PNEUMONIA
TUCOMInternal Medicine
4th year
Dr. Hasan.I.Sultan
PNEUMONIA
Acute inflammation of lung parenchymaInflammatory infiltrate in alveoli( consolidation)
CLASSIFICATION:
1- Aetiology.
2- Morpological classification: Bronchopneumonia vs. lobar pneumonia(which may be segmental, lobar or multilobar).
Lobar pneumonia; is a radiological and pathological term referring to homogeneous consolidation of one or more lung lobes, often with associated pleural inflammation
Bronchopneumonia; refers to more patchy alveolar consolidation associated with bronchial and bronchiolar inflammation often affecting both lower lobes
3- Community acquired vs hospital acquired (nosocomial) infection.
4- The patient's immune status.
Lobar pneumonia
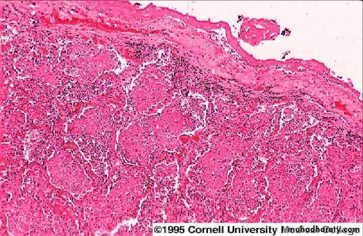
Pathology of lobar pneumonia4 pathological phases;
1-Congestion; 1-2 days. Pulmonary capillaries dilated and serous fluid leaks out capillaries into the alveoli. The patient is feverish with SOB and cough.
2-Red hepatization; 2-4 days. That is means the lung look like ‘red liver‘. The affected lobe is solid as the alveoli are full RBCs, neutrophils and fibrinous exudate instead of air, there is no gas exchange in this lobe. The patient becomes breathless and hypoxic. The cough is blood stained or rusty sputum.
3-Grey hepatization; 4-8 days. The affected part look like ‘grey liver‘. The alveoli are full of neutrophils and dense fibrous strands. The patient cough up of purulent sputum and remain breathless.
4-Resolution; Begins after 8-10 days (without antibiotics). Monocytes clear the inflammatory debris and normal air filled lung architecture is restored. Improvement of patient's condition.
Microscopic section of normal lung showing terminal bronchiole, respiratory bronchiole, alveolar duct, alveolar sac, and alveoli.
congestion+neutrophilic
Red hepatization
gray hepatisation
COMMUNITY-ACQUIRED PNEUMONIA (CAP)The incidence varies with age, being much higher in the very young and the elderly
Most patients may be safely managed at home, but hospital admission is necessary in 20-40% of patients (5-10% of whom require intensive care)
CAP is usually spread by droplet infection and most cases occur in previously healthy individuals.
Factors that predispose to pneumonia
• Cigarette smoking
• Upper respiratory tract infections
• Alcohol
• Corticosteroid therapy
• Old age
• Recent influenza infection
• Pre-existing lung disease
• HIV
• Indoor air pollution
Organisms causing community-acquired pneumonia
Bacteria
• Streptococcus pneumoniae
• Mycoplasma pneumoniae
• Legionella pneumophila
• Chlamydia pneumoniae
• Haemophilus influenzae
• Staphylococcus aureus
• Chlamydia psittaci
• Coxiella burnetii (Q fever, ‘querry’ fever)
• Klebsiella pneumoniae (Freidländer’s bacillus)
• Actinomyces israelii
Viruses
• Influenza, parainfluenza
• Measles
• Herpes simplex
• Varicella
• Adenovirus
• Cytomegalovirus (CMV)
• Coronavirus (Urbani SARS-associated coronavirus
Microorganisms & clinical features of CAP
Common organisms
1- Streptococcus pneumoniae; The most common cause of classic or typical pneumonia.
Most common in winter. All age groups but particularly young to middle-aged.
Rapid onset of Systemic features such as fever, rigors, shivering tachycardia and malaise predominate and delirium may be present.
Pulmonary symptoms include tachypnea, cough, which at first is painful and dry, but later accompanied by the mucopurulent or rust-coloured sputum, or occasionally hemoptysis.
