Male ReproductiveSystem
Testes :
In each testis approximately each of 250 lobules contains one or more very long, convoluted seminiferous tubules in a sparse, vascular stroma containing testosterone-producing interstitial cells ( of Leydig ).The male reproductive system consists of the :
1- Testes
2- Genital ducts
3- accessory glands,
4-penis
■ Stem cells called spermatogonia undergo mitosis and give rise to primary spermatocytes , which undergo a first meiotic division to form haploid secondary spermatocytes .
■ After a very short interval, secondary spermatocytes undergo the second meiotic division to produce small, round spermatids , which differentiate while still associated with Sertoli cells.
■ A spermatid undergoes spermiogenesis by greatly condensing its nucleus , forming a long flagellum with a surrounding mitochondrial middle piece , and forming a perinuclear acrosomal cap .
Seminiferous tubules consist of spermatogenic epithelium containing columnar Sertoli cells , each of which supports and nourishes many germ cells embedded at its surface.
Sertoli cells also produce androgen-binding protein , which concentrates testosterone, phagocytose shed debris from differentiating spermatids, and secrete fluid that carries sperm along the tubules
The testes are oval organs, each about 4 to 5 cm long, within the scrotum. The outer part of each testis consists of a thick connective tissue capsule. Extensions of the capsule project into the interior of the testis and divide each testis into about 250 cone-shaped lobules. The lobules contain seminiferous tubules, in which sperm cells develop. Delicate connective tissue surrounding the tubules contains clusters of endocrine cells called interstitial cells or cells of Leydig, which secrete testosterone.
Seminiferous tubule cross section shows spermatogonia (SG) near the periphery, near nuclei of Sertoli cells (SC), primary spermatocytes (PS), and late spermatids (LS) near the lumen, with interstitial cells (IC) in the surrounding connective tissue. X400. H&E.
In these cross sections of seminiferous tubules, most of their cell types can be seen. Outside the tubules are myoid cells (M) and fibroblasts (F). Inside near the basement membrane are many prominent spermatogonia (SG), small cells that divide mitotically but give rise to a population that enters meiosis. The primary spermatocytes (PS) remain for 3 weeks in prophase of the first meiotic division during which recombination occurs. Primary spermatocytes are the largest spermatogenic cells and are usually abundant at all levels between the basement membrane and the lumen. Each divides to form two secondary spermatocytes, which are rarely seen because they undergo the second meiotic division almost immediately to form two haploid spermatids. Newly formed round, early spermatids (ES) differentiate and lose volume in becoming late spermatids (LS) and finally highly specialized sperm cells. All stages of spermatogenesis and spermiogenesis occur with the cells intimately associated with the surfaces of adjacent Sertoli cells (SC) that perform several supportive functions. Both X750. H&E.
(a) Seminiferous tubules are surrounded by connective tissue containing many large interstitial cells (IC) that secrete androgens.
The tubule wall is a unique epithelium composed of columnar Sertoli cells (SC), with oval or pyramidal nuclei and distinct nucleoli, and dividing spermatogenic stem cells with round nuclei (arrow). Also numerous are flattened peritubular myoid cells (M) whose contractions help move fluid in the tubules. X400. H&E.
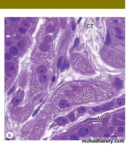
(b) A plastic section shows lipid droplets filling the cytoplasm of the clumped interstitial cells (IC), or Leydig cells, in the connective tissue (CT) between tubules. Such cytoplasm is typical of steroid-secreting endocrine cells. The epithelium of a nearby seminiferous tubule is immediately surrounded by myoid cells (M). X400. PT.
■ From the seminiferous tubules, sperm enter the short straight tubules
that lead to channels of the rete testis in the mediastinum testis, thenmove via 15 or 20 efferent ductules where fluid is absorbed.
a) Rete testis (R) channels have simple cuboidal epithelium and are usually embedded in dense connective tissue.
X350. Mallory trichrome.
The dense capsule of the testis, the tunica albuginea, thickens on the posterior side as the mediastinum (M) testis, from which many thin septa (S) subdivide the organ into about 250 lobules. Each lobule contains one to four convoluted seminiferous tubules (ST) in a sparse connective tissue interstitium. Each tubule is a loop attached by means of a short straight tubule to the rete testis (RT), a maze of channels embedded in the mediastinum testis. From the rete testis the sperm move into the epididymis. X60. H&E.
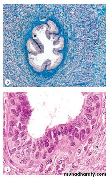
(b) The efferent ductules (E) that drain the rete testis have a lining with a characteristic scalloped appearance in section, consisting of patches of simple cuboidal cells with water-absorbing microvilli alternating with patches of taller cells with cilia (arrows). X350. H&E.
■ From efferent ductules sperm move into and through epididymal ducts in the head, body, and tail of epididymis , also located in the scrotum, for their final maturation and short storage prior to ejaculation.
The epididymis is lined by pseudostratified columnar epithelium containing principal cells that have long stereocilia; along its length the number of surrounding smooth muscle layers increases
Excretory Genital Ducts
1-Epididymis
(a) The long, coiled duct of the epididymis (DE), where sperm undergo maturation and short-term storage, is enclosed by connective tissue with many blood vessels (V) and covered by a capsule and the tunica vaginalis (TV). The duct is lined by a pseudostratified columnar epithelium with long stereocilia (arrows). X140. H&E.
(b) The columnar epithelium of the epididymal duct is surrounded by a thin circular layer of smooth muscle (SM) cells and its lumen contains sperm (S). The smooth muscle becomes thicker and a longitudinal layer develops in the body and tail of the epididymis. X400. H&E.
(c) The inset photo shows the epithelium with tall principal cells (P) with stereocilia and fewer small basal stem cells (B).
Intraepithelial lymphocytes are also commonly seen in the epididymal duct. X500. H&E.
(a) A cross section of the vas deferens shows the mucosa (M), a thick muscularis with inner and outer layers of longitudinal smooth muscle (L-SM) and an intervening layer of circular smooth muscle (C-SM), and an external adventitia (A). The muscularis is specialized for powerful peristaltic movement of sperm at ejaculation. X60. H&E.
b) The lamina propria (LP) is rich in elastic fibers and the thick epithelial lining (E) shows longitudinal folds. X150. Mallory trichrome.















