchymal cells , which differentiate into odontoblasts .B- Stratum Intermedium :
a layer of squamous cells present in between the inner enamel epithelium and stellate reticulum. These cells are intimately attached by desmosomes and gap junctions. They have a high degree of metabolic activity due to developed cytoplasmic organelles, acid mucopolysaccharides, glycogen deposits and an enzyme, alkaline phosphatase ,which is important in the mineralization of the enamel .Cont.
The cells of this layer concern in the transport of materials to and from E. forming cells in inner E. epith. (ameloblasts ). it’ is essential for the formation and calcification of enamel.It is absent in the root part of the tooth. Inner enamel epithelium and stratum intermedium are considered as a single functional unit.
Bell stage: deciduous mandibular first molar tooth germ /(l.s.)
c- Stellate Reticulum :
The star-shaped cells of the stellate reticulum have long processes, which anastomose with the processes of adjacent cells. There is continuous expansion in the size of the stellate reticulum because of increased amount of intercellular fluid.Just prior to the beginning of enamel formation, at the height of the cusp or incisal edge, the stellate reticulum collapses and gets mixed up with the cells of the stratum intermedium.
Various layers of epithelial enamel organ
Cont.
This decreases the distance between the ameloblasts, which are centrally situated, and the blood capillaries situated near the outer enamel epithelium. This change, which starts at theheight of cusps shows gradual cervical progression . The main function of stellate reticulum is mechanical one,this relate to the protection of underlying dental tissues against physical disturbance and the maintenance of tooth shape.
Cont.
It has been suggested that hydrostatic pressure generated within stellate reticulum is in equilibrium with that of the dental papilla ,allowing the proliferative pattern of the intervening inner E.epith. to determine crown morphogenesis, although ,a change in either of these pressures might lead to change in the outline of the inner E. epith. And this could be important for crown morphogenesis.D- Outer Enamel Epithelium
In the initial stages of development of enamel organ, the cells of the outer enamel epithelium are single-layered, and cuboidal in shape. Before enamel formation begins, outer enamel epithelium is folded. The capillary networkdevelops in between the folds from the dental sac and provides a rich blood supply to the avascular enamel organ.
Cont.
This rich nutritional blood supply is required for the intense metabolic activity of the avascular enamel organ. The dental papilla is mesenchymal in nature. Under inductive influences of epithelium, the dental papilla develops the odontoblasts. The development of odontoblasts occurs and laying down of dentin starts before the inner enamel epithelium lays down the first layer of enamel matrix .Capillaries (C) are in intimate contact of cells of outer enamel epithelium (OEE). Stellate reticulum (SR).
dental lamina
The dental lamina proliferates lingually at its deep end and gives rise to the enamel organ of the permanent teeth.Function of dental lamina :
functional activity of dental lamina and it’s chronology may be considered in three phases :
1- first phase concerned with initiation of the entire deciduous dentition that begins at 6 weeks of intra- utrine life of embryo.
2-second phase deals with inititation of the successors of the deciduous teeth.It’s preceded by growth of free end of the dental lamina,lingual to enamel organ of each deciduous tooth,and occurs from about the fifth month in embryo for the permanent central incisors to 10 months of age for the second premolar.
Cont.
3- third phase is preceded by the extension of the dental lamina distal to the enamel organ of the second deciduous molar and the formation of permanent molar tooth germs.Fate of dental lamina :
1- dental lamina is functional in developing 52 teeth from 6 prenatal weeks until 4 years after birth (development of third permanent tooth ).2- the dental lamina degenrates by mesenchymal invasions in late bell stage.
3- developing tooth lose it’s connection with dental lamina .
4- sometimes remnants of dental lamina remains in the jaws as epithelial rests of Serres( Serre’s pearls ).
