قراءة
عرض

Stomach & duodenum

GIT


GIT




GIT




GIT




GIT


GIT



GIT


GIT


GIT




GIT

Barium meal Fluoroscopy + spot films Preparation

GIT


GIT


GIT

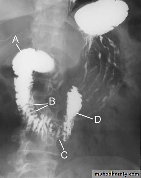
The Normal Anatomy of Stomach1- Shape.2-Size.3-Site.4-Anatomical parts.5-Mucosal pattern.

GIT



GIT




GIT


GIT

Normal Anatomy of DuodenumDuodenal cap.Duodenal loop

GIT

Hypertrophic pyloric stenosisCause:A. Congenital typeB. Adult type

GIT


GIT


GIT





GIT

Epidemiology

Pyloric stenosis is relatively common and has a male predilection (M:F ~ 4:1), and is more commonly seen in Caucasians 4. It typically occurs between the 4-8 weeks of life. There may be a positive family history. Incidence of hypertrophic pyloric stenosis is approximately 2-5 per 1,000 births per year in most white populations,
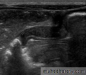
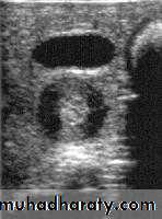
Hypertrophic pyloric stenosis refers to idiopathic thickening of gastric pyloric musculature which then results in progressive gastric outlet obstruction


GIT



In a normal situation, the pyloric muscle thickness (diame­ter of a single muscular wall on a transverse image) should normally be less than 3 mm (most accurate 3) and the length (longitudinal measurement) should not exceed 15 mm.
GIT


GIT




GIT



GIT


GIT





رفعت المحاضرة من قبل: أحمد فارس الليلة
المشاهدات: لقد قام 30 عضواً و 243 زائراً بقراءة هذه المحاضرة








تسجيل دخول

أو
عبر الحساب الاعتيادي
الرجاء كتابة البريد الالكتروني بشكل صحيح
الرجاء كتابة كلمة المرور
لست عضواً في موقع محاضراتي؟
اضغط هنا للتسجيل