Histology
Lab.1Epithelium
Simple Squamous Epithelium
Location : Air sacsSimple Squamous Epithelial cell
nucleus
Simple Cuboidal Epithelium
Location: Lines kidney tubulesSimple Cuboidal Epithelial cell
nucleus
Simple Columnar EpitheliumLocation: Stomach
Cilia
Pseudostratified EpitheliumLocation: Trachea
Pseudostratified epithelium
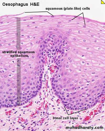
Stratified Squamous (Non keratinized) Epithelium Location: esophagus
Squamouscells
Stratified Squamous (keratinized)Epithelium
Location: epidermis of skinDome tops
Transitional epitheliumLocation: bladder