Dental Papilla ( d.p.) in early bell stage
before the inner E. epith. Differentiate into ameloblast to produce enamel( E.) ,the periphral cells of d.p. differentiate into odontoblasts (dentin forming cells) under the organizing influence of inner E.epith.Membrana performativa :
is the basement membrane, which separates the enamel organ and dental papilla before dentin develops
Dental sac (d.s.) in early bell stage :
Befor formation of dental hard tissue begins, d.s. shows a circular arrangement of it’s fibers and it’s resemble a capsular structure .with the development of the root, fibers of d.s. Differentiate into periodontal fibers that become embeded in the cementum and alveolar bone.
2- Advanced Bell Stage
In advanced bell stage, two more features of tooth development are also seen .
1. Future dentinoenamel junction –
forms from the boundary present between the inner enamel epithelium and odontoblasts. The first layer of dentin is formed. After the formation of first layer of dentin, enamel is laid down over the dentin by the ameloblast .
Advanced Bell Stage
Cont.
2. Hertwig’s epithelial root sheath –develops from the cervical portion of the enamel organ. As the crown develops, cell proliferation continues at the cervical region of the enamel organ, where the inner and outer enamel epithelial cells join to form a root sheath . When the crown is completed, the cells in this region of the enamel organ continue to grow, forming a double layer of cells termed the epithelial root sheath or Hertwig's root sheath
Advanced Bell Stage
Cont.
The root sheath originates at the point that enamel deposits end. The length, curvature, thickness, and number of roots , all depend on the inner root sheath cells.At the proliferating end, the root sheath bends at a near 45-degree angle. This area called the epithelial diaphragm , which encircles the apical opening of the dental pulp during root development, by the proliferation of these cells , root growth occur.
Developmental disturbances :
anadontia : a complete lack of tooth development .hypodontia : lack of some tooth development .it is one of the most common developmental abnormalities .the absence of third molars very common ,occuring in 20-23 % of the population, followed in prevalence by the second premolar and lateral incisor.also it is associated with absence of a dental lamina ,which is vulnerable(weak)
Cont.
to environmental forces ,like infection and chemotherapy , medications ,and it’s also associated with many syndroms,such as Down Syndrome .hyperdontia : is the development of extraneous (external) teeth, about 86% of these cases involve a single extra tooth in the mouth ,most commonly found in the maxilla ,where the incisors are located .hyperdontia is believed to be associated with an excess of dental lamina .
Cont.
Dilaceration :is an abnormal bend found on a tooth ,it’s always associated with trauma that moves the developing tooth bud. As a tooth is forming , a force can move the tooth from it’s original position ,leaving the rest of the tooth to form at an abnormal angle.
Cont.
Amelogenesis imperfecta :is an autosomal dominant disease characterized by a defect in dental enamel formation. Teeth are often free of enamel , small, misshapen, and tinted brown. The cause of these deformities is due to a mutation in enamel in expression .
Natal and neonatal teeth :
Are a rare anomaly that involves teeth erupting in a newborn infant’s mouth earlier than usual.
Cont.
natal teeth are present at the time of birth, while neonatal teeth will erupt during the first 30 days after birth. Most common location is in the mandibular region of the central incisors .
natal and neonatal teeth are associated with genetics, developmental abnormalities , it’s also called baby teeth , milk teeth, precocious dentition .
Nutrition and tooth development
nutrition has an effect on the developing tooth,essential nutrients for a healthy tooth include calcium , phosphorus , and vitamins A,C , and D.Calcium and phosphorus are needed to properly form the hydroxyapatite crystals , and their levels in blood are maintained by vitamin D .
Vitamin A is necessary for the formation of keratin , as vitamin C is for collagen.
Cont.
Flouride is incorporated into the hydroxyapatite crystal of a developing tooth and makes it more resistant to demineralization and subsequent decay.Deficiencies of these nutrients can affected on tooth development :
--dificiencies of calcium , phosphorus , and vitamin D, resulted in less mineralization of hard structures of the tooth .
Cont.
--A lack of vitamin A ,can cause a reduction in the amount of enamel formation .--- fluoride deficiency causes high demineralization when the tooth exposed to an acidic environment , and also delays remineralization.
--- an excess of fluoride during tooth development can lead to a condition called fluorosis.


















