The dentin
ByDr . Suhair Majeed
Dentinogenesis
is the formation of dentin , a substance that forms the majority of teeth.It’s performed by odontoblasts, a special type of cells on the outer wall of dental pulps,and it begins at late bell stage of a toot development, dentinogenesis begins before amelogenesis,it’s unlike amelogenesis ,that it occurs throughout life of individual.Cont.
dentinogenesis occur in two stages :1- secretion of dentin matrix
2- mineralization of dentin
1- secretion of dentin matrix
odontoblasts begin to secrete unmineralized dentin matrix, The first sign of dentin formation is the appearance of distinct, large-diameter collagen fibrils . In this way, a layer of mantle predentin appeared.As more dentin matrix is deposited , odontoblasts retreat towards pulp direction leaving an elongated process known as odontoblastic process , a narrow layer of predentin is always present on the surface of the pulp.
predentin
pulpodontoblast
ameloblast
2- mineralization of dentin
two patterns of dentin mineralization can beobserved—globular and linear calcification that seem to depend on the rate of dentin formation.
Globular (or calcospheric) calcification, involves the deposition of crystals in several discrete areas of matrix , globular masses are formed that continue to enlarge and finally fuse to form a single calcified mass. This pattern of mineralization is seen in the mantle dentin region.
The predentin (PD)/ pulp (P)/ calcified round globules (CRG)/ Interglobular Dentin (IGD)
Cont.
the first layer of mineralized dentin is called mantle dentin and the remaining bulk of the mineralized dentin is known as circumpulpal dentin. In circumpulpal dentin the mineralization can progress in a globular or linear pattern.When the rate of formation progresses slowly, the mineralization appears more uniform and the process progressed in linear pattern.
Linear mineralization
pd
pulp
dentin
od
Globular mineralization
od
dentin
pulp
pd
Formation of predentine:
It’s the first unmineralized layer secreted of dentin matrix , it consists of collagen fibers and mucopolysaccharides.The principal proteins in predentin are :1- collagen type 1
2- dentin phosphoprotein
3- osteocalcin , osteonectin and osteopontin
4- matrix Gla –protein
(Gamma carboxyglutamic acid )
Cont.
the first indication of the first layer of predentin which is formed by newly differentiated odontoblasts is the development of Von Korff’s fibers ,which are large-diameter collagen fibrils (0.1 to 0.2 mm in diameter). These fibers consist of collagen type III associated with fibronectin. These fibers originate deep among the odontoblasts, extend toward the inner enamel epithelium, and fan out in the structureless ground substance.
Cont.
As the odontoblasts continue to increase in size, they also produce smaller collagen type I fibrils that orient themselves parallel to the future dentinoenamel junction. In this way, a layer of mantle predentin appears.FORMATION OF ROOT DENTIN
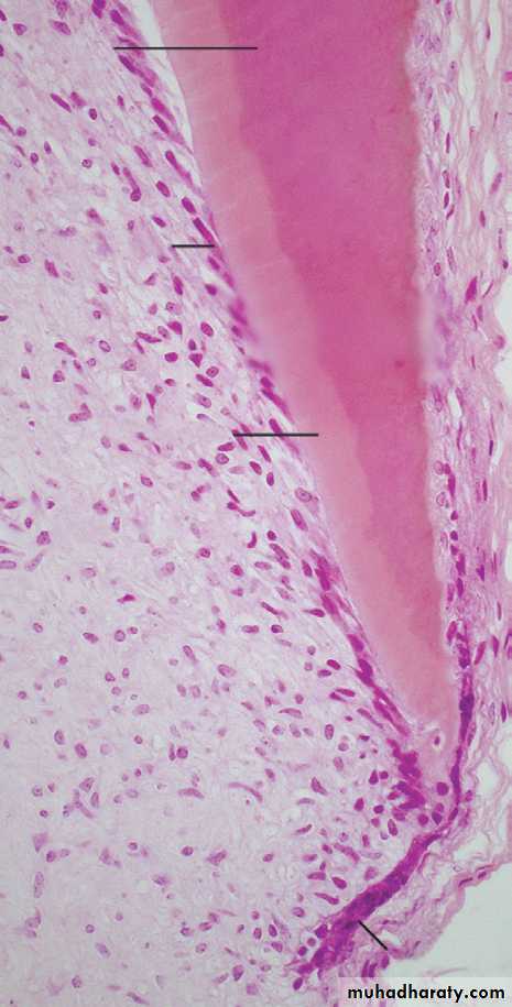
The epithelial cells of Hertwig’s root sheath initiate the differentiation of odontoblasts that form root dentin . Root dentin forms similarly to coronal dentin, with some differences , the outer layer of root dentin, differs in collagen fiber orientation and organization, in part because the collagen fibers from cementum blend with those of dentin , and its degree of mineralization differs from that of coronal dentin.dentin root formation
Hertwig’s ep. Root sheath
pdod
dentin
pulp
Life cycle of odontoblasts1- Differentiation of Odontoblasts
- Odontoblasts differentiate from undifferentiatedectomesenchymal cells.