Pleuritic chest pain may be a presenting feature.
Streptococcus pneumoniae are gram-positive cocci that occur in chains or pairs.
Herpes labialis and rusty sputum
•
2- Mycoplasma pneumoniae;
Children and young adults. Common in autumn. Epidemics occur every 3-4 years. After (2–3 weeks) incubation period, fever and constitutional symptoms develop along with headache and cough, but pleuritic pain is uncommon. Rare complications include haemolytic anaemia, Stevens-Johnson syndrome, erythema nodosum, myocarditis, pericarditis, meningoencephalitis, Guillain-Barré syndrome.Grown on artificial media takes upwards of 2 weeks.
Mycoplasmal pneumoniae is one of the smallest organisms 125-150 μm . Is a pleomorphic organism that, unlike bacteria, lacks a cell wall, and unlike viruses do not need a host cell for replication.
Infection is spread form person to person by respiratory secretions expelled during bouts of
coughing, causing epidemic or sporadic occurance
Mycoplasma pneumoniae
Chest radiograph may show reticulonodular or interstitial infiltration, primarily in the lower lobes.
3- Chlamydia pneumoniae;
Young to middle-aged, large-scale epidemics, or sporadic, often mild, self-limiting disease. Headaches and a longer duration of symptoms before hospital admission.The pneumonia resembles that of Mycoplasma pneumonia in that patients often have prominent antecedent upper respiratory tract symptoms, fever, nonproductive cough, mild to moderate illness, minimal findings on chest auscultation, and small segmental infiltrates on chest x-ray.
Usually diagnosed on serology.
Chlamydia pneumonia and psittacosis;
These are small, gram-negative, obligate intracellular bacteria.Chest x-ray is nonspecific and may show pneumonic lesions that are usually patchy in appearance. but can be hazy, diffuse, homogeneous, lobar, wedge-shaped, nodular, or miliary.
4- Legionella pneumophila;
Middle to old age, recent foreign travel, local epidemics around point source, e.g. cooling tower.A variety of features are said to be more common such as nonproductive cough, headache, confusion, malaise, myalgia, high fever and diarrhoea.Laboratory results include hyponatraemia, elevated liver enzymes, hypoalbuminaemia and elevated creatine kinase. Chest X-ray appearances may be slow to resolve.
Legionella pneumophila;
are small, gram-negative, aerobic baclli.Legionnaires’ disease is acquried by inhaling aerosolized water containing Legionella organisms or possibly by pulmonary aspiration of contaminated water. from humidifiers, shower heads.
Legionnaires' disease ; No diagnostic features on the chest X-ray distinguish it from other pneumonia. But may showing pulmonary infiltrates ;Infiltrates can be unilateral, bilateral, patchy, or dense, and In sever illness it m. be multilobar involvement ,can spread very quickly to involve the entire lung.
Uncommon organisms;
1- Haemophilus influenzae; H. influenzae, an exclusively human pathogen, is spread by airborne droplets, its gram-negative coccobacillus.Clinically indistinguishable from other types of bacterial pneumonia (e.g. pneumococcal pneumonia)
Often underlying lung disease (COPD, bronchiectasis)
2- Staphylococcus aureus;
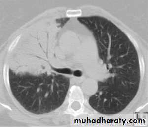
Coexistent debilitating illness and often preceded by influenza. Radiographic features include multilobar shadowing, cavitation, pneumatoceles and abscesses. Dissemination to other organs may cause osteomyelitis, endocarditis or brain abscesses. Mortality up to 30%.
Staphylococci are gram-positive cocci, nonmotile, aerobic form grapelike clusters.
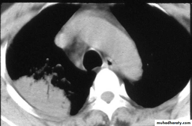
Chest X-ray show multiple lung abscessStaphylococcus pneumonia
Klebsiella pneumoniae; a gram-negative baclli3- Klebsiella pneumonia; More common in aged men, malnutrition and alcoholics. Upper lobe involvement typical. Low platelet count and leucopenia.
