The Respiratory System Lecture 13th (12th-16th March 2017)
The respiratory is a biological system consisting of specific organs and structures used for the process of respiration. It is involved in the intake and exchange of oxygen (O2) and carbon dioxide (CO2) between body and the environment. Respiration, takes place in the respiratory organs called lungs. The passage of air into the lungs to supply the body with O2 is known as inhalation, and the passage of air out of the lungs to expel carbon dioxide (CO2) is known as exhalation; this process is collectively called breathing or ventilation. The anatomical features of the respiratory system include: (1). trachea; (2). bronchi; (3). bronchioles; (4). lungs, and (5). diaphragm. Molecules of O2 and CO2 are passively exchanged, by diffusion, between the gaseous external environment and the blood. This exchange process occurs in the alveoli (air sacs) in the lung via the process of osmosis.(Fig. 1): Anatomy of the respiratory system
The conducting portion is made up of: (1). nasal cavities; (2). Nasopharynx; (3). Larynx; (4). Trachea; (5). bronchii and (6). bronchioles. The trachea branches to give rise to two primary (main) bronchii. These then branch successively to give rise, in turn, to secondary and tertiary bronchii. These then branch to give rise to several orders of progressively smaller airways called bronchioles, the smallest of which are called terminal bronchioles. These are the last components of the conducting portion of the respiratory system. Terminal bronchioles give rise to respiratory bronchioles, which ultimately lead to the alveoli.The respiratory tract is divided into the upper airways and lower airways. The Upper respiratory tract can refer to the parts of the respiratory system lying above the sternal angle (outside of the thorax), above the vocal folds, or above the cricoid cartilage. The larynx is sometimes included in both the upper and lower airways. The larynx is also called the voice box and has the associated cartilage that produces sound. The tract consists of the nasal cavity and paranasal sinuses, the pharynx (nasopharynx, oropharynx and laryngopharynx) and sometimes includes the larynx. The lower respiratory tract is derived from the developing foregut and consists of the trachea, bronchi (primary, secondary and tertiary), bronchioles (including terminal and respiratory), and lungs (including alveoli) [Fig. 2a & 2b]. It also sometimes includes the larynx. The lungs can be included in the lower respiratory tract or as separate entity and include the respiratory bronchioles, alveolar ducts, alveolar sacs, and alveoli. The respiratory tract can also be divided into a conducting zone and a respiratory zone, based on the distinction of transporting gases versus exchanging them. From the bronchi, the dividing tubes become progressively smaller with an estimated 20 to 23 divisions before ending at an alveolus.
(Fig. 2a & 2b): (a). The Anatomy of upper and lower respiratory tract; (b). Parts of conducting portions (respiratory tree) of the respiratory system.
(Fig. 3a & 3b): The respiratory tree: (1). Trachea; (2). Mainstem bronchus; (3). Lobar bronchus; (4). Segmental bronchus; (5). Bronchiole; (6). Alveolar duct and (7). Alveolus
Trachea:
The trachea is a wide flexible tube, the lumen of which is kept open by 20 tracheal cartilages, which are C-shaped rings of hyaline cartilage. The gaps between the rings of cartilage are filled by the trachealis muscle - a bundle of smooth muscle, and fibroelastic tissue (Figs. 1 and 3). Together these hold the lumen of the trachea open, but allow flexibility during inspiration and expiration. The respiratory mucosa and submucosa are adapted to warm and moisten the air, and to trap particles in mucous.The trachea is the largest tube in the respiratory tract and consists of tracheal rings of hyaline cartilage. It branches off into two bronchial tubes, a left and a right main or primary bronchus. The bronchi branch off into smaller sections inside the lungs, called bronchioles. These bronchioles give rise to the air sacs in the lungs called the alveoli. The respiratory tree or trachea-bronchial tree is a term also used to refer to the branching structure of airways supplying air to the lungs and includes the trachea, bronchi and bronchioles. In the tertiary bronchii, there is less cartilage, and it does not completely encircle the lumen, as shown diagramatically above [Fig. 5]. Notice also how the mucosa is folded, and think about how this might change as you breathe in and out.
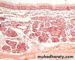
Mucosa and sub-mucosa of Trachea:
The respiratory mucosa is made up of the epithelium and supporting lamina propria) (Fig. 4a & 4b). The epithelium is tall columnar pseudostratified with cilia and goblet cells. The supporting lamina propria underneath the epithelium contains elastin, that plays a role in the elastic recoil of the trachea during inspiration and expiration, together with blood vessels that warm the air.
