Infectious Laryngotracheitis in Poultry
Prof.Dr. Salah M. HassanInfectious laryngotracheitis (ILT) is an acute, highly contagious, herpesvirus infection of chickens and pheasants characterized by severe dyspnea, coughing, and rales.
It can also be a subacute disease with nasal and ocular discharge, tracheitis, conjunctivitis, and mild rales.
The disease is caused by Gallid herpesvirus I, commonly known as infectious laryngotracheitis virus (ILTV).
It has been reported from most areas in which poultry are intensively reared, as well as from many other countries.
Clinical Findings:
In the acute form, gasping, coughing, rattling, and extension of the neck during inspiration are seen 5–12 days after natural exposure.Reduced productivity is a varying factor in laying flocks. Affected birds are anorectic and inactive. The mouth and beak may be bloodstained from the tracheal exudate.
Mortality varies but may reach 50% in adults and is usually due to occlusion of the trachea by hemorrhage or exudate.
Signs usually subside after ~2 wk, although some birds may show signs for longer periods.
Strains of low virulence produce little or no mortality with mild respiratory signs and a slight decrease in egg production.
After recovery, birds remain carriers for life and become a source of infection for susceptible birds.
The latent virus can be reactivated under stressful conditions.
Infection also may be spread mechanically.
Several epidemics have been traced to the transport of birds in contaminated crates, and the practice of litter spread in pastures is believed to be related to epidemics of the disease.
Diagnosis:
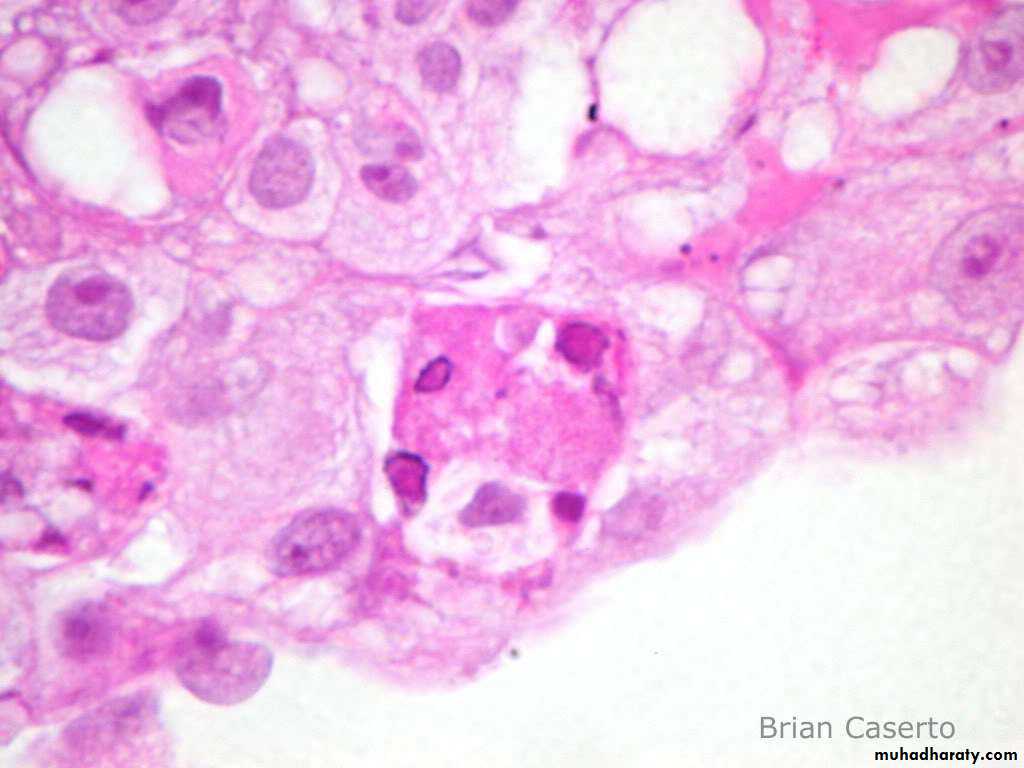
The acute disease is characterized by the presence of blood, mucus, yellow caseous exudates, or a hollow caseous cast in the trachea.Microscopically, a desquamative, necrotizing tracheitis is characteristic of acute disease.
In the subacute form, punctiform hemorrhagic areas in the trachea and larynx and mild conjunctivitis with lacrimation may be detected.
A rapid diagnosis can be achieved by detection of intranuclear inclusion bodies in the tracheal epithelium early in the course of the disease; results of the microscopic examination can be rapidly confirmed by detection of viral DNA using virus-specific PCR assays.
Isolation and identification of the virus is done in chicken embryos or tissue culture from embryo liver or kidney cells or from kidney cells from adult chickens. Chicken embryos are preferred for virus isolation.
Chorioallantoic membrane of developing chicken embryos (9–12 days old) is inoculated with the specimen.
Microscopic examination of the chorioallantoic membrane lesion shows intranuclear inclusions. On microscopic examination of the trachea, intranuclear inclusion lesions produced by ILTV infection must be differentiated from the diphtheritic form of fowlpox infection that produces intracytoplasmic inclusions.
Field isolates and vaccine strains of ILTV are routinely differentiated by PCR amplification of single or multiple ILTV genome areas, followed by sequencing of the PCR products and comparative analysis of the sequences obtained.
More recently, field isolates and vaccines strains have been differentiated more accurately by full genome sequencing analysis.
Control:
In endemic areas and on farms where a specific diagnosis is made, the disease is controlled by implementation of biosecurity measures and vaccination.Vaccination is done with live attenuated vaccines and viral vector recombinant vaccines.
Live vaccines originated from virulent isolates that were attenuated by consecutive passages in embryos or tissue culture. These are applied via eye drop or through mass vaccination by water or spray.
Viral vector recombinant vaccines in fowlpox and herpesvirus of turkeys have been designed to express ILTV immunogenic proteins and are administered to individual birds by in ovo, SC, or wing-web vaccination.







