skin
■ The epidermis consists of keratinocytes that undergo a terminal differentiation process called keratinization in a series of steps that form distinct epidermal strata or layers:
1- The stratum basale
2- The stratum spinosum3- The stratum granulosum
4- The stratum lucidum
5- The stratum corneum
Epidermis
• Micrograph & Diagram ( b) illustrating the sequence of the epidermal layers also indicates the normal locations of three important nonkeratinocyte cells in the epidermis: melanocytes, a Langerhans cell, and a tactile Merkel cell.
1)The stratum basale is one layer of mitotically active cuboidal cells attached by hemidesmosomes and integrins to the basement membrane and to each other by desmosomes .
2) The stratum spinosum has several layers of polyhedral cells attached to each other by desmosomes at the tips of short projections containing bundled keratin , or tonofibrils
3) The stratum granulosum is a thinner layer of keratinocytes, now flattened and filled densely with keratohyaline granules containing filaggrin and other proteins binding the tonofibrils.
5) The superficial stratum corneum protects against water loss,
friction, and microbial invasion, and consists of flattened, terminally differentiated cells, or squames , which are slowly lost.4) The stratum lucidum, found only in thick skin, consists of a thin, translucent layer of flattened eosinophilic keratinocytes
held together by desmosomes .
The interface between dermis and epidermis in thin skin is held together firmly by interlocking epidermal ridges or pegs (EP) and dermal papillae (DP). The dermis (D) of thin skin is more cellular and well vascularized than that of thick skin, with elastin and less coarse bundles of collagen. The epidermis usually shows only four layers in thin skin: the one-cell thick stratum basale (B) containing most mitotic cells; the stratum spinosum (S) where synthesis of much keratin and other proteins takes place; the stratum granulosum M(G); and the stratum corneum (C), onsisting of dead squames composed mostly of keratin. X240. H&E.
Dermis
1) Papillary layer
More superficial layer of dermis; composed of areolar connective tissue; forms dermal papillae; contains subpapillary vascular plexusB) Reticular layer
Deeper layer of dermis; dense irregularconnective tissue surrounding hair follicles, sebaceous glands and sweat glands, nerves, and deep plexus of blood vessels extending into subcutaneous layer
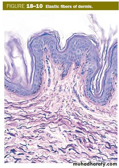
A section of thin skin stained for elastic fibers shows the extensive distribution of these darkly stained fibers among the eosinophilic collagen bundles. In the dermal papillary layer, the diameter of fibers decreases as they approach the epidermis and insert into the basement membrane. X100. Weigert
elastic stain.
No specific layers Not considered part of the integument; deep
to dermis; composed of areolar and adipose connective tissue
■ Sensory receptors in the epidermis include free nerve endings , which detect pain and temperature extremes, and basal Merkel cells , light-touch (tactile) receptors associated with sensory fibers.■ Other cutaneous sensory structures include Meissner corpuscles ,
encapsulated elliptical mechanoreceptors that surround sensory axons and also detect light touch.■ Deeper in the dermis and subcutaneous layer are lamellated or
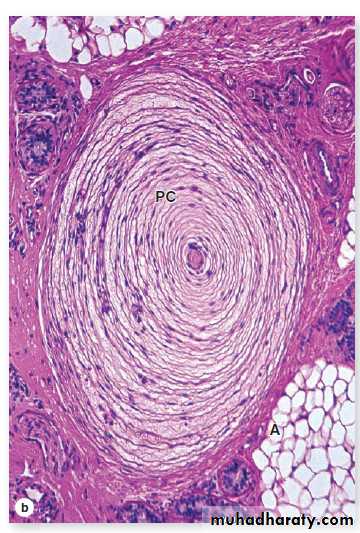
pacinian corpuscles , which are ovoid and much larger than Meissnercorpuscles, for detection of pressure or firm touch.
(a) Meissner tactile corpuscles (TC) are specialized to detect light touch and are frequently located in dermal papillae (DP), partially surrounded by epidermis (E).
They are elliptical, approximately 150 μm long, with an outer capsule (from the perineurium) and thin, stacked inner layers of modified Schwann cells, around which course nerve fibers. X400. H&E.
Lamellated (pacinian) corpuscles (PC) detect coarse touch or pressure and are large oval structures, frequently 1 mm in length, found among adipose tissue (A) deep in the reticular dermis or in the subcutaneous tissue. Here the outer connective tissue capsule surrounds 15-50 thin, concentric layers of modified Schwann cells, each separated by slightly viscous interstitial fluid. Several axons enter one end of the corpuscle and lie in the cylindrical, inner core of the structure. Movement or pressure of this corpuscle from any direction displaces the inner core, leading to a nerve impulse. X40. H&E.