Atypical pneumonia; is an old term used to describe pneumonias where symptoms were more systemic (headache, malaise, diarrhea) than pulmonary (cough, sputum, SOB). Atypical pneumonia was most often caused by pathogens such as Mycoplasma, Chlamydia, Legionella. as well as viral pneumonia.
Currently, it is recognized that symptoms do not reliably predict the infecting organism and that bacteria in atypical group commonly cause pneumonia.
Investigations
The main objectives of investigationsto obtain radiological confirmation of the diagnosis
to exclude other conditions that may mimic pneumonia
to obtain a microbiological diagnosis
to assess the severity of pneumonia
to identify the development of complications.
Radiological examination
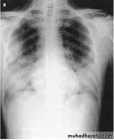
In lobar pneumonia, a homogeneous opacity localized to the affected lobe or segment usually appears within 12-18 hours from the onset of the illness.If a complication such as parapneumonic effusion, intrapulmonary abscess formation, or empyema is suspected.
Clinical-radiographic dissociation is seen often in patients with Mycoplasma pneumoniae or viral pneumonia.
Lateral radiographs are especially important in showing infiltrates, which may be obscured by the heart on posteroanterior projections.
Microbiological investigations (CAP)
Many cases of CAP can be managed successfully without identification of the organismA- All patients
1-Sputum-direct smear by Gram and Ziehl-Neelsen stains. Culture and antimicrobial sensitivity testing
2-Blood culture-frequently positive in pneumococcal pneumonia.
3-Serology-acute and convalescent titers to diagnose Mycoplasma, Chlamydia, Legionella and viral infections. Pneumococcal antigen detection in serum.
B-Severe community-acquired pneumonia; The above tests plus consider:
1- Tracheal aspirate, induced sputum, bronchoalveolar lavage, protected brush specimen or percutaneous needle aspiration. Direct fluorescent antibody stain for Legionella and viruses.2-Serology- Legionella antigen in urine. Pneumococcal antigen in sputum and blood. Immediate IgM for Mycoplasma.
3-Cold agglutinins-positive in 50% of patients with Mycoplasma.
Assessment of disease severity
DIFFERENTIAL DIAGNOSIS OF PNEUMONIA
Pulmonary infarctionPulmonary/pleural TB
Pulmonary oedema (can be unilateral)
Pulmonary eosinophilia
Malignancy: bronchoalveolar cell carcinoma
Rare disorders: cryptogenic organising pneumonia/bronchiolitis obliterans organising pneumonia (COP/BOOP)
Assessment of gas exchange;
Pulse oximetry provides a simple non-invasive method
An arterial blood gas should be sampled in those with SaO2 < 92% or with features of severe pneumonia
General blood tests; white cell count my be very high (> 20 × 109/l) or low (< 4 × 109/l) seen in severe pneumonia. urea and electrolytes and liver function tests. C-reactive protein (CRP) is typically elevated.
Management
Rest and avoid smoking.Oxygen;
should be administered to all patients with tachypnoea, hypoxaemia, hypotension or acidosis. The aim of maintaining the PaO2 ≥ 8 kPa (60 mmHg) or SaO2 ≥ 92%. High concentrations (> 35%), preferably humidified.
Fluid balance;
Intravenous fluids should be considered in those with severe illness, elderly patients and those whose systemic features include vomiting.
Antibiotic treatment;
The choice of antibiotic is guided by clinical context, severity assessment, local knowledge of antibiotic resistance patterns, and at times epidemiological information.
Uncomplicated CAP; 7-10-day course is adequate.
Amoxicillin 500 mg 8-hourly orallyIf patient is allergic to penicillin
Clarithromycin 500 mg 12-hourly orally or
Erythromycin 500 mg 6-hourly orally
If Staphylococcus is cultured or suspected
Flucloxacillin 1-2 g 6-hourly i.v. plus
Clarithromycin 500 mg 12-hourly i.v.
