Uses of glass ionomer
Glass Ionomer Type I is suitable for permanent cementations of crowns, bridges veeners and others facings. It can be used as a liner under composites.
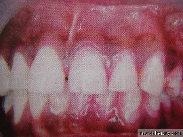
Class III
GIC restorationClass V
GIC restoration
Pits and fissures caries
Primary Teeth restorations
Bracket Bonding
LINER
BASE
core build-up
ADVANTAGES:-
Polymerisation shrinkage is less,due to reduced bulk of composite.Favorable pulpal response.
Chemical bond to the tooth.
Anticariogenic property.
Better strength,finishing,esthetics of overlying composite resin.
MODIFICATIONS
1.Water settable glass ionomer cement :-Liquid is delivered in a freeze dried form ,which is incorporated into the powder.
Liquid used is clean water.
2.Resin modified glass ionomer cement :-
Powder component consist of ion leachable fluroalumino silicate glass particles & initator for light curing.
Liquid component consist of water & poly acrylic acid with methacrylate & hydroxyl ethyl methacrylate monomer.
3.Metal modified glass ionomer cement:-
Glass ionomer have been modified by addition of filler particles ,to improve strength ,fracture toughness & resistance to wear.
Silver alloy admix / miracle mix:-
This is made by mixing of spherical silver amalgam alloy powder with glass ionomer powder.
Cerment:-
Bonding of silver particles to glass ionomer particles by fusion through high temperature sintering.
4.Compomer :-
Compomer is a composite resin that uses an ionomer glass which is the major component of glass ionomer as the filler.Small quantity of dehydrated polyalkenoic acid incorporated with filler particles,
Setting reaction is light activated.
Adhesive system used with compomer is based on acid etch found with all composite resin.
Glass Ionomer Type II is restorative self cured suitable for permanent dental filling.
Indications: Restoration of erosive / abrasive lesionsGlass Ionomer Type II
is restorative self cured suitable for permanent dental filling.Indications:• Restoration of erosive / abrasive lesions without cavity preparation.• Sealing and fillimg of occlusal pit and fissures.• Restoration of primary teeth.• Restoration of class V carious lesions.• Restoration of class III carious lesions, preferably using lingual approach.• Repair of defective margins in restorations.• Minimal Cavity preparations in a promixal lesions through buccal and occlusal apporach (tunnel preparations).• Core built up.• Provisional restorations where future veneer crowns are contemplated.• Sealing at roof surface for over dentures.Advantages:• Chemical adhesion to tooth structure allows minimal cavity preparation without the need for etching or bonding agents.• Chemical setting without shrinkage and similar thermal expansion as tooth structure offers an excellent marginal seal.• Strontium based glass provides good radiopacity facilitating post oprative diagnosis.• Low solubility for more durable and longer lasting restorations.• Long term clinical success.Storage and Shelf-life • Store the product at 15-25° C/59-77° F. Store the product in a dry place. Do not use after the expiration date. Use screw-cap jars as soon as possible.
THANK YOU
DENTAL CARIESDEFINITION
DEFINITION OF CARIESDental caries is defined as an“irreversible disease of calcified tissues of teeth, characterized by demineralization of the inorganic portion and destruction of the organic substance of the tooth, which often leads to cavitation”.
- Shafer, Hine and Levy
ETIOLOGY OF DENTAL CARIES
No universally accepted opinion of etiology.
Many theories have been proposed but only 3 have stood the test of time
1. Miller’s Chemico – parasitic theory
2. Proteolytic theory
3. Proteolysis - chelation theory
I. CHEMICO PARASITIC THEORY
W.D.Miller stated in 1887 that “Dental decay is a chemico - parasitic process consisting of two stages, the decalcification of enamel, which results in its total destruction and the decalcification of dentin as a preliminary stage followed by dissolution of the softened residue”.The acid which caused the decay was derived from fermentation of starches and sugars lodged in the retaining centers on teeth.
In his experiment he incubated a mixture of bread, meat and sugar with saliva at body temperature
It produced enough lactic acid within 48 hours to decalcify sound dentin
In his hypothesis, Miller assigned essential roles to 3 factors –
1. Carbohydrate substrate2. Acid which caused dissolution of tooth minerals
3. Oral micro organisms which produce acid and also cause proteolysis.
• OBJECTIONS TO THE HYPOTHESIS: -
• Unable to explain predilection of specific sites on tooth to caries.• Initiation of smooth surface caries not explained.
