Multiple sclerosis
Multiple sclerosis (MS) is a chronic disease characterized by inflammation, demyelination, gliosis (scarring), and neuronal loss;Lesions of MS typically occur at different times and in different CNS locations.5 million individuals worldwide.
Manifestations of MS vary from a benign illness to a rapidly evolving and incapacitating disease requiring profound lifestyle adjustments
Epidemiology and causes
MS is approximately threefold more common in women than men.The age of onset is typically between 20 and 40 years
Geographicly the highest known prevalence for MS (250 per 100,000) in north of Scotland. In other temperate zone areas (e.g., northern North America, northern Europe, southern Australia, and south New Zealand),
the prevalence of MS is 0.1–0.2%.
one proposed explanation for the latitude effect on MS is that there is a protective effect of sun exposure.
studies have confirmed that vitamin D deficiency is associated with an increase in MS risk and preliminary data also suggest that ongoing deficiency may increase the relapse rate in established MS
Epidemiology and causes
The cause of MS is unknown; however, it is believed to occur as a result of some combination of genetic and environmental factors such as infectious agentsany microbes have been proposed as triggers of MS, but none have been confirmed.
Moving at an early age from one location in the world to another alters a person's subsequent risk of MS.
Smoking has been shown to be an independent risk factor for MS.
Stress may be a risk factor although the evidence to support this is weak.
Multiple sclerosis types
Relapsing remitting MS
Primary progressive MS
2nd progressive MS
Progressive relapsing MS
Relapsing remitting MS
It occurs more than 85% of the casesis characterized by discrete attacks that generally evolve over days to weeks (rarely over hours).
There is often complete recovery over the ensuing weeks to months
approximately half will fail to improve.
Between attacks, patients are neurologically stable.
Primary progressive MS
accounts for ∼ 15% of cases. These patients do not experience attacks but only a steady functional decline from disease onsetCompared to RRMS, the sex distribution is more even, the disease begins later in life (mean age ∼ 40 years), and disability develops faster .
Secondary progressive Ms
(SPMS) always begins as RRMS At some point, however, the clinical course changes so that the patient experiences a steady deterioration in function unassociated with acute attacks (which may continue or cease during the progressive phase).Progressive/relapsing MS (PRMS) overlaps PPMS and SPMS and accounts for ∼ 5% of MS patients
Like patients with PPMS, these patients experience a steady deterioration in their condition from disease onset. However, like SPMS patients, they experience occasional attacks superimposed upon their progressive course
CLINICAL MANIFESTATIONS
Sensory symptomsMotor symptoms
Visual symptoms
Sphincter disturbance
Cognitive impairment
Ataxia and vertigo
Double vision
Motor symptoms
The onset of MS may be abrupt or insidiousWeakness of the limbs may manifest as loss of strength,heaviness
Exercise-induced weakness is a characteristic symptom of MS
The weakness is of the upper motor neuron type
More than 30% of MS patients have moderate to severe spasticity, especially in the legs
Sensory symptoms
Sensory symptoms are varied and include both paresthesias (e.g., tingling, prickling sensations, formications, “pins and needles,” or painful burning) and hypesthesia (e.g., reduced sensation, numbness, or a “dead” feeling). Unpleasant sensations (e.g., feelings that body parts are swollen, wet, raw, or tightly wrapped) are also commonSensory impairment of the trunk and legs below a horizontal line on the torso (a sensory level) indicates that the spinal cord is the origin of the sensory disturbance
Pain is a common symptom of MS, experienced by >50% of patients. Pain can occur anywhere on the body and can change locations over time
Visual symptoms
System Optic neuritis (ON) presents as diminished visual acuity, dimness, or decreased color perception
Visual symptoms are generally monocular but may be bilateral. Periorbital pain (aggravated by eye movement) often precedes or accompanies the visual loss
Pallor of the optic disc (optic atrophy) commonly follows ON
Diplopia may result from internuclear ophthalmoplegia (INO) or from palsy of the sixth cranial nerve (rarely the third or fourth).
