Avian Adenoviruses
Also known as: Haemorrhagic Enteritis — HE — Egg Drop Syndrome — EDS — Quail Bronchitis — QB — Pheasant Marble Spleen Disease — MSD — Inclusion Body Hepatitis — IBHIntroduction
Avian adenoviruses affect chickens, ducks, geese, turkeys and pheasants worldwide.Avian adenoviruses are easy to identify microscopically by their icosahedral shape and triangular facets of capsomeres. Many species of adenovirus can be found on one farm or even within one bird.
Avian adenoviruses are not zoonotic.
Life cycle
Most adenoviruses are serogroup 1 with the notable exceptions of Haemorrhagic Enteritis (HE) which is serogroup 2 and Egg Drop Syndrome (EDS) which is serogroup 3.The major site of replication is the gut. Excretion in the faeces is therefore the main vehicle for transmission.
Vertical transmission through the egg is important in serogroup 1 viruses but not group 2. HE virus has been isolated from infected litter.
EDS adenovirus is spread vertically, laterally from excreted virus and infected eggs and also via contaminated water.
Latency is also a feature of all, and recrudescence can occur throughout life during stress or immunosuppression.
Diseases
Incidence of adenovirus infection approaches 100% in most countries and many infections are subclinical. Most infections present as maternal immunity declines allowing viral replication to increase around 4-6 weeks of age.Specific syndromes associated with avian adenoviruses include Quail Bronchitis (QB), Egg Drop Syndrome (EDS), Haemorrhagic Enteritis (HE), Pheasant Marble Spleen Disease (MSD) and Inclusion Body Hepatitis (IBH), of which EDS and HE are among the most important avian diseases globally.
Multisystemic disease can affect the respiratory, nervous, reproductive and musculoskeletal systems.
Clinical Signs
Gastrointestinal manifestations such as HE often involve haematochezia/melaena, unusual odour to stools, mucoid faeces, diarrhoea and anorexia. Deaths, dehydration, lethargy, clotting defects and anaemia may result from this representation of avian adenovirus infection.
Reproductive disease such as EDS causes a decrease in egg production, soft, hypopigmented/pale, rough, misshapen or thin shelled eggs, decreased hatchability, flabby yolks, thin albumin and also hypoplasia/atrophy of the reproductive tract in female birds. Egg quality recovers within 3 weeks but production may not.
Avian adenoviruses can also cause general respiratory disease.
Diagnosis
Virus isolation and histopathology should be performed on the main site of replication which will vary with disease and virus species as discussed in clinical signs. Intranuclear inclusion bodies are common and suggestive but not specific to adenoviruses. The virus can be innoculated into cell cultures and easily identified by electron microscopy or staining with fluorescent antisera. Serum neutralisation can be used to determine individual species using standard antisera.Antigen can be detected using double immunodiffusion which is specific to serogroup.
EDS virus is unusual in that it haemagglutinates chicken and duck erythrocytes and this provides a diagnostic testing method: haemagglutinin inhibition.
Changes seen at necropsy vary widely with viral species. QB virus causes accumulation of haemorrhagic mucus in the respiratory tract and nasal-ocular discharge. Lung consolidation may be a feature where disease is severe. Basophilic intranuclear inclusion bodies are also common in the epithelia of the respiratory tract.
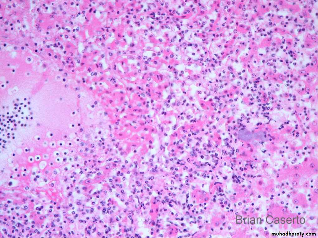
In IBH, the liver is enlarged, friable and discoloured pale yellow-brown with surface haemorrhage, histological necrosis and again, intranuclear inclusion bodies which may be eosinophilic or basophilic.
HE virus causes dark red/black discolouration of intestines which are often blood filled. Enlargement of the spleen is a feature of serogroup 2 viruses at post-mortem, with a mottled and friable appearance and congestion of the lungs and liver. The white pulp of the spleen is hyperplastic histologically and intranuclear inclusion bodies form islands within the tissue structure.
The characteristic intranuclear inclusion bodies will be seen in the reproductive tract in infections caused by serogroup 3 viruses.
Treatment and Control
There is no specific treatment for most of the adenovirus infections but HE has been successfully treated using convalescent antiserum from healthy flocks at slaughter as a vaccine.An adjuvanted vaccine is also available for EDS virus. Birds should be vaccinated between 14 and 16 weeks of age before coming into lay.
Minimising stress and optimising immunocompetence may reduce efficiency of spread of the viruses. Care should be taken not to mix faeces between groups or flocks as they often contain viral particles.







