Dental Implant
Dental Implant• History
• Definition
• Advantages & disadvantages
• Classifications
• Materials used for dental implant.
• Osseointegration
• Biomechanics of osseointegrated implant.
History
1809 Maggiolo - Gold roots which were fixed with adjacent teeth bymeans of spring
1887 Platinum post coated with lead
1895 Gold or iridium tubes were implanted – Bonewell1905 Porcelain corrugated root implant
1913 Hollow basket implant meshwork or iridium , platinum , gold
- Greenfield1948 Insertion of first viable subperiosteal implant – Goldberg
1952 Threaded implant design of pure titaniumEndosteal implants - Branemark
Definition
Dental Implant:A prosthetic device or alloplastic material that is surgically inserted into soft or hard tissues, to be used for functional or cosmetic purposes.
Dental implants
Advantages of implant over conventional treatment
• Better maintenance of residual bone.• Better improvement of occlusion, occlusal vertical dimension, phonetics and facial esthetics.
• Improve / regain oral proprioception
• Increase prosthesis success
• Maintains muscle of mastication and facial expression
• Reduce size of prosthesis
• Improve stability and retention of removable prosthesis
• More permanent replacement
• More psychological health
• In cases of partial missing, adjacent teeth do not require splinted restoration, therefore this decreases adjacent tooth loss and maintains bone in site.
Disadvantages of implant treatment
• Expensive.• The patient requires surgery.
• Time consuming.
• Technically complex.
Classifications ofDental implants
I) Depending on the placement within the tissues
• Epithelial / mucosal implants
• Epiosteal / Subperiosteal implants
• Endosteal / endosseous implants
• Transosteal / transosseous implants
Epithelial / mucosal implants
They are inserted into the oral mucosa.Disadvantages
1. painful healing2. requirement of continual wear
Titanium Mucosal Implants
Epiosteal / Subperiosteal Implants
They placed directly beneath the periosteum overliying the bony cortex (not anchored inside the bone)Receive primary bone support by resting on it.
Disadvantages :
1) Slow, predictable rejection of the implant
2) Bone loss associated with failure
• Usually indicated in a severely resorbed, completely edentulous mandible which does not offer enough bone height to accommodate root form implants as anchoring devices.
Endosteal / Endosseous Implants
• Extends into basal bone for support• It transects into 1 cortical plate
Endosteal implants
1-Root form implants3-Plate form implants
• Cylinder
• Screw root form
• Cone shaped
• Combination
2-Ramus frame implants
Endosteal or Endosseous implantA. Plate-form implant :
• Blade Implants have a long track record, much longer than the Root form Implants. Their name is derived from their flat, blade-like (or plate-like) portion, which is the part that gets embedded into the bone.
•
These implants are designed for the edentulous lower jaw only and are surgically inserted into the jaw bone in three different areas: the left and right back area of the jaw (the approximate area of the wisdom teeth), and the chin area in the front of the mouth.
It’s indicated in a severely resorbed, edentulous mandible which does not offer enough bone height to accommodate Root form Implants.
It provides a tripodial stabilization of the thin lower jaw and protects it from fracturing.
• Ramus-frame implant
Ramus-frame implant
Ramus-frame implant
C. Root form implantThe most popular implants in the world today.
come in a variety of shapes, sizes, and materials
can be placed wherever a tooth or several teeth are missing.
if the bone volume is not sufficient to place Root form Implants, Bone grafting procedures within reasonable limits should be initiated, in order to benefit from these implants.
Transosteal / Transosseous Implant
Also called as Staple Bone Implant, Transmandibular ImplantPenetrates both cortical plate and passes through the entire thickness of the alveolar bone
Use restricted to anterior area of mandible
It is not used much any more because they necessitate an extraoral surgical approach.
II) Depending on the materials used
• METALLIC IMPLANTSTitanium
Titanium aluminum vandium
Cobalt chromium molybdenum
Stainless steel
Zirconium
Tantalum
Gold
Platinum
2) NON – METALLIC IMPLANTS
- ceramics- carbon
The bone integration shows no difference to the two different types of titanium.