The sub-mucosa contains glands which are mixed sero-mucous glands. The watery secretions from the serous glands humidify the inspired air. The mucous, together with mucous from the goblet cells traps particles from the air which are transported upwards towards the pharynx by the cilia on the epithlium. This helps to keep the lungs free of particles and bacteria.
(Fig -4 a&b): (a). A cross section through the trachea, showing the major layers. (b). A higher power image of the trachea showing the glands and epithelium in more detail. Note the numerous sero-mucous glands in the submucosa layer. The layer of cartilage is not seen here, but instead there is a layer of fibro-elastic Co.T. which runs between the rings of cartilage.
(Fig-5 a&b): (a). A CS of a tertiary bronchus. Compare this picture with that of the trachea: Can you identify the circular layer of smooth muscle, and the cartilage, and some glands in the submucosa? The smooth muscle is used to control the diameter and length of the bronchii which contracts during expiration to help expel the air. There is also lots of elastin present in the submucosa, as in the trachea. The epithelium is now tall columnar, not pseudostratified (difficult to see at this magnification) and has very few goblet cells.
The tertiary bronchii branch into bronchioles, which have a diameter of 1mm or less, and the wall structure changes. The epithelium is made up of ciliated columnar cells in larger bronchioles, or non-ciliated in smaller bronchioles (difficult to see at this magnification). There are no goblet cells, but there are cells called Clara cells. These cells are secretory - they secrete one of the components of surfactant.
Bronchioles:
Bronchial anatomy:A typical pair of human lungs contain about 700 million alveoli, producing 70-75 m2 of surface area. Each alveolus is wrapped in a fine mesh of capillaries covering about 70% of its area. An adult alveolus has an average diameter of 200 micrometres, with an increase in diameter during inhalation.
(Fig -6 a&b): (a). A CS of a bronchiole where there is neither cartilage nor glands. Can you identify the ring of smooth muscle, which is arranged in discrete bundles with a variety of organizations.
Terminal Bronchiole:
The final branches of the bronchioles are called terminal bronchioles. These have a layer smooth muscle surrounding their lumens [Fig.6a & 6b]. Stimulation of the vagus nerve (parasympathetic) causes the smooth muscle to contract, and reduce the diameter of the terminal bronchioles.Small sacs are found extending from the walls of the terminal bronchii called respiratory bronchioles (R), that are lined by a ciliated cuboidal epithelium, and some non-ciliated cells called clara cells (Fig. 7).
Asthma: because the diameter of the bronchioles is reliant on smooth muscle tone, these airways can almost completely shut if the smooth muscles contract strongly, which can happen in an asthmatic attack.
The lungs:The lungs are the largest organs in the lower respiratory tract. They are suspended within the pleural cavity of the thorax. The pleurae are two thin membranes, one cell layer thick, which surround the lungs. The inner (visceral pleura) covers the lungs and the outer (parietal pleura) lines the inner surface of the chest wall. This membrane secretes a small amount of fluid, allowing the lungs to move freely within the pleural cavity while expanding and contracting during breathing. The lungs are divided into different lobes. The right lung is larger in size than the left, because of the heart's being situated to the left of the midline. The right lung has three lobes i.e. upper, middle, and lower (or superior, middle and inferior), and the left lung has two i.e. upper and lower (or superior and inferior), plus a small tongue-shaped portion of the upper lobe known as the lingula. Each lobe is further divided up into segments called bronchopulmonary segments. Each lung has a costal surface, which is adjacent to the ribcage; a diaphragmatic surface, which faces downward toward the diaphragm; and a mediastinal surface, which faces toward the center of the chest, and lies against the heart, great vessels, and the carina where the two mainstem bronchi branch off from the base of the trachea.
The lungs are made up of 13 different kinds of cells, 11 types of epithelial cell and 2 types of mesenchymal cell. The epithelial cells form the lining of the tracheal, and bronchial tubes, while the mesenchymal cells line the lungs. The respiratory tract is covered in epithelium, which varies down the tract. There are glands and mucus produced by goblet cells in parts, as well as smooth muscle, elastin or cartilage.
(Fig. 7a&b): A terminal bronchiole (TB) at a lower magnification than the three pictures above. This is the last part of the conducting portion of the respiratory system, and has the smallest diameter of all (less than 1mm). There is no cartilage, or glands, some smooth muscle is still present, there are no goblet cells. The epithelium is either columnar or cuboidal.
