Pathology of male reproductive system
PROSTATEProstatitis: inflammation of the prostate may be acute or chronic, manifested by dysuria, urinary frequency, and lower back pain. The diagnosis is depended on clinical feature, microscopic exam and culture of urine specimen that is obtained before and after prostatic massage.
Acute prostatitis: - most commonly associated with LUTI such urethrocysitis caused by E. coli and other G-ve organisms. These organisms may reach the prostate by either direct extension or by vascular channels from more distant sites.
Microscopically characterized by acute neutrophilic infiltration with stromal congestion and edema in severe infection there is destruction of the glandular epithelium with microabscesss formation.
Grossly: visible abscesses uncommon but they may develop in extensive tissue destruction as in patient with DM.
Chronic prostatitis: Chronic bacterial prostatitis follows recurrent episodes of acute prostatitis. Chronic a bacterial prostatitis: there is an increase number of leukocytes in prostatic secretion but negative finding on bacteriological culture. It caused by the nonbacterial agents such as Chlamydia trachomatis.
Microscopically: in addition to the acute inflammatory changes there is lymphoid infiltration with more glandular tissue destruction and fibroblast proliferation.
Chronic granulomatous prostatitis: associated with systemic inflammatory processes such disseminates Tb, fungal infection, sarcoidosis, Wegener granulomatosis.
Prostatitis
Acute bacterialAscending
E. coli
Chronic bacterial
Low back pain
Dysuria
Suprapubic pain
‘Abacterial’
Chlamydia
Benign prostatic hyperplasia (BPH):-
Prostatic parenchyma consists of glandular and stromal elements and it’s divided into specific regions which are the peripheral, central, transitional, periurethral zones. Most hyperplastic lesions arise in the inner transitional and central zones while most carcinomas (70-80%) arise in the peripheral zones.Prostatic Disease
Nodular hyperplasia of the prostate characterized by proliferation of both epithelial and stromal elements with enlargement of the gland and urinary obstruction may occur. The patient manifested by hesitancy (difficulty in starting the stream of urine) with intermittent interruption of urine stream while voiding and some times complete urinary obstruction may occur with bladder distension and hydronephrosis. BPH developed in significant number of men by the age 40 and the frequency rises progressively with age reaching 90% by the eighth decade.
Benign Prostatic Hyperplasia
Very commonAndrogen mediated growth (DHT).
Central zone proliferates
Stroma &
Glands
Minimal if any increased cancer risk
Benign Prostatic Hyperplasia
Nodular growth patternSome chronic inflammation
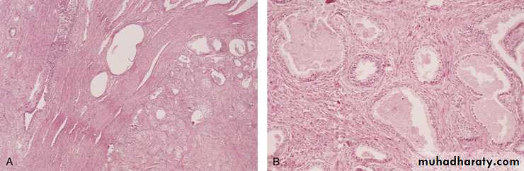
Glands always have a double layer of epithelium
Columnar &
Reserve layer
Benign Prostatic Hyperplasia
The cause of the BPH remains incompletely understood but they found that androgens and estrogens play a synergistic role in its development
Because the androgen play an important role in the pathogenesis of this disease; an intact testis is necessary for the development of nodular hyperplasia and that’s why nodular hyperplasia dose not occur in castrated males. Dihydrotestosterone (DHT) is an androgen derived from the testosterone through the action 5α-reductase but its metabolite 3α-androstanediol appear to be a major hormonal stimulus for proliferation of both epithelial and stromal elements in patient with BPH, and that’s why 5α-reductase inhibitors used in treatment of symptomatic cases.
Paradoxically
BPH is manifested in old age men when the level of the testosterone is either stable or declined.They also found that; the administration of testosterone dose not exacerbated the preexisting nodular hyperplasia.
From these observations they suggest that there is an other factor that playing a role in the pathogenesis of the disease rather than androgens and they found that the age related increases in the estrogen levels may increase the expression of DHT receptors on the prostatic parenchymal cells and so enhancing the effect of the DHT.
Pathology: -
nodular hyperplasia arises most commonly in the inner (central and transitional) region.
The affected prostate is enlarged and the developing nodules compress the centrally located urethral lumen and the normal peripheral prostatic tissue which converted to an attenuated rim of tissue beneath the prostatic capsule.
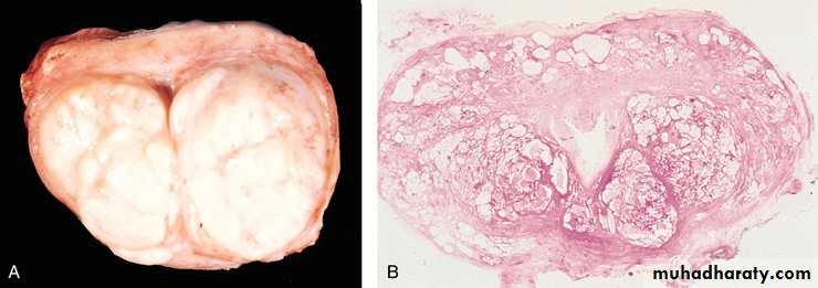
The cut surface contains multiple well circumscribed nodules which bulge from the cut surface. The nodules may have a solid appearance or may contain cystic spaces due to focal hemorrhage and infarction.
Microscopically:
the hyperplastic nodules composed of varying proportions of proliferating glandular elements and fibromuscular stroma.The hyperplastic glands are lined by tall columnar epithelium based on flattened basal cells; papillary projections in some glands due to crowding of the proliferating epithelium.
The glandular lumen often contains inspissated, protienaceous secretory material termed corpora amylacea.
The glands are surrounded by proliferating stromal elements (stroma is always present between the hyperplastic glands in contrast to carcinoma).





