مواضيع المحاضرة: Reactive Hyperplasias
قراءة
عرض

Reactive hyperplasias

Lymph Node




Lymph Node




Lymph Node

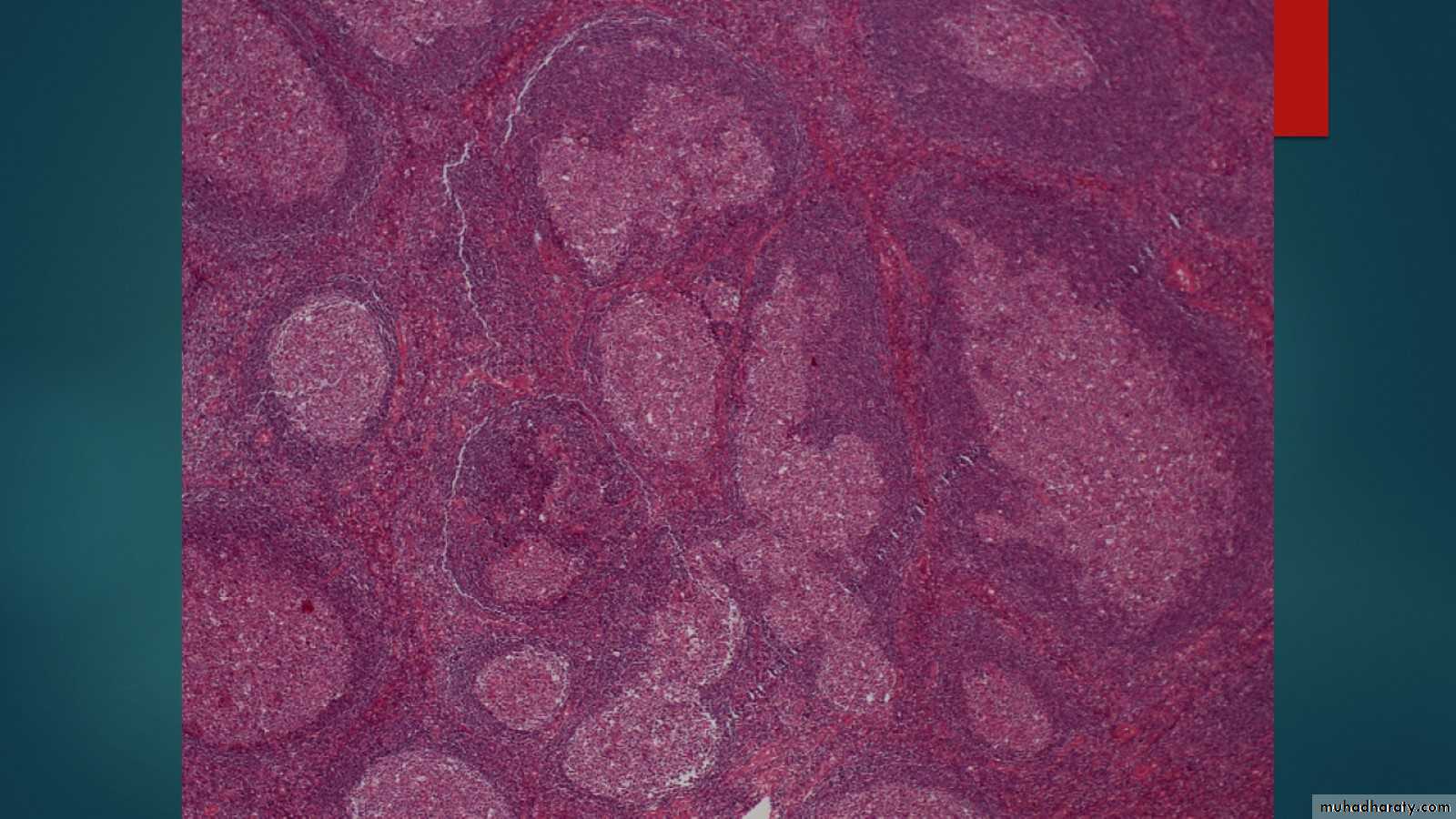
Follicular hyperplasia lymph node LP mic