- Before the beginning of dentinogenesis, the cells of inner enamel epithelium are supported by basement membrane, which separates the epithelium from the dental papilla .
- in the early bell stage ,under the inductive influence of the inner dental epithelium ,
Cont.
the periphral ectomesenchymal cells differentiate first to preodontoblasts , they assume to a columnar shape and aligned as a single row along the basement membrane.
- several projections (odontoblastic process) arise from the upper part of the cells.
- the cells grow in length to become long columnar.
- now the fully diffrentiated odontoblasts begin their work.
2- Formative stage
- production of first amount of dentin ( dentin matrix ).- odontoblasts retreat from the basement membrane ,leaving a single odontoblastic process which become enclosed in the dentinal tubule (Tome’s fiber).
Life cycle of odontoblasts (1-4: differentiation stage, 5-7 formative stage ,after 7: Quiescent stage )
3- Quiescent stage :
- odontoblasts decrease in size and function.- dentine formation is reduced .
- odontoblasts produce now secondary and reparative dentin.
Physical and chemical properties
- The color of dentin varies from light yellow in deciduous teeth to pale yellow in permanent dentition, becoming darker with age.-The lower content of mineral salts in dentin renders it more radiolucent than enamel.
-It is less hard than enamel but more hard than bone or cementum . Dentin hardness is more in the central part than near the pulp or at its periphery. Dentin is harder in permanent teeth than in deciduous teeth.
Cont.
-Dentin is mildly elastic and subject to slight deformation, so it supports the brittle enamel
under masticatory forces .
-It is semitransparent and highly permeable due to the presence of dentinal tubules. Permeability decreases with advancing age.
-dentin is a bone – like matrix that is porous and yellow –hued (colored) material.it’s made up of 70% inorganic materials ( mainly hydroxyapatite and some non-crystalline amorphous calcium phosphate ).
Cont.
20% organic materials (90% of which is collagen type 1 and the remaining 10% ground substance ,which includes dentin-specific proteins ),and 10% water (which is absorbed on the surface of the minerals or between the crystals ).Dentin structural units :
-dentinal tubules (D.T.)* D.T.are fine canals that contain tissue fluid and odontoblastic process (cytoplasmic process of odontoblasts).
*the course of D.T.is sigmoid (S) shaped curved structure knowm as primary curvature.starting at right angles from pulpal surface, the first convexity of this doubly curved course directed toward the apex of the root ending perpendicular to D.E.J.,this configuration indicate the course taken by odontoblasts during dentinogenesis.
Cont.
secondary curvature can be seen over the entire length of D.T.,they probably reflect the minor changes in the direction of movement of odontoblasts.*in the root ,and in the area of incisal edge or cusps, the tubules almost straight.
*The diameter of the dentinal tubules is larger at the pulpal side (1.5 to 3 microns) than at the dentino-enamel junction (one-micron).
*the tubules are widely separated at the outer surface of the dentin while, they are crowded together near the pulpal cavity. The root dentin has lesser tubules compared to the crown.
Dentinal tubules course
p/pulpSDT/sigmoid dentinal tubule
Odontoblast and it’s process in the dentinal tubuleCont.
D.T. make dentin permeable and providing a pathway for invasion of bacteria caused dental caries and also play an important role in dentin sensitivity .*The dentinal tubules show more branching at their terminal parts. The lateral branches are called canaliculi or microtubules. These microtubules originate at right angles to the main tubules every one to two microns along it’s length.
*Afew dentinal tubules extend through DEJ into the enamel for several millimeters, these are called enamel spindles.
Terminal branching (TB) of dentinal tubules (DT) nearcementodentinal junction (CDJ)
2- peritubular dentin :*it’s the dentin that surrounds D.T. and form one micron thick sheath around each tubule, also called intratubular dentin .
*it has more mineral content and less collagen fibers than intertubular dentin.
*intratubular dentin is formed after the intertubular dentin formation occurs.
Increased mineral density in the peritubular dentin
3- intertubular dentin :*The main mass of dentin is composed of intertubular dentin that is present between the dentinal tubules or peritubular dentin.
*less mineralized than peritubular dentin ,and it’s consist of network course of collagen fibers in which apatite crystals deposited on it .
intertubular dentin is inbetween dentinal tubules
Interglobular dentin :
* are areas of unmineralized or hypomineralized dentin which persist within the normally mineralized dentin.(appear as darker ark like areas in stained section of dentin ).*in areas where both primary and secondary mineralization have occurred with complete crystalline fusion ,these appear as lighter rounded areas on a stained section of dentin and are considered globular dentin.
*in IGD ,only primary mineralization has occurred within predentin ,and globules of dentin do not fuse completely.
Cont.