Alveolus (little cavity):
Alveolus is a hollow cavity found in the lung parenchyma, and is the basic unit of respiration. Lung alveoli are the ends of the respiratory tree, branching from either alveolar sacs or alveolar ducts, which like alveoli are both sites of gas exchange with the blood as well. Alveoli are particular to mammalian lungs. Different structures are involved in gas exchange in other vertebrates. The alveolar membrane is the gas-exchange surface. Carbon dioxide rich blood is pumped from the rest of the body into the alveolar blood vessels where, through diffusion, it releases its carbon dioxide and absorbs oxygen. The alveoli are located in the respiratory zone of the lungs, at the ends of the alveolar ducts and alveolar sac, representing the smallest units in the respiratory tract. The alveoli are tiny air sacs in the lungs where gas exchange takes place. There are “about 150 million per lung”. When the diaphragm contracts, a negative pressure is generated in the thorax and air rushes in to fill the cavity. When that happens, these sacs fill with air, making the lung expand. The alveoli are rich with capillaries, called alveolor capillaries (Fig 7b). Here the red blood cells absorb oxygen from the air and then carry it back in the form of oxyhaemaglobin, to nourish the cells. The red blood cells also carry carbon dioxide (CO2) away from the cells in the form of carboxy-hemoglobin and releases it into the alveoli through the alveolor capillaries. When the diaphragm relaxes, a positive pressure is generated in the thorax and air rushes out of the alveoli expelling the carbon dioxide (CO2).
The alveoli consist of an epithelial layer and an extracellular matrix surrounded by small blood vessels called capillaries. In some alveolar walls there are pores between alveoli called Pores of Kohn. The alveoli contain some collagen and elastic fibres. The elastic fibres allow the alveoli to stretch as they are filled with air during inhalation. They then spring back during exhalation in order to expel the carbon dioxide-rich air. Alveolar cells, or pneumocytes, are cells lining the alveoli of the lungs. Two types of alveolar cell exist: type I alveolar cells and type II alveolar cells.
(Fig. 8a&b): A 3D and A histologic slide of a human alveolar sac
There are three major types of cell in the alveolar wall–two types of alveolar cell and a phagocyte.Type I cells (pneumocyte-I) are thin and flat and form the structure of the alveoli
Type II (pneumocyte-II) cells secrete surfactant to lower the surface tension of water and allows the membrane to separate, therefore increasing its capability to exchange gases. Surfactant is continuously released by exocytosis. It forms an underlying aqueous protein-containing hypophase and an overlying phospholipid film composed primarily of dipalmitoyl phosphatidylcholine.
The phagocytes are macrophages, that destroy foreign material, such as bacteria.
The surfactant is produced by great alveolar cells (granular pneumonocytes, a cuboidal epithelia), which are the most numerous cells in the alveoli, yet do not cover as much surface area as the squamous alveolar cells (a squamous epithelium).
(Fig.9): An alveoli with alveolar cells and surrounding capillaries
(Fig.10): Schematic diagrams of alveolar wall and cells.
Important notes:Most of the epithelium (from the nose to the bronchi) is covered in ciliated pseudo-stratified columnar epithelium, commonly called respiratory epithelium. The cilia beat in one direction, moving mucus towards the throat where it is swallowed. Moving down the bronchioles, the cells get more cuboidal in shape but are still ciliated.
Cartilage is present until the small bronchi. In the trachea they are C-shaped rings of hyaline cartilage, whereas in the bronchi the cartilage takes the form of interspersed plates.
Glands are abundant in the upper respiratory tract, but there are fewer lower down and they are absent starting at the bronchioles. The same goes for goblet cells, although there are scattered ones in the first bronchioles.
Smooth muscle starts in the trachea, where it joins the C-shaped rings of cartilage. It continues down the bronchi and bronchioles, which it completely encircles. Instead of hard cartilage, the bronchi and bronchioles are composed of elastic tissue.
Most of the respiratory tract exists merely as a piping system for air to travel in the lungs, and alveoli are the only part of the lung that exchanges O2 and CO2 with the blood.
When a human being inhales, air travels down the trachea, through the bronchial tubes, and into the lungs. The entire tract is protected by the rib cage, spinal cord, and sternum bone. In the lungs, oxygen from the inhaled air is transferred into the blood and circulated throughout the body. CO2 is transferred from returning blood back into gaseous form in the lungs and exhaled through the lower respiratory tract and then the upper, to complete the process of breathing. The diaphragm is the primary muscle that allows for lung expansion and contraction. Smaller muscles between the ribs (costal muscles) assist with this process.
Defences against infection:
The human trachea has a membrane lining that produces a layer of mucus that helps filter waste that an organism breathes in through the air. There is also a small lining of tiny hairs in our lungs called cilia. These tiny hairs act as a filter in our lungs and control the amount of mucus that enters our lungs. The reason why we cough is because the cilia push up the mucus, so not too much enters our lungs. If these hairs are not functioning properly, an organism is at risk of a lower respiratory tract infection.
