Human Respiratory System
TracheaBronchi
Bronchioles
Alveoli
The Respiratory System
.
Nasal Cavity – Where air enters the body
Mouth – Where air enters the bodyPharynx
Larynx – Voice Box
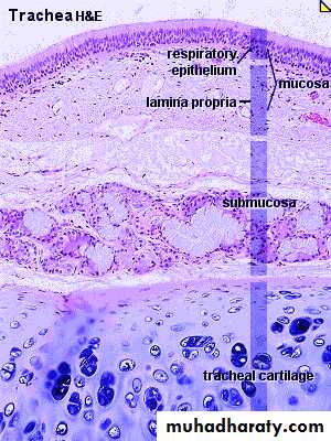
CS in Trachea
CS in Trachea
• Trachea
• Mucosa• Sub mucosa
• Cartilage &muscle layer
• Adventitia
•
• Trachea
• Mucosa• Respiratory Epithelium
• -Pseudo stratified ciliated columnar.
• Cells-Ciliated columnar cells
• - Goblet cells
• - Basal cells
• Lamina propria - Elastic fibre, Lymphocyte, Mast cells, Blood vessels
•
• Trachea
• Sub mucosa-• Loose connective tissue
• Tracheal glands-Mixed (serous &mucus) glands
• Blood vessels.
• Cartilage &smooth muscle layer-
• ”C” Shaped hyaline cartilage having perichondrium and chondrocytes
• Ends of cartilage connected by smooth muscles
• Adventitia-fibro elastic tissue
The Trachea
Figure 21.7a, bCS in Trachea
CS in Tracahea
CS in Trachea
LS in Trachea
Bronchi
Mucosa: respiratory epithelium as seen in tracheaSmooth muscle band between submucosa and mucosa
Submucosa: seromucous glands
Hyaline cartilage.
Adventitia.
• Innervated by the sympathetic and parasympathetic systems
.
Bronchioles
Mucosa: lined by respiratory epithelium with Clara cells replacing goblet cellsEpithelium gradually become mostly clara cells with cuboidal rather than ciliated epithelium as the terminal bronchioles.
Clara cells( bronchiolar cells) surfactant secretion
Smooth muscle layer
No cartilage
Adventitia
.
Type I
Type II.
•
• Trachea• Bronchi
• Bronchiole
• Epithelium
• Pseudostratified
• Pseudostratified
• Cuboidal
• Goblet cells
• +++
• ++
• Absent
• Clara cells
• Absent
• Absent
• +
• Mucous glands
• +++
• ++
• Absent
• Cartilage
• +++
• ++
• Absent
• Alveoli
• Absent
• Absent
• +
