*IGD is slightly less mineralized than globular dentin.*IGD is seen in both crown and root dentin,near DEJ and CEJ.,also in certain dental anomalies such as dentinogenesis imperfecta.
Hypomineralized or unmineralized interglobular dentinwithin normally mineralized dentin
Tome‘s granular layer :In ground sections , a thin layer of D. adjacent to cementum almost appears granular and only found in the root, it’s called Tome’s granular layer.
It’s thought to represent an interference with mineralization of the entire surface layer of root D. prior to the beginning of cementum formation.
TGL- tome’s granular layer
Incremental lines in D.1- Imbrication or Von Ebner lines:
appear as fine lines, which in cross section run at right angles to D.T.,the course of the lines indicates the growth pattern of the D.,the distance between the lines corresponds to the daily rate of opposition ,which in crown varies from 4-8 microns, and become decreasingly less as root formation progress.
2- counter lines of Owens :
It’s hypocalcified line ,it distinguished in longitudinal ground sections as accentuated few lines. These lines arises due to disturbances in D. matrix and mineralizing process.
3- neonatal lines :
this line separating between prenatal and postnatal D., and mostly found in deciduous and first permanent molar . This line is the result of incomplete calcification , due to metabolic disturbances at the time of birth to the abrupt changes in environment and nutrition.Types of dentin :
3 types of dentin, primary ,secondary , and tertiary.1- primary dentin :
The most prominent dentin in the tooth, lies between enamel and pulp chamber. The outer layer closest to enamel is known as mantel dentin ,this layer is unique to the rest of primary D., mantel D. is formed by newly differentiated odontoblasts and forms a layer about 150 micrometers width.
Cont.
Mantel dentin has loosely packed collagen fibrils and is less mineralized.Below it lies the circumpulpal dentin, a more mineralized D., that makes up most of the D. layer ,and is secreted after the mantel D. by the odontoblasts.
Circumpulpal D. is formed before the root formation is completed.
2- secondary dentin :
It’s formed after root formation is complete, normally after the tooth has erupted and is functional. It grows much slowly than primary D., but maintain it’s incremental aspect of growth.It has similar structure to primary D., although it’s deposition is not always even around pulp chamber.
The growth of this dentin causes the decrease in the size of pulp chamber with age,this is clinically known as pulp recession ,cavity preparation in young patients may carries a greater risk of pulp exposure,
Cont.
If this happened , pulp can be treated by different therapies like direct pulp capping.
3- Tertiary dentin (pathologic type )
It’s formed as a reaction to external stimulation like cavities.it’s of two types :a- reactionary (where D. is formed from a preexisting ododtoblasts)
b- reparative ( where newly differentiated odontoblast -like cells are formed due to death of the original odontoblasts, from a pulpal progenitor cell.
Reparative dentin formation in relation to the cavitypreparation and subsequent restoration, is limited to zone of stimulation
Cont.
it’s formed only by odontoblast directly affected by a stimulus, thus the architecture and structure depend on the intensity and duration of the stimulus, e.g. if the stimulus is a carious lesion, there is extensive destruction of D. ,and damage to the pulp, due to the differentiation of bacterial metabolites and toxins.thus ,tertiary D.,is deposited rapidly , with a sparse and irregular tubular pattern and some cellular inclusions,in this case it is referred to as “osteodentin “.
The dentinal tubules are filled with organisms (indicated by arrows) and thus form transport channels for infection to pass to the pulp.
Cont.
If the stimulus is less active , it’s laid down less rapidly with more regular tubular pattern and hardly any cellular inclusions.Cont.
Stimuli of different nature not only induce additional formation of reparative D.,but also lead to changes in the D. itself , calcium salts may be deposited in or around degenerated odontoblastic processes and may obliterate the tubules , this type of D. called transparent or sclerotic dentin .Sclerotic dentin :
it describes dentinal tubules that have become occluded with calcified material. When this occurs in several tubules in the same area, the dentin assumes a glassy appearance and becomes translucent . The amount of sclerotic dentin increases with age and is most common in the apical third of the root and in the crown midway between the dentinoenamel junction and the surface of the pulp .
sclerosed dentin (SCD). Dentinal tubules are absent
Age and Functional ChangesWith advancing age and for functional requirements
number of changes are seen in dentin. Important among them are the following:
1. Formation of secondary dentin
2. Sclerotic dentin
3. Formation of reparative dentin (Tertiary dentin).
4. Dead tracts:
a group of dark lines that follow the course of dentinal tubules .
Cont.
They are groups of dead degenerated odontoblastic processes in the dentinal tubules . These tubules are empty and are filled with air and therefore appear dark in transmitted light.Dead tracts are probably the initial step in the formation of sclerotic dentin. These areas
demonstrate decreased sensitivity and appear to a greater extent in older teeth due to the aging process . Reparative D. seals these dead tracts at their pulpal end.