Epidermal Appendages
■ Hairs■ Nails
■ Sebaceous glands
■ Hairs form in hair follicles , in which keratinocytes comprising the matrix of the deep hair bulb proliferate rapidly and undergo keratinization to form the medulla, cortex, and cuticle of a hair root .
■ A large dermal hair papilla penetrates the base of the hair bulb, and its vasculature supplies nutrients and O 2 for proliferating and differentiating cells.
■ The growing hair root is surrounded by internal and external root sheaths continuous with the epidermis, a glassy membrane formed in part by the basal lamina, and a connective tissue sheath .
All types of body hair have a similar composition and form in hair follicles derived from the epidermis but extending deep into the dermis. (a) The diagram shows major parts of a hair and its follicle, including vascularized, nutritive hair dermal papilla and the arrector pili muscle that pulls the hair erect.
(b) A longitudinal section of a hair root and bulb shows the matrix, medulla and cortex in the root and the surrounding epithelial and connective tissue sheaths. Cells of the hair bulb matrix proliferate, take up melanin granules, and undergo keratinization to differentiate as the three concentric layers of the hair. X70. H&E.
■ Nails are formed in a manner similar to hairs: keratinocytes proliferate in the matrix of the nail root and differentiate with the formation of hard keratin as a growing nail plate with edges covered by skin folds.
Nails are hard, keratinized derivatives formed in a process similar to that of the stratum corneum and hair.
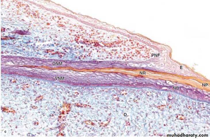
(a) Surface view of a finger shows the nail’s major parts, including the crescent shaped white area called the lunula, which derives its color from the opaque nail matrix and immature nail plate below it.
A diagrammatic sagittal section includes major internal details of the growing nail and the hyponychium where the free end of the nail plate is bound to epidermis.
(c) A sagittal section from a finger shows the proximal nail fold (PNF) and its epidermal extension, the eponychium (E) or cuticle. The nail root (NR), the most proximal region of the nail plate (NP), is formed like the hair root by a matrix of proliferating, differentiating keratinocytes. These cells make up the dorsal nail matrix (DNM) and ventral nail matrix (VNM), which contribute keratinized cells to the nail root. The mature nail plate remains attached to the nail bed (NB), which consists of basal and spinous epidermal layers over dermis (D), but is pushed forward on this bed by continuous growth in the nail matrix. X100. Mallory trichrome.
Skin includes three major types of exocrine glands. Sebaceous glands are usually part of a pilosebaceous unit with a hair follicle and secrete oily sebum into the space around the hair root. Thermoregulatory eccrine sweat glands empty their secretion onto the skin surface via sweat pores. Apocrine sweat glands secrete a more protein-rich sweat into the follicles of hair in skin of the axillae and perineum.
■ Sebaceous glands produce sebum by terminal diffrentiation of
sebocytes , the classic example of holocrine secretion , secreting thisoily substance onto hair in the follicles or pilosebaceous units
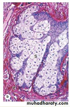
Sebaceous glands secrete a complex, oily mixture of lipids called sebum into short ducts that in most areas open into hair follicles. Sebum production is the classic example of holocrine secretion, in which the entire cell dies and contributes to the secretory product. (a) A section of a pilosebaceous unit shows acini composed of large sebocytes (S), which undergo terminal differentiation by filling with small lipid droplets and then disintegrating near the ducts (D) opening at the hair (H) shaft. X122. H&E.
b) A micrograph shows the gland’s capsule (C) and differentiates sebocytes (S) at higher magnification. Proliferation of the small progenitor cells just inside the capsule continuously forces sebum into the ducts; myoepithelial cells are not present. X400. H&E
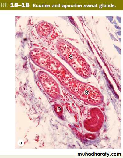
■ Eccrine sweat glands in the dermis produce sweat that is mostly water onto the skin surface, where its evaporation provides an important mechanism for cooling the body.
(a) Histologically eccrine glands have small lumens in the secretory components (S) and ducts (D), both of which have an irregular stratified cuboidal appearance. Both clear and
acidophilic cells are seen in the stratified cuboidal epithelium of the secretory units.
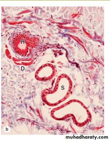
■ Apocrine sweat glands are restricted to skin of the axillae and perineum, have much wider lumens than eccrine glands, develop after puberty, and secrete protein-rich sweat onto the hair of hair follicles
(b) Apocrine sweat glands, which roduce a more protein-rich secretion with pheromonal properties, are characterized by secretory portions (S) with lumens much larger than those
of eccrine glands. Their ducts (D) open into hair follicles (H) rather than to the epidermal surface. Both X200. Mallory
trichrome


