Ataxia usually manifests as cerebellar tremors (Chap. 31). Ataxia may also involve the head and trunk or the voice, producing a characteristic cerebellar dysarthria (scanning speech).
Bladder dysfunction is present in >90% of MS patients, and in a third of patients, dysfunction results in weekly or more frequent episodes of incontinence
Cognitive dysfunction can include memory loss, impaired attention, difficulties in executive functioning, memory, problem solving, slowed information processing, and problems shifting between cognitive tasks
Depression , experienced by approximately half of patients
Fatigue is experienced by 90% of patients; this symptom is the most common reason for work-related disability in MS.
Diagnosis
There is no definitive diagnostic test for MS. Diagnostic criteria for clinically definite MS require documentation of two or more episodes of symptoms and two or more signs that reflect pathology in anatomically noncontiguous white matter tracts of the CNSSymptoms must last for >24 h and occur as distinct episodes that are separated by a month or more
DIAGNOSTIC TESTS
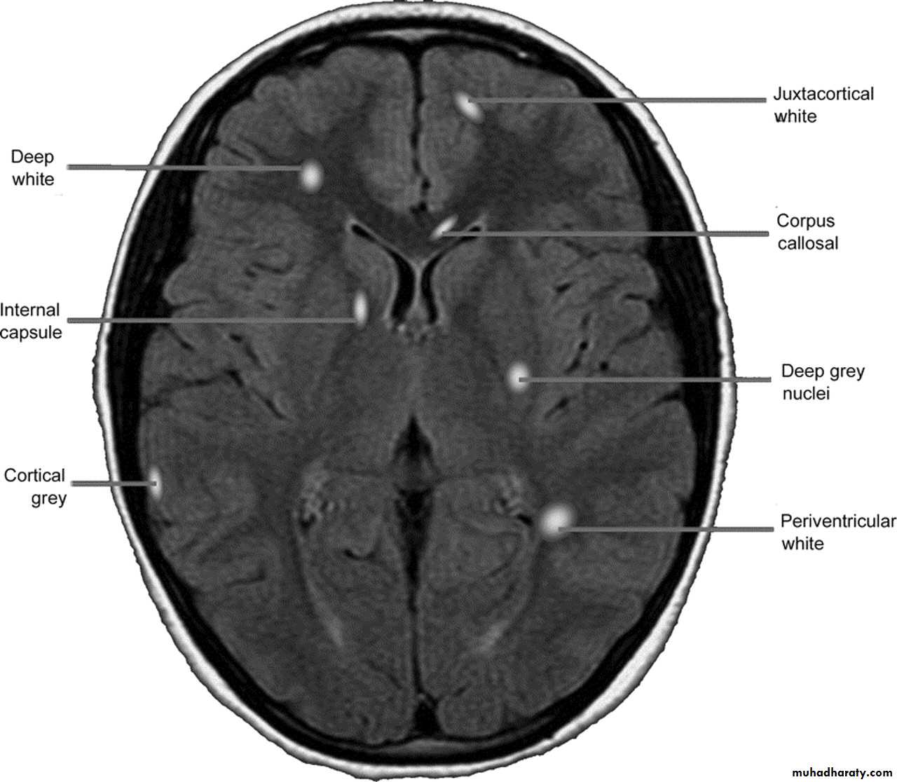
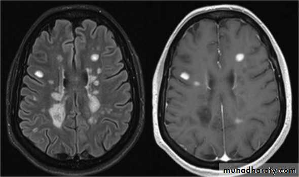
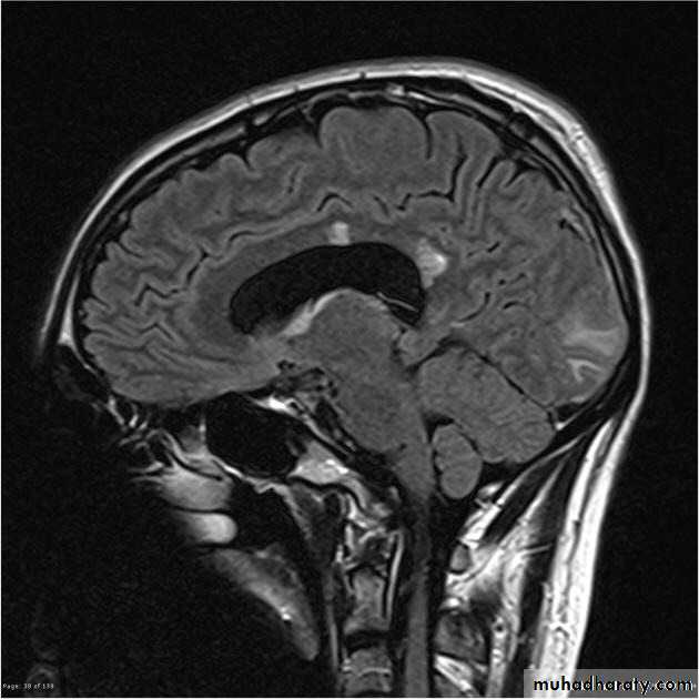
MRI :characteristic abnormalities are found in >95% of patients, although more than 90% of the lesions visualized by MRI are asymptomaticLesions are frequently oriented perpendicular to the ventricular surface,(Dawson’s fingers)
Lesions larger than 6 mm located in the corpus callosum, periventricular white matter, brainstem, cerebellum, or spinal cord are particularly helpful diagnostically
Evoked potentials:potentials EP testing assesses function in afferent (visual, auditory, and somatosensory) or efferent (motor) CNS pathways
Abnormalities on one or more EP modalities occur in 80–90% of MS patients
Cerebrospinal fluid:CSF abnormalities found in MS include a mononuclear cell pleocytosis and an increased level of Igg index and oligoclonal band