• Unable to explain why some populations are caries free and some are caries prone.
• However, this theory is accepted by majority in
• unchanged form. Also, bulk of evidence DOES
• implicate carbohydrates, acids and
• Microorganisms.
• ROLE OF CARBOHYDRATES: -
Cariogenicity of carbohydrates depend upon – frequency of its ingestion, physical form, chemical composition, route of administration and presence of other food components.Thus, carbs in detergent foods are less cariogenic than those in sticky, retentive foods.
Polysaccharides are less easily fermented than monosaccharides by the plaque organisms.
Meals high in fats, proteins or salt reduce the retentiveness of carbs.
• 2. ROLE OF MICROORGANISMS: -
••
• 3. ROLE OF ACIDS: -
•• 4. ROLE OF DENTAL PLAQUE: -
• Plaque defined as a soft, unmineralized, bacterial deposit or biofilm which forms on teeth and dental prostheses that are not adequately cleaned.• Resists cleansing by physiological oral forces like salivary washing and tongue movements but is removable by tooth brushing.
•
• Considered as a contributing factor for at least initiation of caries.
• However mere presence of dental plaque doesn’t necessarily mean caries will occur.•
• COMPOSITION OF DENTAL PLAQUE =>
• Water – 80%• Solids – 20%
• Bacterial & Salivary proteins – 50%
• Carbohydrates & Lipids - 25%
• Inorganic ions, mainly Ca++ & Po4--- - 10%
• CLASSIFICATION OF DENTAL PLAQUE =>
•
• MECHANISM OF FORMATION =>
• Plaque formation proceeds through following stages
• Deposition of a cell free layer, ACQUIRED PELLICLE which is derived from salivary glycoproteins. This layer acts as nutrient for plaque bacteria.
•
• Prepared by Dr Sundeep S Bhagwath
• 2. Colonization of pellicle by Gram positive bacteria like S.sanguis and S.mutans within 24 hours.
• 3. Maturation of plaque by further colonization with filamentous and other bacteria. Also there is build up of plaque substance by polysaccharides produced by plaque bacteria.
•
•
II. PROTEOLYTIC THEORY
In contrast to acidogenic theory, this theory postulated by Gottleib, Diamond and Applebaum states that caries is essentially a proteolytic process.According to them, the organic or protein elements like enamel lamellae, rod sheath etc are the initial pathway of invasion by microorganisms.
OBJECTIONS TO THE THEORY: -
Out of 0.56% of organic matrix, 0.18% is Keratin. However, no enzyme systems capable of attacking keratins have been isolated so far.
Studies in germ free rats have shown that caries can occur in the absence of proteolytic organisms.
However, even though proteolysis may not play any role in initiation of caries, their role in progression of more advanced carious lesions cannot be ruled out.
III. PROTEOLYSIS – CHELATION THEORY
Schatz et al in 1955 proposed that caries occurred as a result of simultaneous degradation of organic substances (Proteolysis) and dissolution of tooth minerals by a process called Chelation.Chelation is a process of complexing of a metallic ion to a complex substance through a co-ordinate covalent bond resulting in a highly stable, poorly dissociated ionized compound.
Examples are – Chlorophyll molecule in green plants where 4 pyrrole nuclei are linked to magnesium and Hemoglobin where 4 pyrrole nuclei are linked to iron.
According to this theory, the initial attack on the tooth is on the organic components of enamel.
Breakdown products of the proteolysis have chelating properties which form chelates with mineralized components of enamel and thereby decalcify the enamel even in neutral or even alkaline pH.
OBJECTIONS TO THIS THEORY: -
Direct evidence for proteolysis – chelation as a mechanism for causing caries is lacking.Recent studies have shown that saliva as well as plaque do not contain substances in sufficient concentrations to chelate calcium from enamel.
However, although chelation may not be actually responsible for initiating caries, it may still have some role to play in advanced carious lesion where the pH levels return to neutral.
MULTIFACTORIAL CONCEPT OF CARIES ETIOLOGY
Dental caries – a multifactorial disease – interplay of 3 primary factors plus time also.Mere presence of bacteria and a suitable substrate on a tooth surface at a given time is not enough to cause caries.
So, variations in caries incidence occur because of number of indirect or CONTRIBUTING FACTORS.



