If Mycoplasma or Legionella is suspected
Clarithromycin 500 mg 12-hourly orally or i.v. or
Erythromycin 500 mg 6-hourly orally or i.v. plus
Rifampicin 600 mg 12-hourly i.v. in severe cases
Severe CAP: for 10–14 days
Clarithromycin 500 mg 12-hourly i.v. or
Erythromycin 500 mg 6-hourly i.v. plus
Co-amoxiclav 1.2 g 8-hourly i.v. or
Ceftriaxone 1-2 g daily i.v. or
Cefuroxime 1.5 g 8-hourly i.v. or
Amoxicillin 1 g 6-hourly i.v. plus flucloxacillin 2 g 6-hourly i.v.
Treatment of pleural pain;
Relieve pleural pain in order to allow the patient to breathe normally and cough efficiently. Mild analgesics such as paracetamol are rarely adequate; however, opiates must be used with extreme caution in patients with poor respiratory function.Complications
Para-pneumonic effusion-commonEmpyema
Retention of sputum causing lobar collapse
Development of thromboembolic disease
Pneumothorax-particularly with Staph. aureus
Suppurative pneumonia/lung abscess-see below
ARDS, renal failure, multi-organ failure
Ectopic abscess formation (Staph. aureus)
Hepatitis, pericarditis, myocarditis, meningoencephalitis
Pyrexia due to drug hypersensitivity
Discharge and follow-up
clinically stable
with no more than one of the following clinical signs: temperature > 37.8°C, heart rate > 100/min, respiratory rate > 24/min, systolic BP < 90 mmHg, SaO2 < 90%, inability to maintain oral intake and abnormal mental status.
HOSPITAL-ACQUIRED PNEUMONIA
HAP or nosocomial pneumonia refers to a new episode of pneumonia occurring at least 2 days after admission to hospital, includes ;Post-operative and certain forms of aspiration pneumonia.
Bronchopneumonia developing in patients with chronic lung disease, general debility or those receiving assisted ventilation.
Aetiology; The elderly are particularly at risk and this condition now occurs in 2-5% of all hospital admissions.
Different pathogenic organisms;
1-The majority Gram-negative bacteria, includes Escherichia, Pseudomonas and Klebsiella species.
2- Staph. aureus (including multidrug-resistant-MRSA-forms) are also common.
3- Anaerobic organisms.
Clinical features; The clinical features and investigation of patients with hospital-acquired pneumonia are very similar to CAP. But there may be some differences;
Bronchopneumonia
Breathlessness and central cyanosis
Pleural pain is uncommon
Chest X-ray shows mottled opacities in both lung fields, chiefly in the lower zones.
Management of HAP
A third-generation cephalosporin (e.g. cefotaxime) plus an aminoglycoside (e.g. gentamicin) to cover Gram-negative bacteria, including Pseudomonas.A monocyclic β-lactam (e.g. aztreonam) plus flucloxacillin to cover Staph. aureus.
Metronidazole to cover anaerobic organisms.
Physiotherapy ,adequate oxygen therapy, fluid support and monitoring are essential.
The mortality from hospital-acquired pneumonia is high (approximately 30%).
Severe acute respiratory distress syndrome (SARS)
Corona virus, is an RNA virusSARS rose to prominence in late 2002 in China. followed by an international outbreak
high fever (> 38°C), malaise and muscle aches and later a dry cough with shortness of breath or difficulty in breathing, with history close contact within 10 days of onset of symptoms with a person known to be a suspect SARS case is typical.
The chest X-ray is usually indicative of pneumonia.
A rapid diagnosis of SARS-CoV infection can be made by PCR & Serum antibodies, can be detected by ELISA.There is no specific therapy of established efficacy for SARS. Its treatment remains largely supportive, to maintain pulmonary and other organ system functions.


