DISORDERS THAT CAN MIMIC MS
Acute disseminated encephalomyelitis (ADEM)Neuro myelitis optica
Antiphospholipid antibody syndrome
Behçet’s disease
Neoplasms (e.g., lymphoma, glioma, meningioma)
Sarcoidosis
Stroke and ischemic cerebrovascular disease
Treatment of Multiple Sclerosis
Therapy for MS can be divided into several categories:
(1) treatment of acute attacks
, (2) treatment with disease-modifying agents that reduce the biological activity of MS,
and (3) symptomatic therapy
Glucocorticoids are used to manage either first attacks or acute exacerbations.
They provide short-term clinical benefit by reducing the severity and shortening the duration of attacks
Glucocorticoid treatment is usually administered as intravenous methylprednisolone, 500–1000 mg/d for 3–5 days
DISEASE-MODIFYING THERAPIES FOR RELAPSING FORMS OF MS (RRMS, SPMS WITH EXACERBATIONS)
Seven such agents are approved by the U.S. Food and Drug Administration (FDA): (1) IFN- β-1a (Avonex), (2) IFN- β-1a (Rebif), (3) IFN- β-1b (Betaseron), (4) glatiramer acetate (Copaxone), (5) natalizumab (Tysabri), (6) fingolimod (Gilenya), and (7) mitoxantrone (NovantroneCLINICAL VARIANTS OF MS
Neuromyelitis optica (NMO), or Devic’s syndrome, is an aggressive inflammatory disorder consisting most typically of attacks of acute ON and myelitisAttacks of ON can be bilateral (rare in MS) or unilateral
myelitis can be severe and transverse (rare in MS) and is typically longitudinally extensive, involving three or more contiguous vertebral segments
The brain MRI was classically thought to be normal at the onset of NMO
Up to 40% of patients have a systemic autoimmune disorder, often systemic lupus erythematosus, Sjögren’s syndrome, myasthenia gravis, Hashimoto’s thyroiditis
highly specific autoantibody directed against the water channel protein aquaporin-4 is present in the sera of 60–70% of patients who have a clinical diagnosis of NMO