The cilia of the respiratory epithelium beat in concert cranially, effectively moving secreted mucus containing trapped foreign particles toward the laryngopharynx, for either expectoration or swallowing to the stomach where the acidic pH helps to neutralize foreign material and micro-organisms. This system is collectively known as the mucociliary escalator and serves two functions: to keep the lower respiratory tract sterile, and to prevent mucus accumulation in the lungs.
The mucocilliary escalator is vital for the movement of mucus up the respiratory tract to the pharynx. The mucus layer is biphasic with a serous, sol layer in which the cilia beat and, above this, a viscoelastic or gel layer. Due to the viscous properties of this upper mucous layer, the tips of the cilia catch in the layer, which may contain particulate matter, and drag it cranially toward the laryngopharynx.
Upper respiratory tract infections (URI or URTI):
They are illnesses caused by an acute infection which involves the upper respiratory tract including the nose, sinuses, pharynx or larynx. This commonly includes (1). nasal obstruction; (2). sore throat; (3).tonsillitis; (4). pharyngitis; (5). laryngitis; (6). sinusitis; (7). otitis media and (8). the common cold. Most infections are viral in nature and in other instances the cause is bacterial. Upper respiratory tract infections can also be fungal or helminth in origin, but these are rare.
Lower respiratory tract infections (LRTI):
Our respiratory system is very prone to developing infections in the lungs. Infants and older adults are more likely to develop infections in their lungs, because their lungs are not as strong in fighting off these infections. Most of these infections used to be fatal, but with new research and medicine, they are now treatable. With bacterial infections, antibiotics are prescribed, while viral infections are harder to treat, but still curable.
Lung cancer:
Some of these infections have environmental factors such as smoking. When you inhale a tobacco product, the smoke paralyzes the cilia, causing mucus to enter the lungs. If you smoke frequently, over time these cilia hairs die, and can no longer filter mucus. Tar from the smoke inhaled enters your lungs, turning the pink-coloured lungs black. The accumulation of this tar could eventually lead to lung cancer, emphysema or chronic obstructive pulmonary disease.
Emphysema:
This is a common lower respiratory disease that can be caused by exposure to harmful chemicals, or prolonged use of tobacco. This disease is chronic and progressive, the damage to your lungs is irreversible and eventually fatal. This disease destroys the alveoli, and lung tissue. Damage to these air sacs, and tissue makes breathing very difficult, causing shortness in breath, hyperventilation, and raised chest. The decreased amount of alveoli causes loss of oxygen (O2) to the lungs, and more accumulation of carbon monoxide (CO). There are two types of emphysema: (1). Primary emphysema can be found in younger adults. This type of emphysema deteriorates the air sacs, and lung mass. (2). Secondary emphysema can be found in older adults who smoke/have smoked and have a history of chronic bronchitis.
Pneumonia:
The common cold/flu is the most common cause for the upper respiratory tract infection, which can cause more serious illness that can develop in the lower respiratory tract. Pneumonia is the most common, and frequent lower respiratory tract infection. This can be either viral, bacterial, or fungal. This infection is very common, because pneumonia can be airborne, and when you inhale this infection in the air, the particles enter the lungs and move into the air sacs. This infection quickly develops in the lower part of the lung, and fills the lung with fluid, and excess mucus. This causes difficulty in breathing, and coughing as the lower respiratory tract tries to get rid of the fluid in the lungs. An individual can be more prone to developing this infection if you have asthma, flu, heart disease, or cancer.
Bronchitis:
It is an inflammation of the bronchial tubes. There are two forms of this infection: (1). acute bronchitis, which is treatable and can go away without treatment, or (2). chronic bronchitis, which comes and goes, but will always affect one's lungs. Bronchitis increases the amount of mucus that is natural in your respiratory tract. Chronic bronchitis is common in smokers, because the tar from smoking accumulates over time, causing the lungs to work harder to repair themselves.Tuberculosis:
Anybody can contract this infection from airborne droplets, and if inhaled you are at risk of this disease. This is a bacterial infection which deteriorates the lung tissue resulting in coughing up blood. This infection is deadly if not treated.
Asthma:
Our bronchial tubes are the main passages to our right and left lungs. These tubes carry O2 to the bronchioles inside the lungs. If these tubes swell up, this is the result of asthma which could lead to an asthma attack. This results in wheezing, tightness of the chest and severe difficulty in breathing. There are different types of asthma that affect the functions of the bronchial tubes. Allergies can also set off an allergic reaction, causing swelling to the bronchial tubes; as a result, the air passage will swell up, or close up completely.


