Lymph Node




Lymph Node


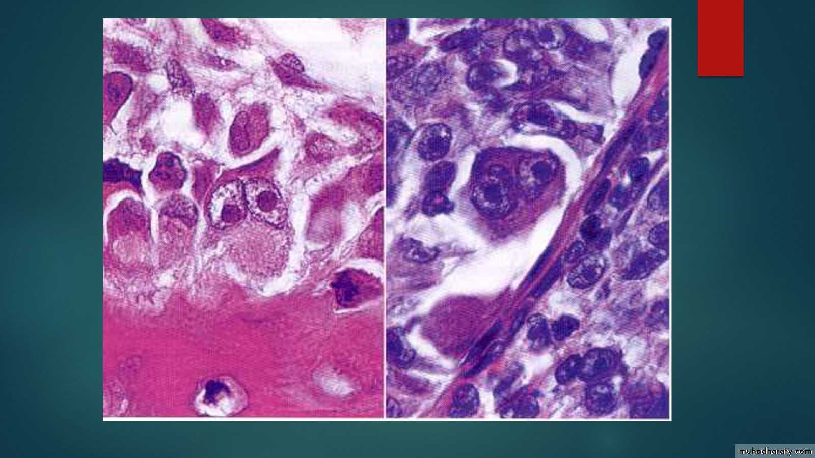
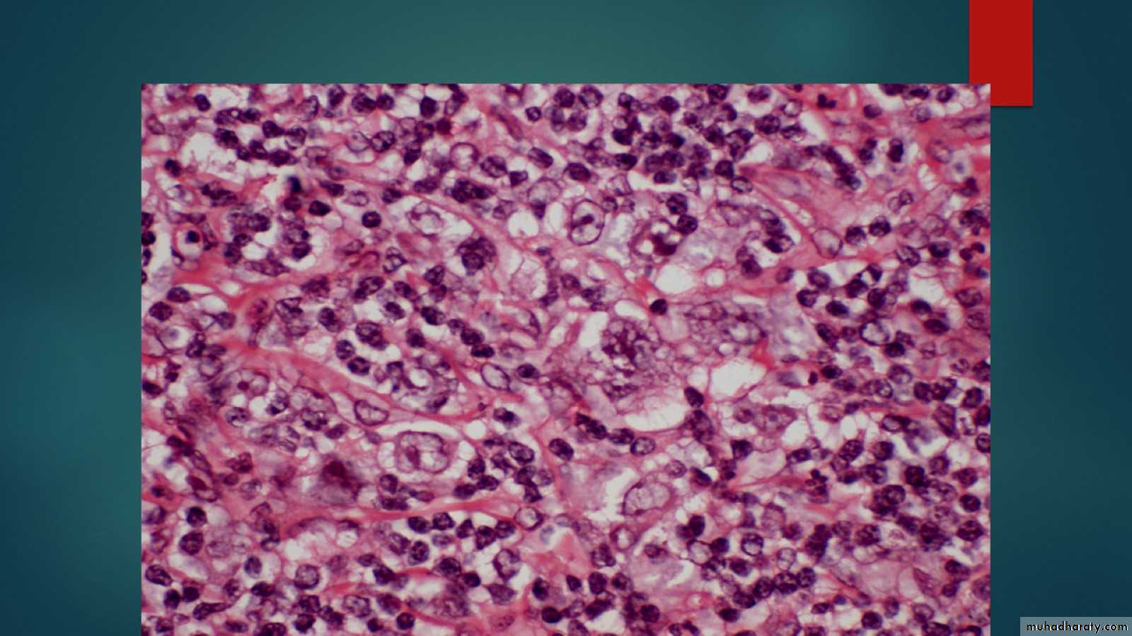
Hodgkin Lymphoma

Lymph Node

Nodular lymphocyte-predominant Hodgkin lymphoma clinical features

Lymph Node




Lymph Node




Lymph Node




Lymph Node





Lymph Node




Lymph Node

Hodgkin's Histologic subtypes

Lymph Node

Histologic subtypes 2

Lymph Node

General and clinical features

Lymph Node





Lymph Node

Patterns of spread

Lymph Node

Prognosis

Lymph Node

M. 63Y. PELVIC AND GROIN LYMPHADENOPATHY

Lymph Node

M.57Y. ISOLATED CERVICAL LYMPHADENOPATHY

Lymph Node

F. 41Y.CERVICAL LYMPHADEOPATHY AND SPLEENOMEGALY

Lymph Node





Lymph Node




Lymph Node




Lymph Node




Lymph Node




Lymph Node





Lymph Node




Lymph Node




Lymph Node





رفعت المحاضرة من قبل: Mubark Wilkins
المشاهدات: لقد قام 9 أعضاء و 174 زائراً بقراءة هذه المحاضرة








تسجيل دخول

أو
عبر الحساب الاعتيادي
الرجاء كتابة البريد الالكتروني بشكل صحيح
الرجاء كتابة كلمة المرور
لست عضواً في موقع محاضراتي؟
اضغط هنا للتسجيل