Some implants have an outer coating of Hydroxyapatite (HA). Other implants have their surface altered through plasma spraying, or beading process. This was developed to increase the surface area of the titanium implant and, thus, in theory, give them more stability. These surface treatments were also offered as an alternative to the HA coatings, which on some implants have shown to break loose or even dissolve after a few years.III) Depending On Their Reaction With Bone
Based on the ability of implant to stimulate bone formationBio active
• Hydroxyapatite
• Tri Calcium Phosphate
• Calcium Phosphate
2. Bio inert
metals
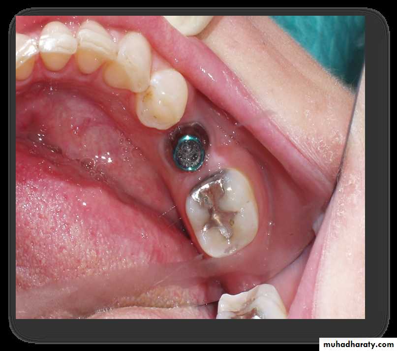
Osseointegration
Definition:
A time-dependant healing process where by clinically symptomatic rigid fixation of alloplastic materials is achieved, and maintained, in bone during functional loading.
Factors affecting osseointegration
• Implant biocompatibility
• Implant design
• Implant surface
• Bone quality and surgical site
• Surgical technique
• Loading condition
• Infection control
• Implant biocompatibility
• Cp titanium (commercially pure titanium)• Titanium alloy (titanium-6aluminum-4vanadium)
• Zirconium
• Hydroxyapatite (HA), one type of calcium phosphate ceramic material
• Implant design (root-form)
Cylindrical Implant- most conducive
Threaded Implant
- maintenance of a clear steady state bone response.
- To enhance initial stability and increase surface contact, most implant forms have been developed as a serrated thread.
• Implant surface
Increased pitch (the number of threads per unit length) and increased depth between individual threads allows for improved contact area between bone and implant.Mild rough surface improved contact area between bone and implant surface.
Reactive implant surface by anodizing (Oxide layer) ,acid etching or HA coating enhanced osseointegration• Bone quality and surgical site
Good bone quality and healthy surgical site5. Surgical technique
Minimum possible trauma
• Loading condition
• A two-stage surgical protocol (is advocated)• One-stage surgical protocol
• Immediate occlusal loading (placed within 48 hours postsurgery) - will cause failure
• Immediate non-occlusal Loading (in single-tooth or short-span applications)
• Early loading (prosthetic function within two months)
Biomechanics of osseointegrated implant.
In all incidences of clinical loading, occlusal forces are first introduced to the prosthesis and then reach the bone implant interface via the implant. This is affected by:Force directions and magnitudes,
Prosthesis type,
Prosthesis material,
Implant design,
Number and distribution of supporting implants,
Bone density, and
The mechanical properties of the bone-implant interface.
Dental Implant Treatment Planning and Types of Dental Implants
Depend on :How many teeth are missing?
What is the degree of bone loss?
Are the remaining teeth in a good position and do they have a long-term prognosis?
What does the patient expect for an end result?
What treatment will result in the best cosmetic outcome?
What is the patient's budget?
PARTS OF DENTAL IMPLANTS(Root Form Implants)
Dr,salah hegazy
crest module ( cervical geometry )
bodyapex
Implant Body Regions
3 parts
abutment
Implant bodyprosthesis
superstructure
Prosthetic Attachment
Abutment
portion of the implant that supports or retains a prosthesis
or implant superstructure
Superstructure
metal framework that attaches to the implant abutmentand provides either retention for removable prosthesis
or framework for fixed prosthesis
Categories of implant abutment
based on method by which prosthesis or superstructure is retained to the abutment
Screw retention
cement retentionfor attachment
• attachment device to retain a removable prosthesisSuper structure:
It could be defined as a metal framework that fits the implant abutments and provides retention for the prosthesis. Recently, it is defined as the superior part of multiple layer prosthesis that includes the replaced teeth and associated structuresThe superstructure for completely edentulous patients can be classified as follows:
• Implant retained removable overdenture• Implant supported removable overdenture
• Fixed detachable prosthesis (Hybrid prosthesis)
• Implant supported Fixed Bridge
1) Screwed-in Fixed Bridge
• 2) Cemented Fixed Bridge
THANK YOU





















































